Paziente di sesso femminile di anni 27 con anamnesi generale negativa e senza storia di malattia parodontale, si presenta in prima visita lamentando sanguinamento gengivale durante le normali procedure di igiene orale domiciliare.
Viene quindi raccolta la documentazione fotografica ed effettuato lo screening PSR (Periodontal Screening and Recording), con risultato associabile a gengivite generalizzata (valore 1 e 2 per tutti i sestanti sia superiori che inferiori), con presenza di abbondanti depositi di placca e tartaro.
Esame intraorale
All’esame orale si evidenziano depositi di tartaro, in particolare nel quinto sestante nella zona linguale, e depositi di placca generalizzati (IP=2). I sondaggi parodontali risultano essere fisiologici con presenza di sanguinamento marginale e al sondaggio.
Obiettivi del trattamento e piano di lavoro
L’obiettivo terapeutico consiste nella risoluzione dell’infiammazione generalizzata gengivale, rimuovendo i depositi di placca e tartaro sia sopra che sotto-gengivali (Marleen Marga Janus 2017), e permettere alla paziente un corretto mantenimento domiciliare, previa adeguata istruzione e motivazione.
Si procede dunque con il protocollo GBT (Guided Biofilm Therapy) che prevede:
- Sciacquo con collutorio a base di Clorexidina (0.12%) per 60 secondi;
- Posizionamento dell’Optragate® (Ivoclar) a protezione dei tessuti peri-orali del paziente e per facilitare l’operatore durante lo svolgimento della terapia, grazie alla retrazione dei tessuti labiali e delle guance;
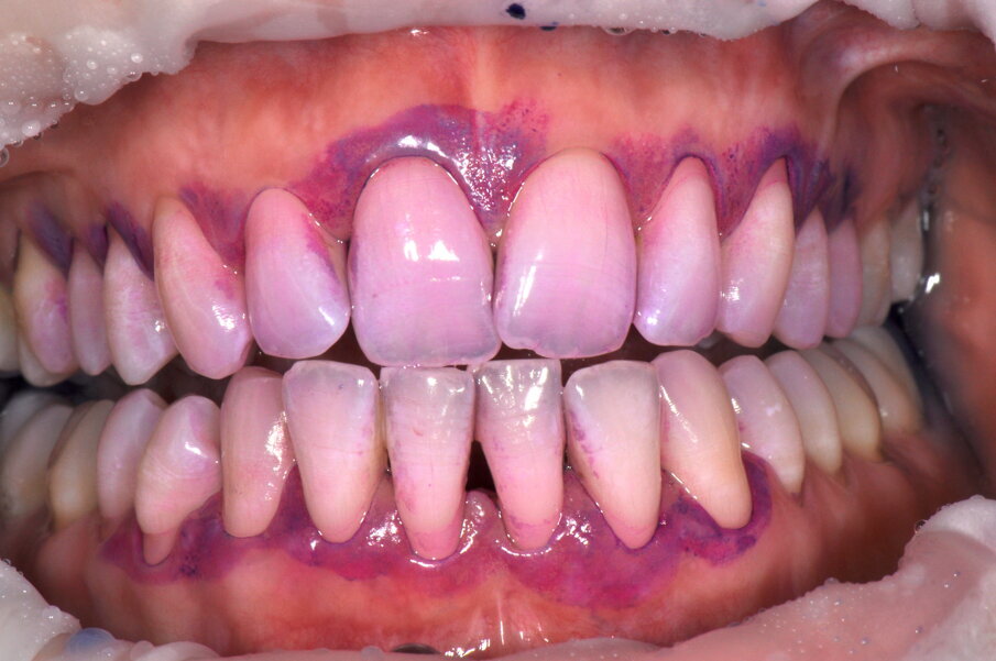
- Applicazione del rilevatore di placca bifasico: permette la distinzione fra i depositi di placca recenti da quelli meno recenti ( 1a-1c);
- Istruzione e motivazione all’igiene orale domiciliare guidati dal rilevatore di placca, mostrando visivamente al paziente l’attuale stato del suo mantenimento;
- Rimozione della placca sopragengivale con polveri a bassa abrasività (polvere di Eritritolo - Polvere PLUS® EMS) usando il manipolo sopra-gengivale con livello di potenza 50%, di irrigazione 100%, distanza 5 mm e inclinazione, dal margine gengivale verso la corona tra i 30° e i 60° fino a rimozione completa del colorante;
- Rimozione della placca dai tessuti orali (gengiva, mucosa orale, lingua e palato) con polveri a bassa abrasività (polvere di Eritritolo - Polvere PLUS® EMS) rimuovendo completamente il reservoir batterico dai tessuti, si effettua usando il manipolo sopra-gengivale con livello di potenza 30%, di irrigazione 70% e distanza 5-10 mm ( 2a-2c);
- Debridement meccanico con strumentazione piezoelettrica No-Pain® che rispetta i tessuti dentali grazie ai movimenti lineari e al controllo automatico della potenza emessa in base alla resistenza incontrata, con livello di potenza 50% e di irrigazione 100%, solo nelle zone in cui il tartaro è presente fino a sua completa rimozione (3a-4f);
- La paziente è stata istruita all’utilizzo dello spazzolino manuale a setole morbide con tecnica di spazzolamento a rullo, degli scovolini nelle zone interprossimali (da 3.3 a 4.3) e filo interdentale.
