La possibilità di riabilitare un mascellare superiore a carico immediato, con una protesi fissa, mediante l’utilizzo di soli quattro impianti ha quasi raggiunto i dieci anni dalla data della prima pubblicazione1. Il protocollo dell’“All-on-Four” prevede l’inserimento di due fixture assiali nella zona degli incisivi laterali e di due fixture con inclinazione variabile, tra i 30° e i 45°, in cui la piattaforma emerge distalmente.
Il disparallelismo che si crea viene corretto mediante l’utilizzo di monconi angolati di altezze transmucose variabili. La protesi provvisoria, in resina acrilica, viene ribasata e fissata a dei cilindri in titanio avvitati a questi monconi nell’arco delle 24-48 ore dalla fase chirurgica. A osteointegrazione avvenuta viene realizzata una struttura metallica per supportare la protesizzazione definitiva2. Questo tipo di protocollo è indicato per i pazienti edentuli o con elementi dentari non recuperabili, che presentino un’estesa pneumatizzazione dei seni mascellari e non possano (o non vogliano) sottoporsi a interventi di rigenerazione ossea come, per esempio, il rialzo del seno mascellare. In aggiunta, quest’opzione terapeutica è stata definita negli anni “protesi sociale”, perché permette di fornire una protesi fissa su impianti, a carico immediato, con dei costi contenuti, se comparati con quelli di una riabilitazione classica con un maggior numero di impianti e monconi individualizzati. Patzelt, in una revisione sistematica sull’All-on-Four3, ha raccolto gli studi clinici che avessero almeno un anno di follow-up: dei 13 rimasti dopo la fase di selezione, 9 hanno trattato arcate superiori, per un totale di 500 riabilitazioni supportate da 2000 impianti. A un anno di follow-up, la percentuale di sopravvivenza implantare e protesica è stata, rispettivamente, del 97,5% e del 100%: purtroppo solo il 31% degli studi inclusi nella revisione hanno completato i tre anni di follow-up.
Una delle tematiche di interesse nella ricerca implantare è rappresentata dalle connessioni impianto-abutment, perché sono state indicate come una delle possibili cause di perdita ossea perimplantare4,5. In commercio sono disponibili diverse tipologie di connessione suddivisibili grossolanamente in tre categorie sulla base della meccanica di ritenzione del moncone all’impianto: vite passante, vite e ritenzione conometrica, conometrica pura (senza vite)6,7; le soluzioni conometriche hanno dimostrato una migliore stabilità e una riduzione del microgap impianto-abutment, con migliori risultati in termini di preservazione dell’osso crestale8: meccanicamente, impianto e moncone si comportano come una singola unità e si riduce l’infiltrazione batterica nella camera implantare.
Lo scopo di questo case report è presentare i risultati a due anni di una riabilitazione a carico immediato supportata da quattro impianti a connessione conometrica, due dritti e due inclinati, protesizzata con una sovrastruttura in titanio fresato CAD/CAM.
Piano di trattamento
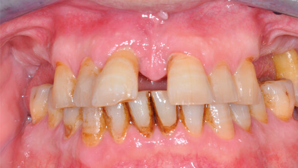
S.F., di 57 anni, si presenta presso la nostra struttura lamentando difficoltà alla masticazione, mobilità degli elementi dell’arcata superiore e sensazione che questi “si siano progressivamente spostati verso l’esterno”. All’anamnesi si registra un episodio di cardiopatia ischemica avvenuto tre anni prima, attualmente trattato con terapia antiaggregante orale. All’esame clinico e radiografico si presenta un quadro di parodontite cronica avanzata con migrazione patologica degli elementi dentari e riduzione della dimensione verticale. Il paziente è edentulo bilateralmente distale ai canini, eccezion fatta per un 27 con mobilità di terzo grado. Riferisce pregressi ascessi in corrispondenza dei due incisivi di destra, che presentano tasche oltre i dieci millimetri e suppurazione al sondaggio. L’arcata inferiore mostra un quadro parodontopatico meno grave, con perdita dei secondi molari (Figg. 1-3).
