Con questo articolo desidero mostrare un caso clinico di gestione dei tessuti molli periimplantari mediante l’associazione di matrice in collagene customizzata con un approccio digitale nella creazione del provvisorio al fine di ottenere un outcome adeguato in pazienti con sorriso gengivale. Più precisamente vorrei introdurre il protocollo di lavoro digitale che adotto quando ho la necessità di preservare la morfologia originale dei tessuti molli (parabole gengivali e papille) nelle aree frontali.
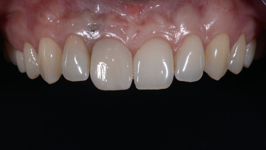
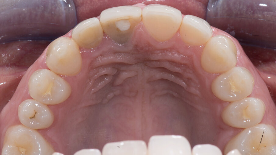
Come noto, per raggiungere un risultato ottimale nei casi estetici, è necessario che vi sia una certa armonia tra tessuti molli e manufatti protesici: ciò significa che le papille interdentali, le parabole gengivali, gli assi dentali, la dominanza degli incisivi centrali devono essere ben bilanciati tra di loro (Fig. 1)
_Presentazione
La gestione digitale dei casi estetici in cui è indispensabile eseguire un atto chirurgico in una zona frontale, quale l’inserimento di un impianto, richiede una maggior attenzione e cura dei dettagli, soprattutto se il paziente presenta un sorriso gengivale. Al fine di mantenere stabili la posizione e gli spessori delle parabole gengivali e delle papille, è consigliato eseguire un innesto libero nella zona vestibolare dell’impianto. L’inserimento di tessuto connettivo in questa area è indispensabile non solo dal punto di vista estetico, ma anche nell’ottica del mantenimento a lungo termine della salute dell’impianto. La metodica maggiormente impiegata prevede il prelievo dell’innesto da una zona donatrice che solitamente è rappresentata dal palato o il tuber. È noto che un approccio convenzionale di questo tipo presenta alcuni rischi, quali:
- emorragia della zona donatrice;
- necrosi dell’innesto;
- danni neurologici;
- danni estetici;
- dolore, gonfiore e parestesie.
L’utilizzo di una matrice di collagene, come evidenziato nel caso clinico che segue, può costituire una valida alternativa al percorso convenzionale che, ad oggi, rappresenta il gold standard.
_Caso clinico
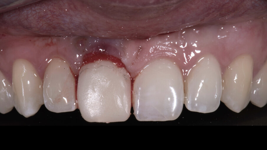
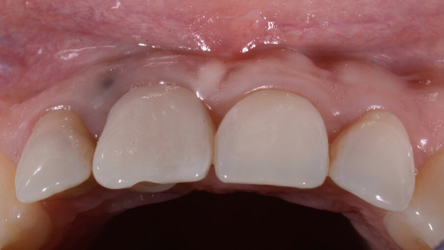
In seguito ad un riassorbimento radicolare esterno, una giovane paziente di 28 anni danneggia irreversibilmente il dente 1.1. È presente una fistola vestibolare e la sequenza radiografica mostrava un progressivo danno a carico della radice con coinvolgimento del tronco radicolare e del terzo cervicale del dente (Figg. 2-5).
Fig. 1_Composizione estetica anteriore ideale.
Figg. 2-4_Immagini iniziali.
Figg. 2-4_Immagini iniziali.
Figg. 2-4_Immagini iniziali.
Fig. 5_Radiografie intraorali iniziali.
_Studio del caso e piano terapeutico
In tutti i casi in cui l’estetica è coinvolta, eseguo sempre lo studio del sorriso seguendo i concetti del “Digital Smile Design” DSD, cercando di ottimizzare l’armonia tra denti del paziente e il suo viso (Fig. 6). In questo caso, dove deve essere gestito un solo elemento dentale, non è necessario ridisegnare completamente tutti i denti dei settori frontali; tuttavia, un approccio estetico ci aiuta a capire quali siano le discrepanze rispetto a una situazione ideale (Fig. 7). Poiché la morfologia del dente 2.1. era congruo sia dal punto di vista proporzionale che armonico rispetto ai denti vicini, mi sono limitato a copiarne la forma riuscendo in tal modo a mantenere i tessuti molli nella posizione originale dopo la fase chirurgica di inserimento di un impianto in posizione 1.1.
_Protocollo di lavoro
Il pianto di trattamento definitivo prevedeva 3 fasi:
- un primo step chirurgico;
- un secondo step protesico per la realizzazione del provvisorio a carico immediato;
- un terzo step di finalizzazione protesica seguendo un processo di lavoro digitale (Fig. 8).
