L’implantologia osseointegrata ha raggiunto livelli di affidabilità molto elevati, qualora siano rispettati criteri di pianificazione e di esecuzione scientificamente validati.
Accanto alle procedure convenzionali raccomandate durante il periodo di guarigione, sono state introdotte modalità alternative, in grado comunque di ottenere una osseointegrazione.
Tra queste possiamo annoverare la possibilità di inserire un impianto al momento dell’estrazione, la possibilità di applicare un provvisorio immediato con finalità esclusivamente estetiche (restauro immediato) e la possibilità di realizzare un provvisorio immediato funzionale sulle fixture (carico immediato)3, 4, 6, 7, 8.
L’esecuzione di un impianto al momento dell’estrazione dentale, dal punto di vista scientifico, non presenta particolari vantaggi in quanto non è in grado di influenzare in modo significativo i processi di rimodellamento osseo che seguono la perdita dell’elemento naturale1.
Tali processi comportano un riassorbimento osseo, soprattutto a carico della corticale vestibolare (osso proprio del legamento parodontale o “bundle bone”). Questo è tanto più spiccato, quanto più è sottile il tessuto osseo. In caso di osso boccale spesso 1 mm o meno, il processo può portare a riassorbimenti in grado di compromettere il volume vestibolare finale2.
In caso di tessuto osseo sottile, presente nella maggioranza dei casi nel settore anteriore superiore, viene di solito raccomandato di posizionare la fixture in posizione più palatale e più profonda e l’uso di materiali da innesto a lento riassorbimento. In pratica l’impianto non viene posizionato ad occupare l’alveolo, ma in una posizione leggermente diversa. Per tale motivo l’impianto post-estrattivo immediato trova poche indicazioni e deve essere riservato ad operatori esperti, dopo un attento studio del caso. La decisione di eseguire un restauro immediato aggiunge elementi di difficoltà ulteriori.
L’impianto, pur essendo posizionato in modo da rispettare l’asse protesico ideale, deve conseguire una stabilità primaria elevata, generalmente individuata in un valore maggiore di 35 N/cm. Il provvisorio deve essere realizzato in modo da non subire carichi masticatori intenzionali e soprattutto da non ricevere forze laterali (disclusioni nei movimenti di protrusione e latero-trusione). La motivazione più frequente per eseguire un restauro di questo tipo è quella di mantenere l’architettura dei tessuti molli perimplantari e ridurre drasticamente il numero delle chirurgie e il tempo totale del trattamento3, 7, 8.
_Caso clinico
