Anamnesi della paziente
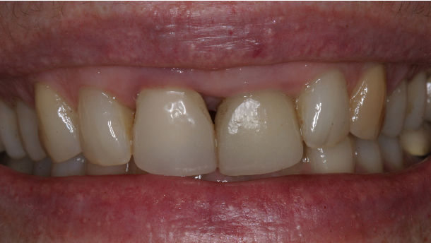
Una donna di 50 anni, con situazione medica e parodontale stabile, si è presentata con problemi agli elementi 8 e 9 relativi ad asimmetria, mancanza di papilla interdentale e terapia canalare fallita con apicectomia eseguite in passato (Fig. 1).
Piano di trattamento
1. Estrazione degli elementi 8 e 9, impianti immediati in 8 e 9 e provvisori immediati non funzionali in 8 e 9.
2. Periodo di guarigione di tre mesi.
3. Gengivectomia per creare una simmetria delle mucose.
4. Periodo di guarigione di sei mesi, durante il quale saranno eseguite le modifiche dei contorni al restauro provvisorio al fine di gestire la rigenerazione papillare.
5. Applicazione di corone single finali PFM sugli impianti in 8 e 9.
Razionale del piano di trattamento
La riabilitazione implantare nei siti 8 e 9 supporta il successo protesico a lungo termine, diminuendo i costi futuri e permettendo una gamma più ampia di opzioni restaurative. La paziente è un candidato ideale per un impianto immediato con relativo provvisorio grazie al suo biotipo spesso, che resiste alla recessione, nonché al posizionamento coronale della copertura gengivale intrinseca intorno agli elementi 8 e 9 rispetto ai denti adiacenti, che consente il permanere di una minima recessione post-trattamento nell’ambito di un contorno esteticamente piacevole.
Estrazione degli elementi 8 e 9, impianti immediati in 8 e 9 e provvisori immediati non funzionali in 8 e 9
Dopo la sedazione orale con 0.25 mg di triazolam e anestesia locale per induzione con il Lidocaina al 2% ed epinefrina 1:100.000 e Bupivacaina allo 0.5% con epinefrina 1:200.000, sono state eseguite le incisioni sulculari in modo circonferenziale intorno ai denti 8 e 9. Per creare lo spazio per le estrazioni, sono state prima ridotte le corone dei denti 8 e 9 (Fig. 2a). I denti 8 e 9 sono stati estratti in modo atraumatico con una punta per piezochirurgia e con pinze mascellari universali (Figg. 2b, 2c). La degranulazione delle tasche è stata eseguita con una fresa di finitura al carburo e una fresa Neumeyer. È stata utilizzata una guida chirurgica per preparare le osteotomie degli impianti e si è ottenuto un posizionamento corretto (Fig. 3). Dopo la finalizzazione dei siti delle osteotomie, in posizione 8 e 9 sono stati inseriti impianti ruvidi, a esagono esterno, con diametro 4 mm e lunghezza 13 mm (NanoTite® Tapered Certain® Implant, BIOMET 3i, Palm Beach Gardens, Fla.) (Fig. 4).
Sugli impianti sono stati inseriti i monconi di guarigione per evitare il collasso di tessuto molle e osso durante il periodo di realizzazione extraorale della protesi provvisoria (Fig. 5a).
L’orientamento degli impianti era ideale, e le fixture fuoriuscivano dagli alveoli nelle posizioni del cingolo (Fig. 5a).
È stata ottenuta la stabilità primaria. La valutazione radiografica degli impianti rilevava un picco di osso tra le fixture, una distanza inter-impianto superiore a 4 mm e una distanza dente-impianto di 2 mm (Fig. 5b). Per superare il gap circonferenziale tra le pareti dell’alveolo e le superficie implantari, è stato utilizzato un alloinnesto di osso liofilizzato (FDBA) come materiale di riempimento (LifeNet Health, Virginia Beach, Va.).
I cilindri provvisori (PreFormance® Temporary Cylinder, Certain® Internal Connection, piattaforma 4.1 mm, con esagono) sono stati posizionati sugli impianti per verificare la posizione del restauro (Fig. 6).
Questi sono stati rimossi ed è stata rilevata un’impronta a livello dell’impianto. Dopo la realizzazione in studio di un modello con gli analoghi degli impianti, i cilindri provvisori sono stati applicati agli analoghi e sono state realizzate corona provvisorie in acrilico mediante una mascherina realizzata sopra agli incisivi centrali con forma ideale. Queste corone provvisorie sono state posizionate e avvitate sugli impianti mediante viti in titanio con un torque di 20 Ncm. Sulla testa delle viti sono stati posizionati dei pellet di cotone e i fori di accesso sono stati sigillati con composito. La regolazione occlusale ha evitato il contatto funzionale durante le escursioni. I restauri provvisori non riempivano lo spazio papillare tra 8 e 9 (Fig. 7).