Si rivede la paziente a 2 settimane per valutare la guarigione (P. Mark Bartold, 2000) dei tessuti e la qualità del mantenimento domiciliare (Figg. 5a-5c).
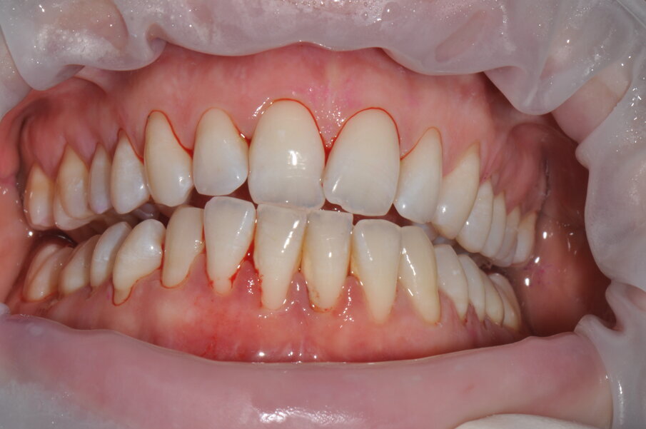
La terapia insieme al buon controllo domiciliare del livello di placca sopra-gengivale sono state in grado di risolvere la gengivite (Bruce L Pihlstrom, 2005). A causa dello stimolo irritativo cronico dato dal tartaro, dell’infezione localizzata data dall’accumulo di placca batterica residuano recessioni gengivali (Moawia M. 2003) che verranno rivalutate anche a fronte del precedente trattamento ortodontico che ha comportato l’estrusione degli incisivi centrali inferiori. L’obiettivo primario della terapia è stato pienamente raggiunto: risoluzione dei sintomi della paziente (sanguinamento allo spazzolamento e dolore). Un’ottima compliance domiciliare è stata valutata anche tramite una nuova applicazione del rilevatore di placca (Figg. 6a-6d).
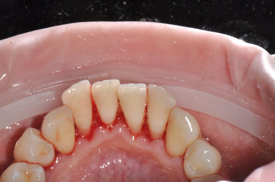
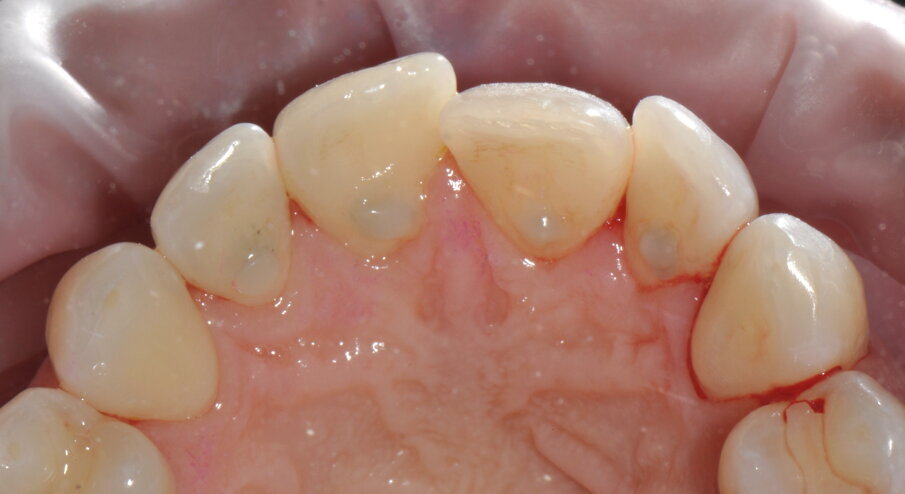
Figg. 1a-1c - Applicazione del rilevatore di placca che verrà usato come guida durante la terapia, nel versante vestibolare (1a), palatale (1b) e linguale (1c). Si noti lo scarso livello di igiene orale domiciliare e l’assenza di utilizzo dei presidi interdentali.
