Molti pazienti si presentano alla nostra osservazione con quadri clinici orali molto compromessi, con la presenza di un numero ridotto di denti. Questi pazienti hanno protratto una situazione del cavo orale così compromessa perché non accettano l’inserimento di una protesi totale.
Al giorno d’oggi esistono soluzioni impianto- supportate quali le protesi tipo Toronto, che permettono di sostituire sia i denti che i tessuti molli mancanti con costi contenuti. Il problema che spesso come clinici ci troviamo ad affrontare è la mancanza di osso al di sopra del seno mascellare o del nervo alveolare poiché la situazione di malattia parodontale protratta nel tempo conduce ad una grossa perdita di osso. Per ovviare a questo problema e non dover eseguire procedure rigenerative, vengono proposte diverse soluzioni quali la tecnica all-on-four con impianti inclinati e lunghi cantilever o impianti pterigoidei o zigomatici. Il dottor Eduardo Anitua con il suo gruppo ha dimostrato, grazie all’analisi degli elementi finiti, che gli impianti inclinati hanno una distribuzione dello stress attorno al collo che può arrivare ad essere due terzi superiore a quella di un impianto caricato verticalmente. Ciò può essere un grave fattore di rischio per la prognosi a lungo termine. Con le stesse metodiche il suo gruppo ha mostrato inoltre che cantilever molto estesi possono portare ad una distribuzione delle forze molto sfavorevoli. Gli impianti zigomatici, oltre ad essere una procedura invasiva e non alla portata di tutti i clinici, vengono collegati a un’alta percentuale di complicanze sinusali. Altri studi condotti dal dottor Anitua hanno dimostrato che gli impianti corti ed extra-corti possono sostenere i carichi masticatori ed hanno un’ottima prognosi a lungo termine, come evidenziato dalle sue pubblicazioni con follow up di oltre quindici anni.
Presentazione del caso
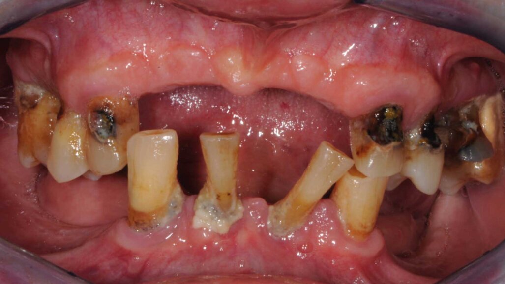
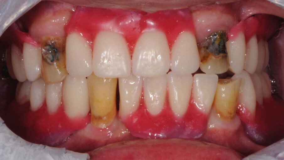
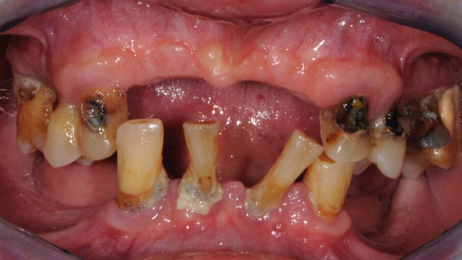
Il paziente si presentò alla nostra osservazione lamentando una diminuzione della capacità masticatoria. All’osservazione clinica e radiografica (Figg. 1, 2) si evidenziava la mancanza di numerosi elementi dentari e di una diffusa malattia parodontale, il tutto complicato dalla presenza di carie destruenti su tutti gli elementi dentari con migrazione degli stessi. Lo spostamento dei denti aveva portato a perdita della dimensione verticale e di tutti i punti di riferimento per la ricostruzione della dentatura.
