Il contenzioso odontoiatrico, secondo recenti articoli, rappresenterebbe il 7% di tutti quelli medici. La soccombenza per i dentisti è risultata dell’80% giudiziale, mentre quella extragiudiziale del 95%1. Quando tuttavia la condanna dell’odontoiatra è dovuta a una reale “malpractrice”? Il CTU (Consulente Tecnico d’Ufficio) è sempre preparato specificatamente per valutare l’opera del professionista convenuto? Quali i criteri di scelta del CTU da parte del Giudice?
Obiettivo dell’articolo è di sottoporre all’attenzione della comunità scientifica odontoiatrica e forense uno dei tanti episodi che contrappongono da un lato, un modus operandi supportato da conoscenza scientifica e competenza clinica. Dall’altro, un sistema giudiziario incapace, a volte, di discernere azioni strumentali da reali episodi di “malpractice”.
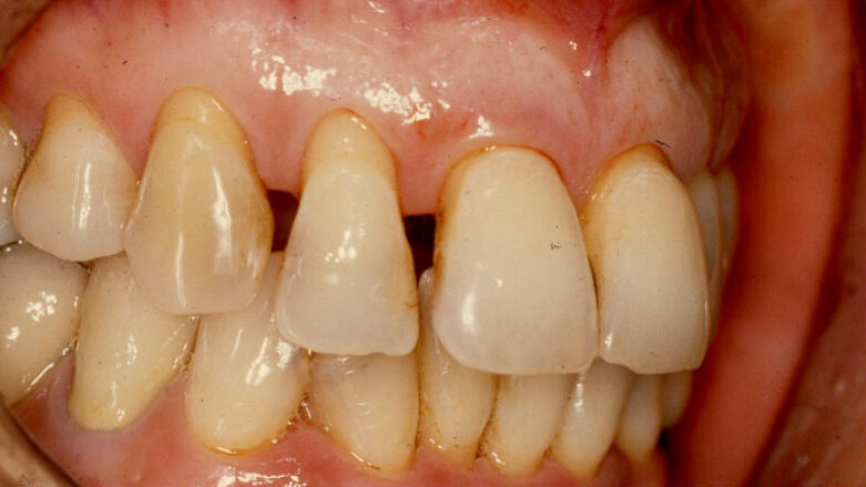
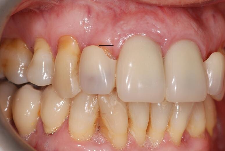
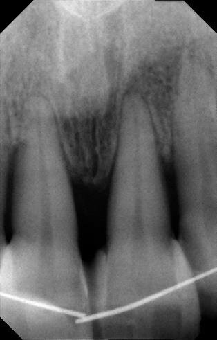
La paziente (che agirà in giudizio) 55 anni, fumatrice con scarso controllo dell’igiene domiciliare, in cura nel 1998 per parodontopatia cronica e compromissione dei quattro incisivi superiori (Figg. 1-5) per dodici anni, viene trattata con terapie chirurgiche e non2. Nel luglio 2010, dopo ben 12 anni di mantenimento di tali denti, si presenta all’osservazione dell’odontoiatra per la rottura dello splintaggio, riferendo di aver subito un accidentale trauma facciale.
Il dentista verifica un aggravamento della mobilità dei quattro incisivi e sollecitato dalla paziente a migliorare l’aspetto estetico, prospetta la sostituzione degli elementi naturali da estrarre, con una protesi fissa su impianti. Al fine di ridurre il rischio di un ulteriore riassorbimento dell’osso alveolare residuo e del collasso dei tessuti molli3-7 della pre-maxilla, prima delle estrazioni degli incisivi, viene prospettata la loro estrusione8, 9.
Questo trattamento preliminare contrasta il fisiologico riassorbimento del processo alveolare portando, nell’arco di qualche mese, all’incremento di osso alveolare oltre al recupero della normale festonatura gengivale10, 11 in grado di conferire un aspetto naturale al sorriso.
Contestualmente all’accurata esposizione del piano di trattamento proposto, con schemi, disegni ed immagini di casi clinici simili, illustrano alla paziente i rischi del fumo in implantologia12-15. Si ricorda, in particolare, l’importanza, nei pazienti parodontopatici sottoposti a terapie implantari e del controllo della placca batterica16.