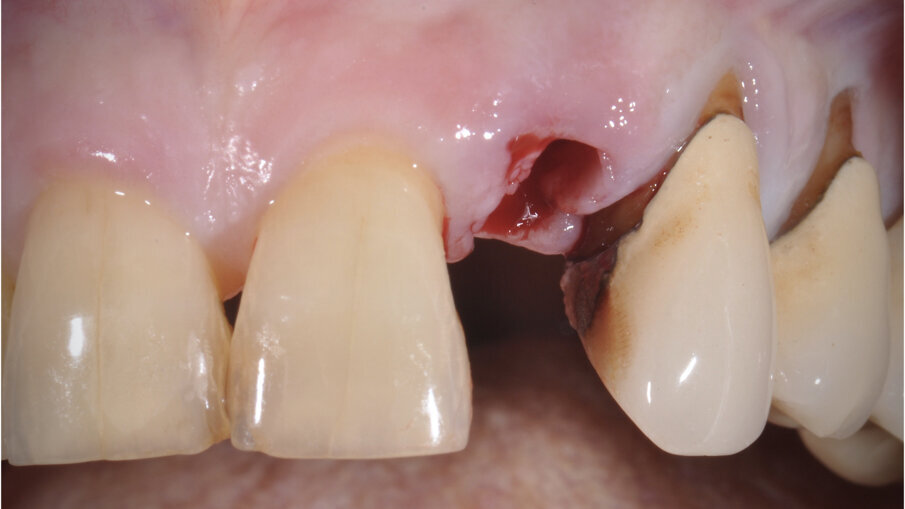
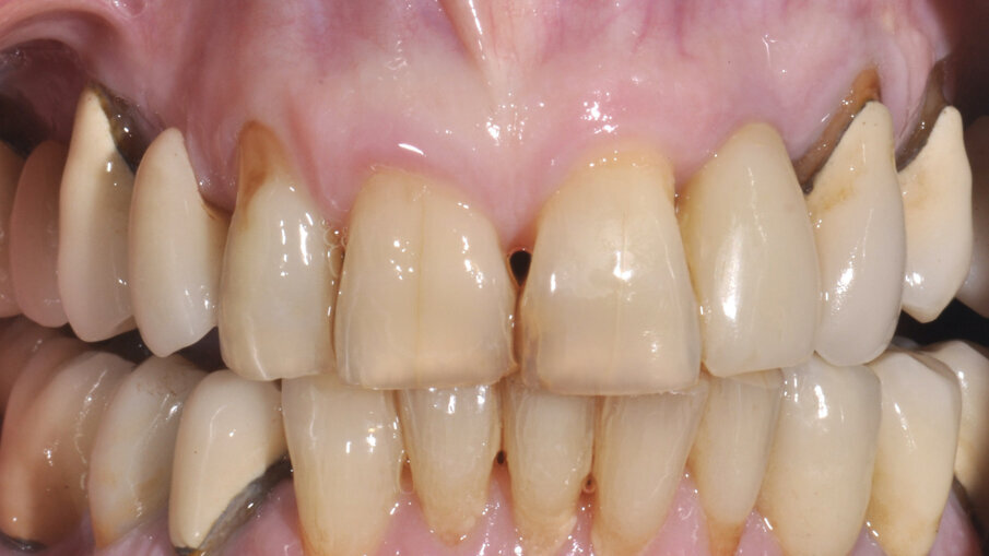
La paziente, B.G. di sesso femminile, di anni 71, è giunta alla nostra osservazione per la mobilità e lieve dolore a carico dell’elemento 2.2 (incisivo laterale superiore sinistro) (Fig. 1). All’esame ispettivo l’elemento presenta mobilità di grado 3. Al sondaggio parodontale presenta una tasca mesiale di 7 mm e di 3 mm lungo le altre superfici del dente. All’esame radiografico, eseguito con radiografia endorale periapicale, si osserva un’area di radiotrasparenza riconducibile a riassorbimento osseo soprattutto in sede mesiale (Fig. 2).
Il dente presenta un trattamento canalare e un restauro in ceramica integrale. La radice appare di dimensioni ridotte, con un supporto parodontale ridotto. La paziente è da molti anni in fase di mantenimento dopo trattamenti parodontali e la situazione è stabile da molti anni, con una buona compliance e assenza di fattori di rischio generali. Considerando le varie opzioni di trattamento, anche tenendo presenti le richieste della paziente, è stata scelta l’opzione della sostituzione del 2.2 mediante impianto osseointegrato.
A questo riguardo sono state considerate 3 diverse opzioni di trattamento:
- Estrazione del 2.2 , attesa della guarigione e successivo inserimento della fixture;
- Estrazione e contemporaneo inserimento di impianti;
- Estrazione, inserimento dell’impianto e applicazione di un provvisorio fisso avvitato privo di contatti occlusali in centrica e in fase di disclusione (restauro immediato).
Considerando le dimensioni radicolari, la presenza di sufficiente tessuto osseo per assicurare una buona stabilità primaria della fixture, una buona compliance della paziente, la possibilità di escludere dai contatti e una sostanziale integrità dell’architettura del tessuto gengivale superfciale, è stata scelta la terza opzione di trattamento.
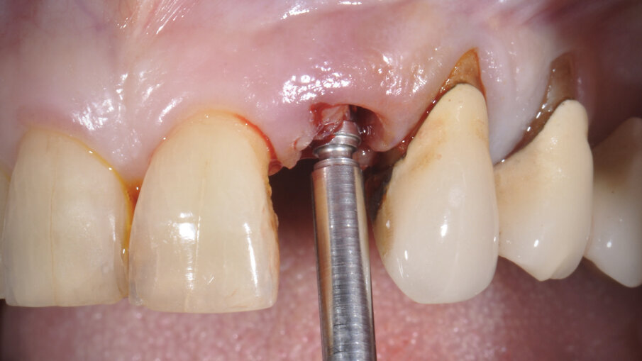
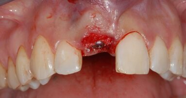
Il poter disporre di una tipologia di fixture estremamente orientata al conseguimento di elevati valori di stabilità primaria ha costituito un ulteriore elemento a favore di questa scelta. La paziente è stata sottoposta ad un trattamento preliminare a cielo coperto mediante levigatura radicolare. Il giorno dell’intervento, sotto profilassi antibiotica, è stata eseguita l’estrazione in maniera micro-traumatica e la rimozione mediante curettage dei tessuti infiammatori presenti. Non è stato eseguito un lembo di accesso, ma è stata verificata la presenza di tessuto osseo in sede vestibolare (Fig. 3).