Figg. 1a-1c - Applicazione del rilevatore di placca che verrà usato come guida durante la terapia, nel versante vestibolare (1a), palatale (1b) e linguale (1c). Si noti lo scarso livello di igiene orale domiciliare e l’assenza di utilizzo dei presidi interdentali.
Figg. 1a-1c - Applicazione del rilevatore di placca che verrà usato come guida durante la terapia, nel versante vestibolare (1a), palatale (1b) e linguale (1c). Si noti lo scarso livello di igiene orale domiciliare e l’assenza di utilizzo dei presidi interdentali.
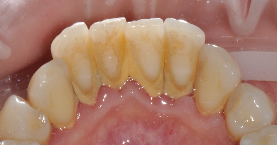
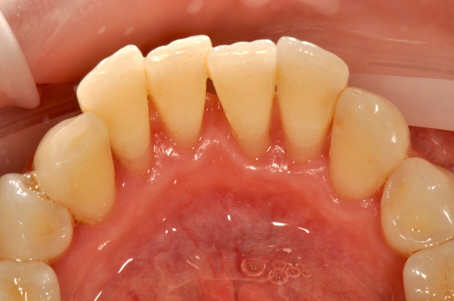
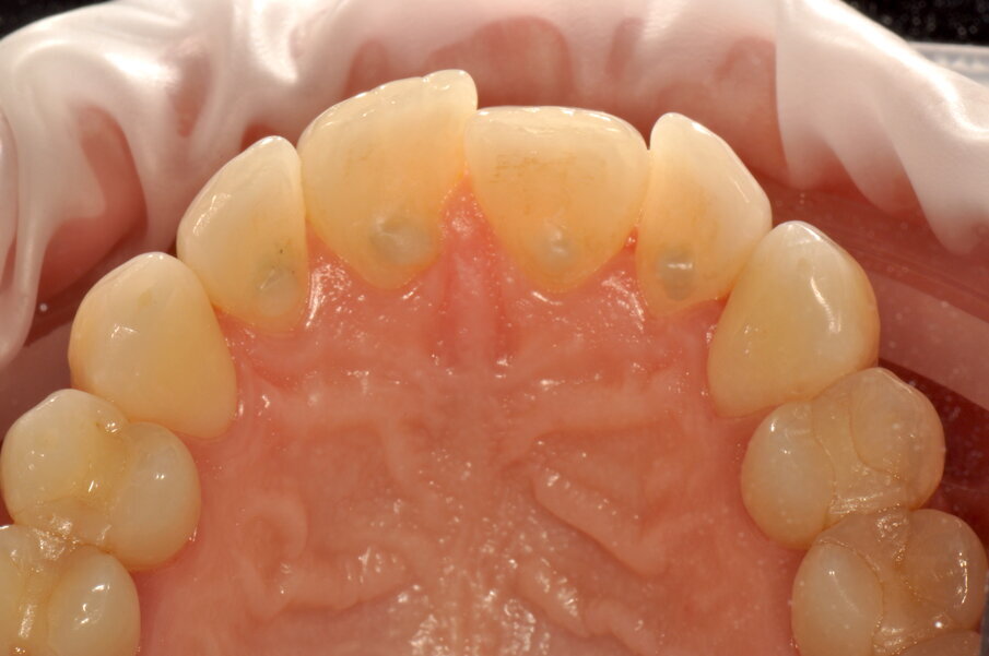
Figg. 2a-2c - Foto scattate dopo l’utilizzo del manipolo sopra-gengivale, nelle aree vestibolare (2a), palatale (2b) e linguale (2c), senza la detartrasi con strumento piezoelettrico.