Piano di trattamento
Al paziente fu spiegato che la strategia migliore consisteva nell’estrazione di tutti gli elementi dentari e l’inserimento di sei impianti in ogni arcata dentaria e successivamente il ripristino delle arcate con due protesi tipo Toronto. Si decise di non estrarre subito i quattro canini perché sarebbero serviti per stabilizzare le mascherine chirurgiche durante la chirurgia. Lo studio del caso e la sua realizzazione fu fatta con metodo analogico. Due modelli in gesso furono montati alla giusta dimensione verticale e fu realizzato il montaggio dei denti per visualizzare il risultato finale (Fig. 3). Dal montaggio dei denti furono realizzate le mascherine chirurgiche che sarebbero state utilizzate per gli esami radiografici tridimensionali e avrebbero guidato il posizionamento degli impianti durante la chirurgia. All’esame radiografico tridimensionale (Figg. 4-7) si notava la presenza di una quantità esigua di osso coronalmente ai seni mascellari e al nervo alveolare inferiore. Si decise di inserire impianti extracorti 4,5 mm di lunghezza in queste zone, per evitare sia impianti inclinati sia cantilever molto estesi. Lo studio della scala dei grigi, o scala Hounsfield, mostrava una densità ossea tale da consentire il carico immediato anche in queste zone. Ovviamente sarebbe stata necessaria la conferma intra-operatoria valutando clinicamente la compattezza dell’osso tramite la fresatura.
Fase chirurgica
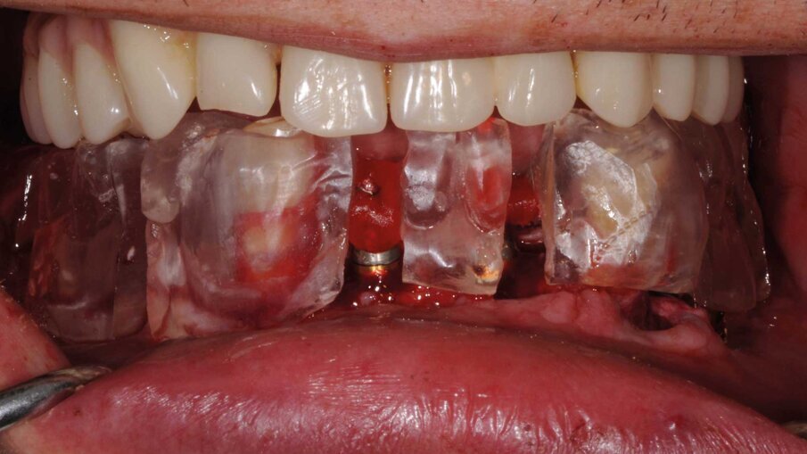
La fase chirurgica fu eseguita circa due mesi dopo le estrazioni. Al paziente fu somministrata terapia antibiotica preventiva dalla mattina dell’intervento chirurgico e protratta per sei giorni. Fu somministrata anestesia locale con Articaina 1:100000 e adrenalina al 2%. Furono scollati lembi a tutto spessore e furono inseriti sei impianti BTI Core in ogni mascellare. Fu eseguito prima l’intervento sul superiore e dopo un mese sull’inferiore su richiesta del paziente che aveva paura di postumi eccessivi. Gli impianti furono posizionati con l’ausilio delle mascherine chirurgiche (Figg. 8, 9) che furono usate per la registrazione della posizione degli impianti secondo la metodica del modello modificato descritta dal dott. Lionello Biscaro. La posizione risultava molto accurata grazie alla stabilizzazione offerta dai canini residui che furono estratti subito dopo l’inserzione degli impianti per consentire la registrazione della posizione relativa degli impianti (Figg. 10, 11). In particolare nella posizione del dente 16 fu inserito un impianto BTI Universal-Plus 5 mm di diametro
x 4,5 di lunghezza, in posizione 26 un impianto BTI Core 3,75 x 6,5 mentre in posizione 36 e 46 furono inseriti due impianti BTI Core 4,75 x 4,5. La superficie UnicCa degli impianti fu bagnata con frazione F2 ottenuta dal plasma per centrifugazione del sangue del paziente. Furono avvitati i pilastri Multi-Im e furono fatte le registrazioni necessarie a comunicare al tecnico la posizione degli impianti rispetto ai modelli già montati e la posizione reciproca degli impianti, secondo la tecnica del modello modificato citata precedentemente. I pilastri di guarigione furono avvitati, le suture applicate e il paziente fu dismesso.
