Descrizione
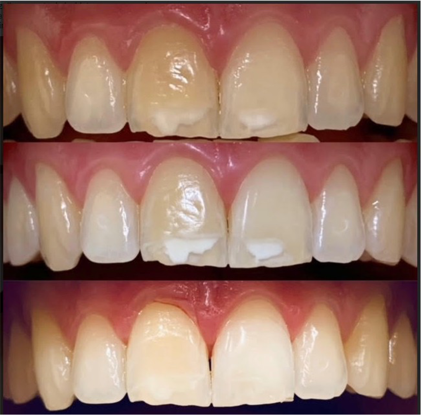
Un giovane paziente di anni 25 presenta due localizzazioni discromiche di MIH, e richiede un trattamento a fini estetici sull’elemento 1.1 e 2.1. La superficie dello smalto appare liscia ed integra.
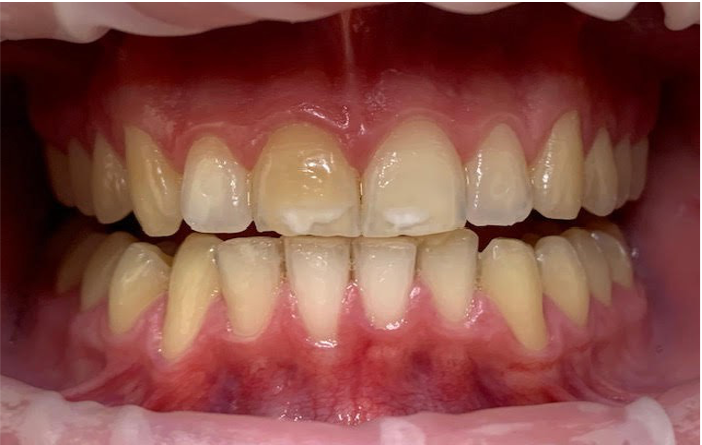
L’elemento 1.1 risulta necrotico e con canale calcificato a seguito di una caduta, come confermato dall’endodontista. Le localizzazioni discromiche erano già presenti prima del trauma (Figg. 1, 2). Al fine di definire la tipologia idonea di trattamento, si procede con la transilluminazione da palatale, la quale evidenzia che le aree ipomineralizzate interessano lo spessore interno dello smalto (Fig. 3).
Materiali e metodi
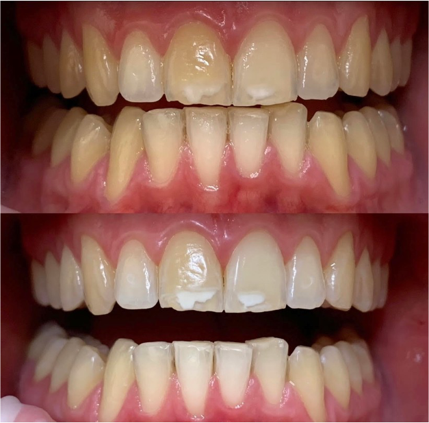
Si procede dunque con una fase prolungata di remineralizzazione domiciliare con mascherine termostampate e mousse biosmalto remineralizzante a base di F-ACP complex (Fig. 4). Successivamente si effettua uno sbiancamento professionale con Opalescence Boost al 40% PF in 2 sedute da 45 min ciascuna. La remineralizzazione tenderà a stabilizzare i difetti dello smalto e lo sbiancamento contribuirà alla riduzione degli stessi. Il risultato ha soddisfatto il paziente, passando da A3, A2 (su inc. inferiori) a un A1, B1.
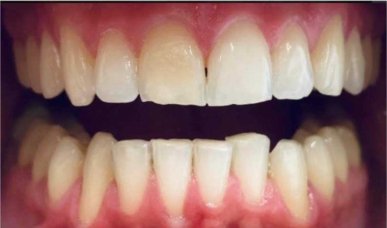
Il trattamento è stato performante anche per l’elemento 1.1, ma le fasi di remineralizzazione e sbiancamento non state sufficienti alla riduzione delle lesioni bianche dello smalto (Figg. 5, 6). Le lesioni bianche appaiono più accentuate, pertanto optiamo per l’infiltrazione con Icon (Fig. 7). Quindi si procede con l’infiltrazione mediante resina, informando il paziente che nel caso in cui il trattamento non soddisfacesse completamente le sue aspettative è possibile procedere con una successiva macroabrasione ad opera dell’odontoiatra (Figg. 8-14).