Fig. 6_Impatto estetico dei denti frontali sul viso della paziente.
Fig. 7_Disegno dei denti frontali.
Fig. 8_Piano di trattamento definitivo.
_Primo e secondo step del protocollo di lavoro
La chiave del successo di queste due prime fasi ruota attorno a tre importanti concetti:
- posizione dell’impianto: quest’ultimo deve essere palatale rispetto all’asse dell’alveolo e centrale rispetto alla zona edentula (Fig. 9);
- gestione dei tessuti molli: assicurarsi di mantenere il profilo della parabola gengivale e un’adeguata banda di gengiva aderente, nonché papille adeguate mediante l’uso di una matrice in collagene volumetricamente stabile;
- condizionamento dei tessuti molli: creazione di un provvisorio immediato post-estrattivo, in grado di condizionare i tessuti molli mantenendo, contemporaneamente, in situ sia il biomateriale innestato tra corticale buccale ossea e impianto sia la matrice in collagene posizionata vestibolarmente. Per ottenere il provvisorio post estrattivo, seguendo un percorso digitale, ho proceduto nel seguente modo:
- Impronta digitale mediante scanner intraorale
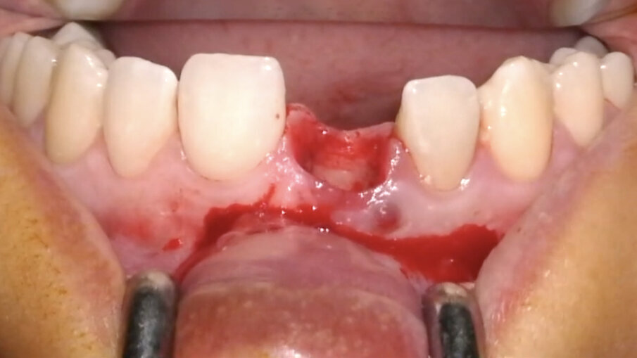
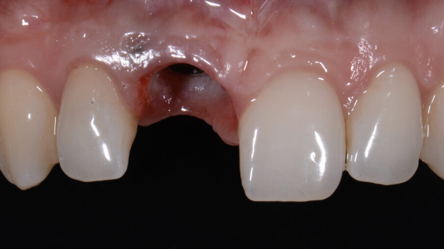
L’aspetto più importante durante questa prima scansione è la creazione della cosiddetta “Maschera Gengivale”, ossia la copiatura dei tessuti molli precedentemente condizionati. Tale scansione, eseguita con Primescan (Dentsply Sirona), ci guiderà durante la fase di progettazione del profilo di emergenza del dente provvisorio. Un corretto profilo d’emergenza rappresenta sicuramente la chiave del successo e ci consentirà di ottenere, in modo predicibile, un buon condizionamento dei tessuti attorno al terzo cervicale del dente avvitato all’impianto. Il modello master superiore deve essere tagliato digitalmente al centro dell’area edentula 1.1 mediante lo strumento “Seziona” (Fig. 10). Dopo la prima impronta digitale, si è proceduto all’estrazione del dente 1.1 (Figg. 11, 12).
- Nei casi di impianti post-estrattivi
Non vanno eseguite incisioni di scarico in quanto non sono necessarie (Fig. 13). Diversamente, nei casi di edentulia parziale frontale deve essere eseguita un’incisione vestibolare (Fig. 14) a partenza intra-sulculare dai denti adiacenti. Come noto, tale incisione non deve coinvolgere la parte coronale delle papille: l’interessamento dei picchi ossei, infatti, porterebbe inevitabilmente alla perdita di 1-1,5 mm di osso con compromissione dell’estetica finale. In entrambi i casi, al fine di posizionare una matrice in collagene, verrà eseguita un’incisione a spessore parziale creando una piccola tasca mucosa corrispondente alla porzione buccale della zona trattata (Fig. 15).
