Paziente: donna, 31 anni, in buona salute.
Situazione clinica: primo premolare superiore sinistro non recuperabile dopo due precedenti resezioni radicolari, corona fratturata.
Piano di trattamento: estrazione del dente e posizionamento immediato di un impianto Neoss ProActive Edge.
Materiali e metodi
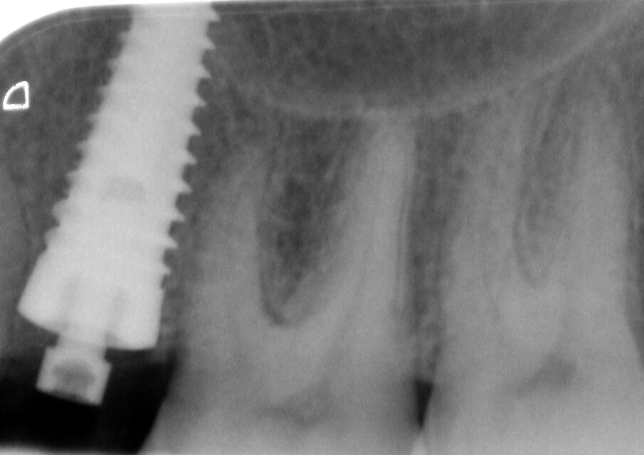
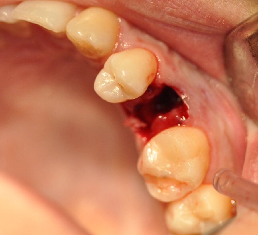
La paziente presentava un primo premolare superiore sinistro non recuperabile. La CBCT mostra la situazione iniziale (Fig. 1). Si noti quella che appare come una grande fenestrazione buccale nell’area della resezione radicolare (Fig. 2). Il dente fratturato è stato estratto (Figg. 3, 4). Lo scollamento del lembo di accesso rivela la fenestrazione buccale (Fig. 5). L’osteotomia è stata preparata secondo il protocollo di fresatura di Neoss ProActive Edge (Fig. 6). Successivamente viene posizionato un impianto Neoss ProActive Edge Ø 5.0 × 13 mm (Fig. 7). L’impianto è stato posizionato in una situazione di disponibilità ossea molto limitata e densità ossea media (Fig. 8). Nonostante le limitazioni dovute alla condizione ossea, è stata raggiunta una buona stabilità primaria. È stato utilizzato un torque di inserimento di 20 Ncm, l’ISQ è risultato in un range di 70/77. Per correggere la fenestrazione buccale è stato eseguito un innesto con particolato osseo di origine porcina (Fig. 9). L’innesto osseo è stato coperto con una membrana di collagene riassorbibile (Fig. 10). Il lembo mucoso è stato suturato attorno al pilastro di guarigione in PEEK, consentendo la guarigione in una sola fase (Fig. 11).
La radiografia mostra il posizionamento dell’impianto (Fig. 12). Sul pilastro di guarigione è stato montato uno ScanPeg (Fig. 13), ed è stata presa un impronta digitale del sito con uno scanner intraorale (Fig. 14). La CBCT effettuata a 3,5 mesi di guarigione (Fig. 15) mostra una buona integrazione dell'impianto Edge e della rigenerazione ossea nel difetto iniziale. L'ISQ è aumentato fino a 72/79, indicando un'ulteriore buona integrazione. Utilizzando un flusso di lavoro completamente digitale, è stato fabbricato un pilastro in zirconia personalizzato su un Neoss TiBase (Fig. 16) ed è stata montata una corona in zirconia sul pilastro (Fig. 17).
Tag:
Neoss, fondata nel 2000, è un azienda implantare che fornisce soluzioni semplici ma intelligenti con un costante focus sull’innovazione scientifica. ...
Esiti di malattia parodontale, riassorbimenti interni ed esterni, lesioni cariose non sanabili e fratture sono ancora oggi causa di estrazione di molti ...
Oltre alle malattie sistemiche e alle abitudini parafunzionali e il bruxismo, anche le malattie parodontali rappresentano un problema per ...
L’implantologia osseointegrata ha raggiunto livelli di affidabilità molto elevati, qualora siano rispettati criteri di pianificazione e di esecuzione ...
Nella valutazione di elementi dentali irreparabilmente compromessi ci troviamo a dover effettuare delle scelte sul piano di trattamento post-estrattivo1, 2....
I piani di trattamenti clinici che prevedono il carico immediato o il posizionamento post-estrattivo immediato dell’impianto, rappresentano una procedura ...
Nelle aree esteticamente critiche, la scelta del momento del posizionamento dell'impianto immediato, precoce o tardivo, può influenzare il risultato. Nel ...
La chirurgia ricostruttiva preimplantare non può essere praticata in tutti i pazienti a causa di possibili controindicazioni locali e/o sistemiche. ...
La sostituzione di uno o più elementi dentari giudicati non recuperabili con impianti endossei costituisce una pratica chirurgica ampiamente diffusa e ...
Nell’autunno 2009 una paziente di sesso femminile e di 37 anni si era riferita presso il nostro studio per migliorare il proprio sorriso (Fig. 1). ...
Live webinar
lun. 19 gennaio 2026
19:00 (CET) Rome
Philipp Kopp, Michael Seeber
Live webinar
gio. 22 gennaio 2026
15:00 (CET) Rome
Prof. Judith Jones D.D.S; M.P.H., Prof. Kakuhiro Fukai D.D.S., Ph.D, Dr. Bathsheba (Bethy) Turton
Live webinar
gio. 22 gennaio 2026
20:00 (CET) Rome
Dr. Nicola M. Grande DDS, PhD
Live webinar
mer. 28 gennaio 2026
14:00 (CET) Rome
Live webinar
mer. 28 gennaio 2026
17:00 (CET) Rome
Prof. Dr. Jan-Frederik Güth
Live webinar
mer. 28 gennaio 2026
17:00 (CET) Rome
Dr. Algimante Lošytė – Jančė
Live webinar
mer. 28 gennaio 2026
18:00 (CET) Rome
To post a reply please login or register