Conclusioni
L’esito positivo del trattamento ha consentito di sbiancare con soddisfazione da parte del paziente l’elemento 1.1 (necrotico con canale calcificato) grazie al 40% Pf di Opalescence Boost, il quale è performante anche in questi casi. È comunque fondamentale informare il paziente sin dall’inizio che il trattamento sbiancante su elemento 1.1 può andare incontro più facilmente a recidiva (Figg. 15, 16).
Bibliografia
- Dahl JE, Pallesen U. Tooth Bleaching-a critical review of the biological aspects. Crit Rev Oral Biol Med. 2003;14:292-304.
- Attal JP, Atlan A, Denis M, Vennat E, Tirlet G. White spots on enamel: Treatment protocol by superficial or deep infiltration. Int Orthod. 2014;12:1-31.
- Senestraro SV, Crowe JJ, Wang M, Vo A, Ferracane J, Covell DA Jr. Minimally resin infiltration of arrested white spot lesions: randomized clinical trial. 2013;144:997-1005.
Lo sviluppo di tecniche evolute in ambito chirurgico e protesico consente di soddisfare le molteplici esigenze cliniche. Seguendo i protocolli minimamente ...
Anche l’edizione 2023 del congresso BTI Biotechnology Institute, tenutosi a Milano presso l’Hotel Excelsior Gallia il 4 marzo scorso, si è rivelato un ...
In vista di Expodental Meeting, la “tre giorni” tutta dedicata all’odontoiatria nei suoi multiformi aspetti, Dental Tribune ha chiesto a ...
Scansioni intraorali ad alta risoluzione, fresatura guidata CAD/CAM e produzione additiva stanno trasformando l’odontoiatria moderna, consentendo flussi ...
Dal 19 al 21 novembre 2015 si è svolto a Verona, presso l’Ospedale Fracastoro di San Bonifacio, il XVIII Congresso Nazionale SIOH ...
Londra. Le scuole di odontoiatria svedesi sono tra le migliori. Con il Karolinska Institutet, che guida l'elenco delle dieci migliori Scuole e ...
«Mini-invasività non significa sostituire a tutti i costi le tecniche tradizionali, ma porre come criterio guida quello della minore invasività possibile...
Forme, materiali e colori aiutano a creare un rapporto migliore con il proprio medico, come analizzato da Sirona Dental System e dall’industrial ...
Forme, materiali e colori aiutano a creare un rapporto migliore con il proprio medico, come analizzato da Sirona Dental System e dall’industrial ...
Londra, Regno Unito: È stato stabilito che i pazienti con la fobia dell’odontoiatra possono spesso ritardare la visita dal dentista o evitarlo del tutto....
Live webinar
mar. 19 maggio 2026
17:00 (CET) Rome
Live webinar
mar. 19 maggio 2026
19:00 (CET) Rome
Prof. Dr. med. dent. Ivo Krejci
Live webinar
mer. 20 maggio 2026
13:00 (CET) Rome
Dr. Graham Carmichael BDSc (Hons), DClinDent (Pros), FRACDS, Dr. Robert Gottlander DDS
Live webinar
mer. 20 maggio 2026
15:00 (CET) Rome
Live webinar
mer. 20 maggio 2026
17:00 (CET) Rome
Live webinar
mer. 20 maggio 2026
19:00 (CET) Rome
Prof. Dr. med. dent. Tim Joda PhD, MSc, eMBA
Live webinar
gio. 21 maggio 2026
18:00 (CET) Rome
Dr. Leonardo Muniz DDS, MSC
To post a reply please login or register