Il paziente rifiuta di sottoporsi a procedure rigenerative per timori legati al proprio stato di salute e per problemi economici; pertanto, si propone una riabilitazione a carico immediato mediante l’inserimento di quattro impianti: due dritti nella zona frontale e due inclinati distalmente, tangenti alla parete anteriore del seno mascellare. Non si programmano avulsioni all’arcata inferiore e il paziente verrà inserito in un programma di mantenimento parodontale.
Procedure chirurgiche e protesiche
Previa bonifica degli elementi dentari, si eleva un lembo a spessore totale; il profilo del processo alveolare viene regolarizzato con una fresa a palla montata su manipolo dritto. I primi due impianti (Ankylos, Dentsply Implants), di diametro 3,5 mm e lunghezza 11 mm, vengono inseriti in sede 12 e 22; sulla base delle misurazioni effettuate sulla tomografia assiale computerizzata, vengono inseriti i due impianti distali (diametro 3,5 mm, lunghezza 14 mm), preparando il sito con andamento disto-mesiale, corono-apicale (Fig. 4).
Successivamente si posizionano dei monconi che serviranno per correggere i disparallelismi e permettere la protesizzazione: i due mesiali con angolazione 0° e i due distali con angolazione 30°. In zona 12-11 è presente un’ampia deiscenza ossea vestibolare che viene gestita mediante il posizionamento di osso bovino deproteinizzato e miscelato a particolato di osso autologo prelevato dalla zona vestibolare (Fig. 5). I lembi vengono suturati con filo riassorbibile 5/0. Immediatamente dopo la fase chirurgica, si ribasa una protesi provvisoria in resina acrilica precedentemente preparata sulla base della ceratura diagnostica e dei rialzi occlusali pianificati per il rispristino della dimensione verticale. Questa viene fissata a dei cilindri in titanio provvisori avvitati ai monconi. Il paziente viene così dimesso e le suture rimosse sette giorni dopo (Fig. 6). Dopo tre mesi dalla fase chirurgica, stabilizzati i tessuti molli e avvenuta l’osteointegrazione (Fig. 8), si procede alla finalizzazione del caso. Si rileva un’impronta digitale (MHT, Medical High Technologies - Verona, Italia) dei tessuti molli e della posizione implantare mediante dei pilastri di trasferimento solidarizzati con resina acrilica (Fig. 9). Per ridurre le possibili distorsioni, questa struttura in resina viene anche digitalizzata separatamente e l’immagine creata verrà accoppiata alla scansione intraorale. Tutte le informazioni vengono inviate a un centro di fresaggio che elabora una progettazione virtuale preliminare della barra (ATLANTIS™ ISUS, DENTSPLY Implants, Belgio). Il laboratorio odontotecnico apporta le modifiche volute al progetto e viene quindi fresata a controllo numerico una barra in titanio grado 4. La finalizzazione del manufatto protesico prevede dei denti normoconformati e una quota di estetica rosa per compensare la discrepanza scheletrica dovuta al riassorbimento osseo (Figg. 10-15).
embedImagecenter("Imagecenter_1_1446",1446, "large");
Risultati ottenuti e conclusioni
Il caso presentato ha previsto l’utilizzo di impianti a connessione conometrica con lo scopo di minimizzare il riassorbimento osseo crestale. Sebbene fosse possibile gestire l’ampia area di deiscenza ossea con una riduzione verticale maggiore del profilo alveolare, è stata scelta l’opzione rigenerativa, più conservativa anche se potenzialmente più rischiosa perché associata ad un carico immediato: considerata l’età del paziente, non può essere escluso a priori che, negli anni futuri, possa essere necessario un reintervento e una riduzione verticale “aggressiva” renderebbe la gestione del caso più complessa.
