La sostituzione di uno o più elementi dentari giudicati non recuperabili con impianti endossei costituisce una pratica chirurgica ampiamente diffusa e largamente documentata. Esistono, tuttavia, alcuni inconvenienti legati alla terapia implantare: essi sono rappresentati dall’aumento dei tempi necessari al completamento della riabilitazione protesica nonché dalla maggior invasività della procedura, poiché il paziente dovrà necessariamente subire l’intervento di estrazione dentaria, attendere i tempi di guarigione per poi sottoporsi ad un ulteriore intervento per l’inserimento implantare.
Per questo motivo, in alternativa al protocollo convenzionale, da molti anni viene proposto l’inserimento implantare contestualmente al momento dell’estrazione dentaria e, laddove le condizioni cliniche lo consentano, l’immediata applicazione di una corona protesica provvisoria allo scopo di evitare il deficit anatomico-funzionale1-3.
Le fasi più delicate della procedura consistono nell’esecuzione di un’estrazione dentaria atraumatica volta a preservare quanto più possibile le pareti dell’alveolo4, 5 e nella preparazione del tunnel implantare, sfruttando la disponibilità di tessuto osseo residuo per consentire il raggiungimento di una soddisfacente stabilità primaria6.
Al termine dell’inserimento implantare, viene effettuato un innesto di materiale di origine eterologa per colmare il gap presente tra le pareti dell’alveolo e il corpo implantare allo scopo di contrastare il riassorbimento che avviene invariabilmente, soprattutto in senso bucco-linguale, in seguito all’estrazione dentaria.
L’immediata applicazione di una corona provvisoria al termine della procedura chirurgica aiuta infine a contenere il materiale da innesto, sostenere e condizionare il profilo dei tessuti molli peri-implantari e consente di ovviare alle necessità estetiche e funzionali del paziente7.
Di seguito viene presentato un caso di impianto postestrattivo immediato con inserimento di una corona provvisoria contestualmente alla seduta chirurgica; questo tipo di approccio è stato scelto per minimizzare la morbilità della procedura chirurgica e, allo stesso tempo, soddisfare le esigenze estetiche e funzionali del paziente riducendo a zero il periodo di edentulia parziale8, 9.
Caso clinico
Paziente di aa. 52, maschio, giunge all’osservazione lamentando mobilità dell’elemento 1.4 e intensa dolorabilità alla masticazione; in sede anamnestica il paziente riferisce di aver involontariamente serrato tra le arcate dentarie un corpo estraneo accidentalmente presente nel bolo alimentare.
All’esame obiettivo viene si evidenzia una frattura verticale a carico dell’elemento in questione (Figg. 1, 2) che pone indicazione assoluta all’estrazione dentaria; per evitare di aggravare l’inevitabile contrazione della cresta ossea alveolare, si decide di eseguire l’estrazione dell’elemento fratturato senza sollevare alcun lembo. Viene effettuato un esame radiografico endorale allo scopo di visualizzare la morfologia della radice dentaria e i suoi rapporti con le strutture viciniori. (Fig. 3)
La profilassi antibiotica prevede l’assunzione di 2 g di Amoxicillina/Acido clavulanico (da iniziare un’ora prima della seduta chirurgica) per poi proseguire in ragione di 1 g ogni 12 ore per 6 giorni. Immediatamente prima della seduta chirurgica il paziente esegue uno sciacquo di circa 60’ con Clorexidina digluconato 0,2% da proseguire per due settimane dopo l’intervento in ragione di 1 sciacquo ogni otto ore.
Per la terapia antalgica/anti-infiammatoria è stato prescritto Naprossene sodico 500 da assumersi un’ora prima della seduta chirurgica e da proseguire secondo necessità, in quantità non superiore ad una bustina ogni otto ore per sette giorni.
Dopo analgesia locale ottenuta per infiltrazione di Articaina cloridrato 40 mg con epinefrina 1:100.000 la procedura chirurgica ha inizio con l’estrazione dell’elemento fratturato; allo scopo di evitare di danneggiare la parete buccale dell’alveolo e preservare il tessuto osseo residuo per il successivo inserimento implantare, viene praticata un’odontotomia per mezzo di un inserto piezoelettrico dedicato (ES009NT, Esacrom Srl, Imola, Italia) montato su manipolo a ultrasuoni (Esacrom Moto, Esacrom Srl, Imola, Italia) (Fig. 4).