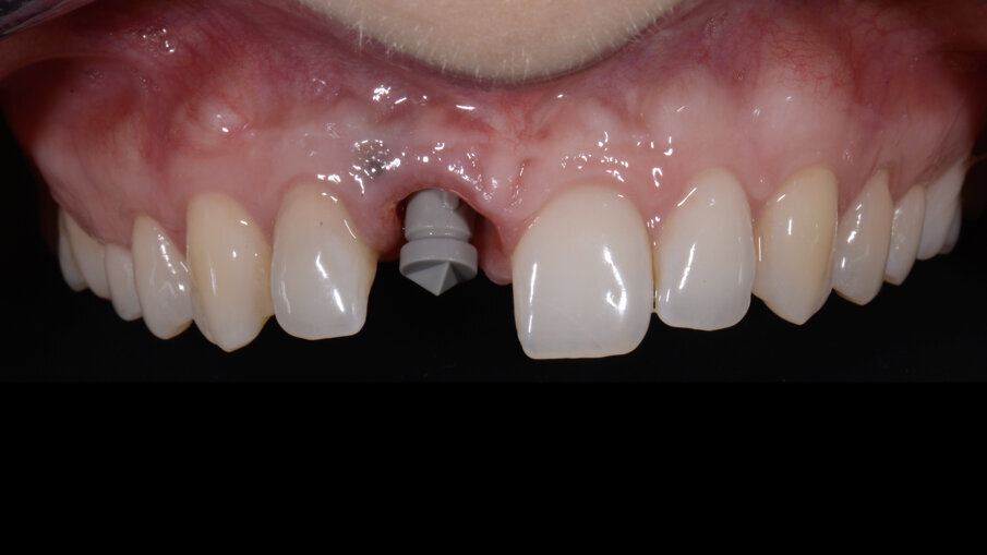
- Posizionamento implantare
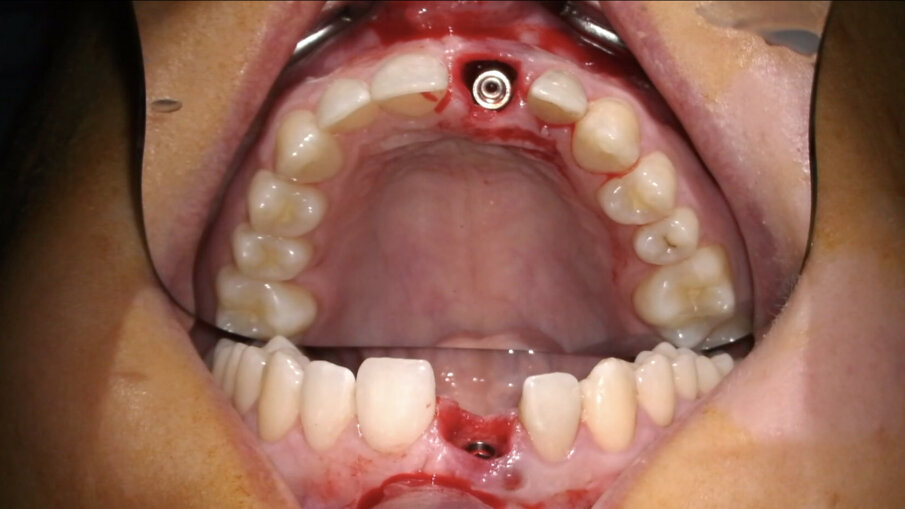
L’impianto (XIVE – Dentsply Sirona) è stato posizionato centralmente con un’inclinazione palatale al fine di evitare che il foro di accesso della vite cadesse sul margine incisale del provvisorio o, ancor peggio, sulla sua superficie vestibolare. Il gap osseo vestibolare è stato riempito con Geistlich Bio-Oss (Geistlich Pharma) (Figg. 16-19).
