L’aumento della vita media della popolazione porta all’osservazione degli odontoiatri un numero crescente di pazienti che presentano detrimento dei rapporti intermascellari per parafunzioni, cure incongrue, perdita di elementi dentari. Il progetto di una nuova occlusione può essere affrontato secondo i criteri espressi da diverse scuole.
L’oggetto di questo articolo è un report relativo all’uso di strumenti digitali nel processo di diagnosi, pre-terapia e terapia protesica con occlusione sequenziale per un caso clinico complesso, che presenta perdita di dimensione verticale di occlusione, di alcuni elementi dentari e multiple fratture dei restauri protesici esistenti. L’utilizzo di procedure digitali interessa le fasi diagnostiche, di programmazione occlusale al CAD e di costruzione delle strutture protesiche al CAM. Queste si sono rivelate utili, rispetto alle procedure tradizionali, alla riduzione dei tempi di lavorazione, al miglioramento del comfort per il Paziente, al controllo della conformità dei manufatti e, in definitiva, alla più agevole applicazione di procedure diagnostiche e terapeutiche funzionalmente individualizzate per un caso clinico occlusalmente compromesso.
_Premesse
La vita media della popolazione è stata in aumento per molti anni e ciò porta all’osservazione degli odontoiatri un numero crescente di Pazienti che presentano malocclusione per croniche parafunzioni causanti usure o fratture, introduzione di cure incongrue, perdite di elementi dentari non compensate. Chiunque si occupi di cefalometria sa bene che la morfologia del cranio e dell’occlusione nella popolazione non sono affatto “a valori medi” ma evidenziano invece una grande variabilità individuale.
Il progetto di una nuova occlusione può essere affrontato secondo i criteri espressi da diverse scuole: alcune di esse prevedono l’utilizzo di una funzione occlusale a dominanza canina, altre la costruzione di guide funzionali di gruppo, altre ancora la costruzione di una occlusione bilanciata bilaterale. La scuola del Prof. R. Slavicek prevede la programmazione di una funzione occlusale sequenziale a dominanza canina. Qualunque setup occlusale il clinico ritenga corretto utilizzare per il caso trattato, rimane precisa responsabilità dell’odontoiatra fornire all’odontotecnico tutti i dati necessari alla costruzione di una nuova occlusione; fra questi: l’inclinazione del piano occlusale, la dimensione verticale di occlusione, e i valori delle determinanti posteriori e anteriori dell’occlusione, le inclinazioni dei tragitti condilari sagittali, degli angoli di Bennet e delle guide incisali.
L’oggetto di questo articolo è un report relativo all’uso di strumenti digitali nella diagnosi, pre-terapia e terapia per il design di una funzione occlusale sequenziale a dominanza canina in un caso clinico complesso, che presenta perdita di dimensione verticale di occlusione, di alcuni elementi dentari e multiple fratture dei restauri protesici esistenti. In particolare in casi simili un’accurata pianificazione della funzione occlusale, rispettosa dell’anatomia del paziente, crea i presupposti per il ripristino e il mantenimento della salute neuromuscolare e per una corretta e duratura integrazione dei nuovi restauri protesici.
La programmazione e la ceratura accurate di una guida funzionale sequenziale a dominanza canina richiedono competenza e perizia nel design e nell’esecuzione tecnica. Proponiamo qui l’utilizzo di procedure digitali nelle fasi diagnostica, di programmazione occlusale al CAD e di costruzione delle strutture protesiche al CAM, con l’obiettivo di rendere di agevole gestione un flusso di lavoro complesso, a vantaggio di un più facile accesso ad una personalizzazione del design occlusale per una emergente platea di pazienti con funzione dentale compromessa.