Figg. 2a-2c - Foto scattate dopo l’utilizzo del manipolo sopra-gengivale, nelle aree vestibolare (2a), palatale (2b) e linguale (2c), senza la detartrasi con strumento piezoelettrico.
Figg. 2a-2c - Foto scattate dopo l’utilizzo del manipolo sopra-gengivale, nelle aree vestibolare (2a), palatale (2b) e linguale (2c), senza la detartrasi con strumento piezoelettrico.
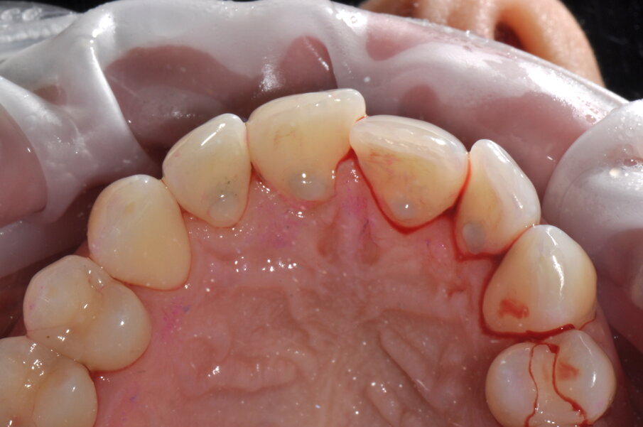
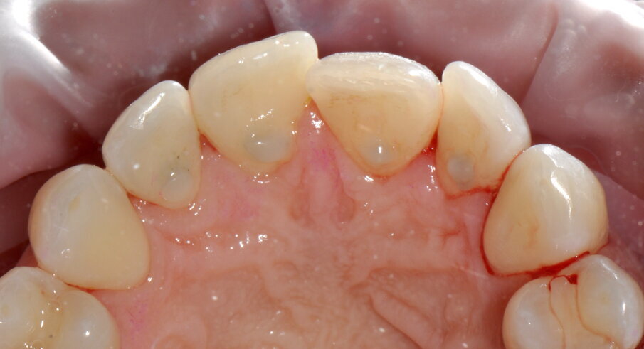
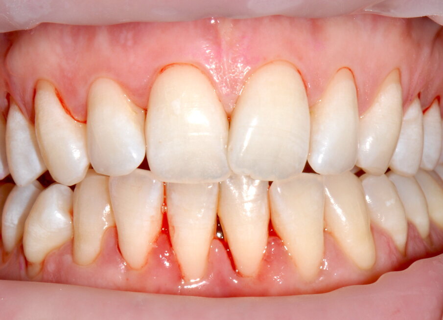
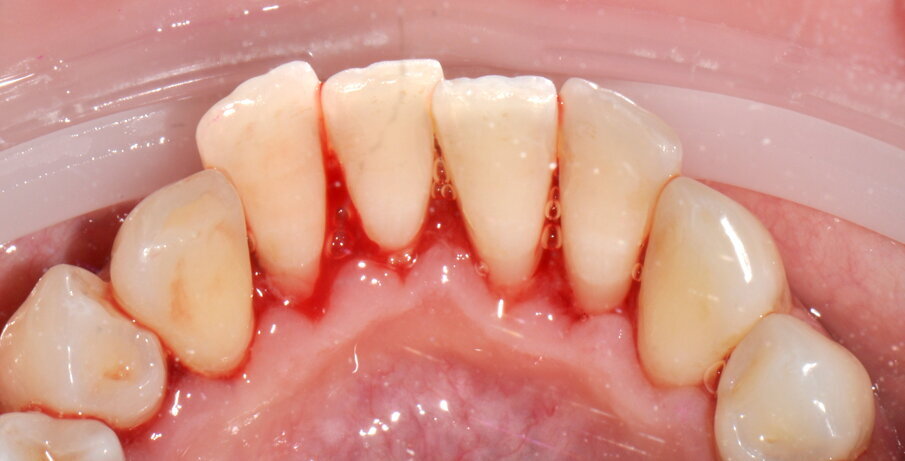
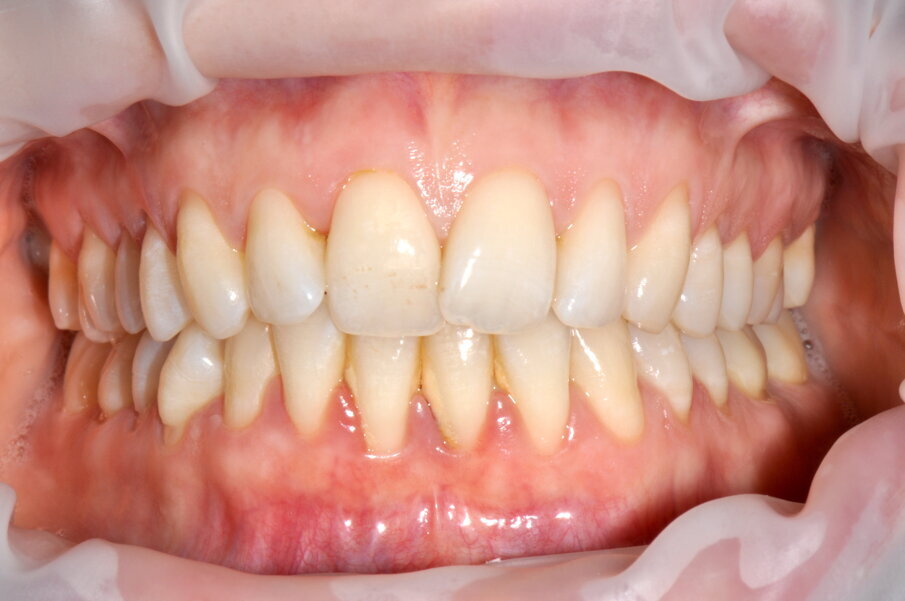
Figg. 3a-3c - Termine della terapia. nelle visioni vestibolare (3a), palatale (3b) e linguale (3c).
Figg. 3a-3c - Termine della terapia. nelle visioni vestibolare (3a), palatale (3b) e linguale (3c).
Figg. 3a-3c - Termine della terapia. nelle visioni vestibolare (3a), palatale (3b) e linguale (3c).
Figg. 4a-4f - Confronto fra inizio e termine della terapia. Le immagini (4a-c) mostrano le aree vestibolare palatale e linguale prima della terapia, mentre le immagini (4d-f) mostrano le aree vestibolare palatale e linguale dopo della terapia.
