Scopo dello studio: presentare un caso di rigenerazione ossea “protetta” mediante una griglia in titanio custom-made contestuale a inserimento di due impianti osteointegrati.
Introduzione
Negli ultimi decenni, nei pazienti parzialmente o totalmente edentuli, la richiesta di riabilitazione mediante protesi supportate da impianti è cresciuta molto e la tecnica si è dimostrata affidabile e predicibile, con risultati a medio e lungo termine molto positivi1-5. La presenza di un adeguato volume osseo peri-implantare è, però, una condizione clinica necessaria al fine di ottenere una riabilitazione funzionalmente ed esteticamente corretta1. Tuttavia, deficit ossei tridimensionali possono impedire un inserimento implantare “protesicamente guidato” finché non vengano ripristinati sia i volumi ossei che la morfologia dei tessuti molli6-8. Tra le varie tecniche ricostruttive (innesti ossei in blocco, distrazione osteogenetica, splitting delle creste)6, 9-11, la rigenerazione ossea guidata (GBR) mediante membrane riassorbibili o non riassorbibili o la “protected bone regeneration” con griglie in titanio associate a osso autologo ed eterologo particolato sono quelle più utilizzate12-17, anche contestualmente all’inserimento di impianti (in presenza di piccoli deficit ossei). Seppure abbiano dimostrato buone percentuali di successo, le tradizionali griglie in titanio, sotto forma di fogli “aperti” (cioè dotati di molteplici fori) od occlusivi, presentano tuttavia alcuni svantaggi dovuti alla necessità di una modellazione intra-operatoria non sempre agevole che può determinare la creazione di spigoli vivi con conseguente esposizione della griglia e della ricostruzione stessa.
Per fornire una soluzione agli svantaggi descritti in precedenza, sono state messe sul mercato griglie in titanio “personalizzate” ottenute con tecnologia CAD/CAM partendo da modelli tridimensionali in resina ottenuti da CBCT e sui quali le griglie di titanio puro di classe IV vengono costruite per sinterizzazione laser. La precisione ottenuta con questa lavorazione permette di creare uno scaffold molto preciso per la rigenerazione ossea tridimensionale e semplifica la fase rigenerativa18-20. Inoltre, la presenza di una parte occlusiva della griglia è stata concepita per facilitare le manovre di rimozione della stessa e per evitare la penetrazione dei tessuti molli nella parte più basale del difetto. In questo caso clinico verranno descritte in dettaglio la pianificazione pre-operatoria, la procedura chirurgica e il risultato clinico finale di una rigenerazione ossea guidata mandibolare con griglia customizzata (Yxoss CBR protect, ReOss).
Presentazione caso clinico
La paziente N.L. di anni 72, non fumatrice, in buono stato di salute generale, si presentava in prima visita con la richiesta di riabilitare l’area edentula mandibolare in zona 4.6 e 4.7. Dopo un’attenta valutazione clinica e radiografica, si evidenziava un fenotipo parodontale medio, profondità di sondaggio fisiologiche su tutti gli elementi presenti in arcata, la presenza di alcuni restauri conservativi sia nell’arcata inferiore che superiore, senza segni di infiltrazione.
Nell’area edentula mandibolare, erano visibili un deficit osseo orizzontale e verticale che necessitava di una rigenerazione ossea ma che avrebbe permesso l’inserimento contestuale di impianti endossei (Figg. 1a-1c). La paziente, dopo valutazione delle alternative terapeutiche, sceglieva di eseguire una rigenerazione ossea protetta con l’utilizzo di una griglia in titanio customizzata contestualmente all’inserimento implantare. In una seduta successiva, venivano quindi rilevate delle impronte e veniva costruita una ceratura diagnostica con denti di dimensioni e posizione ideale per ottenere corretti rapporti intra- e inter-arcata e, successivamente, una dima diagnostico-radiologica con reperi radio-opachi, utilizzata per l’esecuzione di una CBCT.
I file Dicom ottenuti, inviati all’azienda produttrice, hanno permesso di ricavare modelli tridimensionali che riproducessero in modo fedele il deficit osseo e sui quali è stata costruita virtualmente e digitalmente la griglia che, dopo approvazione, è stata prodotta. Le dimensioni mesio-distali della griglia erano di 19 mm e l’entità volumetrica del deficit osseo di 1,26 cm3 (Figg. 2a, 2b). Il piano di trattamento ha previsto un intervento di ricostruzione ossea del difetto mediante una griglia customizzata e il contestuale inserimento di 2 impianti endossei e la successiva riabilitazione protesica fissa implanto-supportata.