_Acronimi
- TMJ: Temporo Mandibular Joint(s) = Articolazione Temporo-Mandibolare (ATM)
- RP: Reference Position
- TRP: Therapeutic Reference Position
- VDO: Vertical Dimension of Occlusion = DVO Dimensione Verticale di Occlusione
- SCI: Sagittal Condylar Inclination = Inclinazione Condilare Sagittale
- OJ: Over-Jet
- OB: Over-Bite
_Caso Clinico
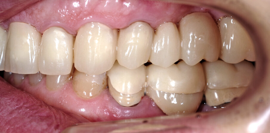
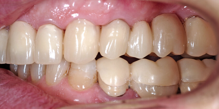
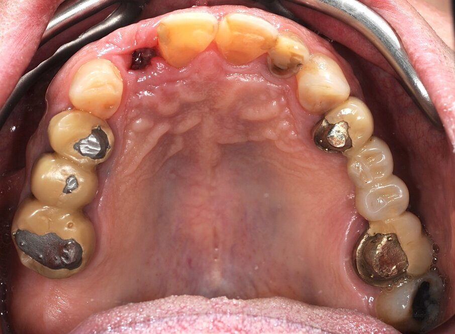
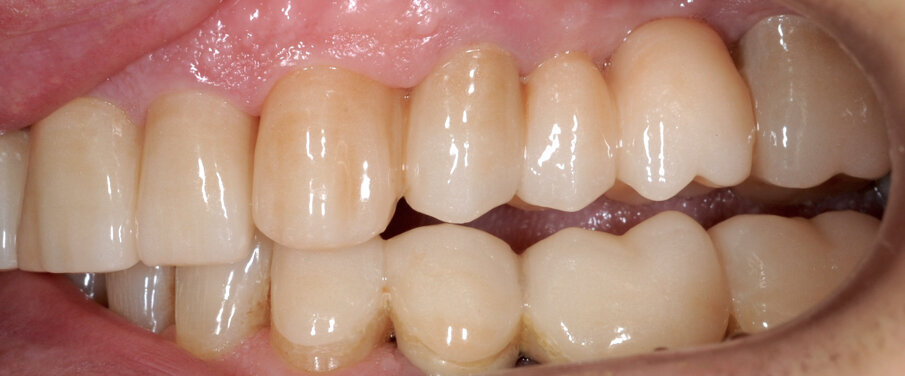
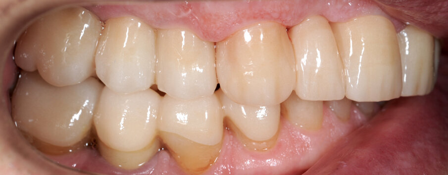
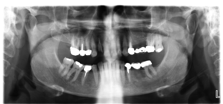
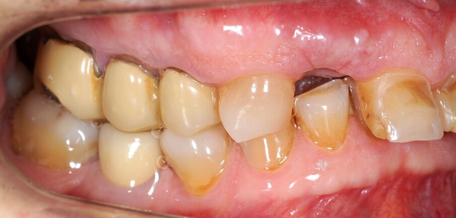
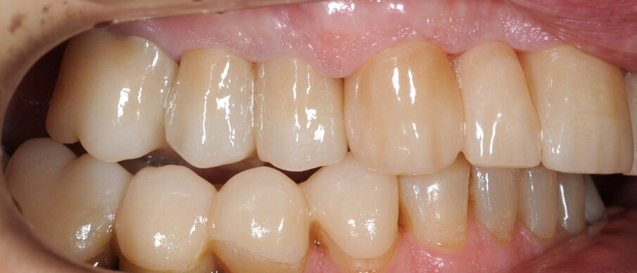
Un paziente di 66 anni, con anamnesi patologica di NIDDM ben compensato e cardio-vasculopatia ischemica in buon compenso farmacologico, si presenta alla nostra attenzione per ascesso parodontale alla radice residua del dente 1.2 e per multiple fratture dei manufatti protesici esistenti (Figg. 1-6). È evidente la presenza di grave malocclusione con perdita di VDO, usure e fratture dei restauri protesici e dei denti residui, presenza di abfractions cervicali. Il paziente evidenzia alla visita modesta dolenzia muscolare alla palpazione, specie a carico dei muscoli pterigoidei mediali e temporali, apertura della bocca ridotta e lieve rumorosità delle TMJ.