Figg. 4a-4f - Confronto fra inizio e termine della terapia. Le immagini (4a-c) mostrano le aree vestibolare palatale e linguale prima della terapia, mentre le immagini (4d-f) mostrano le aree vestibolare palatale e linguale dopo della terapia.
Figg. 4a-4f - Confronto fra inizio e termine della terapia. Le immagini (4a-c) mostrano le aree vestibolare palatale e linguale prima della terapia, mentre le immagini (4d-f) mostrano le aree vestibolare palatale e linguale dopo della terapia.
Figg. 4a-4f - Confronto fra inizio e termine della terapia. Le immagini (4a-c) mostrano le aree vestibolare palatale e linguale prima della terapia, mentre le immagini (4d-f) mostrano le aree vestibolare palatale e linguale dopo della terapia.
Figg. 4a-4f - Confronto fra inizio e termine della terapia. Le immagini (4a-c) mostrano le aree vestibolare palatale e linguale prima della terapia, mentre le immagini (4d-f) mostrano le aree vestibolare palatale e linguale dopo della terapia.
Figg. 4a-4f - Confronto fra inizio e termine della terapia. Le immagini (4a-c) mostrano le aree vestibolare palatale e linguale prima della terapia, mentre le immagini (4d-f) mostrano le aree vestibolare palatale e linguale dopo della terapia.