Figg. 1a-1c_Foto clinica e sezioni di CBCT iniziali in cui si evidenzia edentulia distale all’elemento 4.5 con atrofia tridimensionale.
Figg. 1a-1c_Foto clinica e sezioni di CBCT iniziali in cui si evidenzia edentulia distale all’elemento 4.5 con atrofia tridimensionale.
Figg. 1a-1c_Foto clinica e sezioni di CBCT iniziali in cui si evidenzia edentulia distale all’elemento 4.5 con atrofia tridimensionale.
Figg. 2a, 2b_Modello digitale con il progetto definitivo della griglia in titanio customizzata Yxoss CBR protect.
Figg. 2a, 2b_Modello digitale con il progetto definitivo della griglia in titanio customizzata Yxoss CBR protect.
Procedura chirurgica
Dopo un’adeguata preparazione parodontale mediante igiene orale domiciliare, una profilassi farmacologica (2 g di Amoxicillina e acido clavulanico, clorexidina 0,2% collutorio, Zachelase cpr), la paziente è stata sottoposta alla prima fase chirurgica. L’accesso alla zona da ricostruire è stato eseguito mediante un lembo muco-periosteo in cresta con scarico mesiale su 4.5 e distale in zona retromolare. Sono stati eseguiti adeguati rilasci periostali in modo da rendere priva di tensione ed ermetica la successiva sutura del lembo e da minimizzare l’ematoma post-operatorio.
Il prelievo di osso autologo particolato è stato eseguito dal ramo mandibolare, distalmente alla zona da ricostruire mediante uno scraper (SafeScraper Twist, META). La griglia è stata provata nel sito ricevente per verificarne la congruità. Ogni residuo di tessuto connettivo è stato rimosso; per aumentare la rivascolarizzazione precoce del materiale innestato, sono state eseguite delle perforazioni della corticale ossea del sito ricevente (Figg. 3, 4). Dopo preparazione dei siti implantari, sono stati posizionati due impianti “root form” e “bone level” in zona 4.6 e 4.7 (4.1 x 8 mm; Straumann) usando una dima chirurgica. La griglia è stata quindi riempita con un mix di osso autologo ed eterologo (Geistlich Bio-Oss, Gestlich Pharma) in rapporto 1:1, è stata fissata con 3 micro-viti in titanio di 1.4 mm di diametro (MC Bio) ed è stata ricoperta con una membrana riassorbibile (Geistlich Bio-Gide, Gestlich Pharma; Figg. 5, 6). La sutura è stata eseguita per prima intenzione (Fig. 7).
Fig. 3_Fotografia che mostra la griglia sterile prima dell’inserimento nella sede da ricostruire.
Fig. 4_Visione intra-operatoria della griglia posizionata nel sito da rigenerare e che mostra il difetto osseo prima del suo riempimento.
Fig. 5_Visione intra-operatoria della griglia riempita con un mix di osso autologo particolato prelevato dal ramo mandibolare e osso eterologo in rapporto 1:1 e fissata mediante 3 viti in titanio di 1.4 mm di diametro e dopo inserimento di due impianti osteointegrati.
Fig. 6_Visione intra-operatoria della membrana riassorbibile (Geistlich Bio-Gide) posizionata sopra la griglia.
Fig. 7_Sutura ermetica del lembo di accesso mediante punti a materassaio orizzontale e punti singoli staccati, dopo l’esecuzione di rilasci periostali.
La paziente è stata dimessa con istruzioni dietetiche e terapia antibiotica, antisettica e antiedemigena associata alla terapia antidolorifica, al bisogno. Subito dopo l’intervento è stata eseguita una CBCT di controllo per verificare l’incremento ottenuto (Figg. 8a, 8b). Le suture sono state rimosse 20 giorni dopo e la paziente è stata sottoposta a controlli clinici a 1-3-6 mesi dall’intervento che non hanno evidenziato alcuna complicanza. Al sesto mese, si è proceduto alla rimozione della griglia e alla scopertura degli impianti (Figg. 9a-10). Al momento della rimozione della griglia, non è stata visibile alcuna significativa perdita ossea al di sotto della griglia e il tessuto osseo rigenerato è apparso di notevole consistenza. La morfologia della griglia, in parte occlusiva, ha dimostrato una maggiore facilità della sua rimozione rispetto a griglie non occlusive.