L’infezione a carico della radice del dente 1.2 è immediatamente attribuibile a frattura verticale con sondaggio positivo di 9 mm (Fig. 7). Estratta la radice di 1.2 fratturata, il paziente richiede una riabilitazione protesica fissa all’arcata superiore che preveda il minor numero possibile di interventi endodontici e chirurgici. Viene da noi proposta una riabilitazione protesica full arch che consenta, previo studio del caso gnatologico e terapia interlocutoria con provvisori in PMMA, la definizione di un’occlusione a funzione sequenziale in TRP per l’aumento controllato della VDO e la stabilizzazione dei rapporti articolari, ora visibilmente compromessi.
Si esegue perciò cefalometria (Fig. 8) su radiografia latero-laterale (Fig. 9) e axiografia dei movimenti limite (Cadiax Compact, Gamma Dental) (Fig. 10) per la programmazione di un articolatore a valori medi (Artex TR, AmmanGirrbach) e montaggio dei modelli con arco faciale, che confortano nella produzione di un primo provvisorio prelimatura con rialzo arbitrario della VDO di 5 mm sull’asta incisale e miglioramento di OB e OJ, a scopo pre-terapeutico interlocutorio e di immediata risoluzione estetica. Conclusa la necessaria terapia causale e restaurativa viene eseguita la scansione intraorale delle arcate (TRIOS 3 Pod, 3Shape) (Figg. 11-14) e del rapporto articolare con cera di RP (Fig. 15). La scansione è stampata (VisiJet RWT, 3D Systems) con monconi sfilabili tramite stampante 3D (ProJet MJP 2500 Plus, Selltek) (Figg. 16-20), i modelli derivanti sono zoccolati e montati con cere di RP e arco faciale su articolatore a valori individuali (Reference SL, Gamma Dental). La programmazione dell’articolatore derivante dalla registrazione axiografica è ora eseguita come da indicazioni del software (Gamma Dental software, sia per l’uso degli inserti condilari ed incisali, sia per la definizione degli angoli di SCI e di Bennet (Fig. 21). Lo spazio protesico risultante a una VDO adeguata alla riabilitazione dei denti anteriori vitali, con anatomia non ulteriormente modificabile, è insufficiente per uno stabile ripristino dei rapporti occlusali, specie nei tragitti funzionali. Si decide perciò di impiegare due inserti rossi di programmazione di protrusiva (+2 mm) per riposizionare la mandibola in TRP (Figg. 22, 23).
Ciò consente un miglioramento dei rapporti interarcata, un guadagno di spazio protesico in regioni premolari e molari, ed il mantenimento di uno spazio protesico conforme ad una corretta anatomia per i denti vitali da 1.3 a 2.3. Al paziente viene pertanto aggiornato il piano di trattamento e proposta la riabilitazione in TRP, con la previsione di overlays all’arcata inferiore per costruzione del nuovo piano occlusale. In posizione terapeutica sono modellati i coni delle centriche attive sui monconi sfilabili all’arcata inferiore, per la successiva individuazione al CAD con modulo articolatore del piano occlusale studiato. Questo rapporto articolare in TRP è ora scansito con scanner da laboratorio Xanos Evo Scan Compact (Fig. 24).
I modelli sono così importati in corretta posizione spaziale tramite il modulo exocad Virtual Articulator (Fig. 25). Non avendo a disposizione nel CAD l’analogo virtuale dell’articolatore Reference SL, viene impostato il sistema virtuale SAM, che usa lo stesso piano di riferimento axio-orbitale e geometria sovrapponibile al Reference SL. Per la programmazione virtuale dei parametri funzionali dell’articolatore si riesegue l’output dall’axiografia elettronica con Gamma Dental per SAM (Fig. 26). Si procede perciò ora con la modellazione CAD della ceratura mantenendo il riferimento dato dal piano occlusale individuato dai coni di centrica scansiti con l’articolatore (Fig. 27). L’articolatore virtuale consente una prima verifica dei rapporti occlusali tra gli elementi e un abbozzo di funzionalizzazione delle cuspidi con strumenti virtuali dinamici, che permette di arrivare ad un CAD design vicino alla morfologia ricercata (Figg. 28-33). Il modellato è ora fresato in cera Yeti Dental al CAM con fresatore VHF Cam5-S1 ed i denti in cera, tutti singolarmente sfilabili, sono posizionati sui modelli eseguiti con stampa 3D.