Successivamente, le due parti dell’elemento dentario vengono estratte separatamente avendo l’accortezza di usare estrema cautela nei movimenti di lussazione (Figg. 5, 6). Dopo aver completato la fase estrattiva (Fig. 7) ed aver controllato l’integrità delle pareti alveolari, il tunnel implantare viene preparato mediante l’utilizzo di inserti piezoelettrici dedicati (SUS – Surgery Ultrasonic Site, Esacrom Srl, Imola, Italia) (Fig. 8) con il duplice obiettivo di sfruttare il setto inter-radicolare per garantire una soddisfacente stabilità primaria e inserire l’impianto in posizione protesicamente guidata: una preparazione di tipo tradizionale con frese rotanti esporrebbe infatti al rischio di distruggere completamente il setto osseo che separa la radice buccale da quella palatale, costringendo l’operatore ad abortire la procedura o, in alternativa, a posizionare l’impianto in una delle due radici (Fig. 9).
Viene inserito un impianto di tipo “bone level” da 3,5 x 15 mm: il raggiungimento di un torque di inserimento implantare (IT) superiore a 55 N.cm pone l’indicazione ad una procedura di provvisorizzazione immediata, motivo per cui un temporary abutment con una connessione protesica di tipo “platform switching” viene avvitato all’impianto con un torque di 35 N.cm (Figg. 10, 11). Per contrastare l’inevitabile contrazione dell’alveolo postestrattivo, il gap peri-implantare viene innestato con un biomateriale di origine eterologa (Figg. 12, 13). L’innesto viene eseguito con un leggero overbuilding in senso verticale allo scopo di sostenere il margine gengivale (Fig. 14).
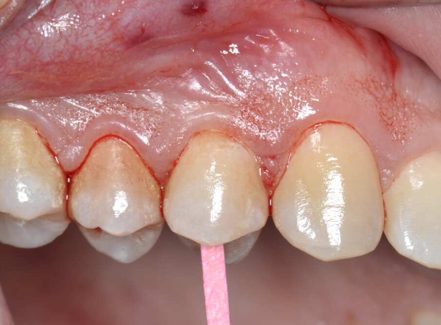
Dopo aver protetto il sito chirurgico mediante un frammento di diga sterile (Fig. 15) una corona provvisoria in resina viene adeguatamente ribasata sul temporary abutment avvitato all’impianto, avendo cura di evitare qualsiasi tipo di contatto sia in occlusione centrica che durante i movimenti di lateralità e protrusione (Figg. 16, 17). Prima di dimettere il paziente con la corona provvisoria in situ, viene eseguito un esame radiografico endorale di controllo: trattandosi di un impianto “bone level” è consigliabile inserirne la piattaforma implantare circa 0,5 - 1 mm apicalmente alla cresta ossea marginale (Fig. 18).
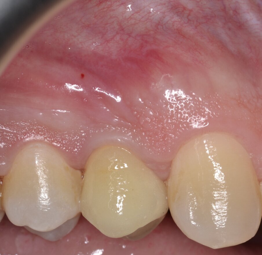
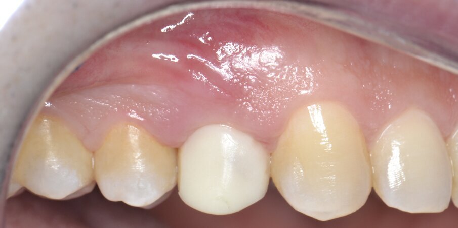
Il primo follow-up effettuato a 14 giorni mostra un eccellente stato di salute dei tessuti duri e molli; è importante sottolineare come il profilo di emergenza della protesi provvisoria, opportunamente lucidato al momento della protesizzazione, guiderà i tessuti molli durante tutto il periodo di guarigione (Fig. 19). Le immagini del secondo follow-up a 4 mesi indicano una condizione di sostanziale salute e stabilità dei tessuti peri-implantari duri e molli: questo consente di programmare la successiva fase di finalizzazione protesica (Fig. 20).
Va rilevato come, durante la presa di impronta con un transfer del commercio, l’inevitabile collasso dei tessuti molli trasferirebbe al laboratorio odontotecnico una morfologia del tragitto transmucoso completamente differente da quella reale: per evitare questa distorsione, si rende necessaria la costruzione di un transfer individualizzato allo scopo di replicare tutte le informazioni relative alla forma dei tessuti molli giunti al termine del condizionamento.
Brevemente, le fasi della procedura protesica prevedono la duplicazione extraorale della porzione subgengivale della corona provvisoria mediante un’impronta con materiale a bassa viscosità, sulla base della quale viene confezionato un transfer individualizzato che replica fedelmente il tragitto transmucoso della corona provvisoria (Fig. 21). Il transfer individualizzato viene quindi connesso all’impianto per rilevare un’impronta di precisione in polivinilsilossano (Fig. 22).