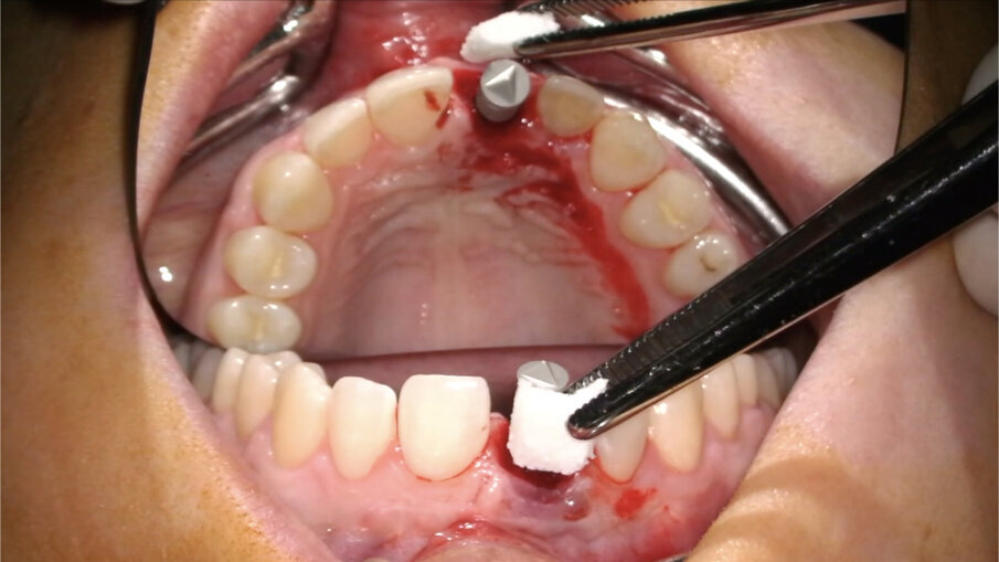
- Personalizzazione matrice “FIBRO-GIDE”
Geistlich Fibro-Gide (Geistlich Pharma) è una matrice in collagene di origine suina, porosa, riassorbibile e volumetricamente stabile, progettata specificatamente per la rigenerazione e l’aumento dei tessuti molli al fine di evitare il prelievo autologo di tessuto connettivo. Tale matrice, usata in guarigione sommersa, favorisce l’angiogenesi, la formazione di nuovo tessuto connettivo e permette la stabilità volumetrica dei tessuti, ripristinando la corretta ampiezza biologica1-11. In un caso estetico come questo, la matrice va personalizzata e adattata al sito ricevente. Essendo molto stabile e mantenendo il suo volume in fase di guarigione non va, infatti, sovradimensionata per evitare trazioni del lembo e/o volumi eccessivi a guarigione avvenuta; non deve essere inoltre eccessivamente compressa dal lembo in modo che possa mantenere la sua originale struttura reticolare interna. Trattandosi di una matrice particolarmente resistente quando asciutta, suggerisco di modellarla utilizzando una fresa in zirconia a bassi giri (KOMET): in tal modo, infatti, si riesce a modellarla in modo preciso, evitando comunque il surriscaldamento e la denaturazione del collagene mantenendo le sue caratteristiche strutturali inalterate (Figg. 20, 21).
- Posizionamento della matrice e sutura
La matrice va posizionata nella tasca mucosa creata in precedenza (Fig. 22). Nel caso in cui siano state eseguite incisioni, i tessuti molli devono essere ermeticamente suturati sopra di essa, mentre, nel caso opposto, deve essere delicatamente inserita in modo tale da sommergerla completamente.
- Impronte digitali finali per la realizzazione del provvisorio immediato
Completata l’impronta, precedentemente sezionata, con la posizione tridimensionale dell’impianto inserito (Fig. 23), si procederà a disegnare il limite del profilo d’emergenza (Linea Base) sulla maschera gengivale (Fig. 24). Successivamente, selezionando la porzione anatomica del dente 2.1 (Linea di Copiatura) (Fig. 25), si creerà automaticamente, grazie al software di progettazione, il dente 1.1 (Fig. 26) che, una volta fresato in PMMA, verrà incollato alla base in titanio e, quindi, avvitato a 20 Ncm sull’impianto appena posizionato. Il reale vantaggio di questa tecnica consiste nel fatto che il provvisorio non dovrà essere ribasato con resina acrilica in bocca al paziente con il rischio di contaminare la matrice innestata. Il provvisorio, correttamente progettato grazie ad un profilo d’emergenza personalizzato, favorirà il condizionamento dei tessuti molli sostenendoli e, inoltre, sigillando il margine della ferita, proteggerà la matrice di collagene sottostante, garantendo, così, il risultato finale (Fig. 27).
Fig. 9_Posizionamento ideale di un impianto in area estetica.
Fig. 10_Impronte digitali.
Fig. 11_Estrazione del dente 1.1.
Fig. 12_Dente 1.1 estratto.
Fig. 13_Alveolo integro e tessuti molli non incisi.
Fig. 14_Disegno del lembo nei casi di edentulia parziale frontale.
Fig. 15_Incisione verticale per la creazione della tasca mucosa a spessore parziale.
Fig. 16_Inserimento dell’impianto Xive FX 3.8.
Fig. 17_Posizione corretta dell’impianto post-estrattivo.
Fig. 18_Posizionamento del biomateriale.
Fig. 19_Gestione del biomateriale.
Fig. 20_Personalizzazione della matrice collagene.
Fig. 21_Matrice customizzata.
Fig. 22_Posizionamento della matrice in collagene.
