Il paziente, un uomo di 37 anni si presenta all’attenzione dello studio lamentando un forte dolore gengivale e la necessità di sottoporsi a una seduta di igiene orale professionale.
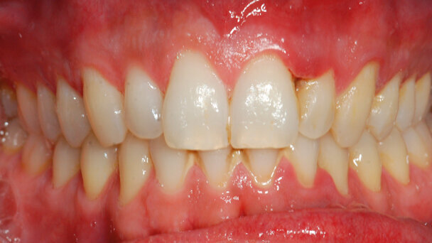
Eseguita l’anamnesi, si procede con un’accurata ispezione del cavo orale che mostra come gli indici parodontali (PI, GBI, sondaggio parodontale) siano entro i limiti della norma così come la salute generale dello stesso, a eccezione della papilla tra gli elementi 1.2 e 1.3, che presenta gli unici siti con un sondaggio patologico (6 mm); come si evince dalla foto frontale pretrattamento (Fig. 1), appare decapitata, completamente disepitelizzata e con abbondante presenza di una pseudo membrana bianco-grigiastra facilmente asportabile (Fig. 2). Quest’ultima, grazie ad analisi di laboratorio sulla qualità batterica presente, porta alla diagnosi di gengivite ulcero-necrotica localizzata.
Si è quindi informato il paziente sulla problematica, sulla sua eziologia e il suo decorso clinico, sulla correlazione non tra quantità, ma tra qualità di batteri e distruzione dei tessuti parodontali nella zona interessata dalla patologia.
Si è quindi passati, in accordo con il paziente, a una seduta di igiene professionale utilizzando strumentazione ultrasonica piezoelettrica e manuale, si è quindi utilizzata un’apparecchiatura per ozonoterapia (Fig. 3), applicandolo sia a livello della gengiva libera sia all’interno del solco interessato; si sono quindi effettuati lavaggi dapprima con acqua ossigenata e successivamente con un gel a base di clorexidina 1%. Durante e al termine della seduta si è riscontrato un forte sanguinamento dettato dalla flogosi dei tessuti parodontali (Figg. 4, 5), tuttavia il paziente riferiva un netto e immediato miglioramento del dolore.
Sono state quindi fornite le istruzioni per quanto concerne l’igiene orale domiciliare, consigliando l’utilizzo di uno spazzolino elettrico, il passaggio di filo interdentale, l’utilizzo di uno scovolino imbibito di gel contenente clorexidina e il passaggio di una garzina con acqua ossigenata a livello del sito interessato. Per lo scovolino si è optato per un modello Soft-Picks® in quanto, avendo l’intero corpo in gomma, garantiva un’ottima stimolazione tissutale e impediva al paziente di danneggiare i tessuti molli durante la guarigione degli stessi. È stato prescritto un ciclo antibiotico di un cocktail di metronidazolo + amoxicillina.
Trascorse due settimane il paziente si è ripresentato all’attenzione dello studio per il primo controllo ed è stata effettuata un’altra seduta di ozonoterapia.
Trascorso un mese il paziente è ritornato in studio per il secondo controllo, la situazione era decisamente migliorata, la gengiva si presentava ben aderente, tonica e di un rosa corallo (Figg. 6, 7) con assenza di sanguinamento al sondaggio. Permane tuttavia una certa carenza nel volume della papilla interessata come conseguenza del decorso della GUNA.
Il paziente è stato ora inserito in un protocollo di controlli bimestrali in office, mentre domiciliarmente è stato scelto l’utilizzo di uno spazzolino Philips Sonicare per poter stimolare al meglio il tessuto gengivale e l’utilizzo quotidiano di ausili interdentali quali filo interdentale e scovolini GUM® Soft-Picks®.
L'articolo è stato pubblicato su Hygiene Trbiune Italian Edition, dicembre 2016.
Il paziente, un uomo di 37 anni si presenta all’attenzione dello studio lamentando un forte dolore gengivale e la necessità di sottoporsi a una...
L’agenesia è la più frequente tra le anomalie dentarie che l’ortodontista o l’odontoiatra multispecialista si trova a dover fronteggiare1, 2.
Le ...
Negli ultimi anni si è riscontrato un forte collegamento tra batteri patogeni del cavo orale e sviluppo dell’endocardite. Risulta importante ...
L’espansione rapida del palato rappresenta il trattamento d’elezione nella correzione dell’ipoplasia del mascellare superiore, e risulta ...
Da igienisti dentali vorremmo che i nostri pazienti siano il più possibile sani. Questo significa avere la capacità e le conoscenze di curarli...
La gestione del paziente diabetico con malattia parodontale richiede un approccio integrato e personalizzato. Ne parliamo con la Dott.ssa Elisabetta ...
GOTHENBURG, Svezia: in Svezia, sono previsti controlli dentistici gratuiti per bambini e adolescenti fino all’età di 20 anni. Sebbene ciò significhi che...
LONDRA. Il King’s College London Dental Institute comunica di aver sperimentato con successo una nuova serie di strumenti per aiutare il dentista a ...
Uno studio che potrebbe dar sollievo ai pazienti dalle ghiandole salivari danneggiate o non più funzionanti a causa di farmaci o di radioterapia
LOS ANGELES, USA: grazie ai suoi notevoli vantaggi, tra cui l’essere minimamente invasiva, la chirurgia assistita da robot sta ottenendo un crescente ...
Live webinar
lun. 20 aprile 2026
19:00 (CET) Rome
Dr. Alberto Monje DDS, MS, PhD
Live webinar
mer. 22 aprile 2026
17:00 (CET) Rome
MDT Andreas Chatzimpatzakis
Live webinar
mer. 22 aprile 2026
17:00 (CET) Rome
Live webinar
mer. 22 aprile 2026
18:00 (CET) Rome
Live webinar
gio. 23 aprile 2026
17:00 (CET) Rome
Live webinar
gio. 23 aprile 2026
18:30 (CET) Rome
Live webinar
gio. 23 aprile 2026
19:00 (CET) Rome
To post a reply please login or register