L’odontoiatra, valutate le aspettative della paziente, stila in data 25 ottobre 2010, un preventivo relativo a un protesi fissa supportata da due impianti, da 1.2 a 2.2, proponendo, in via preliminare, l’estrusione dei denti con un sistema invisibile e confortevole per mezzo dello stesso provvisorio (Fig. 6).
Per ottenere la trazione dei due incisivi laterali, la protesi provvisoria verrebbe sostenuta dai due incisivi centrali. A estrusione ottenuta si sarebbero estratti i due incisivi laterali ed inseriti contestualmente i due impianti nelle stesse sedi alveolari17.
Dopo alcuni mesi, la protesi provvisoria sarebbe stata sostituita, collocando i monconi (abutments) sui due impianti già inseriti (1.2 e 2.2). Con la medesima tecnica, sarebbero poi stati estrusi i due incisivi centrali. Ottenuta la maturazione dei tessuti molli e un livello gengivale desiderato, si sarebbero estratti anche i due incisivi centrali e intrapresa la fase protesica definitiva.
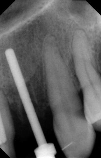
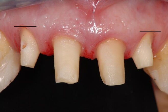
Tutto ciò viene dettagliatamente spiegato sia verbalmente, sia descritto nel “Consenso informato” che la paziente sottoscrive dopo aver richiesto un secondo consulto presso un altro studio. Il trattamento estrusivo dei due incisivi laterali inizia nel gennaio 2011 (Figg. 7, 8). Al raggiungimento del risultato desiderato (Figg. 9, 10), si attendono 60 giorni di “stabilizzazione” dell’osso alveolare18 (Figg. 11, 12).
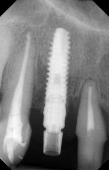
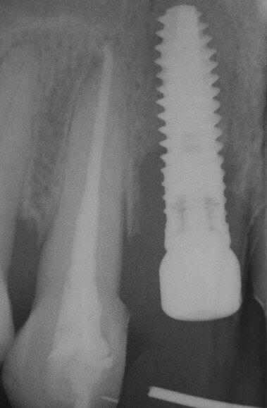
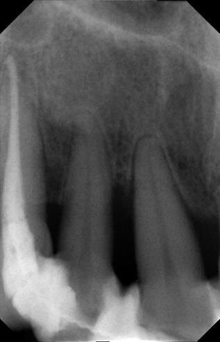
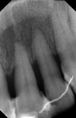
La fase chirurgica viene pianificata con la preparazione iniziale (igiene orale, controllo emato-chimico delle condizioni della paziente, prescrizione della profilassi/terapia antibiotica19-20 e della sospensione del fumo). Il 23 giugno 2011, vengono estratti i due incisivi laterali (Figg. 13, 14) e inseriti contestualmente due impianti Xive (Dentsply) di diametro 3,8 mm e lunghezza 15 mm (Figg. 15, 16), dimensioni ottimali per la successiva protesi (ponte di 4 elementi da 1.2 a 2.2 con 1.1 e 2.1, elementi “intermedi”).