Fase protesica
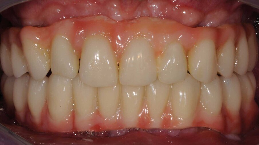
Dopo due giorni il paziente tornò in studio e le protesi Toronto provvisorie furono avvitate con semplicità, fu controllata l’occlusione, i fori di accesso delle viti furono sigillati con teflon e al di sopra fu applicato un composito Flowable. Il paziente fu dimesso e fu programmato un appuntamento di controllo a due settimane. Le suture furono rimosse prima della consegna del provvisorio e non si verificò né sanguinolento né apertura dei lembi grazie alle membrane di emocomponenti applicate attorno agli impianti che consentirono una rapida guarigione dei tessuti molli (Figg. 12, 13).
Conclusioni
Molti pazienti si presentano nei nostri uffici con dentature molto compromesse. La maggior parte rifiuta l’idea di venire riabilitato tramite protesi totali rimovibili e apprezzano la proposta di una protesi tipo Toronto con carico immediato. Con questo case-report si vuole mostrare come sia possibile il carico immediato anche con impianti extra-corti che, oltre ad avere il vantaggio di una chirurgia mininvasiva, possono essere inseriti nei mascellari posteriori con carenza di osso evitando l’utilizzo di cantilever estesi che possono presentare alti stress attorno al collo degli impianti ed essere quindi un fattore di rischio.
Tag:
Negli ultimi anni sempre più autori si sono interessati all’utilizzo degli impianti corti, cioè di impianti di lunghezza pari o ...
Negli ultimi anni sempre più autori si sono interessati all’utilizzo degli impianti corti, cioè di impianti di lunghezza pari o ...
Gli autori presentano una metodologia implantoprotesica usando degli impianti a vite emergenti che vengono saldati a un ago di titanio per garantire la ...
Gli autori presentano una metodologia implantoprotesica usando degli impianti a vite emergenti che vengono saldati a un ago di titanio per garantire la ...
La possibilità di riabilitare un mascellare superiore a carico immediato, con una protesi fissa, mediante l’utilizzo di soli quattro impianti ...
I piani di trattamenti clinici che prevedono il carico immediato o il posizionamento post-estrattivo immediato dell’impianto, rappresentano una procedura ...
La chirurgia ricostruttiva preimplantare non può essere praticata in tutti i pazienti a causa di possibili controindicazioni locali e/o sistemiche. ...
Negli ultimi 10 anni l’utilizzo di impianti corti per riabilitazioni implanto-protesiche nei mascellari atrofici è aumentato notevolmente: in letteratura...
L’osteointegrazione è un fenomeno biologico che si basa sui processi di rigenerazione e rimodellamento osseo. Il tessuto osseo risponde ai ...
L’osteointegrazione è un fenomeno biologico che si basa sui processi di rigenerazione e rimodellamento osseo. Il tessuto osseo risponde ai ...
Dr. Bruce McFarlane Certified Specialist in Orthodontics Fellow: Royal College of Dentists of Canada Diplomate: American Board of Orthodontics
Live webinar
mer. 15 aprile 2026
20:00 (CET) Rome
Live webinar
gio. 16 aprile 2026
2:00 (CET) Rome
Linda Hecker MS, BSDH, RDH
Live webinar
gio. 16 aprile 2026
18:00 (CET) Rome
Dr. Pär-Olov Östman, Dr. Robert Gottlander DDS
Live webinar
ven. 17 aprile 2026
18:00 (CET) Rome
Live webinar
ven. 17 aprile 2026
19:00 (CET) Rome
Dr. Stuart Yeaton BDentSc, MOrth
Live webinar
lun. 20 aprile 2026
19:00 (CET) Rome
Dr. Alberto Monje DDS, MS, PhD
To post a reply please login or register