Il caso clinico presentato permette di illustrare le potenzialità offerte dalla sistematica Invisalign® per il controllo del torque degli incisivi superiori per mezzo dei Power Ridge™.
Materiali e metodi: nel caso clinico presentato l’inclinazione corono radicolare sul piano sagittale degli incisivi superiori è stata corretta di circa 10° con il solo ausilio degli allineatori trasparenti. I modelli in gesso iniziali e finali sono stati sottoposti a scansione 3D (software Dental Wings 7.0, Dental Wings Inc., Montreal, Canada) e sulle riproduzioni così ottenute è stata eseguita la misurazione dell’inclinazione degli incisivi superiori sul piano sagittale (software Rhinoceros, McNeel and Associates, Seattle, Usa). La stessa misurazione è stata eseguita sui modelli del ClinCheck™ corrispondenti al modello iniziale e al modello finale.
Risultati: i dati ottenuti dalle due misurazioni sono stati confrontati evidenziando un’eccellente sovrapponibilità.
Conclusioni: questo lavoro permette di evidenziare, l’affidabilità del ClinCheck™ e l’efficacia dei Power Ridge™ per il controllo del torque degli incisivi superiori con la sistematica Invisalign®.
Parole chiave: torque, allineatori trasparenti, invisalign, power ridge.
Introduzione
La sistematica ortodontica Invisalign® è stata introdotta nella pratica clinica alla fine degli anni Novanta, sebbene Kesling già nel 19451 avesse prospettato la possibilità di muovere i denti con apparecchi termoplastici. Nel suo libro Contemporary Orthodontics, Profitt2 definì l’apparecchio ortodontico ideale per il trattamento dei pazienti adulti e, quindi, per tutti i pazienti ortodontici. Tale apparecchio dovrebbe presentare le seguenti caratteristiche:
1) non dovrebbe interferire con la funzione;
2) non dovrebbe ledere i tessuti orali e non dovrebbe interferire con le possibilità di mantenere una buona igiene;
3) dovrebbe essere il meno invasivo possibile, ma sufficientemente forte da sopportare le forze masticatorie e un ragionevole abuso da parte del paziente;
4) dovrebbe essere ritentivo in modo tale da poter essere mantenuto in sede senza alcuna difficoltà;
5) dovrebbe essere in grado di esercitare una forza appropriata e controllata nella corretta direzione e rilasciare tale forza il più a lungo possibile tra un appuntamento di controllo e l’altro;
6) dovrebbe permettere il controllo dell’ancoraggio, così che possano essere minimizzati i movimenti non desiderati.
In apparenza, il trattamento con allineatori trasparenti sembra soddisfare tutti questi criteri, in realtà alcuni limiti biomeccanici non sono ancora stati superati.
I vantaggi e i limiti di questo tipo di apparecchiature nella correzione di diverse malocclusioni sono stati descritti da diversi autori3-9. In aggiunta agli studi clinici sopra riportati, il complesso sistema di forze gestito da queste apparecchiature è stato descritto da Paquette10 e da Tuong e Tricca11. In particolare, essendo noto che l’applicazione di due forze di uguale entità ma con direzione opposta, su un qualsiasi oggetto, sia in grado di determinare un momento di rotazione puro, Paquette10 teorizzò un modello in cui l’inclinazione corono-radicolare dell’incisivo superiore potesse essere controllata tramite l’ausilio di allineatori e mediante l’applicazione di una coppia di forze, agenti l’una sulla faccia vestibolare dell’incisivo superiore al suo limite gengivale, e l’altra sulla faccia palatina al suo limite incisale. La forza rilasciata dall’allineatore alcune ore dopo la consegna è di circa 40 g10: questo significa che, allo scopo di ottenere il controllo del movimento linguale della radice dell’incisivo superiore, è necessario un movimento maggiore di 400 g-mm (F/M ratio < 10). Proprio per soddisfare questo modello biomeccanico, Align Technology ha introdotto opportune varianti morfologiche degli allineatori in grado di controllare la direzione e l’entità della forza applicata per l’inclinazione corono-radicolare degli incisivi superiori e inferiori. Tali varianti morfologiche sono denominate Power Ridge™: loro peculiarità è quella di permettere il mantenimento di un intimo contatto tra la superficie vestibolare dell’incisivo e l’allineatore nella regione di minor resistenza e di maggiore elasticità dell’allineatore, ovvero la regione prossima al margine libero. Un recente studio12 ha dimostrato come differenti allineatori termostampati (Ideal Clear®, Erkodur®, Biolon®) non siano in grado di determinare il controllo dell’inclinazione corono-radicolare dell’incisivo centrale superiore in vitro, con conseguenti ricadute sull’applicabilità clinica di tali allineatori, proprio per la mancanza di un intimo contatto tra l’allineatore e la superficie vestibolare del dente in prossimità del margine gengivale vestibolare. La mancanza di questo contatto determina movimenti indesiderati, in particolare il cosiddetto “water melon seed effect”, riferito a un’inattesa intrusione determinata da una forza, misurata in vitro da Hanh e collaboratori12, causata da una distorsione dell’allineatore13. Il caso clinico presentato ha lo scopo di mostrare l’efficacia dei Power Ridge™ nel controllo del torque degli incisivi superiori.