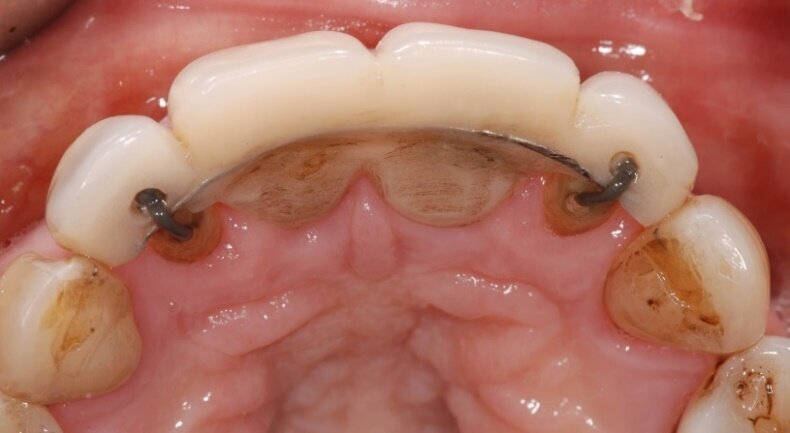
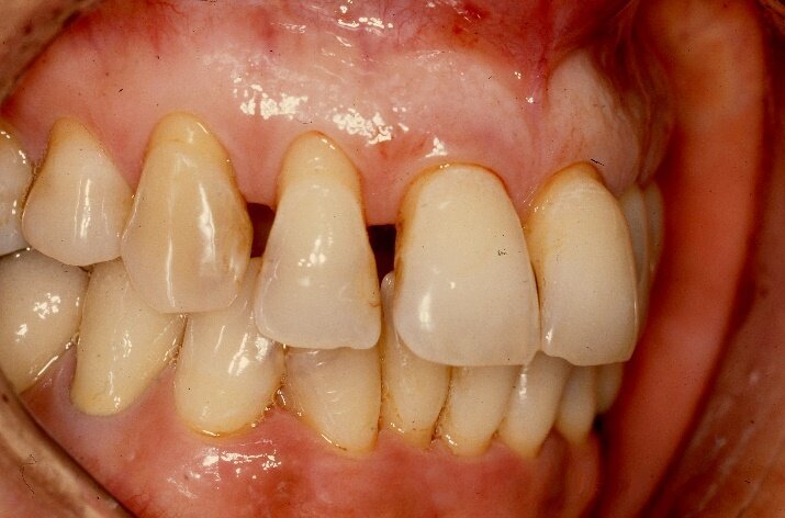
Vengono inserite due viti di guarigione e riposizionato il provvisorio, debitamente adattato in corrispondenza dei due incisivi laterali. Alla seduta di controllo a una settimana dall’intervento implantare, la paziente confida, alle assistenti dello studio, di non aver assunto gli antibiotici prescritti né prima né dopo l’inserimento degli impianti e tantomeno di essersi astenuta o limitata dal fumo di sigarette! Alla seconda visita di controllo, dopo 30 giorni, la stessa presenta un pessimo stato di igiene orale e due ascessi vestibolarmente ai due impianti (1.2 e 2.2) (Figg. 17, 18).
L’odontoiatra, informata la paziente dell’accaduto la rende partecipe della necessità di rimuovere i due impianti21 e, preso atto della sua scarsa collaborazione, rinvia la rivalutazione dei siti implantari dopo circa 2 mesi. La paziente ammette le proprie responsabilità per non aver rispettato le prescrizioni del dentista.
Dopo alcuni mesi, declinando gli inviti da parte dello studio a riprendere le cure, si rivolge ad altro professionista, sottoponendosi ad un nuovo trattamento implanto-protesico e all’estrazioni dei due incisivi centrali residui con inserimento di quattro impianti in posizione 1.2 - 1.1 - 2.1 e 2.2. A distanza di circa due anni, la paziente cita in giudizio il primo professionista e chiede il risarcimento dei “danni subiti” dal trattamento implantare “fallito”; contestava inoltre i trattamenti protesici effettuati quattordici anni prima!
L’autore pratica implantologia dal 1985, ha perfezionato la propria formazione sia in ambito Accademico, sia presso colleghi di fama internazionale. È stato docente in corsi universitari di implantologia avanzata, ha tenuto conferenze in sedi nazionali ed internazionali. Ha brevettato una sistematica implantare ed è autore di pubblicazioni scientifiche su riviste internazionali.
In sede giudiziale i legali del professionista citato in giudizio chiedono al Giudice, di nominare un CTU di elevata competenza implanto-protesica, attingendo preferibilmente dall’ambito accademico in grado di valutare obiettivamente l’operato del professionista. Il Giudice decide invece diversamente.
In sede peritale il CTU mostra macroscopiche difficoltà a comprendere il “piano di terapia” proposto e in parte eseguito alla perizianda. Omette di chiederle adeguate informazioni ignorando quanto dettagliatamente descritto dal convenuto e, confermando la tesi dei tecnici della parte attrice (ossia della paziente), censura il convenuto affermando che «l’opera del professionista possa essere ritenuta incongrua esclusivamente con riguardo al piano di terapia con relativi onorari, e realizzazione di un ponte di 4 (quattro) elementi in metallo ceramica supportati anche dagli incisivi centrali superiori (denti 11 e 21)».