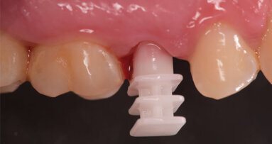
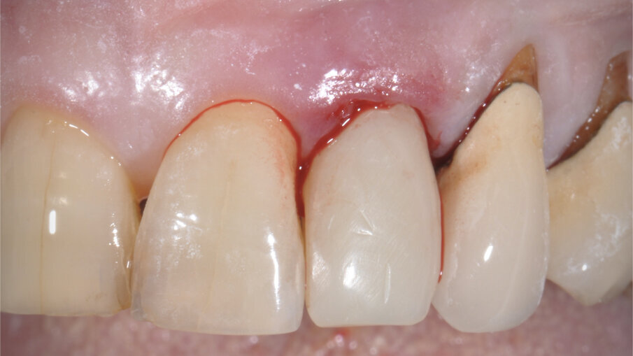
È stato inserito un impianto Straumann BLX 3.75 mm di diametro per 12 mm di lunghezza, con superficie SLActive seguendo l’asse protesico ideale (Figg. 4, 5). Avendo conseguito una stabilità primaria eccedente i 35 N/cm è stato realizzato un restauro provvisorio avvitato in composito su componente in Titanio da provvisori. Nonostante una sostanziale congruità della forma del provvisorio con la parte superficiale dell’alveolo, è stata utilizzata una matrice dermica suina (Botiss Mucoderm) allo scopo di sigillare il gap presente tra provvisorio e bordo mucoso dell’alveolo. Tale matrice, opportunamente sagomata e forata in modo da essere stabilizzata dal provvisorio stesso, è stata posizionata in modo da non rimanere esposta al cavo orale. Non sono state necessarie suture (Figg. 6-8).
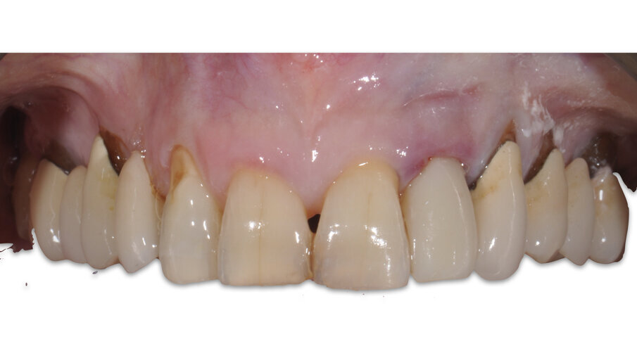
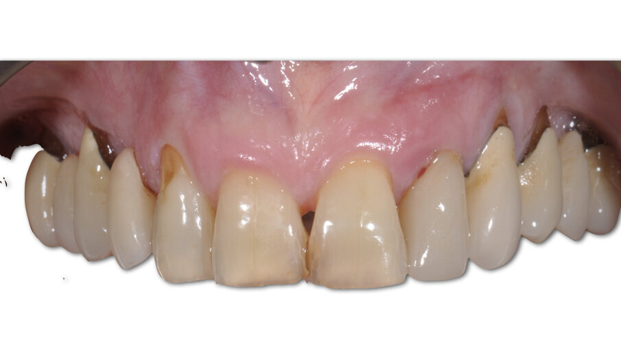
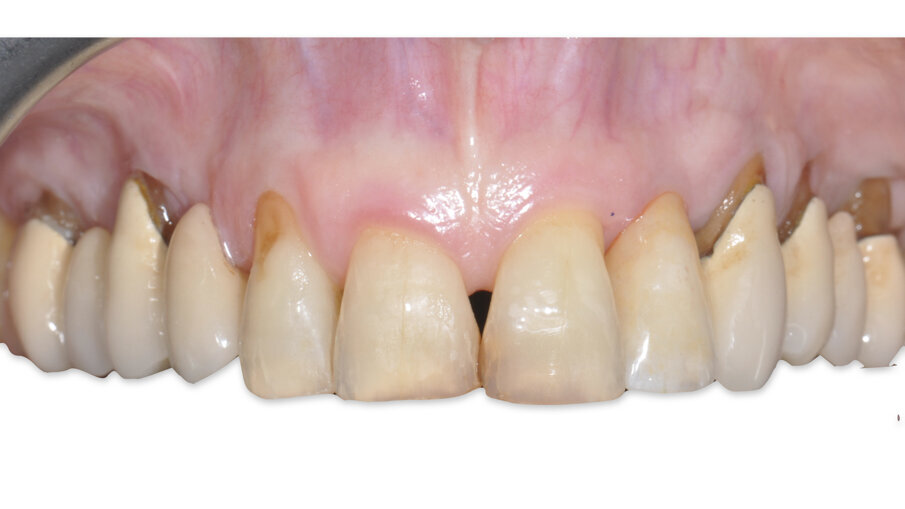
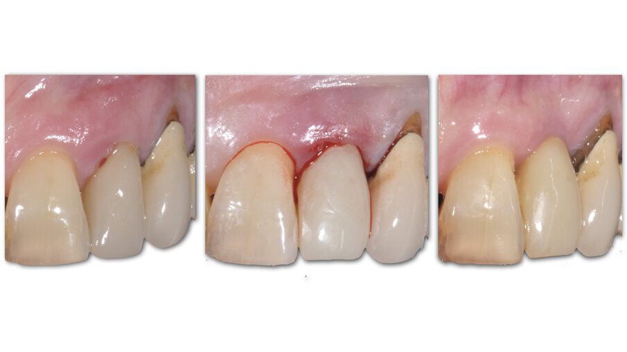
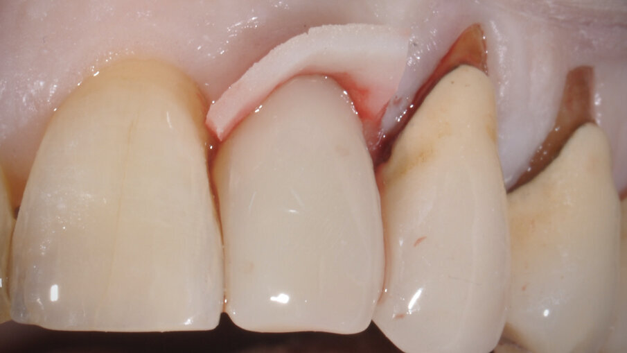
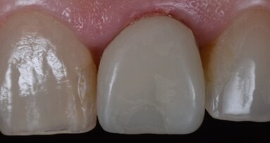
A 7 giorni è stato eseguito un controllo per verificare lo stato dei tessuti gengivali e continuare a motivare la paziente riguardo all’esclusione dai carichi masticatori (Fig. 9). A 90 giorni è stato rimosso il provvisorio per procedere al restauro ceramico. Nonostante la superficie SLActive preveda un accorciamento dei tempi di integrazione, è stato deciso un tempo di attesa convenzionale per accertarsi della stabilità dei tessuti molli perimplantari (Figg. 10-12). È stato eseguito un workflow digitale a partire dall’impronta ottica, fino alla realizzazione di un restauro in Zirconia precolorata e stratificata vestibolare (Dental Direkt 1200 e Creation ZI-CT) su base titanio (Figg. 13, 14). Il restauro è stato consegnato mediante avvitamento a controllo di torque secondo le indicazioni della casa produttrice (Figg. 15, 16).