Materiali e metodi
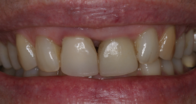
Il paziente L.S. di anni 15 è giunto alla nostra osservazione in data 3 dicembre 2009 con deepbite dentale di cui lamenta l’aspetto.
L’anamnesi rivela un buono stato di salute. Non si rilevano patologie famigliari o soggettive degne di nota. All’ispezione clinica non si repertano anomalie morfologiche a carico del viso e del cranio (Fig. 1). L’analisi del profilo dei tessuti molli mostra un profilo concavo. Il labbro superiore e quello inferiore non intercettano il piano estetico. All’ispezione del cavo orale, si reperta morso profondo con copertura degli incisivi inferiori da parte degli incisivi superiori di circa 6 mm con mesioversione dell’incisivo centrale, dell’incisivo laterale e del canino superiori di destra. Gli incisivi centrali superiori si presentano inoltre retroinclinati. È presente un modesto affollamento a livello degli incisivi inferiori con I classe molare e canina bilaterale. Gli elementi dentari presentano difetti dello smalto di modesta entità. L’analisi dei modelli in gesso ha confermato quanto evidenziato dall’esame clinico e ha permesso di rilevare una carenza di spazio di circa 3 mm all’arcata superiore e di circa 0,3 mm all’arcata inferiore. L’esame ortopantomografico (Fig. 2) permette di visualizzare l’avvenuta eruzione in arcata di tutti gli elementi dentali con l’eccezione degli ottavi superiori e inferiori ancora inclusi. Non sono presenti elementi sovrannumerari. L’analisi cefalometrica (Fig. 3) secondo Cervera ha evidenziato una tipologia craniofacciale ipodivergente per SpP^GoGn = 13° (v.n. 20° ± 5°) e una I classe basale per A:Po = 2 mm (v.n. 2 mm ± 3 mm). La tipologia ipodivergente è sostenuta anche dalla previsione di crescita in accordo a Jarabak (post HT/ ant HT = 74%) e Bjork (SUM = 383°). L’angolo tra l’asse dell’incisivo superiore e il piano occlusale risulta aumentato per un valore di 67° (v.n. 62° ± 3°). I valori estetici di Ls:E = -2,7 mm e Li:E = -1,5 mm confermano la retroposizione labiale rispetto alla linea estetica, in base all’analisi di Steiner.
Risultati
Il piano di trattamento ha previsto la correzione della malocclusione mediante allineatori trasparenti Invisalign® allo scopo di correggere l’affollamento alle due arcate, il morso profondo e la retroinclinazione degli incisivi superiori. Tale trattamento è stato selezionato allo scopo di agevolare le manovre di igiene orale in paziente con difetti dello smalto. Il ClinCheck® iniziale (Fig. 4) ha permesso di simulare un trattamento di correzione ortodontica con 24 allineatori all’arcata superiore e 14 allineatori all’arcata inferiore. Lo spazio necessario all’allineamento degli elementi dell’arcata superiore è stato ottenuto tramite riduzione interprossimale nella zona compresa tra la superficie distale dell’incisivo laterale e la superficie mesiale del I molare di destra, e tra la superficie distale del canino e la superficie mesiale del I molare di sinistra, per un totale di 2,6 mm di spazio ricavati.