«Il CTU ritiene la condotta del professionista nel trattamento terapeutico… sia stato imprudente, negligente e imperita…» determinando il “danno” con il «5% di invalidità permanente… per scarso supporto osseo e negativo rapporto radice-corona clinica dei due incisivi centrali superiori…».
Tra le varie “contestazioni” da parte del CTU alle osservazioni del convenuto: «... è inesistente il IV sestante, essendo l’apparato dentario suddiviso in 4 (quattro) quadranti, due per l’arcata dentaria superiore, due per l’arcata dentaria inferiore…».
Conclusioni
La vicenda descritta rischia di essere l’ennesimo caso in cui il corretto operato di un professionista possa essere tacciato come un episodio di “malpractice”. Sempre più frequentemente si evidenzia la tendenza di taluni pazienti a rivendicare risarcimenti di presunti “danni subiti”.
A questo fenomeno ingravescente si aggiunge la censurabilità del criterio di scelta, da parte del Giudice, del CTU per le ragioni già esposte. L’opera di tali Consulenti oltre ad alimentare la crescente diffidenza verso l’intera categoria professionale, può produrre pertanto incredibili esiti giudiziali con gravi ripercussioni all’immagine del professionista.
Bibliografia
- Pinchi V, Pradella F, Garatti S, Norelli GA. Il Contenzioso Odontoiatrico: la Realtà del Fenomeno - Dental Cadmos 83(2)February 2015.
- Società Italiana di Parodontologia – L diagnosi parodontale – Masson 1999.
- Chen ST, Darby IB, Adams GG, Reynolds EC. A prospective clinical study of bone augmentation techniques at immediate implants. Clin Oral Implants Res 2005;16:176- 184.
- Araujo MG, Lindhe J. Dimensional ridge alterations following tooth extraction. An experimental study in the dog. J Clin Periodontol 2005;32:212-218.
- Araujo MG, Sukekava F, Wennstrom JL, Lindhe J. Ridge alterations following implant placement in fresh extraction sockets: An experimental study in the dog. J Clin Periodontol 2005;32:645.
- Araújo MG, Sukekava F, Wennström JL, Lindhe J. Tissue modeling following implant placement in fresh extraction sockets. Clin Oral Implants Res 2006; 17:615-624.
- Tomasi C, Sanz M, Cecchinato D, Pjetursson B, Ferrus J, Lang NP, Lindhe J. Bone dimensional variations at implants placed in fresh extraction sockets: a multilevel multivariate analysis Clin Oral Implants Res. 2010 Jan;21(1):30-6. doi: 10.1111/j.1600-0501.2009.01848.x.
- Salama, Henry; Salama, Maurice. The Role of Orthodontic Extrusive Remodeling in the Enhancement of Soft and Hard Tissue Profiles Prior to Implant Placement: A Systematic Approach to the Management of Extraction Site Defects., International Journal of Periodontics & Restorative Dentistry . Aug1993, Vol. 13 Issue 4, p312-333. 22p.
- Korayem M1, Flores-Mir C, Nassar U, Olfert K. Implant site development by orthodontic extrusion. A systematic review.Angle Orthod. 2008Jul;78(4):752-60.doi:10.2319/0003-219(2008)078[0752: ISDBOE] 2.0.CO;2.
- Re S, Corrente G, Abundo R, Daniele C. Orthodontic Treatment in Periodontally Compromised Patients: 12-Year, International Journal of Periodontics & Restorative Dentistry . Apr2000, Vol. 20 Issue 2, p30-39. 10p.
- Sung Hyun Kim, DDS, MSc, PhDa, Vinicius Augusto Tramontina, DDS, MSc, PhDb, Vula Papalexiou, DDS, MSc, PhDc, Sônia Mara Luczyszyn, DDS, MSc, PhDd Orthodontic extrusion and implant site development using an interocclusal appliance for a severe mucogingival deformity: A clinical report.
- Bain C.A., May P.K.: “The influence of smoking on bone...” Int. J. Oral Maxillofacial 1993; 9:123-128.
- Bain CA, Moy PK.The association between the failure of dental implants and cigarette smoking. Int J Oral Maxillofac Implants 1993;8:609-15.
- Kenney EB, Kraal JH, Saxe SR, Jones J.The effect of cigarette smoke on human oral polymorphonuclear leukocytes. J Periodontal Res. 1977 Jul;12(4):227-34J.