Fig. 2_Radiografia periapicale in sede 2.2.
Fig. 3_Alveolo post-estrattivo.
Fig. 5_Rx periapicale post-impianto.
Fig. 6_Matrice dermica suina forata per la stabilizzazione mediante provvisorio.
Fig. 7_Provvisorio in sede con matrice dermica suina esposta.
Fig. 8_Provvisorio in sede con matrice dermica inserita sotto i tessuti molli.
Fig. 9_Aspetto clinico a 7 giorni.
Fig. 10_Aspetto clinico a 90 giorni.
Fig. 11_Condizionamento dei tessuti molli.
Fig. 12_Confronto tra la situazione iniziale, quella post-chirurgica e quella al termine del periodo provvisorio.
Fig. 13_Workflow digitale per la realizzazione della corona.
Fig. 14_Passaggi digitali di laboratorio.
Fig. 15_Consegna della corona ceramica avvitata.
Fig. 16_Controllo Rx post-consegna.
_Conclusioni
La scelta di effettuare un restauro immediato con impianto post-estrattivo immediato deve rispondere ad una serie di requisiti precisi da analizzare sia in fase di progettazione, sia in fase intra-operatoria. Si tratta di procedure avanzate o complesse nelle quali aumenta la complessità e il rischio di insuccesso. Tuttavia quando le condizioni sono idonee e le procedure vengono applicate correttamente, consentono un eccellente risultato7, 8.
_bibliografia
- Araújo MG1, Wennström JL,, Lindhe J.. Modeling of the buccal and lingual bone walls of fresh extraction sites following implant installation. Clin Oral Implants Res. 2006 Dec;17(6):606-14.
- Chappuis V., Engel O., Reyes M., Shahim K., Nolte LP., Buser D.. Ridge alterations post-extraction in the esthetic zone: a 3D analysis with CBCT. J Dent Res. 2013 Dec;92(12 Suppl):195S-201S. doi: 10.1177/0022034513506713. Epub 2013 Oct 24.