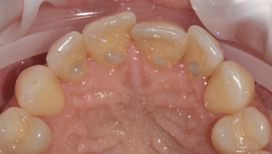
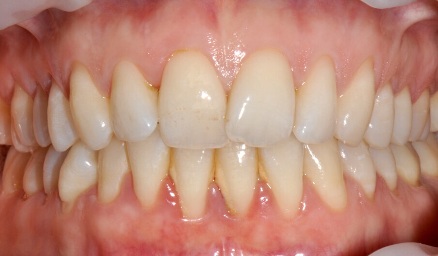
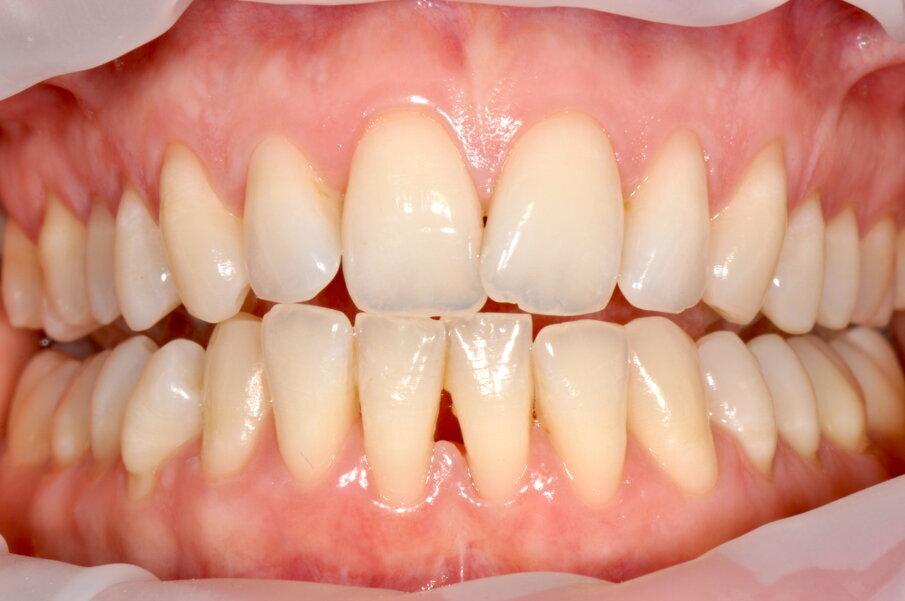
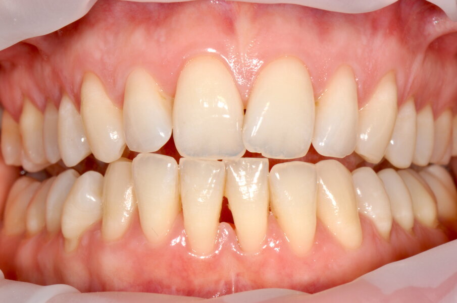
Figg. 5a-5c - Rivalutazione a 2 settimane si noti la completa risoluzione dell’infiammazione gengivale, nelle visioni vestibolare (5a), palatale (5b) e linguale (5c).
Figg. 5a-5c - Rivalutazione a 2 settimane si noti la completa risoluzione dell’infiammazione gengivale, nelle visioni vestibolare (5a), palatale (5b) e linguale (5c).
Figg. 5a-5c - Rivalutazione a 2 settimane si noti la completa risoluzione dell’infiammazione gengivale, nelle visioni vestibolare (5a), palatale (5b) e linguale (5c).
Figg. 6a-6d - Confronto fra stato iniziale e alla valutazione a 2 settimane (6a, 6c), il rilevatore di placca (6b, 6d) mostra chiaramente il miglioramento della compliance del paziente.
Figg. 6a-6d - Confronto fra stato iniziale e alla valutazione a 2 settimane (6a, 6c), il rilevatore di placca (6b, 6d) mostra chiaramente il miglioramento della compliance del paziente.
Figg. 6a-6d - Confronto fra stato iniziale e alla valutazione a 2 settimane (6a, 6c), il rilevatore di placca (6b, 6d) mostra chiaramente il miglioramento della compliance del paziente.
Figg. 6a-6d - Confronto fra stato iniziale e alla valutazione a 2 settimane (6a, 6c), il rilevatore di placca (6b, 6d) mostra chiaramente il miglioramento della compliance del paziente.
