Le malocclusioni scheletriche di II classe sono causate dalla retrusione mandibolare in circa l’80% dei casi totali, il che ha spinto molti clinici e ricercatori a studiare e utilizzare apparecchi funzionali che stimolano la crescita della mandibola per il trattamento di queste disarmonie dento-scheletriche in soggetti in crescita1-3. Migliorare l’immagine di sé è di grande importanza in un bambino in crescita, in quanto questo influenzerà direttamente la sua autostima, che è fondamentale per costruire la sua personalità e l’accettazione di sé. Anche se l’immagine di sé raggiunge il suo picco nell’adolescenza in realtà, inizia prima, a 6 anni4, 5.
Quindi, l’ortodontista dovrebbe intervenire il più presto possibile con terapie ortodontiche intercettive per migliorare o correggere qualsiasi malocclusione rilevata che potrebbe alterare la qualità della vita del bambino. Inoltre, si dovrebbe prendere in considerazione che il successo e la stabilità dei risultati del trattamento sono fortemente dipendenti dalle risposte adattative dei muscoli orali e masticatori6 e dall'equilibrio di pressione tra la lingua, le labbra e le guance7.
Il Twin-Block (TB) è uno degli apparecchi funzionali più utilizzati nel trattamento della classe II in via di sviluppo. L'apparecchio è stato sviluppato da William J. Clark e ha mostrato miglioramenti clinicamente positivi della discrepanza sagittale in 6-9 mesi8. Tale dispositivo funziona modificando l'attività di vari gruppi muscolari che influenzano la funzione e la posizione mandibolare. I cambiamenti nella posizione sagittale e verticale della mandibola generano pressione e tensione allungando i muscoli e i tessuti molli circostanti9. La forza risultante viene trasmessa ai tessuti dentali e scheletrici sottostanti causando cambiamenti ortodontici e ortopedici10. Tutti i tipi di trattamento ortodontico richiedono un certo grado di collaborazione (compliance) che deve essere massima con l’utilizzo di apparecchiature funzionali rimovibili11. Gli stadi di maturazione delle vertebre cervicali sono direttamente legati ai cambiamenti della crescita mandibolare che si verificano durante l’accrescimento, il cui picco si raggiunge durante la pubertà. La valutazione di queste fasi include osservazioni durante la fase di crescita accelerata (CS1 e CS2) e durante la fase di crescita decelerata (fasi CS4, CS5 e CS6). Il picco della crescita puberale si verifica, in media, tra le fasi CS3 e CS412. Esso è il miglior momento per utilizzare questi apparecchi che hanno l’obiettivo di correggere la retrognazia stimolando la crescita mandibolare ottenendo un miglior profilo estetico ed una migliore funzione13.
Solitamente la correzione della II classe con dispositivi ortodontici deriva per un 60-70% da cambiamenti dentali13. Gli apparecchi rimovibili hanno molti vantaggi in termini di costi, semplicità, igiene orale e tempo alla poltrona. Tuttavia l’effetto ortopedico e l’efficacia della terapia sono strettamente correlati alla compliance del paziente14.
Caratteristiche principali del dispositivo
Il TB, consiste in due placche di resina acrilica, una superiore ed una inferiore, inclinate di 70° l’una rispetto all’altra, in modo che portino la mandibola in avanti in occlusione (Fig. 1)13. Le superfici occlusali in resina poste tra le arcate possono essere modificate per svincolare i molari mandibolari, permettendo la loro eruzione e l’incremento della dimensione verticale15, 16. L'uso di placche separate aiuta i pazienti ad aumentare la collaborazione rispetto ad altri apparecchi funzionali sviluppati precedentemente (monoblocco, Fränkel, etc.)15.
Funzioni
- Correzione della malocclusione di Classe II;
- Correzione di overjet e overbite;
- Correzione del profilo facciale convesso;
- Correzione dell'affollamento anteriore mandibolare;
- Eliminazione dell'abitudine di succhiamento del labbro inferiore17.