- Bain CA , Smoking and implant failure--benefits of a smoking cessation protocol. Int J Oral Maxillofac Implants. 1996 Nov-Dec;11(6):756-9.
- Mombelli A, Van Oosten MA, Schurch E Jr, Land NP.The microbiota associated with successful or failing osseointegrated titanium implants. Oral Microbiol Immunol. 1987 Dec;2(4):145-51.
- Chen ST1, Wilson TG Jr, Hämmerle CH Immediate or early placement of implants following tooth extraction: review of biologic basis, clinical procedures, and outcomes.. Int J Oral Maxillofac Implants. 2004;19 Suppl:12-25.
- Tidu Mankoo, Laura Frost. Rehabilitation of esthetics in advanced periodontal cases using orthodontics for vertical hard and soft tissue regeneration prior to implants - a report of 2 challenging cases treated with an interdisciplinary approach. Dec 2011. European journal of esthetic dentistry: official journal of the European Academy of Esthetic Dentistry.
- Esposito M1, Grusovin MG, Coulthard P, Oliver R, Worthington HV.Eur J Oral Implantol. 2008 Summer;1(2):95-103.The efficacy of antibiotic prophylaxis at placement of dental implants: a Cochrane systematic review of randomised controlled clinical trials.
- Olson JW, Farish SE, Bellome J, Casino AJ, Morris HF, Ochi S.J Oral Maxillofac Surg. 1997 Dec;55(12 Suppl 5):19-24.The influence of preoperative antibiotics on success of endosseous implants up to and including stage II surgery: a study of 2,641 implants.Dent CD1.
- Lockhart DE, Dawson MP, Murray CA, Smith AJ. A review of dental implants and infection.J Hosp Infect. 2009 Jun;72(2):104-10. doi: 10.1016/j.jhin.2009.02.010. Epub 2009 Mar 28.Pye AD1.
Tag:
Ha fatto scalpore la notizia di un paziente sieropositivo che sarebbe stato allontanato da uno studio odontoiatrico. Il paziente, dopo aver compilato il ...
WELS, Austria: Un chirurgo orale e maxillo-facciale dell’Austria è sospettato di aver effettuato trattamenti senza rispettare gli standard ...
OSLO, Norvegia/HELSINKI, Finlandia: Le corone in acciaio inossidabile sono raccomandate per il trattamento in pazienti giovani con denti gravemente colpiti ...
L’ipertensione è una condizione comune a molte persona ma può anche diventare pericolosa. Non trattata, infatti, può portare a ictus, danni al cuore, ...
Paziente di sesso femminile di anni 27 con anamnesi generale negativa e senza storia di malattia parodontale, si presenta in prima visita lamentando ...
La ricerca del sorriso estetico ha portato tutte le branche della medicina odontoiatrica a cercare delle soluzioni terapeutiche che coniughino la conoscenza...
La ricerca del sorriso estetico ha portato tutte le branche della medicina odontoiatrica a cercare delle soluzioni terapeutiche che coniughino la conoscenza...
Ripercorrere i fondamenti della responsabilità professionale dell’odontoiatra (ma il problema riguarda anche le altre categorie mediche) porta ...
Varsavia, Polonia: analizzando la conoscenza delle radiazioni e dei loro effetti in un gruppo di dentisti, radiologi e studenti delle due discipline presso ...
SAWANGI, India: Una cosa è certa… la tecnologia cambia in continuazione. Essere un dentista esperto della tecnologia CAD/CAM o un principiante ...
Live webinar
dom. 3 maggio 2026
18:00 (CET) Rome
Dr. Rickard Brånemark MSc, MD, PhD, Dr. Robert Gottlander DDS
Live webinar
lun. 4 maggio 2026
2:00 (CET) Rome
Live webinar
mar. 5 maggio 2026
16:00 (CET) Rome
Live webinar
mar. 5 maggio 2026
18:00 (CET) Rome
Live webinar
mar. 5 maggio 2026
19:00 (CET) Rome
Dr. Maximilian Dobbertin M.Sc
Live webinar
mar. 5 maggio 2026
21:00 (CET) Rome
Live webinar
mer. 6 maggio 2026
19:00 (CET) Rome