La perimplantite è un processo infiammatorio che colpisce i tessuti che circondano un impianto dentale osteointegrato. È caratterizzata da infiammazione dei tessuti molli e da una progressiva perdita dell’osso che sostiene l’impianto: se non trattata tempestivamente, può portare al fallimento dell’impianto stesso.
La perimplantite è paragonabile a una forma di parodontite, ma localizzata attorno a un impianto. Si distingue dalla mucosite perimplantare, che interessa solo i tessuti molli e non comporta perdita ossea. Mentre la mucosite, analogamente a quanto avviene sul dente naturale con la gengivite, è totalmente reversibile, la perimplantite, pur richiedendo interventi più complessi, può essere trattata senza però raggiungere una restitutio ad integrum.
La perimplantite è una patologia multifattoriale e le cause più comuni possono includere:
- Accumulo di placca e batteri - È il fattore di rischio principale: una scarsa igiene orale favorisce la colonizzazione batterica intorno all’impianto con conseguente distruzione dei tessuti perimplantari proporzionale alla suscettibilità individuale del paziente.
- Fumo - Riduce la vascolarizzazione dei tessuti e ostacola la guarigione: i fumatori hanno un rischio significativamente maggiore di sviluppare perimplantite.
- Anamnesi di parodontite - I pazienti che hanno sofferto di parodontite hanno una predisposizione maggiore a sviluppare perimplantite.
- Malattie sistemiche - Diabete non controllato e disturbi immunitari sono condizioni che riducono la capacità di risposta ai batteri.
- Fattori chirurgici e protesici - Impianti posizionati non correttamente dal punto di vista del rispetto dei tessuti circostanti, residui di cementazione protesica e morfologia della corona che rende difficile l’igiene domiciliare sono fattori potenzialmente favorenti lo sviluppo di eventuali perimplantiti.
Nelle fasi iniziali la perimplantite può essere asintomatica ma con la sua progressione, possono comparire:
- gonfiore e arrossamento dei tessuti molli intorno all’impianto;
- sanguinamento al sondaggio;
- dolore o fastidio alla masticazione;
- presenza di pus (suppurazione);
- recessione gengivale;
- mobilità dell’impianto nei casi di completa perdita del supporto osseo.
È fondamentale la diagnosi precoce per preservare quanto più tessuto osseo possibile e stabilire il trattamento più adeguato secondo la gravità della situazione.
In una prima fase, se il danno osseo è limitato, la terapia non chirurgica potrebbe essere sufficiente a stabilizzare una situazione che altrimenti potrebbe compromettersi ulteriormente. Una buona strumentazione manuale e rimozione professionale della placca, una detossificazione della superficie implantare con strumenti ultrasonici e/o manuali, air polishing ed eventualmente, in associazione, laser sono il primo passo del trattamento. Le moderne tecnologie ci offrono l’opportunità di migliorare ulteriormente i nostri trattamenti attraverso dispositivi medici innovativi quali, ad esempio, l’ozono stabilizzato in gel come nel case report descritto in questo articolo.
L’ozono ha dimostrato di possedere proprietà uniche e diverse potenziali applicazioni in odontoiatria e medicina.
L’ozono ha diverse azioni:
- agisce come antimicrobico (battericida, virucida e fungicida);
- immunostimolante;
- antiinfiammatorio;
- biostimolante (attiva il metabolismo dei carboidrati, proteine, lipidi);
- analgesico;
- emostatico.
L’ozono distrugge le pareti cellulari degli agenti patogeni in pochi secondi, portando a lisi cellulare immediata attraverso la scissione dei doppi legami di carbonio presenti nella membrana cellulare e uccidendo così gli agenti causali della malattia. È stato dimostrato che una singola applicazione di ozono di pochi minuti elimina una percentuale molto elevata dei microrganismi presenti a livello di una carie dentale o di una lesione parodontale.
L’ozono a bassa concentrazione, è sufficiente per inattivare le cellule batteriche comprese le loro spore. Si utilizza per il trattamento delle lesioni cariose in fase iniziale, la sterilizzazione delle cavità dei canali radicolari, per la decontaminazione delle tasche parodontali e perimplantari in associazione con la strumentazione convenzionale, per migliorare la guarigione delle ferite, per ridurre la sensibilità di denti estremamente sensibili, per prevenire l’alveolite dopo avulsione dentale.
La molecola dell’ozono O3 è altamente instabile: se non vi sono specifiche situazioni ambientali favorevoli, la molecola si scompone e ritorna ad essere ossigeno O2. Per questo motivo, in odontoiatria, per molto tempo non è stato possibile utilizzare questa molecola in condizioni di sicurezza ed efficacia. Il dispositivo medico di Classe IIA Ozosan Gel (Bioactiva) riesce, attraverso il proprio gel, a mantenere stabile la molecola di ozono O3 fino al momento dell’utilizzo nel cavo orale del paziente. È sufficiente posizionare poche gocce nel sito da trattare per sfruttare immediatamente tutta l’efficacia disponibile dell’ozono stabilizzato contenuto nel gel.