Il TB è uno dei dispositivi più comunemente usati per ottenere la correzione funzionale della malocclusione scheletrica di classe II18, 19. Provoca una riduzione statisticamente significativa dell'angolo ANB, riducendo l’OVJ e migliorando l’indice di Wits15. Il dispositivo, infatti, promuove il rimodellamento del condilo nella posizione avanzata inducendo un significativo aumento della lunghezza della mandibola (Co-Gn in mm)15, 18. Il rimodellamento adattivo può verificarsi su entrambe le superfici dell'articolazione temporo-mandibolare per migliorare la posizione della mandibola in relazione al mascellare superiore17. Un altro vantaggio è il controllo della dimensione verticale. Infatti, con il trattamento TB, lo sviluppo verticale si ottiene scartando gradualmente i blocchi in resina della placca, favorendo l'estrusione dei denti posteriori e livellando il piano occlusale20-22. Sul piano trasversale, l’utilizzo del TB ha effetti prevalentemente dentali rispetto a quelli scheletrici13. Uno degli svantaggi principali dell'apparecchio TB è che la correzione dell'overjet è data anche da cambiamenti dentoalveolari (60%) come la proclinazione degli incisivi inferiori23. Vari autori hanno proposto modifiche all'apparecchio TB per aggirare questo effetto indesiderato24-26. Ad esempio, l'uso contestuale dell'ancoraggio con mini-viti può fornire un controllo assoluto sulla posizione degli incisivi inferiori, aumentando così la correzione ortopedica nella terapia miofunzionale di classe II27. TB sembra essere particolarmente efficace nei casi di II classe in cui prevale la componente di ipoplasia mandibolare15, 28 (Figg. 2, 3).
Fig. 1 - Placche Twin-Block (A); Placca superiore (B); Placca inferiore (C); Placche in occlusione (D).
Fig. 2 - Teleradiografia latero-laterale pre-trattamento con Twin-Block (A); Foto occlusale destra pre-trattamento (B).
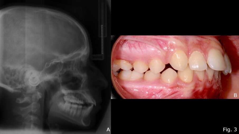
Fig. 3 - Teleradiografia latero-laterale post-trattamento con Twin-Block (A); Foto occlusale destra post-trattamento (B).
Effetti sulle vie aeree superiori
La malocclusione di classe II è uno dei problemi più comunemente incontrati nella pratica ortodontica ed è associata a problemi funzionali, estetici e psicologici di varia intensità29. Un cambiamento nelle vie aeree superiori dovuto al restringimento delle dimensioni delle vie aeree è un problema comunemente riscontrato nello sviluppo della Classe II con una mandibola retrognatica14, 30. La mandibola retroposizionata causa lo spostamento all'indietro della lingua e dell'osso ioide, che a sua volta porta ad una riduzione del volume delle vie aeree superiori. La costrizione delle vie aeree superiori è uno dei fattori causali per lo sviluppo della sindrome di apnea ostruttiva del sonno (OSAS)14.
La maggior parte dei pazienti con OSAS presenta una malocclusione scheletrica di classe II con una mandibola ipoplasica31. Gli studi hanno dimostrato che l'area e la profondità rinofaringea erano maggiori tra gli individui con un'occlusione normale rispetto ai soggetti con malocclusione di Classe II e che il volume delle vie aeree orofaringee era direttamente correlato alla lunghezza della mandibola10, 14, 32. Uno studio ha mostrato un aumento significativo delle vie aeree superiori tra gli individui con malocclusione scheletrica di classe II dopo il trattamento con il TB33. Tuttavia, non c'erano cambiamenti significativi nella parte inferiore della faringe34. Questo può essere attribuito al fatto che il TB provoca l'avanzamento mandibolare e il posizionamento in avanti della lingua, che a sua volta allevia la pressione sul palato molle, portando così ad un aumento della dimensione orofaringea superiore e una migliore permeabilità delle vie aeree35, 36.