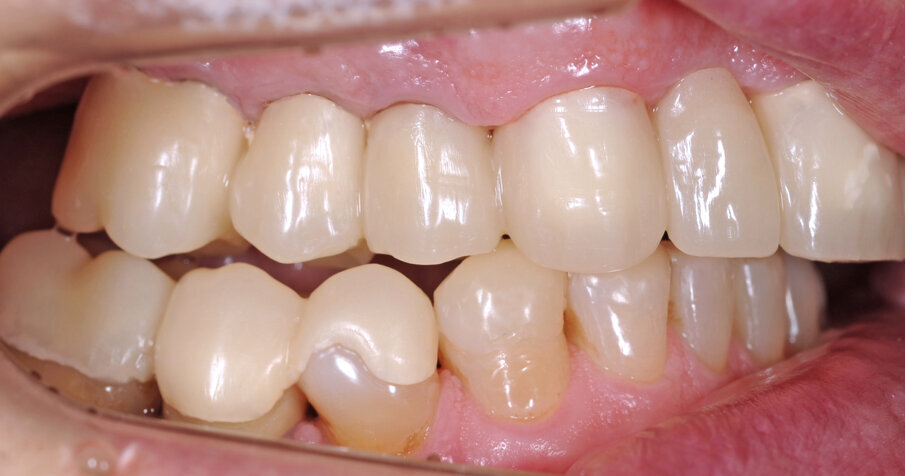
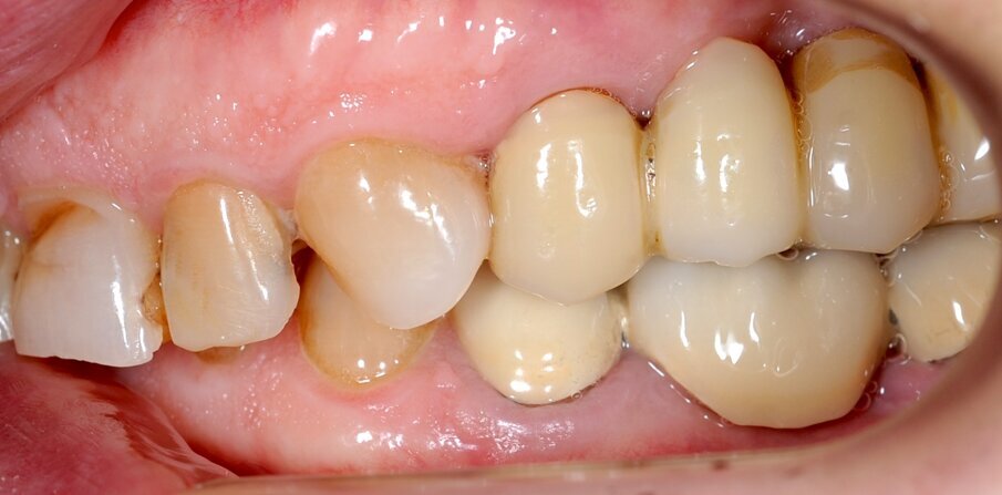
Il fresato ottenuto è poi riportato su articolatore Reference SL – già opportunamente programmato – e viene dall’Odontotecnico competente più precisamente funzionalizzato secondo i criteri della programmazione funzionale sequenziale, evidenziando con cere colorate i rapporti di centrica, le funzioni di mediotrusiva e protrusiva e le protezioni retrusive. I monconi sfilabili consentono la modellazione della sequenzialità mediotrusiva con la guida incisale indicata dalla registrazione axiografica (blu) (Figg. 34-37). La ceratura sequenziale è ora scansita con Sirona InEos X5 su Exocad, ed il modellato viene ricontrollato al CAD per spessori, connessioni e morfologia, e nella regolazione degli offsets per la ripreparazione dei monconi, ed è inviato al CAM per la fresatura dei II provvisori in Bredent breCAM.multicom, un PMMA con microriempitivo ceramico ad alta stabilità, su Dental Plus 5 Axis Milling Machine. La rifinitura dei monconi è seguita da ribasatura dei II provvisori in TRP - previo isolamento di tutte le superfici funzionali - e gli stessi sono poi rifiniti e lucidati. I soli elementi 3.3, 4.2 e 4.3 sono rimodellati in regione incisale con addictions in composito, secondo la morfologia studiata in ceratura. La consegna conferma la buona integrazione dei manufatti dal punto di vista estetico, occlusale, articolare e neuromuscolare, con controllo occlusale conforme al progetto (Figg. 38-42).