Figg. 8a, 8b_OPT e sezioni di CBCT dopo l’intervento che mostrano l’incremento osseo ottenuto.
Figg. 8a, 8b_OPT e sezioni di CBCT dopo l’intervento che mostrano l’incremento osseo ottenuto.
Figg. 9a-9c_Foto intra-operatoria durante la rimozione della griglia in titanio che evidenzia l’incremento osseo ottenuto e l’assenza di perdita ossea al di sotto della griglia.
Figg. 9a-9c_Foto intra-operatoria durante la rimozione della griglia in titanio che evidenzia l’incremento osseo ottenuto e l’assenza di perdita ossea al di sotto della griglia.
Figg. 9a-9c_Foto intra-operatoria durante la rimozione della griglia in titanio che evidenzia l’incremento osseo ottenuto e l’assenza di perdita ossea al di sotto della griglia.
Fig. 10_Foto clinica che mostra la scopertura dei due impianti nel tessuto rigenerato, eseguita nella seduta di rimozione della griglia.
Dopo due settimane, è stata eseguita una scansione 3D con scan body e sono state consegnate due corone provvisorie avvitate sugli impianti, in modo da poter condizionare i tessuti molli peri-implantari (Figg. 11-12b). A causa di un’inadeguata banda di mucosa cheratinizzata sul versante vestibolare, è stato eseguito un intervento di vestiboloplastica con affondamento di fornice e innesto epitelio-connettivale prelevato dal palato (Figg. 13, 14). Dopo un’ulteriore maturazione dei tessuti, una nuova scansione ha permesso di dare informazioni all’odontotecnico circa il tragitto transmucoso ottenuto con i provvisori e sono state consegnate due corone definitive avvitate in zirconio (odt. Alessandro Giacometti; Figg. 15-19b). La paziente è stata seguita con controlli periodici clinici e radiografici a 6 mesi, 1 anno e 2 anni dal carico protesico (Figg. 20a, 20b).
Fig. 11_Immagini della scansione 3D eseguita con scanner ottico per esecuzione del manufatto protesico provvisorio.
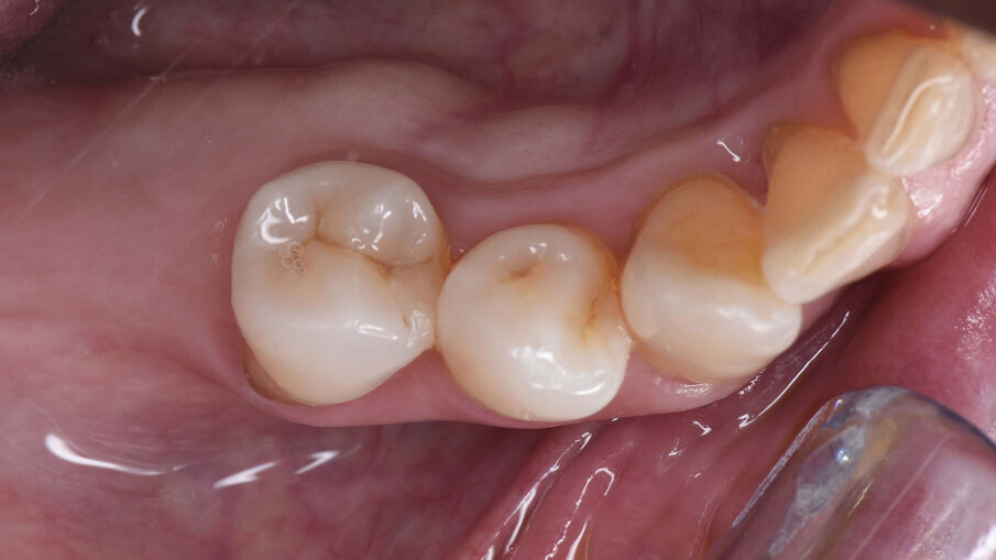
Figg. 12a, 12b_Immagine clinica e radiografica che mostrano il manufatto protesico provvisorio.
Figg. 12a, 12b_Immagine clinica e radiografica che mostrano il manufatto protesico provvisorio.
Fig. 13_Lembo a mezzo spessore per esecuzione di vestiboloplastica e innesto epitelio-connettivale.