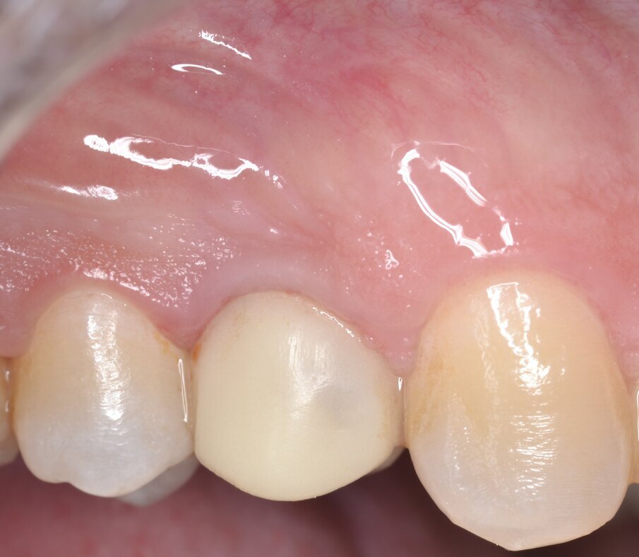
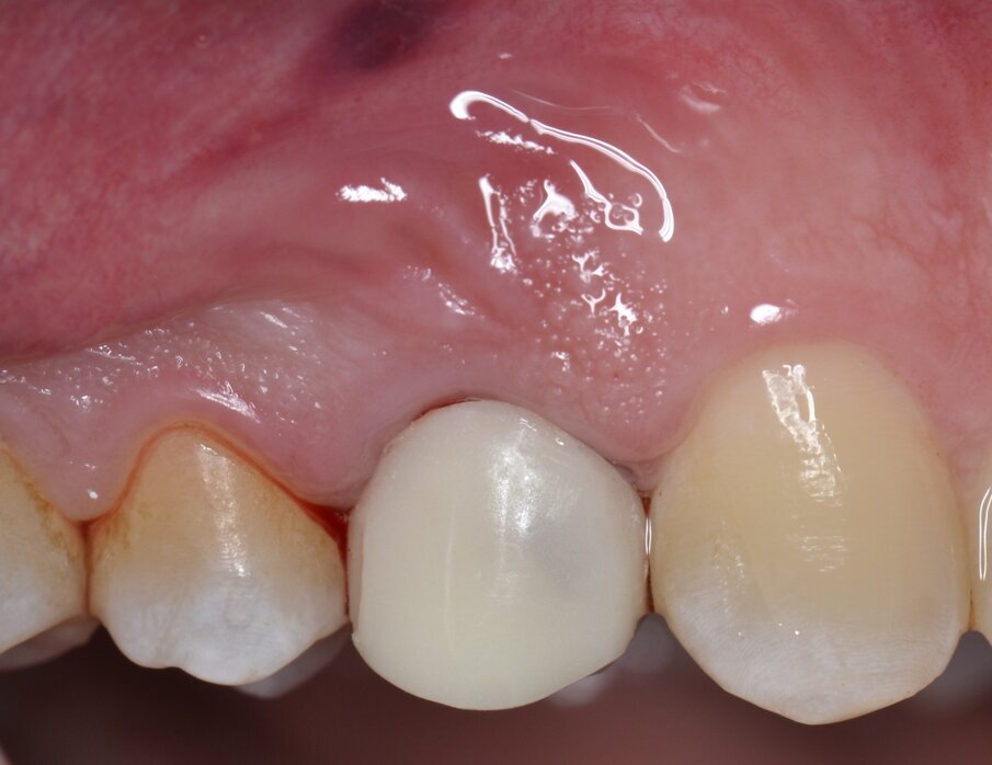
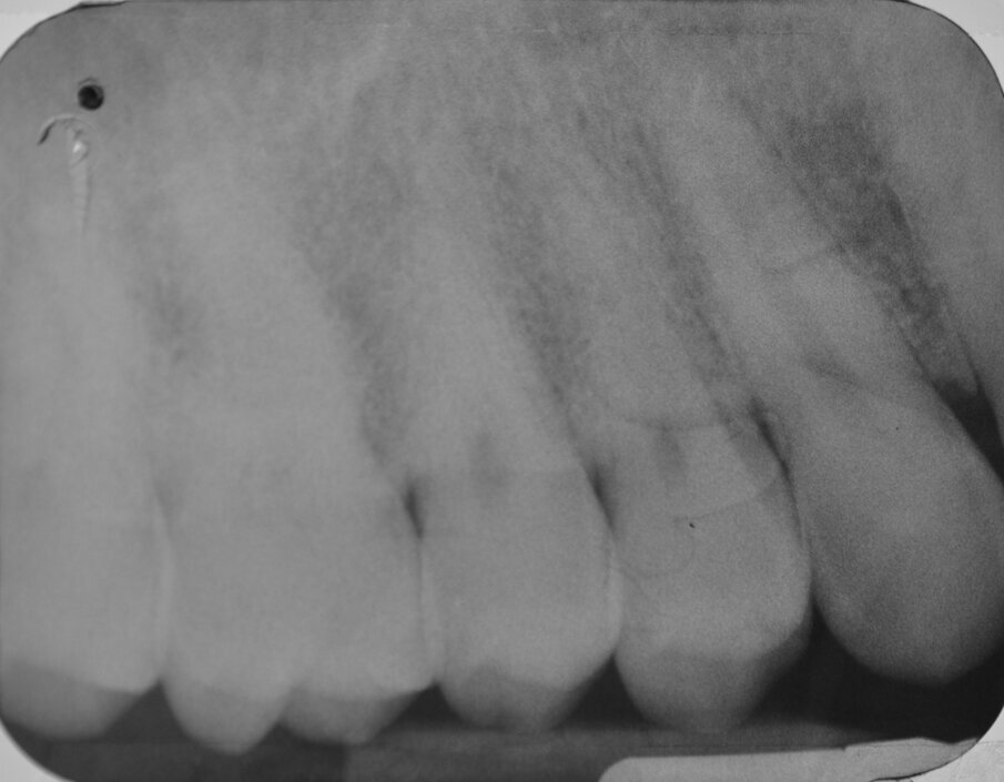
Dopo aver opportunamente preparato un abutment definitivo che sia idoneo per altezza e forma del segmento transmucoso, si procede alla cementazione di una corona protesica definitiva in zirconia stratificata. Le immagini del follow-up a 12 mesi (Figg. 23-25) e il contestuale controllo radiografico endorale (Fig. 26) indicano un’ottima risposta dei peri-implantari tessuti duri e molli.
Fig. 1 - Elemento 1.4 fratturato (visione occlusale).
Fig. 2 - Elemento 1.4 fratturato (visione buccale).
Fig. 3 - Esame radiografico endorale preoperatorio.
Fig. 4 - Odontotomia mediante inserto ad ultrasuoni.
Fig. 5 - Estrazione atraumatica dell’elemento 1.4.
Fig. 6 - Elemento 1.4 estratto.
Fig. 7 - Alveolo postestrattivo integro.
Fig. 8 - Kit dedicato per la preparazione ultrasonica del sito implantare.
Fig. 9 - Preparazione iniziale del sito implantare con inserto ad ultrasuoni.
Fig. 10 - Impianto inserito in posizione protesicamente corretta (IT > 55N.cm).
Fig. 11 - Moncone provvisorio serrato a 35 N.cm.
Fig. 12 - Biomateriale di origine eterologa.
Fig. 13 - Innesto del gap peri-implantare con biomateriale eterologo.
Fig. 14 - L’innesto viene eseguito in leggero overbuilding in senso verticale allo scopo di sostenere il margine gengivale.
Fig. 15 - Protezione del sito chirurgico mediante un frammento di diga sterile prima di effettuare la ribasatura della corona provvisoria.
Fig. 16 - Corona provvisoria in resina ribasata sul moncone provvisorio (visione buccale).
