Presentiamo un caso report realizzato dal dott. Luca Tacchini inerente alla gestione del punto di contatto nelle II classi.
La fotografia iniziale mostra la presenza di una carie estesa a carico del primo premolare (Fig. 1).
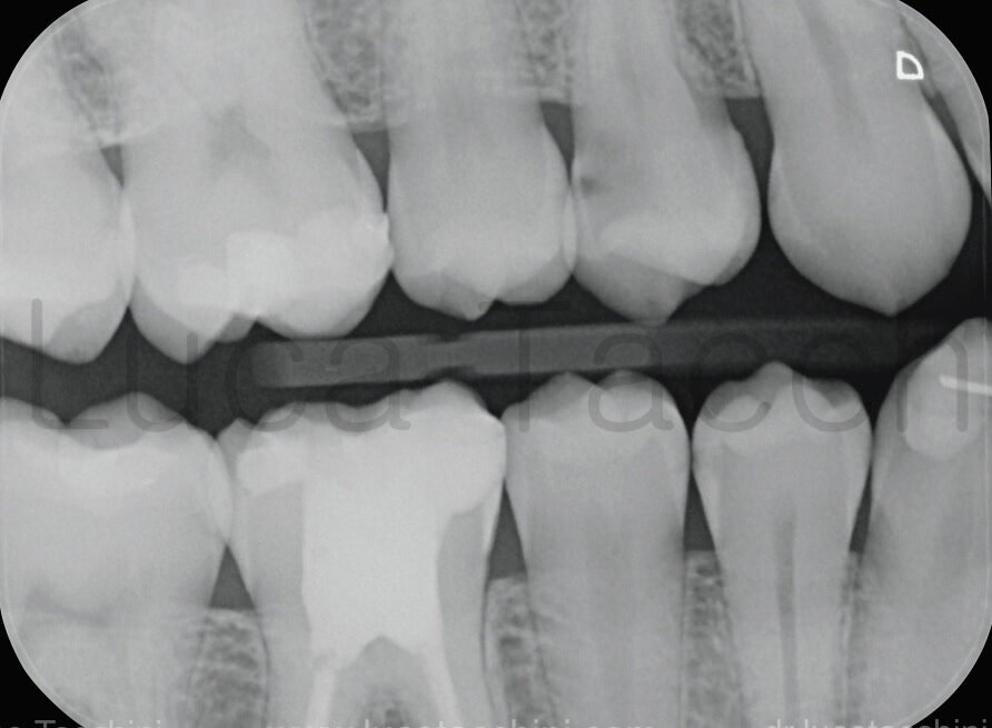
La radiografia bitewing, sempre necessaria per la diagnosi in conservativa, evidenzia anche la presenza di una lesione cariosa mesiale a carico dell’elemento 15 e di un restauro dal profilo incongruo sulla porzione mesiale dell’elemento 16 (Fig. 2).
Sono ripulite le cavità sotto diga. Data la profodità della lesione sull’elemento 14, dopo aver posizionato la diga, è stato inserito anche un filo da retrazione tra dente e diga per consentire a quest’ultima di invaginarsi ancora meglio e con maggiore stabilità. L’inserzione del filo serve a favorire anche una più rapida inserzione della matrice, che andrà ad inserirsi più facilmente tra dente e diga (Fig. 3).
La figura 4, è estratta dal video (clicca QUI) che mostra la sequenza per l’adattamento del sistema matrice-cuneo-anello. La matrice scelta in questo caso, come ormai nella quasi totalità dei casi che tratto, è la Garrison Composi-Tight® 3D Fusion™ Full Curve. Questa matrice presenta numerosi vantaggi:
- La superficie antiaderente, che evita l’incollarsi del composito;
- La morfologia che facilità l’inserzione subgengivale;
- La forma avvolgente, che le permette di abbracciare i denti posteriori e di adattarsi ancora meglio alle diverse anatomie.
La curvatura inoltre facilita ulteriormente il passaggio successivo, che consiste nell’adattamento dell’anello, che non interferirà con la matrice e di conseguenza eviterà di piegarla (Fig. 4).
L’anello visibile nel video, il Garrison Composi -Tight® 3D Fusion™ Ring, ha numerosi benefici:
- Consente alla matrice di adattarsi con precisione al dente, grazie ai supporti antiscivolo, consentendo di limitare al massimo i debordi;
- È molto stabile e non permette alla matrice di muoversi qualora si presenti la necessità di brunirla leggermente;
- Ha una notevole forza che consente di separare i denti contribuendo notevolmente alla riuscita di un ottimo punto di contatto.
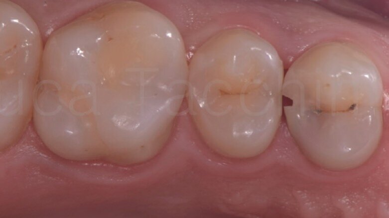
Le figure 5 e 6 mostrano i restauri ultimati sotto diga. Nella figura 7 viene mostrato il controllo a 3 mesi, mentre nella figura 8 è possibile visualizzare l’rx sempre a 3 mesi.
La moderna implantologia ha raggiunto un elevato grado di affidabilità e i livelli di sopravvivenza riportati in letteratura risultano estremamente ...
Una crescente attenzione sugli studi condotti sugli effetti della terapia funzionale, soprattutto per quanto riguarda la loro efficacia ed efficienza in ...
L’igienista dentale è orientato a vedere il proprio futuro professionale in un ambito non più di esclusività ma di confronto e ...
I traumi dentali, che rappresentano un grande “capitolo clinico”, sono di frequente riscontro nella pratica quotidiana di uno studio ...
Tra le molteplici forme di rischio professionale potenzialmente presente nell’attività dello studio odontoiatrico, il rischio biologico connesso con la ...
Le craniosinostosi (o craniostenosi) sono delle patologie caratterizzate dalla precoce chiusura di una o più suture della volta cranica. Questa ...
Le craniosinostosi (o craniostenosi) sono delle patologie caratterizzate dalla precoce chiusura di una o più suture della volta cranica. Questa ...
La mucosite del cavo orale rappresenta una complicanza frequente nell’ambito della gestione delle terapie di supporto nel paziente oncologico. La sua ...
L’analisi cefalometrica gioca un ruolo determinante nella diagnosi dell’asimmetria del distretto maxillo-mandibolare, per questo è molto ...
L’analisi cefalometrica gioca un ruolo determinante nella diagnosi dell’asimmetria del distretto maxillo-mandibolare, per questo è molto ...
Live webinar
gio. 22 gennaio 2026
15:00 (CET) Rome
Prof. Judith Jones D.D.S; M.P.H., Prof. Kakuhiro Fukai D.D.S., Ph.D, Dr. Bathsheba (Bethy) Turton
Live webinar
gio. 22 gennaio 2026
20:00 (CET) Rome
Dr. Nicola M. Grande DDS, PhD
Live webinar
mer. 28 gennaio 2026
14:00 (CET) Rome
Live webinar
mer. 28 gennaio 2026
17:00 (CET) Rome
Prof. Dr. Jan-Frederik Güth
Live webinar
mer. 28 gennaio 2026
17:00 (CET) Rome
Dr. Algimante Lošytė – Jančė
Live webinar
mer. 28 gennaio 2026
18:00 (CET) Rome
Live webinar
mer. 28 gennaio 2026
19:00 (CET) Rome
Dr. Marina Siegenthaler Dr. med. dent. eidg. dipl. Zahnärztin SSO
To post a reply please login or register