Fig. 14_Immagine clinica dopo vestiboloplastica con innesto epitelio connettivale per aumentare la banda di mucosa cheratinizzata intorno agli impianti.
Fig. 15_Immagine clinica dopo condizionamento dei tessuti molli peri-implantari.
Fig. 16_Immagini della scansione 3D eseguita con scanner ottico per eseguire il manufatto protesico definitivo.
Fig. 17_Workflow in laboratorio (Odt. Alessandro Giacometti): dopo acquisizione delle impronte digitali intraorali, queste vengono importate nel software CAD Dental Design (3Shape). La scansione delle forme dei provvisori funzionalizzati permette di usarli per sviluppare le forme anatomiche del nostro futuro restauro. La scelta, dal portfolio del software, delle componenti protesiche adeguate per profilo d’emergenza protesico, profondità del tunnel mucoso e ritenzione protesica consente di completare il wax-up anatomico. Successivamente, sempre digitalmente, il “cut-back” vestibolare permette di calcolare lo spazio adeguato per la stratificazione successiva. I manufatti protesici sono pronti per essere esportati tramite un file .Stl e inviati all’unità fresante CAM dove vengono trasformati in zirconio per essere finalizzati.
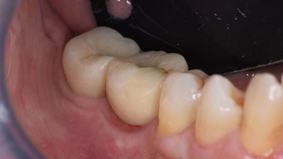
Figg. 18a, 18b_Elementi definitivi in zirconio avvitati.
Figg. 18a, 18b_Elementi definitivi in zirconio avvitati.
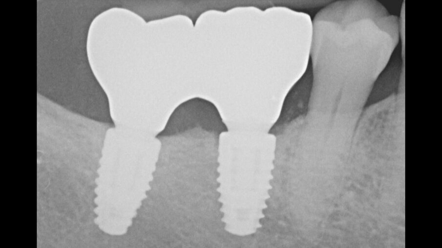
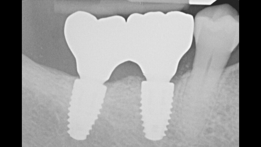
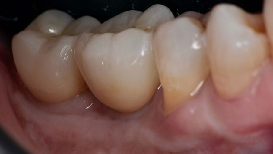
Figg. 19a, 19b_Immagine clinica e radiografica che mostrano il manufatto protesico finale.
Figg. 19a, 19b_Immagine clinica e radiografica che mostrano il manufatto protesico finale.
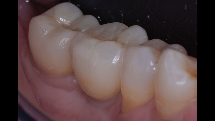
Figg. 20a, 20b_Controllo clinico e radiografico a due anni dal carico protesico.
Figg. 20a, 20b_Controllo clinico e radiografico a due anni dal carico protesico.
Risultati
Al momento della rimozione della griglia, non è stata rilevata alcuna significativa perdita ossea e, a distanza di 2 anni dal carico protesico, la stabilità dei tessuti duri e molli ha garantito un risultato estetico e funzionale ideale.
Discussione
La rigenerazione ossea di difetti orizzontali e/o verticali dei mascellari rimane una delle procedure chirurgiche più complesse, soprattutto in caso di gravi atrofie. Tra le differenti tecniche per aumentare il volume osseo per il posizionamento degli impianti in una posizione corretta dal punto di vista anatomico e protesico8, 21, 22, l’uso di tecniche di rigenerazione ossea “protetta” mediante griglie in titanio si è dimostrata una buona alternativa chirurgica ma con difficoltà legate alle abilità dell’operatore (durante le manovre di modellazione, adattamento e fissaggio), all’aumento dei tempi operatori, alla possibilità di creare spigoli vivi che favoriscono l’esposizione della mesh. Le griglie customizzate e costruite mediante tecnologia CAD/CAM sembrano essere una valida soluzione poiché sono estremamente precise, semplificano e accorciano le fasi chirurgiche e hanno dimostrato un grande potenziale di incremento dei tessuti duri, un mantenimento del volume iniziale “guadagnato” al momento dell’inserimento degli impianti e una buona qualità ossea del tessuto rigenerato come dimostrato da due recenti studi clinici e istomorfometrici di Chiapasco et al. e Dellavia et al.23, 24.
Conclusione
Il caso clinico presentato sembra dimostrare che la rigenerazione ossea con griglie in titanio CAD/CAM consente sia l’inserimento immediato che differito di impianti in siti con deficit ossei più o meno severi, in posizione ottimale e protesicamente guidata.