Fig. 17 - Corona provvisoria in resina ribasata sul moncone provvisorio (visione occlusale).
Fig. 18 - Esame radiografico endorale di controllo.
Fig. 19 - Follow-up a 14 giorni.
Fig. 20 - Aspetto dei tessuti molli al termine della guarigione (4 mesi).
Fig. 21 - Costruzione di un transfer individualizzato per replicare il tragitto transmucoso.
Fig. 22 - Transfer individualizzato in situ.
Fig. 23 - Corona protesica definitiva in zirconia stratificata (visione buccale).
Fig. 24 - Corona protesica definitiva in zirconia stratificata (visione occlusale).
Fig. 25 - Corona protesica definitiva in zirconia stratificata (visione orale).
Fig. 26 - Esame radiografico endorale di controllo.
Discussione
La sostituzione di uno o più elementi dentari con una protesi di tipo fisso supportata da impianti endossei è considerata, ormai da decenni, una metodica altamente sicura e predicibile; il protocollo tradizionale prevede un’attesa di 6 mesi dal momento dell’estrazione dentaria all’inserimento implantare per consentire una completa guarigione ossea, al quale va sommato un ulteriore periodo di 3-6 mesi, necessari all’osteointegrazione dell’impianto, prima di giungere alla finalizzazione protesica10.
Per ridurre sia i tempi di attesa che la morbilità dell’intera procedura, l’inserimento di un impianto contestualmente all’estrazione dentaria si è rivelata nel tempo un’alternativa terapeutica estremamente valida, ampiamente diffusa e largamente documentata, con percentuali di successo che oscillano dal 94,6% al 100% in un periodo medio di 4 anni11-14.