Alcuni studi dimostrano che la correzione del retrognatismo mandibolare con un apparecchio TB in pazienti in crescita non solo migliora il profilo facciale e la relazione intermascellare, ma aumenta anche le dimensioni delle vie aeree superiori37, 38, 39, riducendo così il rischio di futuri problemi respiratori40. Per questo è considerato un dispositivo adatto al trattamento dei bambini affetti da sindrome da apnea-ipopnea del sonno (SAHS)40-44 (Fig. 3).
Conclusioni
Sulla base di queste considerazioni, il TB può essere ritenuto un valido ausilio per migliorare il rapporto anteroposteriore delle arcate dentarie in pazienti in via di sviluppo affetti da malocclusione di classe II divisione I. L'apparecchio TB ha anche mostrato un miglioramento significativo nel controllo verticale, con una notevole diminuzione dell'overbite45. I pazienti con una malocclusione di classe II per retrusione mandibolare hanno mostrato, con la crescita, un deficit della pervietà delle vie aeree superiori e dunque possibili candidati all’insorgenza della sindrome da apnea ostruttiva del sonno (OSAS) se non opportunamente trattati44.
Un aumento significativo delle dimensioni delle vie aeree superiori è stato osservato sia nel rinofaringe che nell'orofaringe dopo un trattamento precoce con il TB45. L’efficacia del TB è stata dimostrata in pazienti con manifestazioni cliniche da OSAS, respirazione orale e/o russamento, poiché tutti i pazienti hanno ottenuto un miglioramento della funzionalità respiratoria44. Il dispositivo TB è l’apparecchio funzionale più comune e popolare grazie alla sua efficacia nella correzione della II classe scheletrica, migliorando così il profilo del viso. Inoltre, questo dispositivo può essere efficace per il trattamento di bambini con sindrome da russamento (RSD) e retrognazia mandibolare, diminuendo così il rischio di sviluppo di sindrome da apnea-ipopnea (SAHS) in età adulta44, 46.
Bibliografia
- Franchi L, Pavoni C, Faltin K, Bigliazzi R, Gazzani F, Cozza P. Thin-plate spline analysis of mandibular shape changes induced by functional appliances in Class II malocclusion: A long-term evaluation. J Orofac Orthop. 2016;77:325-33.
- Pavoni C, Lombardo EC, Lione R, Faltin K, McNamara JA, Cozza P, et al. Treatment timing for functional jaw orthopaedics followed by fixed appliances: a controlled long-term study. Eur J Orthod. 2017;Nov 1. doi: 10.1093/ejo/cjx078, 1-7.
- Pancherz H, Zieber K, Hoyer B. Cephalometric characteristics of Class II division 1 and Class II division 2 malocclusions: a comparative study in children. Angle Orthod. 1997;67:111-20.
- Da Rosa, G.N.; Del Fabro, J.P.; Tomazoni, F.; Tuchtenhagen, S.; Alves, L.S.; Ardenghi, T.M. Association of malocclusion, happiness, and oral health–related quality of life (OHRQoL) in schoolchildren. J. Public Health Dentistry 2016, 76, 85–90.
- Jimmy, R.; Pinkham, J. The Dynamics of change. In Pediatric Dentistry: Infancy Through Adolescence, 4th ed.; Pinkham, J., Casamassimo, P.S., Fields, H.W., McTigue, D.J., Nowak, A., Eds.; Elsevier Saunders: St. Louis, MI, USA, 2005; pp. 464–470.
- Isola, G.; Anastasi, G.P.; Matarese, G.; Williams, R.C.; Cutroneo, G.; Bracco, P.; Piancino, M.G. Functional and molecular outcomes of the human masticatory muscles. Oral Dis. 2018, 24, 1428–1441.
- Mohammed,H.; Cˇirgic´, E.; Rizk,M.Z.; Vandevska-Radunovic, V. E
ectiveness of prefabricated myofunctional appliances in the treatment of Class II division 1 malocclusion: A systematic review. Eur. J. Orthod. 2020, 42, 125–134.
- Dyer, F.M.V.; McKeown, H.F.; Sandler, P.J. The modified Twin Block appliance in the treatment of Class II division 2 malocclusions. Orthod. 2001, 28, 271–280.