Bibliografia
- Albrektsson T, Zarb G, Worthington P, Eriksson AR. The long-term efficacy of currently used dental implants: a review and proposed criteria of success. Int J Oral Maxillofac Implants. 1986 Summer;1(1):11-25.
- Albrektsson T, Chrcanovic B, Östman PO, Sennerby L. Initial and long-term crestal bone responses to modern dental implants. Periodontol 2000. 2017 Feb;73(1):41-50. doi: 10.1111/prd.12176.
- Buser D, Mericske-Stern R, Bernard JP, Behneke A, Behneke N, Hirt HP, Belser UC, Lang NP. Long-term evaluation of non-submerged ITI implants. Part 1: 8-year life table analysis of a prospective multi-center study with 2359 implants. Clin Oral Implants Res. 1997 Jun;8(3):161-72.
- Moraschini V, Poubel LA, Ferreira VF, Barboza ES. Evaluation of survival and success rates of dental implants reported in longitudinal studies with a follow-up period of at least 10 years: a systematic review. Int J Oral Maxillofac Surg. 2015;44(3):377–88.
- Schiegnitz E, Al-Nawas B, Tegner A, Sagheb K, Berres M, Kammerer PW, et al. Clinical and radiological long-term outcome of a tapered implant system with special emphasis on the influence of augmentation procedures. Clin Implant Dent Relat Res. 2016;18(4):810–20.
- Chiapasco M, Casentini P, Zaniboni M. Bone augmentation procedures in implant dentistry. Int J Oral Maxillofac Implants. 2009;24 Suppl:237-59.
- Benic GI, Hämmerle CH. Horizontal bone augmentation by means of guided bone regeneration. Periodontol 2000. 2014 Oct;66(1):13-40. doi: 10.1111/prd.12039.
- Chiapasco M, Casentini P. Horizontal bone-augmentation procedures in implant dentistry: prosthetically guided regeneration. Periodontol 2000. 2018 Jun;77(1):213-240. doi: 10.1111/prd.12219.
- Mestas G, Alarcón M, Chambrone L. Long-Term Survival Rates of Titanium Implants Placed in Expanded Alveolar Ridges Using Split Crest Procedures: A Systematic Review. Int J Oral Maxillofac Implants. 2016;31(3):591–599. doi:10.11607/jomi.4453
- Von Arx T, Buser D Horizontal ridge augmentation using autogenous block grafts and the guided bone regeneration technique with collagen membranes: a clinical study with 42 patients. Clin Oral Implants Res. 2006 Aug;17(4):359-66.
- Chin M, Toth BA. Distraction osteogenesis in maxillofacial surgery using internal devices: review of five cases. J Oral Maxillofac Surg. 1996 Jan;54(1):45-53; discussion 54.
- Lang NP, Hämmerle CH, Brägger U, Lehmann B, Nyman SR. Guided tissue regeneration in jawbone defects prior to implant placement. Clin Oral Implants Res. 1994 Jun;5(2):92-7.
- Chiapasco M, Abati S, Romeo E, Vogel G. Clinical outcome of autogenous bone blocks or guided bone regeneration with e-PTFE membranes for the reconstruction of narrow edentulous ridges. Clin Oral Implants Res. 1999 Aug;10(4):278-88.
- Hämmerle CH, Jung RE, Feloutzis A. A systematic review of the survival of implants in bone sites augmented with barrier membranes (guided bone regeneration) in partially edentulous patients. J Clin Periodontol. 2002;29 Suppl 3:226-31; discussion 232-3.
- Urban IA, Nagursky H, Lozada JL, Nagy K Horizontal ridge augmentation with a collagen membrane and a combination of particulated autogenous bone and anorganic bovine bone-derived mineral: a prospective case series in 25 patients. Int J Periodontics Restorative Dent. 2013 May-Jun;33(3):299-307. doi: 10.11607/prd.1407.
- Proussaefs P, Lozada J. Use of titanium mesh for staged localized alveolar ridge augmentation: clinical and histologic-histomorphometric evaluation. J Oral Implantol. 2006; 32:237-47.
- Roccuzzo M, Ramieri G, Bunino M, Berrone S. Autogenous bone graft alone or associated with titanium mesh for vertical alveolar ridge augmentation: a controlled clinical trial. Clin Oral Implants Res. 2007 Jun;18(3):286-94.