Il trattamento è cominciato nel mese di febbraio 2010. Il paziente è stato educato a indossare gli allineatori per almeno 22 ore al giorno: la compliance è stata monitorata tramite gli indicatori di collaboratività allocati all’interno degli allineatori in corrispondenza dei primi molari14. Ogni coppia di allineatori è stata indossata per 14 giorni: la durata complessiva del trattamento è stata dunque di 12 mesi. Non si è resa necessaria alcuna procedura di rifinitura. I Power Ridge (Fig. 5) sono stati previsti per la correzione dell’inclinazione corono-radicolare degli incisivi centrali superiori dall’allineatore 7 all’allineatore 17. Dall’allineatore 18 all’allineatore 24 sui due centrali superiori sono stati posizionati due attachment rettangolari e verticali allo scopo di controllarne l’inclinazione sul piano frontale. L’ottima collaborazione del paziente e l’adeguata progettazione del trattamento hanno permesso di ottenere la correzione dell’affollamento alle due arcate, la correzione del morso profondo con intrusione di circa 2 mm degli incisivi superiori e di circa 2 mm a carico degli incisivi inferiori, la correzione delle mesioversioni in arcata superiore e la correzione dell’inclinazione corono-radicolare degli incisivi superiori sul piano sagittale, come confermato anche dalla cefalometria di controllo (Figg. 6, 7). L’inclinazione dell’incisivo superiore rispetto al piano occlusale è rientrata nel range della normalità (63°) alla fine del trattamento.
L’analisi del profilo dei tessuti molli, evidenzia un miglioramento dell’estetica del III inferiore del viso per effetto di una maggior supporto labiale da parte degli incisivi.
embedImagecenter("Imagecenter_2_1038",1038,"small");
Discussione
Allo scopo di verificare e quantificare la correzione del torque degli incisivi superiori, si è proceduto alla scansione 3D dei modelli in gesso iniziale e finale (Scanner Dental Wings, Software RhinoCeros). Sui modelli virtuali così ricavati sono stati applicati i concetti di misurazione delle inclinazioni dentali presentate da Ferrario e collaboratori15 allo scopo di misurare il torque di 1.1 sul modello iniziale e sul modello finale (Fig. 8). La stessa procedura è stata applicata per eseguire le medesime misurazioni sul modello virtuale iniziale e finale del clincheck (Fig. 9). I risultati ottenuti permettono di apprezzare la predicibilità del clincheck in merito al controllo del torque degli incisivi superiori e l’efficacia dei Power Ridge nel determinare il movimento richiesto con una correzione, in questo caso, di circa 10°. Considerando le difficoltà di controllo del torque degli incisivi superiori con la tecnica straight-wire riportate in letteratura (si veda, ad esempio, Profitt16), a causa del gioco tra arco e slot del bracket, Invisalign può rappresentare, di per sé o in associazione con le tecniche di ortodonzia fissa, un utile ausilio terapeutico in tutti quei casi in cui un preciso controllo di questo movimento sia richiesto17.
Conclusioni
In base all’analisi dei dati raccolti, nei limiti di questo lavoro, si possono considerare i risultati raggiunti di estremo interesse. Le misurazioni eseguite sui modelli virtuali, con modalità, tecnologie e operatori indipendenti da Align Technology, hanno dimostrato la possibilità per una terapia con allineatori trasparenti di controllare un movimento corono-radicolare in modo estremamente preciso. La collaborazione del paziente e la conoscenza dei limiti e delle possibilità della tecnica discussa sono requisiti indispensabili per il raggiungimento dell’obiettivo terapeutico.
Nota degli autori: la stesura di questo lavoro è avvenuta senza alcun conflitto di interesse.
Bibliografia
1. Kesling HD. The phylosophy of the tooth positioning appliance. Am J Orthod and Oral Surg. 1945; 31:297-304.
2. Profitt W, Fields HJ. Special considerations in comprehensive treatment for adults. In Profitt W, Fields HJ eds. Contemporary Orthodontics. Third edition. 2000 Mosby Inc.
3. Vlaskalic V, Boyd R. Orthodontic treatment of a mildly crowded malocclusion using the Invisalign System. Aust Orthod J. 2001;17:41-46.
4. Wong BH. Invisalign A to Z. Am J Orthod Dentofacial Orthop. 2002;121:540-541.
5. Djeu G, Shelton C, Maganzini A. Outcome assessment of Invisalign and traditional orthodontic treatment compared with the American Board of Orthodontics objective grading system. Am J Orthod Dentofacial Orthop. 2005;128:292-298.
6. Kravitz ND, Kusnoto B, Agran B, Viana G. Influence of attachments and interproximal reduction on the accuracy of canine rotation with Invisalign. A prospective clinical study. Angle Orthod. 2008;78:682-687.
7. Kravitz ND, Kusnoto B, BeGole E, Obrez A, Agran B. How well does Invisalign work? A prospective clinical study evaluating the efficacy of tooth movement with Invisalign. Am J Orthod Dentofacial Orthop. 2009;135:27-35.