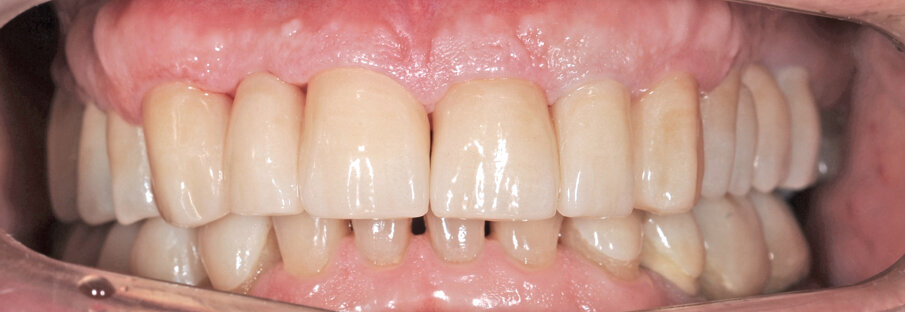
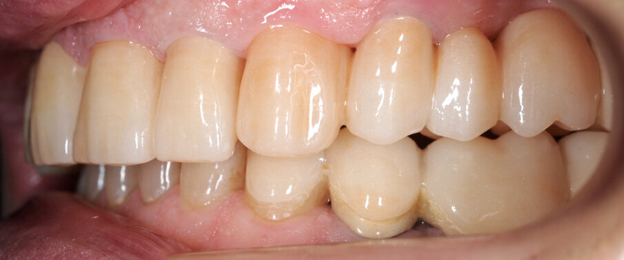
Il paziente utilizza questi secondi provvisori per otto settimane, durante le quali conferma la buona integrazione dei restauri e la soddisfacente funzione occlusale. Ciò è verificato con l’esecuzione di una nuova axiografia elettronica che già a due settimane dalla consegna evidenzia una buona risposta muscolare al nuovo design occlusale ed alla nuova postura mandibolare in TRP (Figg. 43-46). Provvediamo infine alle impronte per la costruzione dei manufatti definitivi in Zirconia-ceramica. I modelli sono scansiti in laboratorio con inEos X5 (Dentsply Sirona) su exocad (Figg. 47-49), ed una seconda scansione viene eseguita con i provvisori del Paziente posizionati sui modelli (Figg. 50-52). Il CAD consente di eseguire un matching fra le due scansioni, per cui i secondi provvisori utilizzati in TRP, con funzione occlusale sequenziale già completamente programmata, sono utilizzati per definire le morfologie dentali definitive di tutti gli elementi da restaurare (Figg. 53, 54) secondo il rapporto intermascellare definito (Figg. 55-58). Si esegue quindi fresatura al CAM della protesi definitiva in zirconia (Figg. 59, 60), la stratificazione e finitura ed infine la consegna al Paziente con cementazione in Panavia V5 (Figg. 61-65).
_Discussione e conclusioni
Il flusso di lavoro diagnostico e tecnico per il design di un’occlusione funzionale sequenziale a dominanza canina si è rivelato, con gli strumenti digitali oggi disponibili, di vantaggio per il Clinico e per il paziente, consentendo una riduzione dei tempi e delle procedure. Il tempo impiegato nella diagnosi funzionale e nel design del modellato sequenziale è infatti ridotto, nonostante l’assenza di tools dedicati obblighi ad eseguire procedure di modellazione CAD ripetitive, e la definizione dei modelli così ottenuta consente di replicare al CAM il progetto con i diversi materiali disponibili secondo necessità, con tempi e costi più contenuti rispetto alle procedure tradizionalmente descritte.
