Search Dental Tribune

Procedure mininvasive d’aumento e preservazione alveolare (open barrier membrane technique)

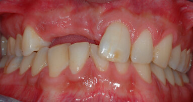
A 4 settimane, rimozione non chirurgica della membrana.
E. Funakoshi, M. Yamashita

E. Funakoshi, M. Yamashita

gio. 1 ottobre 2015

salvare

Le membrane convenzionali in PTFE espanso (ePTFE) sono state ampiamente usate per la rigenerazione guidata (GBR) e sono divenute uno standard negli anni Novanta. Tuttavia sono stati identificati diversi svantaggi di questi materiali: la deiscenza della ferita e l’esposizione della membrana sono sempre stati un’importante complicazione. La loro esposizione prematura causa infezione e si traduce in una severa compromissione della quantità dell’osso rigenerato.

Nel 2005 è stata introdotta la open barrier membrane technique come una tecnica GBR minimamente invasiva attraverso l’impiego di membrane in PTFE ad alta densità (dPTFE). Un loro significativo vantaggio è l’impenetrabilità per i batteri in ragione delle loro caratteristiche di superficie (0,2 µ di porosità) grazie alla quale la membrana può essere lasciata intenzionalmente esposta e non è richiesta la chiusura primaria. Poiché non è richiesta la chiusura primaria non c’è nemmeno la necessità di incisioni di rilascio periostali che comportano gonfiore e dolore.
L’obiettivo di questo lavoro retrospettivo è stata la valutazione clinica della preservazione e dell’aumento della cresta alveolare usando le membrane in dPTFE e materiali da innesto.

Materiali e metodi
È stato valutato un totale di 129 siti estrattivi e di creste post-estrattive in 111 soggetti (49 maschi, 62 femmine; età media 50 con un range da 38 a 83 anni). La completa descrizione è nella Tabella 1 e in Figura 1. I siti estrattivi (86 estrazioni e 43 creste alveolari compromesse) sono stati valutati con la open barrier membrane technique.

Chirurgia
Dopo il sollevamento di lembi mucoperiostei, innesti di osso autologo o eterologo combinati con una matrice derivata della smalto (EMD) e/o plasma arricchito di piastrine (PRP) sono stati posizionati negli alveoli o sulle creste coperti da una membrana in dPTFE Cytoplast TXT200. I lembi sono stati riposizionati e suturati senza incisioni periostali di rilascio e la membrana è stata lasciata esposta non cercando di coprirla intenzionalmente.
La membrana è stata rimossa dopo 4-6 settimane senza anestesia in modo non chirurgico. Nei siti trattati sono stati inseriti impianti da 4 a 6 mesi dopo la rimozione della membrana.

Analisi radiografica
Le analisi radiografiche sono state eseguite e sono stati valutati in maniera retrospettiva i cambiamenti verticali della cresta durante le fasi di guarigione con RX panoramici (Fig. 2): 1) profondità del difetto; 2) altezza dell’osso innestato al momento della chirurgia; 3) perdita dell’osso alla rimozione della membrana; 4) perdita osso al posizionamento dell’impianto. I risultati sono stati classificati come tipo “socket” o “ridge” in relazione alla morfologia del sito trattato.

Risultati e discussione
Considerazioni cliniche
Nessun paziente ha riferito dolori inusuali, gonfiore o fastidi durante il trattamento.
Non è stata rilevata alcuna infiammazione o infezione nonostante le membrane fossero parzialmente esposte e la placca fosse presente sulla superficie in quasi tutti i casi. Alla rimozione della membrana si è osservato osso prematuro coperto da un tessuto soffice, liscio, rosso e non epitelizzato.
Il tessuto si è completamente riepitelizzato nell’arco di 1 mese. Gengiva cheratinizzata era presente in tutti i siti e alcuni casi ne mostravano un aumento. Tutti i siti hanno ricevuto impianti e clinicamente si è riscontrata osteointegrazione.
Misurazione del cambiamento della cresta alveolare
I risultati completi sono mostrati in Figura 3 e Tabella 2. Sia i difetti tipo “socket” sia quelli di tipo “ridge” anno mostrato eccellenti guadagni ossei, rispettivamente del 100,9% e del 95,8% senza differenze significative tra i due tipi (P = 12). Una modesta quantità di perdita ossea (0,8 m in totale) è stata riscontrata al posizionamento implantare. Un totale di 60 siti sono stati sovrariempiti (47%).
Interessante notare che il volume di perdita ossea è corrisposto a circa il volume di sovrariempimento (0,9 mm totali). Questi risultati indicano che questa tecnica con le membrane dPTFE ha mostrato in maniera predicibile uno stabile volume d’osso rigenerato. Per ottenere una completa ricostruzione della cresta alveolare è spesso richiesto un sovrariempimento osseo tridimensionale. Questa tecnica lo facilita perché non richiede la copertura primaria della membrana. I vantaggi della tecnica sono elencati nella Tabella 3. 

embedImagecenter("Imagecenter_1_1951",1951, "large");

Conclusioni
Le membrane in PTFE ad alta densità forniscono in maniera predicibile una rigenerazione della cresta sufficiente al posizionamento implantare. La open barrier membrane technique può essere un nuovo standard per la preservazione e l’aumento della cresta.

L'articolo è stato pubblicato su Implant Tribune Italian Edition, settembre 2015.

To post a reply please login or register
advertisement
advertisement