- Belser U., Martin W., Jung R., Hammerle C., Schmid B.. ITI Treatment Guide Volume 1. Implant Therapy in the Esthetic Zone – Single-Tooth Replacements. Quintessence editor, 2006.
- Jung RE., Ioannidis A., Hämmerle CHF., Thoma DS.. Alveolar ridge preservation in the esthetic zone. Periodontol 2000. 2018 Jun;77(1):165-175. doi: 10.1111/prd.12209. Epub 2018 Feb 27.
- Mello CC1, Lemos CAA1, Verri FR1, Dos Santos DM1, Goiato MC1, Pellizzer EP2. Immediate implant placement into fresh extraction sockets versus delayed implants into healed sockets: A systematic review and meta-analysis. Int J Oral Maxillofac Surg. 2017 Sep;46(9):1162-1177. doi: 10.1016/j.ijom.2017.03.016. Epub 2017 May 3.
- Del Fabbro M1,2, Testori T2,3, Kekovic V4, Goker F1, Tumedei M5, Wang HL3. A Systematic Review of Survival Rates of Osseointegrated Implants in Fully and Partially Edentulous Patients Following Immediate Loading. J Clin Med. 2019 Dec 4;8(12). pii: E2142. doi: 10.3390/jcm8122142.
- Arora H1, Ivanovski S1. Clinical and aesthetic outcomes of immediately placed single-tooth implants with immediate vs. delayed restoration in the anterior maxilla: A retrospective cohort study. Clin Oral Implants Res. 2018 Mar;29(3):346-352. doi: 10.1111/clr.13125. Epub 2018 Feb 16.
- Arora H1, Khzam N2, Roberts D3, Bruce WL3, Ivanovski S1. Immediate implant placement and restoration in the anterior maxilla: Tissue dimensional changes after 2-5 year follow up. Clin Implant Dent Relat Res. 2017 Aug;19(4):694-702. doi: 10.1111/cid.12487. Epub 2017 Apr 21.
L'Articolo è stato pubblicato per la prima volta su Implants italian Edition n. 01/2020
Tag:
I dilemmi che accompagnano gli impianti post-estrattivi immediati spesso implicano la decisione se sarebbe meglio mantenere o meno con chirurgie o manovre ...
Molti sono i fattori che possono essere correlati al riassorbimento apicale delle radici e al loro arrotondamento, tra questi il movimento ortodontico e il ...
L’implantologia è diventata una forma consolidata di trattamento con risultati buoni e prevedibili per la ricostruzione funzionale ed estetica ...
L’implantologia è diventata una forma consolidata di trattamento con risultati buoni e prevedibili per la ricostruzione funzionale ed estetica ...
Questo caso clinico ha richiesto un inserimento ottimale di impianti sulla base di un piano di trattamento protesicamente guidato e di chirurgia guidata. ...
Nella valutazione di elementi dentali irreparabilmente compromessi ci troviamo a dover effettuare delle scelte sul piano di trattamento post-estrattivo1, 2....
L’inserimento di impianti postestrattivi immediati comporta vantaggi e svantaggi, ma in generale è considerata una terapia chirurgica ...
I piani di trattamenti clinici che prevedono il carico immediato o il posizionamento post-estrattivo immediato dell’impianto, rappresentano una procedura ...
Molti pazienti si presentano alla nostra osservazione con quadri clinici orali molto compromessi, con la presenza di un numero ridotto di denti. Questi ...
La chirurgia ricostruttiva preimplantare non può essere praticata in tutti i pazienti a causa di possibili controindicazioni locali e/o sistemiche. ...
Live webinar
mar. 19 maggio 2026
17:00 (CET) Rome
Live webinar
mar. 19 maggio 2026
19:00 (CET) Rome
Prof. Dr. med. dent. Ivo Krejci
Live webinar
mer. 20 maggio 2026
13:00 (CET) Rome
Dr. Graham Carmichael BDSc (Hons), DClinDent (Pros), FRACDS, Dr. Robert Gottlander DDS
Live webinar
mer. 20 maggio 2026
15:00 (CET) Rome
Live webinar
mer. 20 maggio 2026
17:00 (CET) Rome
Live webinar
mer. 20 maggio 2026
19:00 (CET) Rome
Prof. Dr. med. dent. Tim Joda PhD, MSc, eMBA
Live webinar
gio. 21 maggio 2026
18:00 (CET) Rome
Dr. Leonardo Muniz DDS, MSC
To post a reply please login or register