Case Report
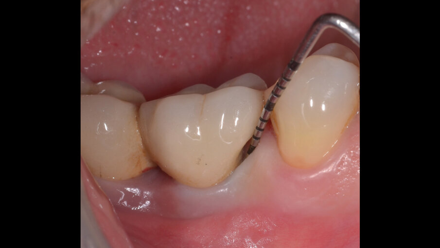
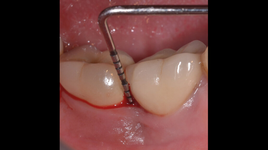
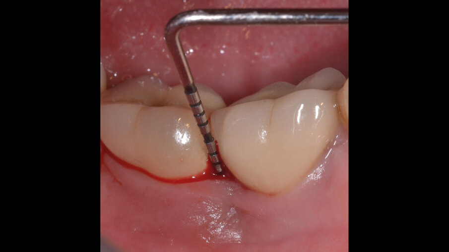
Il paziente, di sesso maschile e di 48 anni di età, è in buone condizioni di salute generale ma, a distanza di 10 anni dall’inserimento, presenta due impianti endossei, in posizione 4.6 e 4.7 con uniforme perdita ossea e con sondaggi di profondità variabile tra 6 e 9 mm accompagnati da sanguinamento, con tessuti marginali che mostrano importanti aspetti infiammatori, causa di sintomatologia dolorosa per il paziente (Figg. 1a-f).
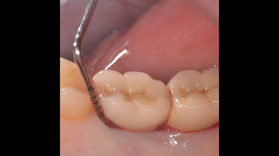
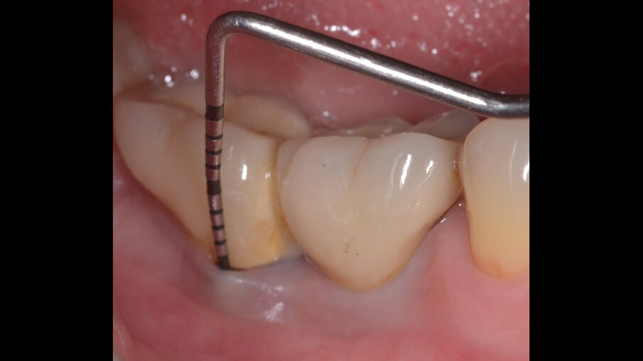
I siti interessati sono stati strumentati per via non chirurgica, utilizzando strumenti manuali, strumenti ultrasonici e air polishing con eritritolo. Al termine della seduta è stato applicato il gel di ozono (Ozosan Gel - Bioactiva) all’interno delle tasche, lasciando agire il dispositivo per 8 minuti, quindi eseguendo lavaggio con soluzione fisiologica. Il post-operatorio ha avuto un decorso privo di dolore con rapida remissione della sintomatologia soggettiva. Il paziente è stato inserito in un programma di mantenimento parodontale trimestrale. A distanza di 6 mesi dal trattamento non chirurgico della perimplantite, i siti si presentano stabili con profondità di sondaggio ridotta tra i 3 e i 5 mm con assenza completa di sanguinamento al sondaggio (Figg. 1g-m).
La perimplantite è una complicanza seria ma prevenibile degli impianti dentali. Una corretta igiene orale, controlli regolari e una buona comunicazione tra paziente e dentista rappresentano la chiave per preservare nel tempo la salute degli impianti. Qualora la perimplantite si sia instaurata, è ancora possibile trattarla e ristabilire una situazione priva di infiammazione. Un programma di mantenimento è la misura più efficace per prevenire tanto l’insorgenza quanto la recidiva della perimplantite.
- Educazione del paziente all’uso dei corretti presidi per l’igiene domiciliare in relazione al contesto implanto-protesico.
- Sedute regolari di igiene professionale ogni 3–6 mesi, individualizzate sulla base della suscettibilità individuale.
- Valutazione periodica di sanguinamento al sondaggio, profondità di sondaggio e livelli ossei perimplantari.
- Astensione dal fumo e controllo delle patologie sistemiche.
Conclusioni
La perimplantite rappresenta una sfida clinica complessa, determinata dall’interazione di molteplici fattori. La sua gestione richiede un approccio multidisciplinare che includa prevenzione, diagnosi precoce e terapie personalizzate. Il mantenimento a lungo termine è essenziale per preservare la salute dei tessuti perimplantari e garantire la longevità degli impianti. Oggi, le nuove tecnologie, attraverso dispositivi medici di nuova generazione, possono aiutarci a ottenere risultati clinici sempre migliori, sempre più predicibili e sempre meno invasivi per la piena soddisfazione del clinico e del paziente.
Bibliografia
- Baysan A, Lynch E. The use of ozone in dentistry and medicine. Prim Dent Care. 2005;12(2):47-52. https://doi.org/10.1308/1355761053695158.