- Marinelli G, Inchingolo AD, Inchingolo AM, Malcangi G, Limongelli L, Montenegro V, Coloccia G, Laudadio C, Patano A, Inchingolo F, Bordea IR, Scarano A, Greco Lucchina A, Lorusso F, Di Venere D, Laforgia A, Dipalma G. White spot lesions in orthodontics: prevention and treatment. A descriptive review. J Biol Regul Homeost Agents. 2021 Mar-Apr;35(2 Suppl. 1):227-240. doi: 10.23812/21-2supp1-24. PMID: 34281321.
- Kutay, C., Kılıçoğlu, H. & Sayar, G. Comparison of objective wear time between monoblock and twin-block appliances measured by microsensor. The Angle Orthodontist 91, 749–755 (2021).
- Adina S, Dipalma G, Bordea IR, Lucaciu O, Feurdean C, Inchingolo AD, Septimiu R, Malcangi G, Cantore S, Martin D, Inchingolo F. Orthopedic joint stability influences growth and maxillary development: clinical aspects. J Biol Regul Homeost Agents. 2020 May-Jun;34(3):747-756. doi: 10.23812/20-204-E-52. PMID: 32456403.10. Zhang, J.-N. et al. Comparison of the effects of rapid maxillary expansion versus Twin Block appliance on mandibular growth in skeletal Class II patients. BMC Oral Health 20, 350 (2020).
- Patano A, Cirulli N, Beretta M, Plantamura P, Inchingolo AD, Inchingolo AM, Bordea IR, Malcangi G, Marinelli G, Scarano A, Lorusso F, Inchingolo F, Dipalma G. Education Technology in Orthodontics and Paediatric Dentistry during the COVID-19 Pandemic: A Systematic Review. Int J Environ Res Public Health. 2021 Jun 4;18(11):6056. doi: 10.3390/ijerph18116056. PMID: 34199882; PMCID: PMC8200064.
- Department of Orthodontics, Suleyman Demirel University, Faculty of Dentistry, Isparta, Turkey, Buyukcavus, M. H., Kale, B., & Department of Orthodontics, Antalya Bilim University, Faculty of Dentistry, Antalya, Turkey. Skeletal and Dental Effects of Twin-Block Appliances in Patients Treated With or Without Expansion. Turk J Orthod 34, 155–162 (2021).
- Zhang, J.-N. et al. Comparison of the effects of rapid maxillary expansion versus Twin Block appliance on mandibular growth in skeletal Class II patients. BMC Oral Health 20, 350 (2020).
- Burhan, A. S. & Nawaya, F. R. Dentoskeletal effects of the Bite-Jumping Appliance and the Twin-Block Appliance in the treatment of skeletal Class II malocclusion: a randomized controlled trial. The European Journal of Orthodontics 37, 330–337 (2015).
- Patianna AG, Ballini A, Meneghello M, Cantore S, Inchingolo AM, Dipalma G, Inchingolo AD, Inchingolo F, Malcangi G, Lucchese A, Goker F, Del Fabbro M, Greco Lucchina A, Cirulli N. Comparison of conventional orthognathic surgery and "surgery-first" protocol: a new weapon against time. J Biol Regul Homeost Agents. 2019 Nov-Dec;33(6 Suppl. 2):59-67. DENTAL SUPPLEMENT. PMID: 32425025.
- Lubis, H. F., Harahap, N. & Sari, A. P. Skeletal Class II Malocclusion Treatment with Combined Twin Block and Lip Bumper Appliances: A Case Report. AOS 16, 87–94 (2021).
- Clark WJ. The twin block traction technique. Eur J Orthod 1982;4:129‑38.
- Laudadio C, Inchingolo AD, Malcangi G, Limongelli L, Marinelli G, Coloccia G, Montenegro V, Patano A, Inchingolo F, Bordea IR, Scarano A, Greco Lucchina A, Lorusso F, Inchingolo AM, Dipalma G, Di Venere D, Laforgia A. Management of anterior open-bite in the deciduous, mixed and permanent dentition stage: a descriptive review. J Biol Regul Homeost Agents. 2021 Mar-Apr;35(2 Suppl. 1):271-281. doi: 10.23812/21-2supp1-27. PMID: 34281324.
