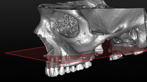
L’analisi cefalometrica gioca un ruolo determinante nella diagnosi dell’asimmetria del distretto maxillo-mandibolare, per questo è molto importante che venga eseguita con accuratezza e precisione. La tomografia computerizzata (TC) ha notevolmente ridotto la possibilità di incorrere in errori di misurazione e in particolare, l’introduzione di software 3D ha permesso una ricostruzione tridimensionale e misurazioni accurate, delle strutture del complesso maxillo-mandibolare.
La CBCT (cone beam computed tomography) offre numerosi vantaggi rispetto alla TC tradizionale il primo fra tutti è la dose radiogena somministrata che è notevolmente ridotta2, praticità di esecuzione, la qualità delle immagini è da potersi considerare similare a quella della TC tradizionale1, offrendo la possibilità di visualizzare ricostruzioni tridimensionali delle strutture e sezioni multiplanari delle stesse.
Infatti le immagini in 3D possono essere facilmente ruotate e osservate da ogni angolazione e ciò ci permette di stabilire la posizione esatta di un punto nello spazio.
Pertanto sarà più semplice analizzare con precisione l’asimmetria delle strutture anatomiche in esame e quantificare la differenza esistente tra il lato destro e sinistro delle stesse.
L’analisi cefalometrica che ne deriva sarà basata su misurazioni effettive e reali eseguite su ricostruzioni volumetriche.
Il confronto tra misurazioni bidimensionali e tridimensionali eseguite su TC cone beam evidenzia importanti differenze4. Vi è una sovrapponibilità delle misurazioni effettuate in 3D con quelle effettuate in 2D per quanto riguarda i punti sagittali o paralleli al piano sagittale, mentre la discrepanza si manifesta nella misurazione di angoli o segmenti non paralleli al piano sagittale.
Pertanto con la CBCT è possibile valutare la reale posizione di un punto nello spazio e individuare i range di valori a cui ogni punto deve appartenere per essere considerato in posizione “eugnatica”.
Il seguente studio valuta in modo analitico la variazione anatomica delle dimensioni verticali del mascellare superiore in pazienti adulti nelle tre diverse classi scheletriche tramite l’utilizzo della cefalometria 3D.
Questo studio è volto a dare un’indicazione statistica delle diverse dimensioni dei mascellari superiori in termini di misure lineari e della presenza di discrepanze tra lato destro e sinistro nello stesso paziente3.
I criteri di inclusione per questo studio sono stati: pazienti adulti con dentizione completa; assenza di edentulie intercalate; assenza di inclusioni; assenza di elementi soprannumerari; assenza di riabilitazioni implantari; assenza di segni di malattia parodontale in corso; e assenza di esiti di riassorbimenti ossei orizzontali per pregressa malattia parodontale.
Leggi l'articolo completo nela sezione CLINICAL > GENERAL DENTISTRY
L’analisi cefalometrica gioca un ruolo determinante nella diagnosi dell’asimmetria del distretto maxillo-mandibolare, per questo è molto ...
L’ONJ associata a farmaci è un evento avverso associato – in pazienti oncologici o osteoporotici – alla terapia con ...
Crisi geopolitiche, economiche o sanitarie di grande rilievo impattano sia sulla sfera personale che professionale. Dall’inizio del nuovo millennio ne ...
Le malocclusioni scheletriche di II classe sono causate dalla retrusione mandibolare in circa l’80% dei casi totali, il che ha spinto molti clinici e ...
I professionisti del settore odontoiatrico sottolineano l’importanza di integrare l’igiene interdentale nella routine di cura del cavo orale.
L’80% ...
SYDNEY, Australia: le ricerche dimostrano che l’attrattiva del viso può influenzare in modo significativo le decisioni sociali, comprese quelle legate ...
I bifosfonati sono un’importante classe di farmaci che agiscono inibendo l’attività osteoclastica e modulando quindi il riassorbimento ...
LIVERPOOL/PLYMOUTH, UK: Il legame tra salute orale e malattie croniche è sempre più sorretto da prove sostanziali che rivelano fattori di rischio comuni e...
Presentiamo un caso report realizzato dal dott. Luca Tacchini inerente alla gestione del punto di contatto nelle II classi.
Rilevamento della diffusione in Italia delle tasche parodontali, suddivise tra quelle con profondità da 4 a 8 mm e quelle superiori a 8 mm, per ...
Live webinar
lun. 13 aprile 2026
19:00 (CET) Rome
Dr. David Norré, Dr. Tommie Van de Velde DDS, MSc, PhD
Live webinar
mer. 15 aprile 2026
2:00 (CET) Rome
Dr. Bruce McFarlane Certified Specialist in Orthodontics Fellow: Royal College of Dentists of Canada Diplomate: American Board of Orthodontics
Live webinar
mer. 15 aprile 2026
20:00 (CET) Rome
Live webinar
gio. 16 aprile 2026
2:00 (CET) Rome
Linda Hecker MS, BSDH, RDH
Live webinar
gio. 16 aprile 2026
18:00 (CET) Rome
Dr. Pär-Olov Östman, Dr. Robert Gottlander DDS
Live webinar
ven. 17 aprile 2026
18:00 (CET) Rome
Live webinar
ven. 17 aprile 2026
19:00 (CET) Rome
Dr. Stuart Yeaton BDentSc, MOrth
To post a reply please login or register