Inoltre, al di là degli indiscussi risultati clinici, questo tipo di approccio è fortemente associato a un alto grado di soddisfazione soggettiva da parte del paziente15 grazie alla possibilità di ottenere sin da subito una protesi provvisoria capace di garantire un’estetica e una funzione soddisfacenti, nonché un’eccellente integrazione tissutale della protesi definitiva: un recente studio retrospettivo ha infatti valutato la soddisfazione globale del paziente riportando un punteggio pari a 9 (SD 0,7) su una scala da 0 a 1016.
In riferimento al protocollo chirurgico, è possibile riconoscere tre punti critici principali: un’estrazione atraumatica volta a conservare quanto più possibile intatte le pareti dell’alveolo, l’inserimento immediato di un impianto con una stabilità primaria adeguata e la preservazione dei volumi alveolari mediante un innesto di biomateriale.
Durante l’estrazione dell’elemento dentario è consigliabile evitare di danneggiare le pareti ossee, sia allo scopo di ridurre quanto più possibile il riassorbimento incontrollato dell’alveolo (in special modo la corticale buccale) che per sfruttarne l’anatomia residua, indispensabile per conseguire il raggiungimento di un’adeguata stabilità primaria dell’impianto (ad esempio, i setti inter-radicolari) che si desidera protesizzare immediatamente17-19.
A questo proposito, diverse tecniche chirurgiche sono state sviluppate negli anni: esse prevedono l’impiego di dispositivi appositamente ideati20 o l’esecuzione di un’odontotomia/rizotomia in senso longitudinale mediante frese chirurgiche prima di procedere al clivaggio e all’estrazione separata dei due frammenti radicolari21.
Un’alternativa alle metodiche precedentemente descritte è rappresentata dall’impiego di inserti ad ultrasuoni, che vengono utilizzati sia per eseguire l’odontotomia/rizotomia che l’erosione periferica delle pareti radicolari allo scopo di creare lo spazio necessario all’inserimento di una leva22, 23.
Nell’opinione dell’Autore, l’impiego di un dispositivo piezoelettrico offre diversi vantaggi, essenzialmente riconducibili alla precisione delle incisioni, alla sicurezza operativa e al minor impatto psicologico sul paziente24-28. Anche l’inserimento dell’impianto viene effettuato mediante inserti piezoelettrici dedicati poiché, rispetto all’impiego dei tradizionali strumenti rotanti, risulta più facile riuscire a mantenere integra l’anatomia dell’alveolo residuo e, nel caso di elementi poliradicolati, rende possibile sfruttare i setti ossei allo scopo di ottenere una soddisfacente stabilità primaria.
Inoltre, la preparazione con inserti piezoelettrici dedicati premette di inserire l’impianto in posizione protesicamente corretta, evitando di scivolare con la fresa rotante in uno degli alveoli radicolari29-33. Va inoltre ricordato come la cavitazione e le onde meccaniche prodotte dall’azione degli ultrasuoni abbiano spiccate capacità battericide, ampiamente dimostrate in letteratura34-42: lo sfruttamento di queste proprietà è particolarmente utile nei casi di impianti post-estrattivi immediati inseriti in siti infetti43. Per quanto riguarda la scelta dell’impianto adatto, la selezione della lunghezza e del diametro ideali (oltre che del tipo di connessione protesica) è estremamente importante sia dal punto di vista chirurgico che da quello protesico.
Nel caso in oggetto, è stata preferita una connessione di tipo “platform switching” poiché associata ad un miglior mantenimento della corticale ossea buccale nel tempo44 mentre una lunghezza di 15 mm si è resa necessaria per raggiungere un’elevata stabilità primaria sfruttando il tessuto osseo apicale all’alveolo.
Un altro parametro di cruciale importanza è rappresentato dalla selezione del diametro implantare: un impianto di tipo “narrow” (nel caso descritto è stato scelto un diametro di 3,5 mm) faciliterà il mantenimento della vascolarizzazione della parete ossea buccale e di un gap peri-implantare pari ad almeno 3 mm45 che potrà essere innestato con un particolato osseo di origine eterologa.
Questo tipo di approccio si è rivelato particolarmente efficace nel contenere, seppur parzialmente, l’inevitabile contrazione dell’alveolo postestrattivo46, 47 poiché la preservazione in senso verticale e orizzontale della cresta ossea è un aspetto di fondamentale importanza al fine di ottenere un’estetica finale soddisfacente48.