- Quintero, N. P., & Mariaca, P. B. (2013). Aparatos de avance mandibular: ¿mito o realidad? [Mandibular advancement appliances: Myth or reality?]. Revista Nacional de Odontología, 9, 57–73.
- Ysla, R. F., Manso, G. M., Laffite, G. O., López, M. P., & Carrera, L. D. (2005). Los bloques gemelos: Uso y construcción del aparato convencional. [Twin blocks: Use and construction of the conventional appliance]. Revista Cubana de Estomatología, 42(3): [Aprox), 6.
- Cantore S, Ballini A, De Vito D, Martelli FS, Georgakopoulos I, Almasri M, Dibello V, Altini V, Farronato G, Dipalma G, Farronato D, Inchingolo F. Characterization of human apical papilla-derived stem cells. J Biol Regul Homeost Agents. 2017 Oct-Dec;31(4):901-910. PMID: 29254292.
- Sidlauskas A. The effects of the twin‑block appliance treatment on the skeletal and dentoalveolar changes in Class II Division 1 malocclusion. Medicina (Kaunas) 2005;41:392‑400.
- Trenouth MJ, Desmond S. A randomized clinical trial of two alternatives designs of twin‑block appliance. J Orthod 2012;39:17‑24.
- Mills C, McCulloch K. Treatment effects of the twin block appliance: A cephalometric study. Am J Orthod 1998;114:15‑24.
- Morndal O. The effect on the incisor teeth of activator treatment: A follow‑up study. Br J Orthod 1984;11:214‑20.
- Tripathi, T., Singh, N., Rai, P. & Gupta, P. Mini‑implant‑supported Twin‑block Appliance: An Innovative. 8.
- Coloccia G, Inchingolo AD, Inchingolo AM, Malcangi G, Montenegro V, Patano A, Marinelli G, Laudadio C, Limongelli L, Di Venere D, Hazballa D, D'Oria MT, Bordea IR, Xhajanka E, Scarano A, Lorusso F, Laforgia A, Inchingolo F, Dipalma G. Effectiveness of Dental and Maxillary Transverse Changes in Tooth-Borne, Bone-Borne, and Hybrid Palatal Expansion through Cone-Beam Tomography: A Systematic Review of the Literature. Medicina (Kaunas). 2021 Mar 19;57(3):288. doi: 10.3390/medicina57030288. PMID: 33808680; PMCID: PMC8003431.
- Ballini A, Cantore S, Fotopoulou EA, Georgakopoulos IP, Athanasiou E, Bellos D, Paduanelli G, Saini R, Dipalma G, Inchingolo F. Combined sea salt-based oral rinse with xylitol in orthodontic patients: clinical and microbiological study. J Biol Regul Homeost Agents. 2019 Jan-Feb,;33(1):263-268. PMID: 30724059.
- Ballini A, Cantore S, Scacco S, Perillo L, Scarano A, Aityan SK, Contaldo M, Cd Nguyen K, Santacroce L, Syed J, De Vito D, Dipalma G, Gargiulo Isacco C, Inchingolo F. A comparative study on different stemness gene expression between dental pulp stem cells vs. dental bud stem cells. Eur Rev Med Pharmacol Sci. 2019 Feb;23(4):1626-1633. doi: 10.26355/eurrev_201902_17122. PMID: 30840286.
- Ballini A, Cantore S, Scacco S, Perillo L, Scarano A, Aityan SK, Contaldo M, Cd Nguyen K, Santacroce L, Syed J, De Vito D, Dipalma G, Gargiulo Isacco C, Inchingolo F. A comparative study on different stemness gene expression between dental pulp stem cells vs. dental bud stem cells. Eur Rev Med Pharmacol Sci. 2019 Feb;23(4):1626-1633. doi: 10.26355/eurrev_201902_17122. PMID: 30840286.