I monconi scelti presentano alcuni vantaggi pratici innovativi e propri delle connessioni conometriche. In primo luogo un platform-switching marcato e un profilo di emergenza ristretto che evitano possibili interferenze ossee crestali, anche quando la fixture viene posizionata con piattaforma sottocrestale (Fig. 16): il profilo del moncone, infatti, non supera il diametro implantare. In secondo luogo, i monconi angolati non hanno posizioni predefinite dettate da ingaggi con disegni poligonali e possono quindi ruotare a 360°; pertanto è possibile scegliere liberamente l’asse di emergenza protesico migliore. Tuttavia è di fondamentale importanza serrare le viti di questi monconi con il precarico indicato dal produttore perché un eventuale disaccoppiamento comporterebbe la perdita della posizione e la necessità di riadattare la protesi.
Il follow-up a due anni di distanza mostra un’ottima preservazione dei tessuti molli e duri a livello della piattaforma implantare; il paziente non è mai rimasto senza protesi durante le fasi di trattamento ed è soddisfatto del risultato raggiunto. L’opzione riabilitativa scelta, se pianificata correttamente, può essere un valido compromesso estetico e funzionale per i pazienti che non possano sottoporsi a interventi chirurgici complessi o che non abbiano le disponibilità finanziarie per una riabilitazione con più impianti e monconi individualizzati.
Ringraziamenti: si ringrazia il laboratorio odontotecnico Gierre di Rota e Ghisleni per il prezioso supporto e la realizzazione del manufatto protesico.
L'articolo è stato pubblicato sul numero 2 di Cad/Cam Italy 2014.
HAIPHONG, Vietnam: un nuovo case report mostra i risultati ottenibili con un approccio protesico conservativo in un paziente con un quadro anteriore ...
La sostituzione di uno o più elementi dentari giudicati non recuperabili con impianti endossei costituisce una pratica chirurgica ampiamente diffusa e ...
Introduzione
Per diversi decenni, gli impianti dentali sono stati ampiamente utilizzati nella pratica clinica per le riabilitazioni di edentule singole e ...
In questo articolo viene presentato un caso clinico di un paziente affetto da grave usura dentale, riabilitato secondo le più recenti conoscenze in ambito ...
Molti pazienti si presentano alla nostra osservazione con quadri clinici orali molto compromessi, con la presenza di un numero ridotto di denti. Questi ...
Il carico immediato può essere ormai considerato una procedura terapeutica di elevata affidabilità ed efficacia, anche a distanza di tempo. Elemento ...
La presente pubblicazione descrive un caso clinico di riabilitazione full-arch a carico immediato guidato mediante l’utilizzo di dime scomposte e impianti...
Gli autori presentano una metodologia implantoprotesica usando degli impianti a vite emergenti che vengono saldati a un ago di titanio per garantire la ...
Gli autori presentano una metodologia implantoprotesica usando degli impianti a vite emergenti che vengono saldati a un ago di titanio per garantire la ...
Gli impianti dentali rappresentano da tempo la migliore soluzione terapeutica per poter restaurare la funzione e l’estetica perdute in seguito a ...
Dr. Bruce McFarlane Certified Specialist in Orthodontics Fellow: Royal College of Dentists of Canada Diplomate: American Board of Orthodontics
Live webinar
mer. 15 aprile 2026
20:00 (CET) Rome
Live webinar
gio. 16 aprile 2026
2:00 (CET) Rome
Linda Hecker MS, BSDH, RDH
Live webinar
gio. 16 aprile 2026
18:00 (CET) Rome
Dr. Pär-Olov Östman, Dr. Robert Gottlander DDS
Live webinar
ven. 17 aprile 2026
18:00 (CET) Rome
Live webinar
ven. 17 aprile 2026
19:00 (CET) Rome
Dr. Stuart Yeaton BDentSc, MOrth
Live webinar
lun. 20 aprile 2026
19:00 (CET) Rome
Dr. Alberto Monje DDS, MS, PhD
To post a reply please login or register