Al termine del periodo di guarigione e di un adeguato condizionamento dei tessuti molli, la morfologia del tragitto transmucoso dovrà essere fedelmente riprodotta e trasmessa al laboratorio odontotecnico per la realizzazione del manufatto definitivo: a tale scopo, utilizzando un transfer del commercio si procede alla creazione di un transfer individualizzato che sarà poi connesso all’impianto per rilevare un’impronta di precisione in polivinilsilossano49.
Conclusioni
L’inserimento di impianti postestrattivi immediati con provvisorizzazione immediata in alternativa al protocollo implantoprotesico tradizionale offre indiscutibili vantaggi in termini di predicibilità dei risultati, integrazione del manufatto protesico con i tessuti molli e contrazione dei tempi necessari alla riabilitazione.
La selezione di un impianto di morfologia adeguata e l’innesto del gap peri-implantare contribuiscono sensibilmente al mantenimento della cresta ossea alveolare residua. La procedura di provvisorizzazione immediata unita ad una chirurgia in assenza di lembo con l’ausilio di inserti ad ultrasuoni dedicati assicurano al paziente il miglior risultato estetico, la massima sicurezza e il minimo discomfort intra e postoperatorio, contribuendo ad aumentare l’accettazione del paziente nei confronti della terapia implantoprotesica.
Bibliografia
- Lazzara RJ. Immediate implant placement into extraction sites: Surgical and restorative advantages. Int J Periodontics Restorative Dent 1989;9:332–343.
- Schiroli G. Immediate tooth extraction, placement of a tapered screw-vent implant, and provisionalization in the esthetic zone: A case report. Implant Dent. 2003;12:123-131.
- Slagter KW, den Hartog L, Bakker NA, Vissink A, Meijer, HJ Raghoebar GM. Immediate placement of dental implants in the esthetic zone: a systematic review and pooled analysis. J Periodontol 2014;85:241–250.
- Al-Harbi SA. Minimizing Trauma During Tooth Removal: A Systematic Sectioning Approach Eur J Esthet Dent 2010;5:274-287.
- Fickl S, Zuhr O, Wachtel H, Bolz W, Hurzeler M. Tissue alterations after tooth extraction with and without surgical trauma: a volumetric study in the beagle dog. J Clin Periodontol 2008;35:356–363.
- Tepedino M. Heat Production and Drill Wear Following Osseous Resective Surgery: A Preliminary In Vitro SEM Study Comparing Piezosurgery and Conventional Drilling. Int J Periodontics Restorative Dent 2018;38:e33–e40.
- Saito H. Provisional Restorations Used in Immediate Implant Placement Provide a Platform to Promote Peri-implant Soft Tissue Healing: A Pilot Study. Int J Periodontics Restorative Dent 2016;36:47-52.
- Tarnow DP, Chu SJ. Human histologic verification of osseointegration of an immediate implant placed into a fresh extraction socket with excessive gap distance without primary flap closure, graft, or membrane: A case report. Int J Periodontics Restorative Dent 2011;31:515-521.
- Caneva T, Murphy M, Calarco T, et al. Optimal control at the quantum speed limit. Phys Rev Lett 2009;103:240501.
- Brånemark PI, Adell R, Breine U, Hansson BO, Lindström J, Ohlsson A. Intra-osseous anchorage of dental prostheses. I. Experimental studies. Scand J Plast Reconstr Surg 1969;3:81–100.
- Lang NP, Pun L, Lau KY, Li KY, Wong MC. A systematic review on survival and success rates of implants placed immediately into fresh extraction sockets after at least 1 year. Clin Oral Implants Res 2012;23(suppl):39–66.
- Kan JY, Rungcharassaeng K, Lozada JL, Zimmerman G. Facial gingival tissue stability following immediate placement and provisionalization of maxillary anterior single implants: a 2- to 8-year follow-up. Int J Oral Maxillofac Implants. 2011;26:179–187.
- Cooper LF, Reside GJ, Raes F, Garriga JS, Tarrida LG, Wiltfang J et al. Immediate provisionalization of dental implants placed in healed alveolar ridges and extraction sockets: a 5-year prospective evaluation. Int J Oral Maxillofac Implants. 2014;29:709–717.
- Mijiritsky E, Mardinger O, Mazor Z, Chaushu G. Immediate provisionalization of single-tooth implants in fresh-extraction sites at the maxillary esthetic zone: up to 6 years of follow-up. Implant Dent. 2009;18:326–333.
- Hartlev J, Kohberg P, Ahlmann S, Andersen NT, Schou S, Isidor F. Patient satisfaction and esthetic outcome after immediate placement and provisionalization of single-tooth implants involving a definitive individual abutment. Clin Oral Implants Res. 2014;25:1245–1250.
- van Nimwegen W.G. Immediate implant placement and provisionalisation in the aesthetic zone. Journal of Oral Rehabilitation 2016 43; 745–752.