- Sumida T, Otawa N, Kamata YU, Kamakura S, Mtsushita T, Kitagaki H, et al.. Custom-made titanium devices as membranes for bone augmentation in implant treatment: clinical application and the comparison with conventional titanium mesh. J Craniomaxillofac Surg. 2015;43(10):2183–8.
- Sagheb K., Schiegnitz E., Moergel M., Walter C. Al-Nawas B., Wagner W.. Clinical outcome of alveolar ridge augmentation with individualized CAD-CAM-produced titanium mesh. International Journal of Implant Dentistry (2017) 3:36
- Seiler M, Kämmerer PW, Peetz M, Hartmann A. Customized lattice structure in reconstruction of three-dimensional alveolar defects. Int J Comput Dent. 2018;21(3):261-267.
- Araújo PP, Oliveira KP, Montenegro SC, Carreiro AF, Silva JS, Germano AR. Block allograft for reconstruction of alveolar bone ridge in implantology: a systematic review. Implant Dent. 2013 Jun;22(3):304-8.
- Wessing B, Lettner S, Zechner W. Guided Bone Regeneration with Collagen Membranes and Particulate Graft Materials: A Systematic Review and Meta-Analysis. Int J Oral Maxillofac Implants. 2018 January/February;33(1):87–100. doi: 10.11607/jomi.5461.
- Chiapasco M, Casentini P, Tommasato G, Dellavia C, Del Fabbro M. Customized CAD/CAM titanium meshes for the guided bone regeneration of severe alveolar ridge defects: Preliminary results of a retrospective clinical study in humans. Clin Oral Implants Res. 2021 Apr;32(4):498-510. doi: 10.1111/clr.13720. Epub 2021 Mar 1. PMID: 33548069.
- Dellavia C, Canciani E, Pellegrini G, Tommasato G, Graziano D, Chiapasco M. Histological assessment of mandibular bone tissue after guided bone regeneration with customized computer-aided design/computer-assisted manufacture titanium mesh in humans: A cohort study. Clin Implant Dent Relat Res. 2021 Aug;23(4):600-611. doi: 10.1111/cid.13025. Epub 2021 Jun 17. PMID: 34139056.
L'articolo è stato pubblicato su implants international magazine of oral implantology, italian edition n. 2/23.
Tag:
Lo scopo di questo articolo è quello di presentare un caso clinico di rigenerazione ossea guidata (GBR) mediante una griglia in titanio custom-made e con ...
Gli innesti ossei sono una procedura chirurgica che permette di ristabilire un volume osseo adeguato prima di una terapia implantare, utilizzando materiali ...
La più importante innovazione degli ultimi anni nel campo della rigenerazione ossea guidata (GBR) è rappresentato dalle griglie in titanio CAD/CAM ...
La stabilizzazione del coagulo adeso alla superficie radicolare, in un ambiente protetto da interferenze di natura meccanica e microbiologica, è ...
La stabilizzazione del coagulo adeso alla superficie radicolare, in un ambiente protetto da interferenze di natura meccanica e microbiologica, è ...
Gli innesti ossei sono una procedura chirurgica che permette di ristabilire un volume osseo adeguato prima di una terapia implantare, utilizzando materiali ...
La rigenerazione ossea guidata (GBR) è una tecnica di incremento osseo efficace e ben documentata. L’espressione “incremento osseo ...
HANOI, Vietnam: I metodi tradizionali per il fissaggio dei bottoni ausiliari nella terapia con allineatori riducono i significativi benefici clinici per la ...
La raccolta di informazioni riguardanti il paziente per determinare il tipo di trattamento implantare rientra nella categoria di progettazione protesica ...
La raccolta di informazioni riguardanti il paziente per determinare il tipo di trattamento implantare rientra nella categoria di progettazione protesica ...
Live webinar
mer. 22 aprile 2026
17:00 (CET) Rome
MDT Andreas Chatzimpatzakis
Live webinar
mer. 22 aprile 2026
17:00 (CET) Rome
Live webinar
mer. 22 aprile 2026
18:00 (CET) Rome
Live webinar
gio. 23 aprile 2026
17:00 (CET) Rome
Live webinar
gio. 23 aprile 2026
18:30 (CET) Rome
Live webinar
gio. 23 aprile 2026
19:00 (CET) Rome
Live webinar
gio. 30 aprile 2026
1:00 (CET) Rome
Dr. Renato Leonardo D.M.D.
To post a reply please login or register