- Heitz-Mayfield LJA, Salvi GE. Peri-implant mucositis. J Clin Periodontol. 2018;45 Suppl 20:S237-S245. https://doi.org/10.1111/jcpe.12953.
- Huth KC, Jakob FM, Saugel B, Cappello C, Paschos E, Hollweck R, et al. Effect of ozone on oral cells compared with established antimicrobials. Eur J Oral Sci. 2006;114(5):435-40. https://doi.org/10.1111/j.1600-0722.2006.00390.x.
- Liñares A, Sanz-Sánchez I, Dopico J, Molina A, Blanco J, Montero E. Efficacy of adjunctive measures in the non-surgical treatment of peri-implantitis: a systematic review. J Clin Periodontol. 2023;50 Suppl 26:224-43. https://doi.org/10.1111/jcpe.13821.
- Meyle J, Fischer-Wasels L. Non-surgical treatment of peri-implantitis. Br Dent J. 2024;237(10):780-5. https://doi.org/10.1038/s41415-024-7950-2.
- Persson GR, Renvert S. Cluster of bacteria associated with peri-implantitis. Clin Implant Dent Relat Res. 2014;16(6):783-93. https://doi.org/10.1111/cid.12052.
- Reis INRD, do Amaral GCLS, Hassan MA, Villar CC, Romito GA, Spin-Neto R, et al. The influence of smoking on the incidence of peri-implantitis: a systematic review and meta-analysis. Clin Oral Implants Res. 2023;34(6):543-54. https://doi.org/10.1111/clr.14066.
- Renvert S, Quirynen M. Risk indicators for peri-implantitis: a narrative review. Clin Oral Implants Res. 2015;26 Suppl 11:15-44. https://doi.org/10.1111/clr.12636.
- Roccuzzo A, Imber JC, Salvi GE, Roccuzzo M. Peri-implantitis as the consequence of errors in implant therapy. Periodontol 2000. 2023;92(1):350-61. https://doi.org/10.1111/prd.12482.
- Schwarz F, Jepsen S, Obreja K, Galarraga-Vinueza ME, Ramanauskaite A. Surgical therapy of peri-implantitis. Periodontol 2000. 2022;88(1):145-81. https://doi.org/10.1111/prd.12417.
- Stiesch M, Grischke J, Schaefer P, Heitz-Mayfield LJA. Supportive care for the prevention of disease recurrence/progression following peri-implantitis treatment: a systematic review. J Clin Periodontol. 2023;50 Suppl 26:113-34. https://doi.org/10.1111/jcpe.13822.
L'articolo è stato pubblicato su Perio Tribune n.1/26.
Tag:
La malattia parodontale è una patologia infiammatoria mediata dalla risposta dell’ospite causata dal biofilm batterico. La terapia causale si basa sul ...
I soggetti fumatori hanno sicuramente maggiore probabilità di sviluppare infezioni fungine orali rispetto ai soggetti non fumatori1. La Candida è uno dei ...
Gli autori presentano una metodologia implantoprotesica usando degli impianti a vite emergenti che vengono saldati a un ago di titanio per garantire la ...
Gli autori presentano una metodologia implantoprotesica usando degli impianti a vite emergenti che vengono saldati a un ago di titanio per garantire la ...
Le perimplantiti e la loro gestione, come dimostrato dai più recenti lavori pubblicati in letteratura e dalle relative revisioni, si configurano come...
I problemi di origine infiammatoria che attaccano gli impianti vengono distinti in letteratura come mucosite perimplantare, lesione infiammatoria ...
Le mucose orali possono essere facilmente soggette a traumi, acuti o cronici, di varia natura. Elementi dentari (malposizionati o con superfici ...
Trials clinici hanno dimostrato che il fallimento implantare non è ascrivibile solamente a un sovraccarico funzionale. Nella maggior parte dei casi ...
La riabilitazione orale di pazienti parzialmente o totalmente edentuli con l’utilizzo di impianti endossei è divenuta ormai una metodica molto diffusa e ...
Nella pratica odontoiatrica comune il clinico è chiamato a trattare anomalie strutturali dello smalto e dentina con esigenze estetiche importanti da parte ...
Live webinar
mar. 17 marzo 2026
18:00 (CET) Rome
Prof. Dr. Nadine Schlüter
Live webinar
mar. 17 marzo 2026
18:00 (CET) Rome
Dr. Giuseppe Luongo MD, DDS, Dr. Fabrizia Luongo DMD, MS, Dr. Robert Gottlander DDS
Live webinar
gio. 19 marzo 2026
0:00 (CET) Rome
Live webinar
gio. 19 marzo 2026
18:00 (CET) Rome
Live webinar
ven. 20 marzo 2026
10:00 (CET) Rome
Mr. Andrew Terry Cert.DT. GradDipDH. Med, Cat Edney
Live webinar
lun. 23 marzo 2026
14:30 (CET) Rome
Prof. Gianluca Gambarini MD, DDS
Live webinar
mar. 24 marzo 2026
18:00 (CET) Rome
To post a reply please login or register