La radiografia eseguita dopo il completamento della fase provvisoria ha permesso di evidenziare il posizionamento e l’applicazione soddisfacenti (Fig. 8).
Gingivectomia sugli impianti 8 e 9
La guarigione dei siti implantari è avvenuta senza complicanze. Una settimana dopo la chirurgia, il tessuto marginale buccale era rimasto orientato coronalmente ed era iniziata l’invasione della papilla nello spazio interdentale vuoto (Fig. 9).
Tre mesi dopo la chirurgia iniziale, si è verificato un ulteriore spostamento coronale e riempimento della papilla (Fig. 10). È stata eseguita una gengivectomia minore per creare una simmetria mucosale tra gli incisivi centrali superiori. Sono stati modificati anche il punto di contatto e il contorno delle corone provvisorie per creare una papilla più piena.
Restauro finale degli impianti 8 e 9
Sei mesi dopo la gengivectomia e la modifica dei contorni dei provvisori, gli impianti erano pronti per la protesi finale (Fig. 11). Sono state applicate singole corone PFM definitive sugli impianti 8 e 9. L’analisi clinica dimostrava la risoluzione dell’infiammazione, la situazione ideale dei tessuti molli e la rigenerazione papillare (Fig. 12). Una radiografia evidenziava la conservazione dell’osso interprossimale e perimplantare (Fig. 13). La paziente era soddisfatta dei risultati funzionali ed estetici (Fig. 14).
Istruzioni post-operatorie
Dopo la procedura chirurgica, alla paziente è stato detto di assumere Ibuprofen 600 mg ogni 4-6 ore, Idrocodone 7.5 mg /acetaminofene 750 mg ogni 4-6 ore in caso di dolore and Doxiciclina 100 mg per 10 giorni. Inoltre, le è stato raccomandato di non spazzolare sul sito chirurgico o nelle vicinanze e di eseguire sciacqui con clorexidina allo 0,12% o soluzione salina tiepida due volte al giorno. La paziente è stata istruita a non masticare nell’area interessata per almeno due settimane.
Autore
Dr. Michael Sonick si occupa a tempo pieno di parodontologia e chirurgia implantare a Fairfield, Conn. Noto educatore, autore e ricercatore clinico, è relatore presso l’International Dental Program della New York University School of Dentistry, è stato professore assistente presso il reparto di chirurga della Yale University School of Medicine e della University of Connecticut School of Dental Medicine e relatore sui temi della parodontologia, implantologia, gestione dello studio per programmi formativi in tutto il mondo.
A livello locale, è fondatore e direttore del Fairfield County Dental Club, un’organizzazione di educazione continua che propone corsi sugli ultimo sviluppi in odontoiatria ai clinici e al loro staff. Sonick è anche fondatore e direttore del Sonick Seminars, LLC, un istituto di formazione multidisciplinare con sede nel suo studio clinico e centro di formazione. Vengono proposti corsi su tutti gli aspetti chirurgici della parodontologia e dell’implantologia. Caratteristica particolare di questo programma è la suddivisione in tre parti: i dentisti partecipano a sessioni di chirurgia dal vivo, corsi pratici e lezioni teoriche. Per chi fosse interessato a partecipare, è possibile visitare il sito web www.sonickdmd.com.
embedImagecenter("Imagecenter_2_149",149,"small");
Didascalie
Fig. 1a - Immagine frontale iniziale.
Fig. 1b - Immagine del sorriso. È evidente la mancanza di papilla tra 8 e 9. La paziente mostra anche una asimmetria gengivale, infiammazione e gengiva in eccesso intorno agli elementi 8 e 9.
Fig. 1c - Immagine del sorriso laterale di destra iniziale.
Fig. 1d - Immagine del sorriso laterale di sinistra iniziale. I denti 8 e 9 sembrano essere su un piano occlusale differente. L’attenzione si concentra su questi.
Fig. 1e - Radiografia iniziale. I denti 8 e 9 sono falliti dal punto di vista endodontico.
Fig. 2a - I punti di contatto vengono rotti e le corone vengono rimosse. Si deve evitare un trauma all’osso e ai denti adiacenti.
Fig. 2b - Dopo l’incisione sulculare, si utilizza la piezochirurgia per rimuovere un modo atraumatico i denti.
Fig. 2c - Utilizzo della pinza con pressione apicale rotazionale sul dente 8 per rimuoverlo senza alcuna distruzione del piano alveolare.
Fig. 3a - Si usa una guida chirurgica per assicurare il corretto orientamento durante la preparazione dell’osteotomia. Immagine buccale della guida in posizione con i perni di orientamento.