8. Krieger E, Seiferth J, Saric I, Jung BA, Wehrbein H. Accuracy of Invisalign® treatments in the anterior tooth region. First results. J Orofac Orthop. 2011;72:141-149.
9. Pavoni C, Lione R, Laganà G, Cozza P. Self-ligating versus Invisalign: analysis of dento-alveolar effects. Ann Stomatol. 2011;2:23-27.
10. Paquette DE. Extraction treatment with Invisalign. In: Tunkay OC. The Invisalign System. 2006 Quintessence Publishing.
11. Duong T, Tricca R. Force application with Invisalign: constancy and compliance. In: Tunkay OC. The Invisalign System. 2006 Quintessence Publishing.
12. Hahn W, Zapf A, Dathe H, Fialka-Fricke J, Fricke-Zech S, Gruber R, Kubein-Meesenburg D, Sadat-Khonsari R. Torquing an upper central incisor with aligners--acting forces and biomechanical principles. Eur J Orthod. 2010;32:607-613.
13. Brezniak N. The clear plastic appliance: a biomechanical point of view. Angle Orthod. 2008;78:381-382.
14. Tuncay OC, Bowman SJ, Nicozisis JL, Amy BD. Effectiveness of a compliance indicator for clear aligners. J Clin Orthod. 2009;43:263-268;
15. Ferrario VF, Sforza C, Colombo A, Ciusa V, Serrao G. Three-dimensional inclination of the dental axes in healthy permanent dentitions--A cross-sectional study in a normal population. Angle Orthod. 2001;71:257-264.
16. Profitt WR. Contemporary fixed appliances. In: Profitt WR, Fields HW eds. Contemporary Orthodontics. Third edition. 2000 Mosby Inc.
17. Castroflorio T, Garino F, Lazzaro A, Frongia G, Debernardi C. Upper Incisor root control with Invisalign appliances. J Clin Orthod, 2013;6: 346-351.
L'articolo è stato pubblicato sul n. 4 di Cosmetic Dentistry Italy
Il caso clinico presentato permette di illustrare le potenzialità offerte dalla sistematica Invisalign® per il controllo del torque degli ...
La presenza protratta nel tempo di dispositivi ortodontici fissi è un alto rischio per la salute dei tessuti parodontali e dentali in quanto viene a ...
La presenza protratta nel tempo di dispositivi ortodontici fissi è un alto rischio per la salute dei tessuti parodontali e dentali in quanto viene a ...
La perimplantite è un processo infiammatorio che colpisce i tessuti che circondano un impianto dentale osteointegrato. È caratterizzata da infiammazione ...
Il laser a diodi ha come mezzo attivo un semiconduttore ed emette un raggio laser di lunghezza d’onda compresa tra 640 e 1064 nm. Recentemente sono ...
Il laser a diodi ha come mezzo attivo un semiconduttore ed emette un raggio laser di lunghezza d’onda compresa tra 640 e 1064 nm. Recentemente sono ...
Il tema di quest’articolo, scritto a quattro mani, è stato trattato da Giampietro Farronato nel corso di una “lectio magistralis” ...
Anamnesi della paziente
Una donna di 50 anni, con situazione medica e parodontale stabile, si è presentata con problemi agli elementi 8 e 9 relativi...
L’estetica del sorriso riveste sempre più un ruolo fondamentale nell’odontoiatria moderna ed è messa quale outcome di primo piano nelle decisioni ...
L’estetica del sorriso riveste sempre più un ruolo fondamentale nell’odontoiatria moderna ed è considerata quale outcome di primo ...
Live webinar
mer. 15 aprile 2026
20:00 (CET) Rome
Live webinar
gio. 16 aprile 2026
2:00 (CET) Rome
Linda Hecker MS, BSDH, RDH
Live webinar
gio. 16 aprile 2026
18:00 (CET) Rome
Dr. Pär-Olov Östman, Dr. Robert Gottlander DDS
Live webinar
ven. 17 aprile 2026
18:00 (CET) Rome
Live webinar
ven. 17 aprile 2026
19:00 (CET) Rome
Dr. Stuart Yeaton BDentSc, MOrth
Live webinar
lun. 20 aprile 2026
19:00 (CET) Rome
Dr. Alberto Monje DDS, MS, PhD
Live webinar
mer. 22 aprile 2026
17:00 (CET) Rome
MDT Andreas Chatzimpatzakis
To post a reply please login or register