- Chen ST, Darby IB, Adams GG, et al. A prospective clinical study of bone augmentation techniques at immediate implants. Clin Oral Implants Res. 2005;16:176-184.
- Meredith N. Assessment of implant stability as a prognostic determinant. Int J Prosthodont 1998;11:491–501.
- Malchiodi L. Primary and Secondary Stability of Implants in Postextraction and Healed Sites: A Randomized Controlled Clinical Trial. Int J Oral Maxillofac Implants 2016;31:1435–1443.
- Babbush CA. A New Atraumatic System for Tooth Removal and Immediate Implant Restoration. Implant Dent 2007;16:139–145.
- Yalcin S. A Technique for Atraumatic Extraction of Teeth Before Immediate Implant Placement Using Implant Drills. Implant Dent 2009;18:464–472.
- Spinato S, et al. Piezosurgical treatment of crestal bone: quantitative comparison of post-extractive socket outcomes with those of traditional treatment. Clin. Oral Impl. Res. 27, 2016, 361–366.
- Vercellotti, T. (2009). Tecniche di estrazione dentale. In: Vercellotti, T., ed. Piezosurgery. Elementi Essenziali. Vantaggi Clinici in Odontoiatria. 31–45. Milano: Quintessenza Edizioni.
- Tarquini G. Clinical evaluation of “T – Black” ultrasonic tips in oral surgery. A clinical report. American Dental news 2011 (in press)
- Tarquini G. La chirurgia piezoelettrica del seno mascellare: indicazioni cliniche e descrizione di un case series. Implant Tribune 2010; 3: 13 – 17.
- Tarquini G. Rimozione di impianti endossei fratturati con l’ ausilio di un dispositivo piezoelettrico: descrizione di un caso clinico. Implants Italy; 1/2012: 26-30.
- Tarquini G. La chirurgia piezoelettrica nella tecnica dello split-crest: indicazioni terapeutiche e presentazione di un caso clinico. Implant Tribune 2011;1:17–18.
- Tarquini G. Rialzo del seno mascellare per via laterale e pseudocisti antrale: caso clinico. Dental Cadmos 2015;83(9):630-639.
- Dallari A. Impianto post-estrattivo per la sostituzione immediata di un poliradicolato. Un caso atipico. Italian Oral Surgery 3/2006: 47-52.
- Hwang KG. Ideal implant positioning in an anterior maxillary extraction socket by creating an apico – palatal guiding slot: a technical note. IJOMI 2008; 23: 121-122.
- Kutan E, Bolukbasi N, Yildirim-Ondur E, Ozdemir T. Clinical and radiographic evaluation of marginal bone changes around platform-switching implants placed in crestal or subcrestal positions: A randomized controlled clinical trial. Clin Implant Dent Relat Res 2015;17(Suppl 2):e364–375.
- Tarquini G. Terapia delle atrofie mascellari mediante innesti in blocco di osso autologo: descrizione di un caso clinico. Implantologia Implantoprotesi e Digitale (Quintessence Publishing) N° 2/2018: 07 – 15.
- Tarquini G. Terapia delle atrofie ossee verticali mediante rigenerazione ossea guidata (G.B.R.) con membrane non riassorbibili: descrizione di un casi clinico. Implantologia Implantoprotesi e Digitale (Quintessence Publishing) N° 3/2018: 41 - 49
- Thacker J. An approach to the mechanism of killing of cells in suspension by ultrasound. Biochim Biophys Acta 1973; 304:240–248.
- Blus C, Szmukler-Moncler S, Orru G, Denotti G, Piras A, Piras V. Bactericide effect of vibrating ultra-sonic (piezosurgery) tips.An in vitro study. Clin Oral Implants Res 2009; 20:905.
- Campoccia D, Testoni F, Ravaioli S, Cangini I, Maso A, Speziale P, Montanaro L, Visai L, Arciola C.R. Orthopedic implant infections: Incompetence of Staphylococcus epidermidis, Staphylococcus lugdunensis, and Enterococcus faecalis to invade osteoblasts. J Biomed Mater Res Part A 2016:104A:788–801.
- Sapna N,Vandana K. Ultrasound in periodontics. IJDA, 2(3), July-September, 2010; 274-277.
- Tarquini G. Ultrasuoni in chirurgia parodontale: effetti clinici. Cap. 1. In: Tarquini G. Tecniche di chirurgia parodontale: dalla diagnosi alla terapia", Edizioni EDRA (Settembre 2017): 25-26.
- Tarquini G. Il ruolo degli ultrasuoni in terapia chirurgica delle periimplantiti: presentazione di un caso clinico. Implant Tribune, Novembre 2017 - anno VI n. 4, pagg 1-7.