Fig. 3b - Immagine occlusale della guida in posizione. Notare che l’osteotomia è situate nella posizione del cingolo, il sito preferito per un restauro avvitato. Si notino le alette occlusali sulla guida che stabilizzano la sua posizione sui denti adiacenti durante la preparazione chirurgica.
Fig. 3c - Orientamento dell’osteotomia iniziale confermato dalla radiografia.
Fig. 4 - Immagine occlusale dopo posizionamento di due impianti con diametro 4 mm. Notare la posizione palatale e lo spessore del piano buccale. È presente un gap tra l’aspetto labiale dell’impianto e il piano facciale. Questo verrà innestato.
Fig. 5a - Monconi di guarigione provvisori in posizione. Questi evitano il collasso del tessuto molle e dell’osso durante la preparazione extra-orale del restauro provvisorio.
Fig. 5b - Radiografia degli impianti in posizione con I monconi di guarigione provvisori. Notare il picco osseo tra gli impianti.
Fig. 6a - Immagine occlusale dei cilindri provvisori. Notare il posizionamento ideale per funzione ed estetica. Le forze occlusali sono direzionate lungo l’asse degli impianti. Gli impianti sono posizionati palatalmente, il che permette la modellazione ideale del tessuto mediante il provvisorio.
Fig. 6b - Immagine frontale dei cilindri provvisori.
Fig. 7 - Restauro provvisorio immediatamente dopo la ribasatura e l’applicazione. Non è presente la papilla.
Fig. 8 - Radiografia eseguita il giorno dell’impianto.
Fig. 9 - Restauro provvisorio 1 settimana dopo l’impianto. Guarigione molto positive dei tessuti molli e minima recessione.
Fig. 10 - Restauro provvisorio 3 mesi dopo l’impianto.
Fig. 11 - Restauro provvisorio 6 mesi dopo la gengivectomia e la regolazione dei contorni delle corone provvisorie.
Fig. 12a - Restauri finali su 8 e 9.
Fig. 12b - Immagine ravvicinata del restauro finale.
Fig. 12c - Immagine finale laterale di destra.
Fig. 12d - Immagine finale laterale di sinistra.
Fig. 13 - Radiografia del restauro finale. Vi è conservazione dell’osso interprossimale e perimplantare.
Fig. 14 - Immagine finale.
Fig. 15 - Dr. Michael Sonick.
Il laser Erbium:YAG (o Er:YAG) ha un mezzo attivo di granato-ittrioalluminio drogato con ioni erbio ed emette un raggio laser di lunghezza d’onda di ...
Nella preparazione ortodontica dei soggetti che verranno sottoposti ad un intervento di chirurgia ortognatica ci sono alcuni obiettivi che devono essere ...
La corretta gestione dei tessuti duri e molli per raggiungere l’estetica ideale.
Il ripristino morfo-funzionale degli elementi dentari compromessi rappresenta da sempre la sfida quotidiana del team approach del clinico e odontotecnico, ...
Il caso clinico presentato permette di illustrare le potenzialità offerte dalla sistematica Invisalign® per il controllo del torque degli ...
Il caso clinico presentato permette di illustrare le potenzialità offerte dalla sistematica Invisalign® per il controllo del torque degli ...
I dilemmi che accompagnano gli impianti post-estrattivi immediati spesso implicano la decisione se sarebbe meglio mantenere o meno con chirurgie o manovre ...
La Direzione Regionale Salute e Integrazione Sociosanitaria (Area autorizzazione e Accreditamento) ha emanato dei chiarimenti in merito agli Studi medici ...
In uno studio dentistico, dove la cura e l’attenzione al paziente sono la priorità assoluta, la gestione amministrativa degli incassi è spesso una sfida...
Il tema della medicina estetica all’interno degli studi dentistici continua ad essere tra i più dibattuti in ambito odontoiatrico. In KEY-STONE, abbiamo ...
Live webinar
ven. 17 aprile 2026
18:00 (CET) Rome
Live webinar
ven. 17 aprile 2026
19:00 (CET) Rome
Dr. Stuart Yeaton BDentSc, MOrth
Live webinar
lun. 20 aprile 2026
19:00 (CET) Rome
Dr. Alberto Monje DDS, MS, PhD
Live webinar
mer. 22 aprile 2026
17:00 (CET) Rome
MDT Andreas Chatzimpatzakis
Live webinar
mer. 22 aprile 2026
17:00 (CET) Rome
Live webinar
mer. 22 aprile 2026
18:00 (CET) Rome
Live webinar
gio. 23 aprile 2026
17:00 (CET) Rome
To post a reply please login or register