Ulteriori esperienze sono necessarie per l’affinamento di una procedura ideale, cui sarebbe utile la disponibilità di CAD tools specifici per lo scopo. Ciò può peraltro essere applicato con identica procedura alla costruzione di qualunque tipo di controllo funzionale dell’occlusione: a dominanza canina pura, di gruppo o bilanciato bilaterale, secondo le scelte del clinico. Rimane senz’altro evidente l’enorme vantaggio di poter eseguire una scansione dei II provvisori in TRP a qualche tempo dalla consegna, in modo da acquisire i dettagli della reale funzione del paziente per l’analisi al CAD e per la costruzione delle protesi definitive nel materiale scelto dal clinico.
_Ringraziamenti
Un vivissimo ringraziamento è qui rivolto agli Odontotecnici Sig. Marco Marzolla di MG Dental Lab Snc di Chieri (TO, I) per il CAD/CAM, ed al Sig. Maurizio Melano di Pinerolo (TO, I) per i concetti di ceratura funzionale sequenziale, che hanno contribuito con assoluta competenza, passione e spirito collaborativo alla definizione del caso clinico oggetto della presente trattazione.
_Bibliografia
- Abduo J. Safety of increasing vertical dimension of occlusion: a systematic review. Quintessence Int. 2012; 43:369.
- AkimotoS, Kubota M, Sato S. Increase in vertical dimension and maxillo-mandibular growth in a longitudinal growth sample. J Stomat Occ Med. 2010; 3:15-19.
- Bassetti N. The vertical dimension in prosthesis and orthognathodontics. Integration between function and aesthetics. Edra. 2016.
- Carlsson GE, Ingervall B, Kobak G. Effect of increasing vertical dimension of the masticatory system in subjects with natural teeth. J Prosthet Dent. 1979; 41:284.
- Celar AG, Tamaki K. Accuracy of recording horizontal condylar inclination and Bennet angle with the Cadiax Compact. J Oral Rehabil. 2002 Nov; 29(11): 1076-81.
- Dowson PE. Occlusione Funzionale. Elsevier. 2009.
- Fukoe H, Basili K et al. Three-dimensional analyses of the mandible and the occlusal architecture of mandibular dentition. Int J Stomat Occ Med. 2012; 5(3):119-129.
- Hanashima M, Sakakibara K, Slavicek R, Sato S. A study regarding occlusal plane and posterior disclusion. J Stomat Occ Med. 2008; 1:27-33.
- Manns A, Miralles R, Palazzi C. EMG. Bite force and elongation of the masseter muscle under isometric voluntary contractions and variations of vertical dimension. J Prosthet Dent. 1979; 42:674.
- Martignoni M, Schonenberger A. Precision fixed prosthodontics: clinical and laboratory aspects. Quintessence Pub. Co. 1990.
- Nakamura T. et al. The effect of vertical dimension change on mandibular movements and muscle activity. Int J Prosthodont. 1988; 1:297.
- Onodera K et al. Assessment of parafunctional pattern with the brux checker®. J Craniomand Pract. 2006.
- Onodera K et al. Classification of bruxism pattern with the brux checker®. J Craniomand Pract. 2006.
- Orthlieb JD. La courbe de Spee: un imperatif phisiologique et prosthetique. Cha Prothese. 1983; 44-89.
- Piehslinger E, Celar AG, Celar RM, Slavicek R. Computerized axiography: principles and methods. Cranio. 1991 Oct. 9 (4): 344-55.
- Rebibo M, Darmouni L, Jouvin J, Orthlieb JD. Vertical dimension of occlusion: the keys to decision we may play with the VDO if we know some game’s rules. J Stomat Occ Med. 2009; 2:147-159.
- Sato S. A treatment approach to malocclusion under the consideration of craniofacial dynamics. Grace Printing Press Inc. 2001.
- Sato S, Slavicek R. Bruxism as a stress management function of the masticatory organ. Bull of Kanagawa Dent Coll. 2001; 29:101-110.