Conclusioni e discussioni
Il protocollo GBT è risultato essere efficace nella rimozione del biofilm sopra e sotto gengivale e risolutivo per quanto riguarda l’infiammazione gengivale, con efficacia del tutto sovrapponibile alle metodiche tradizionali, di rimozione del biofilm. È stato mostrato particolare gradimento da parte della paziente verso il trattamento ricevuto, grazie alla delicatezza della polvere usata per rimuovere meccanicamente il biofilm, alla possibilità da parte dell’operatore di regolare potenza, irrigazione e temperatura dell’acqua dell’apparecchiatura utilizzata (Air-Flow Prophilaxis Master® EMS) insieme alla tecnologia No-Pain® della strumentazione ultrasonica che contribuisce notevolmente al comfort intra-operatorio del paziente e al risparmio di tempo per l’operatore.
Bibliografia
- Marleen Marga Janus, Catherine Minke Charlotte Volgenant, Bernd Willem, Brandt, Mark Johannes Buijs, Bart Jan Frederik Keijser, Wim Crielaard, Egija Zaura & Bastiaan, Philip Krom (2017) Effect of erythritol on microbial ecology of in vitro gingivitis biofilms, Journal of Oral Microbiology, 9:1, 1337477, DOI: 10.1080/20002297.2017.1337477.
- Bartold, P. M., Walsh, L. J. and Narayanan, A. S. (2000), Molecular and cell biology of the gingiva. Periodontology 2000, 24: 28-55. doi:10.1034/j.1600-0757.2000.2240103.x.
- Bruce L Pihlstrom, Bryan S Michalowicz, Newell W Johnson (2005) Periodontal Diseases. www.thelancet.com Volume 366, No. 9499, p1809–1820, 19 November 2005, DOI: https://doi.org/10.1016/S0140-6736(05)67728-8.
- Moawia M. Kassab, Robert e. Cohen (2003) The etiology and prevalence of gingival recession, JADA February 2003 Volume 134, Issue 2, Pages 220–225, DOI: https://doi.org/10.14219/jada.archive.2003.0137.
Tag:
La parodontite è una patologia infiammatoria cronica il cui sviluppo dipende dalla presenza di biofilm batterici disbiotici ed è caratterizzata dalla ...
Per ricercare mezzi terapeutici adiuvanti al trattamento delle lesioni parziali del nervo alveolare inferiore in seguito ad inserzione di impianti ...
Mi piace leggere gli articoli in Cosmetic Dentistry nei quali i clinici narrano la creazione dei loro magnifici lavori artistici grazie ...
L’articolo presenta una case series (10 casi clinici) di trattamento non chirurgico di tasche parodontali. In tutti i casi è stato applicato un nuovo ...
La ricerca del sorriso estetico ha portato tutte le branche della medicina odontoiatrica a cercare delle soluzioni terapeutiche che coniughino la conoscenza...
La ricerca del sorriso estetico ha portato tutte le branche della medicina odontoiatrica a cercare delle soluzioni terapeutiche che coniughino la conoscenza...
Il presente lavoro descrive la procedura con laser neodimio Nd:YAG 1064 nm per intervento di perimplantite.
La presenza protratta nel tempo di dispositivi ortodontici fissi è un alto rischio per la salute dei tessuti parodontali e dentali in quanto viene a ...
La presenza protratta nel tempo di dispositivi ortodontici fissi è un alto rischio per la salute dei tessuti parodontali e dentali in quanto viene a ...
Dopo la prima visita si propone al paziente un protocollo di trattamento. Come lo schema illustra (Fig. 1), previa diagnosi, se si decide di passare subito ...
Dr. Bruce McFarlane Certified Specialist in Orthodontics Fellow: Royal College of Dentists of Canada Diplomate: American Board of Orthodontics
Live webinar
mer. 15 aprile 2026
20:00 (CET) Rome
Live webinar
gio. 16 aprile 2026
2:00 (CET) Rome
Linda Hecker MS, BSDH, RDH
Live webinar
gio. 16 aprile 2026
18:00 (CET) Rome
Dr. Pär-Olov Östman, Dr. Robert Gottlander DDS
Live webinar
ven. 17 aprile 2026
18:00 (CET) Rome
Live webinar
ven. 17 aprile 2026
19:00 (CET) Rome
Dr. Stuart Yeaton BDentSc, MOrth
Live webinar
lun. 20 aprile 2026
19:00 (CET) Rome
Dr. Alberto Monje DDS, MS, PhD
To post a reply please login or register