- Tarquini G. Trattamento chirurgico della perimplantite mediante rigenerazione ossea guidata. Italian Dental Journal 2016, Anno XI Numero 6/2016.
- Tarquini G. Rigenerazione Tissutale Guidata (G.T.R.) di un difetto intraosseo circonferenziale: presentazione di un caso clinico. Implants Italy; 2/2018: 08-14
- Tarquini G. Rigenerazione tissutale guidata in difetti parodontali profondi. Dental Tribune, Luglio - Agosto 2017 - anno XIII n. 7 - 8, pagg 1 - 8.
- Blus C. Immediate implants placed in infected and non infected sites after atraumatic tooth extraction and placement with ultrasonic bone surgery. Clinical Implant Dentistry and Related Research, Volume 17, Supplement 1, 2015.
- Atieh M.A., Ibrahim H.M. & Atieh A.H. Platform switching for marginal bone preservation around dental implants: a systematic review and meta-analysis. Journal of Periodontolology 2010; 81: 1350–1366.
- Rosa A.C. Guidelines for Selecting the Implant Diameter During Immediate Implant Placement of a Fresh Extraction Socket: A Case Series. Int J Periodontics Restorative Dent 2016;36:401–407.
- Cardaropoli D. Soft Tissue Contour Changes at Immediate Implants: A Randomized Controlled Clinical Study. Int J Periodontics Restorative Dent 2014;34:631–637.
- Barone A. Clinical Outcomes of Implants Placed in Extraction Sockets and Immediately Restored: A 7-Year Single-Cohort Prospective Study. Clinical Implant Dentistry and Related Research, Volume 18, Number 6, 2016.
- Buser D, Martin W, Belser UC. Optimizing esthetics for implant restorations in the anterior maxilla: Anatomic and surgical considerations. Int J Oral Maxillofac Implants 2004;19(suppl):43–61.
- Hinds K.F. Custom impression coping for an exact registration of the healed tissue in the esthetic implant restoration. Int J Periodontics Restorative Dent. 1997 Dec;17(6):584-91.
Tag:
La possibilità di riabilitare un mascellare superiore a carico immediato, con una protesi fissa, mediante l’utilizzo di soli quattro impianti ...
Introduzione
Per diversi decenni, gli impianti dentali sono stati ampiamente utilizzati nella pratica clinica per le riabilitazioni di edentule singole e ...
La presente pubblicazione descrive un caso clinico di riabilitazione full-arch a carico immediato guidato mediante l’utilizzo di dime scomposte e impianti...
Il carico immediato può essere ormai considerato una procedura terapeutica di elevata affidabilità ed efficacia, anche a distanza di tempo. Elemento ...
Sempre più numerosi sono gli studi clinici orientati a modificare il protocollo implantologico tradizionale proposto da Brånemark con l’obiettivo di ...
L’osteointegrazione è un fenomeno biologico che si basa sui processi di rigenerazione e rimodellamento osseo. Il tessuto osseo risponde ai ...
L’osteointegrazione è un fenomeno biologico che si basa sui processi di rigenerazione e rimodellamento osseo. Il tessuto osseo risponde ai ...
Scarsa igiene orale, carie destruenti, malattia parodontale rendono spesso gli elementi dentari non congrui ad alcuna riabilitazione protesica efficace1.
...
L’implantologia osseointegrata ha raggiunto livelli di affidabilità molto elevati, qualora siano rispettati criteri di pianificazione e di esecuzione ...
Nell’autunno 2009 una paziente di sesso femminile e di 37 anni si era riferita presso il nostro studio per migliorare il proprio sorriso (Fig. 1). ...
Live webinar
gio. 22 gennaio 2026
15:00 (CET) Rome
Prof. Judith Jones D.D.S; M.P.H., Prof. Kakuhiro Fukai D.D.S., Ph.D, Dr. Bathsheba (Bethy) Turton
Live webinar
gio. 22 gennaio 2026
20:00 (CET) Rome
Dr. Nicola M. Grande DDS, PhD
Live webinar
mer. 28 gennaio 2026
14:00 (CET) Rome
Live webinar
mer. 28 gennaio 2026
17:00 (CET) Rome
Prof. Dr. Jan-Frederik Güth
Live webinar
mer. 28 gennaio 2026
17:00 (CET) Rome
Dr. Algimante Lošytė – Jančė
Live webinar
mer. 28 gennaio 2026
18:00 (CET) Rome
Live webinar
mer. 28 gennaio 2026
19:00 (CET) Rome
Dr. Marina Siegenthaler Dr. med. dent. eidg. dipl. Zahnärztin SSO
To post a reply please login or register