Fig. 23_Impronta digitale definitiva.
Fig. 24_Maschera gengivale disegno della linea base.
Fig. 25_Disegno della linea di copiature.
Fig. 26_Il software CEREC elabora le informazioni e crea il dente definitivo.
Fig. 27_Il provvisorio nella seduta chirurgica viene avvitato immediatamente all’impianto.
_Terzo step del protocollo di lavoro
In questa fase finale si è proceduto a finalizzare protesicamente il caso seguendo una metodica di lavoro digitale “chair-side”. La chiave di questo step è la funzione “Copia e Ribalta” che il software protesico mette a disposizione, mediante la quale è possibile copiare la morfologia del dente 2.1 al fine di realizzare il dente 1.1 con la medesima forma (Fig. 28).
- Creazione della “Maschera gengivale”
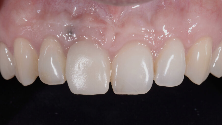
Trascorsi quattro mesi, ad avvenuta osteointegrazione dell’impianto, il condizionamento dei tessuti appariva ottimale sia in termini di qualità dei tessuti sia in termini di volume rigenerato. I profili gengivali erano perfettamente armonici e naturali grazie al provvisorio (Fig. 29). A questo punto, dopo avere svitato il provvisorio dall’impianto, ho copiato con lo scanner intra-orale la posizione delle papille e della parabola gengivale. In tal modo, creando la cosiddetta “Maschera gengivale”, ho condiviso con il software le informazioni morfologiche necessarie per realizzare i manufatti protesici definitivi (Figg. 30, 31).
- Elaborazione modelli master e progettazione digitale
Ultimata la fase d’impronta ci si affiderà al software per la progettazione dei denti definitivi. Per cominciare è necessario disegnare la “Linea Base” sul profilo dei tessuti molli, evidenziando l’area entro la quale il software rileverà e creerà una corona protesica con il corretto profilo d’emergenza in grado di sostenere le papille e la parabola gengivale precedentemente condizionate. Successivamente dovrà essere disegnata la “Linea di copiatura”, selezionando il dente la cui anatomia si vuole replicare. Il software, elaborate le informazioni inserite, creerà il dente protesico definitivo, specchiando l’anatomia dell’incisivo centrale vicino sull’impianto. Gli strumenti digitali che il software mette a disposizione costituiscono un valido ausilio per perfezionare la forma dei denti protesici (Fig. 32).
- Fresatura del dente protesico e sua finalizzazione
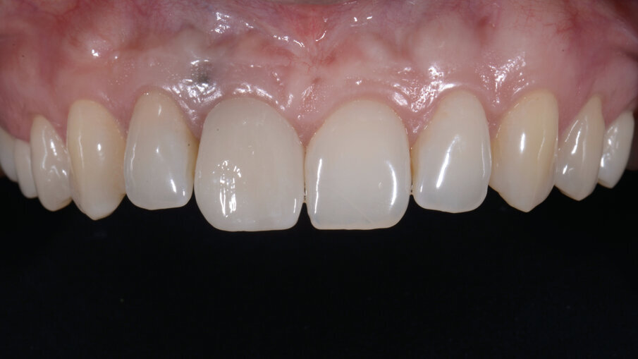
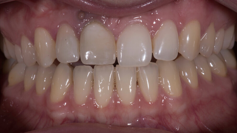
Il dente progettato è stato fresato utilizzando un cubetto di disilicato di litio forato e a bassa translucenza per meglio mascherare il grigiore del titanio del Tbase. Dopo avere scolpito la tessitura superficiale, il dente è stato lucidato utilizzando gomme con diverso grado di abrasività al fine di diversificare le diverse aree del dente rendendolo più naturale e in armonia con i denti vicini (Figg. 33-35). In corrispondenza della gengiva aderente è evidente un tatuaggio relativo alla posizione della pregressa fistola che potrà essere eliminato in qualsiasi momento qualora la paziente lo richiedesse. Le immagini ad 1 anno mostrano la stabilità nel tempo dell’ottimo risultato ottenuto (Figg. 36, 37).
Fig. 28_Guarigione dopo 4 mesi.
Fig. 29_Aspetto dei tessuti condizionati dopo la rimozione del provvisorio.
Fig. 30_Scan post e scan body posizionati sull’impianto.
Fig. 31_Maschera gengivale definitiva.
Fig. 32_Progettazione del dente protesico definitivo. La Maschera gengivale guida il software nella creazione del profilo d’emergenza del dente.