- Dimonte M, Inchingolo F, Minonne A, Arditi G, Dipalma G. Bone SPECT in management of mandibular condyle hyperplasia. Report of a case and review of literature. Minerva Stomatol. 2004 May;53(5):281-5. English, Italian. PMID: 15263884.
- Cretella Lombardo, E. et al. Development of a Prediction Model for Short-Term Success of Functional Treatment of Class II Malocclusion. IJERPH 17, 4473 (2020).
- Montenegro V, Inchingolo AD, Malcangi G, Limongelli L, Marinelli G, Coloccia G, Laudadio C, Patano A, Inchingolo F, Bordea IR, Scarano A, Greco Lucchina A, Lorusso F, Inchingolo AM, Dipalma G, Di Venere D, Laforgia A. Compliance of children with removable functional appliance with microchip integrated during covid-19 pandemic: a systematic review. J Biol Regul Homeost Agents. 2021 Mar-Apr;35(2 Suppl. 1):365-377. doi: 10.23812/21-2supp1-37. PMID: 34281334.
- Cirulli N, Ballini A, Cantore S, Farronato D, Inchingolo F, Dipalma G, Gatto MR, Alessandri Bonetti G. Mixed dentition space analysis of a southern italian population: new regression equations for unerupted teeth. J Biol Regul Homeost Agents. 2015 Apr-Jun;29(2):515-20. PMID: 26122245.
- Department of Pedodontics, Taif University School of Dentistry, Taif, Saudi Arabia et al. Changes in Upper Airway Dimensions Following Orthodontic Treatment of Skeletal Class II Malocclusion with Twin Block Appliance: A Systematic Review. Turk J Orthod 33, 59–64 (2020).
- Ali, B., Shaikh, A., & Fida, M. (2015b). Effect of Clark's twin‐block appliance (CTB) and non‐extraction fixed mechano‐therapy on the pharyngeal dimensions of growing children. Dental Press Journal of Orthodontics, 20(6), 82–88. https://doi.org/10.1590/2177‐6709.20.6.082‐088.oar
- Roque‐Torres, G. D., Meneses‐López, A., Bóscolo, F. N., de Almeida, S. M., & Neto, F. H. (2015). La tomografía computarizada cone beam en la ortodoncia, ortopedia facial y funcional. Revista Estomatológica Herediana, 25(1), 60–77.
- Cantore S, Ballini A, Farronato D, Malcangi G, Dipalma G, Assandri F, Garagiola U, Inchingolo F, De Vito D, Cirulli N. Evaluation of an oral appliance in patients with mild to moderate obstructive sleep apnea syndrome intolerant to continuous positive airway pressure use: Preliminary results. Int J Immunopathol Pharmacol. 2016 Jun;29(2):267-73. doi: 10.1177/0394632015590949. Epub 2015 Dec 18. PMID: 26684627; PMCID: PMC5806714.
- Verma, G., Tandon, P., Nagar, A., Singh, G. P., & Singh, A. (2012). Cephalometric evaluation of hyoid bone position and pharyngeal spaces following treatment with Twin block appliance. Journal of Orthodontic Science, 1(3), 77–82. https://doi.org/10.4103/2278‐0203.103863
- Inchingolo AD, Patano A, Coloccia G, Ceci S, Inchingolo AM, Marinelli G, Malcangi G, Montenegro V, Laudadio C, Palmieri G, Bordea IR, Ponzi E, Orsini P, Ficarella R, Scarano A, Lorusso F, Dipalma G, Corsalini M, Gentile M, Venere DD, Inchingolo F. Genetic Pattern, Orthodontic and Surgical Management of Multiple Supplementary Impacted Teeth in a Rare, Cleidocranial Dysplasia Patient: A Case Report. Medicina (Kaunas). 2021 Dec 10;57(12):1350. doi: 10.3390/medicina57121350. PMID: 34946295; PMCID: PMC8709258.
- Zhang, C., He, H., & Ngan, P. (2013). Effects of twin block appliance on obstructive sleep apnea in children: A preliminary study. Sleep & Breathing, 17(4), 1309–1314. https://doi.org/10.1007/s11325‐013‐0840‐5
- Inchingolo, A. D. et al. The Efficacy of a New AMCOPâ Elastodontic Protocol for Orthodontic Interceptive Treatment: A Case Series and Literature Overview. International Journal of Environmental Research and Public Health 19, 988 (2022).