- Sato S, Slavicek R. The masticatory organ and stress management. J Stomat Occ Med. 2008; 1:51-57
- Slavicek R. Concepts in Oral Medicine. Vol. 1, 2, 3. Gamma Dental Edition. 2015.
- Slavicek R. JCO interviews. Clinical and instrumental functional analysis for diagnosis and treatment planning. Part 5. Condylography J Clin Orthod. 1988; 22:656-67.
- Slavicek R. Die funktionellen Determinanten des Kauorgans Verlag Zahnärztlich-Medizinisches Schrifttum, 1984.
- Slavicek R. The masticatory organ: functions and dysfunctions. GAMMA Medizinisch-wissenschaftliche Fortbildung-AG. 2002.
- Slavicek R, Mack H. Model preparation with the split-cast. Inf Orthod Kiferorthop. 1982; 14(1):12-13.
- Slavicek R, Sato S. Bruxism - a function of the masticatory organ to cope with stress. Wien Med Wochenschr. 2004; 154: 584-589.
- Takei J et al. Occlusal Guidance and Occlusal Plane at different ages and in different occlusion groups. Bull Kanagawa Dent Coll. 2009; 29:26-27.
- Ury E. Reproducibility of chin controlled reference position with three registration techniques. J Stomat Occ Med. 2008; 1:21-26.
- Vailati F, Belser UC. Full mouth adhesive rehabilitation of severely eroded dentition: the three-step technique. Part 1, 2, 3. European J Esthetic Dentistry. 2006; 3:20, 20:235.
L'articolo è stato pubblicato su CAD/CAM international magazine of digital dentistry italian edition n. 3/23
Tag:
Pianificazione digitale delle procedure chirurgica, estetica e funzionale per la creazione di due arcate protesiche complete su impianti.
Esiste una categoria di pazienti che si presentano alla nostra attenzione dopo aver trascorso anni senza essersi sottoposti ad una visita odontoiatrica. Nel...
Introduzione
Per diversi decenni, gli impianti dentali sono stati ampiamente utilizzati nella pratica clinica per le riabilitazioni di edentule singole e ...
Negli ultimi anni è notevolmente aumentata la complessità del processo diagnostico e terapeutico in campo odontoiatrico. Di volta in volta, ...
Negli ultimi anni è notevolmente aumentata la complessità del processo diagnostico e terapeutico in campo odontoiatrico. Di volta in volta, ...
Riportiamo alcune considerazioni su un case report descritto da un odontologo forense con oltre trent’anni di esperienza, tacendo, per ovvi motivi di ...
Riportiamo alcune considerazioni su un case report descritto da un odontologo forense con oltre trent’anni di esperienza, tacendo, per ovvi motivi di ...
La rigenerazione ossea guidata sfrutta i principi biologici della rigenerazione tissutale guidata (GTR) secondo cui la rigenerazione di un tessuto avviene ...
La gestione del caso implantare in area estetica rappresenta una sfida per l’odontoiatria moderna. I pazienti sono sempre meno disposti ad accettare i...
HAIPHONG, Vietnam: un nuovo case report mostra i risultati ottenibili con un approccio protesico conservativo in un paziente con un quadro anteriore ...
Live webinar
mer. 15 aprile 2026
2:00 (CET) Rome
Dr. Bruce McFarlane Certified Specialist in Orthodontics Fellow: Royal College of Dentists of Canada Diplomate: American Board of Orthodontics
Live webinar
mer. 15 aprile 2026
20:00 (CET) Rome
Live webinar
gio. 16 aprile 2026
2:00 (CET) Rome
Linda Hecker MS, BSDH, RDH
Live webinar
gio. 16 aprile 2026
18:00 (CET) Rome
Dr. Pär-Olov Östman, Dr. Robert Gottlander DDS
Live webinar
ven. 17 aprile 2026
18:00 (CET) Rome
Live webinar
ven. 17 aprile 2026
19:00 (CET) Rome
Dr. Stuart Yeaton BDentSc, MOrth
Live webinar
lun. 20 aprile 2026
19:00 (CET) Rome
Dr. Alberto Monje DDS, MS, PhD
To post a reply please login or register