Fig. 33_Prova delle forme e verifica del grado di compressione dei tessuti molli vestibolari.
Fig. 34_Dente protesico definitivo dopo le opportune fasi di finalizzazione.
_Conclusioni
La sfida che ogni giorno ci troviamo ad affrontare è quella di ottimizzare i protocolli di trattamento che utilizziamo, con la finalità di renderli sempre più semplici, con ridotti tempi alla poltrona, meno invasivi per il paziente e alla portata di tutti i clinici. Condizionare la matrice in collagene con questo nuovo approccio digitale permette di realizzare il provvisorio post-estrattivo mantenendo il sito operatorio sempre perfettamente “pulito”, minimizzando le possibili contaminazioni dovute alle ribasature che dovremmo invece realizzare con un approccio convenzionale. L’approccio digitale consente di realizzare immediatamente al termine dell’intervento un provvisorio perfettamente personalizzato in grado di condizionare i tessuti mantenendo stabile il coagulo, la matrice e il biomateriale.
Il protocollo che ho illustrato offre sicuramente dei notevoli vantaggi:
- abbiamo raggiunto il risultato estetico e funzionale che la paziente richiedeva;
- utilizzando la matrice in collagene abbiamo ridotto il disagio di un prelievo autologo e possibili complicanze per la paziente, lavorando in ottica mininvasiva;
- ottimizzando il flusso di lavoro con l’approccio digitale abbiamo ridotto i tempi di intervento mantenendo alti standard di accuratezza, pianificando gli step terapeutici.
La mia personale esperienza mi porta ad affermare che il connubio matrice Fibro-Gide - CEREC consente di sfruttare contemporaneamente i vantaggi offerti da questa matrice in collagene nella rigenerazione dei tessuti molli e le indiscusse capacità di progettazione e realizzazione digitale di CEREC: estetica e funzione ridanno ai nostri pazienti la gioia di un sorriso sano.
L'articolo è stato pubblicato su CAD/CAM Italian Edition, anno 10, vol. 1 aprile 2021
Tag:
Da un punto di vista estetico, un impianto malposizionato specialmente nella regione anteriore, porta inevitabilmente alla realizzazione di un lavoro ...
La malattia parodontale è una malattia multifattoriale causata da un fattore eziologico, la placca batterica, che in presenza di una ...
Il dr. Giovanni Zucchelli è professore all’Università di Bologna in Italia e presidente eletto dell’Accademia Italiana di Osteointegrazione. È ...
Inizia con il 58° Corso Gratuito del 7-8 Marzo 2014 unitamente al 34° Memorial Biaggi la collaborazione di Sweden & Martina con la Fondazione ...
Si è tenuto a Firenze, il 7 ottobre scorso, presso l’Aula Magna “Marco Pozzi” del Centro Formazione ISO, l’undicesimo ...
ADELAIDE, Australia - I risultati di una ricerca pubblicata di recente indicano che la perdita dei denti non interferisce necessariamente con la ...
Lo scopo di questo lavoro è proporre, attraverso la presentazione di un caso clinico, una nuova tecnica rigenerativa di tessuti molli contestualmente...
L’agenesia è la più frequente tra le anomalie dentarie che l’ortodontista o l’odontoiatra multispecialista si trova a dover fronteggiare1, 2.
Le ...
L’aumento del tessuto osseo e gengivale intorno agli impianti dentali, come dimostrato nella bibliografia, svolge un ruolo importante ...
L’ortodonzia è la branca dell’odontoiatria che si occupa di prevenzione, diagnosi e trattamento delle alterazioni scheletriche a livello del massiccio ...
Dr. Bruce McFarlane Certified Specialist in Orthodontics Fellow: Royal College of Dentists of Canada Diplomate: American Board of Orthodontics
Live webinar
mer. 15 aprile 2026
20:00 (CET) Rome
Live webinar
gio. 16 aprile 2026
2:00 (CET) Rome
Linda Hecker MS, BSDH, RDH
Live webinar
gio. 16 aprile 2026
18:00 (CET) Rome
Dr. Pär-Olov Östman, Dr. Robert Gottlander DDS
Live webinar
ven. 17 aprile 2026
18:00 (CET) Rome
Live webinar
ven. 17 aprile 2026
19:00 (CET) Rome
Dr. Stuart Yeaton BDentSc, MOrth
Live webinar
lun. 20 aprile 2026
19:00 (CET) Rome
Dr. Alberto Monje DDS, MS, PhD
To post a reply please login or register