- Entrenas, I. et al. Evaluation of changes in the upper airway after Twin Block treatment in patients with Class II malocclusion. Clin Exp Dent Res 5, 259–268 (2019).
- Elhamouly, Y., El-Housseiny, A. A., Ismail, H. A. & El Habashy, L. M. Myofunctional Trainer versus Twin Block in Developing Class II Division I Malocclusion: A Randomized Comparative Clinical Trial. Dentistry Journal 8, 44 (2020).
- Cardarelli, F.; Patano, A.; Montenegro, V.; Malcangi, G.; Coloccia, G.; Inchingolo, A.D.; Marinelli, G.; Laudadio, C.; Dipalma, G.; Di Venere, D.; Inchingolo, F. Elastodontic therapy un nuovo approccio alla terapia ortodontica funzionale. Il Dentista Moderno 2021, 48-63.
Nota editoriale:
Autori
Fabio Piras, Vito Settanni, Assunta Patano, Sabino Ceci, Alessio Danilo Inchingolo, Gianna Dipalma, Angelo Michele Inchingolo, Valentina Montenegro, Giuseppina Malcangi, Giovanni Coloccia, Grazia Marinelli, Claudia Laudadio, Giulia Palmieri, Mariagrazia Garibaldi, Chiara Di Pede, Nunzio Cirulli, Filippo Cardarelli, Daniela Di Venere, Francesco Inchingolo.
Tag:
Una crescente attenzione sugli studi condotti sugli effetti della terapia funzionale, soprattutto per quanto riguarda la loro efficacia ed efficienza in ...
L’analisi cefalometrica gioca un ruolo determinante nella diagnosi dell’asimmetria del distretto maxillo-mandibolare, per questo è molto ...
L’analisi cefalometrica gioca un ruolo determinante nella diagnosi dell’asimmetria del distretto maxillo-mandibolare, per questo è molto ...
La classe II scheletrica rappresenta una malocclusione molto diffusa nella popolazione e può presentarsi con un’ampia varietà di configurazioni dentali ...
Webinar gratuito – Martedì 6 novembre – ore 21:00-22:00.
Insieme al dottor Marco Pasini* si parlerà di ipersensibilità dentinale: dai fattori di ...
Presentiamo un caso report realizzato dal dott. Luca Tacchini inerente alla gestione del punto di contatto nelle II classi.
Il dott. Gregorio Tortora condivide la sua esperienza clinica nella gestione delle patologie parodontali, soffermandosi in particolare sulle recessioni ...
All’inizio di un nuovo triennio formativo ECM (Formazione Continua in Medicina), è d’obbligo fare il bilancio su quello appena concluso, ...
SAN JOSE, California, USA: Secondo un rapporto pubblicato di recente, l’ aumento della domanda di trattamenti dentali e l’incremento della ...
Guglielmo Ramieri, Direttore della Scuola di Chirurgia Maxillofacciale dell’Università di Torino, parla di un evento di alto profilo svoltosi ...
Dr. Bruce McFarlane Certified Specialist in Orthodontics Fellow: Royal College of Dentists of Canada Diplomate: American Board of Orthodontics
Live webinar
mer. 15 aprile 2026
20:00 (CET) Rome
Live webinar
gio. 16 aprile 2026
2:00 (CET) Rome
Linda Hecker MS, BSDH, RDH
Live webinar
gio. 16 aprile 2026
18:00 (CET) Rome
Dr. Pär-Olov Östman, Dr. Robert Gottlander DDS
Live webinar
ven. 17 aprile 2026
18:00 (CET) Rome
Live webinar
ven. 17 aprile 2026
19:00 (CET) Rome
Dr. Stuart Yeaton BDentSc, MOrth
Live webinar
lun. 20 aprile 2026
19:00 (CET) Rome
Dr. Alberto Monje DDS, MS, PhD
To post a reply please login or register