La presenza di difetti parodontali intraossei e il coinvolgimento delle biforcazioni nel processo di riassorbimento e perdita ossea successivo all’instaurarsi della Parodontite rappresentano delle condizioni anatomiche che il Clinico spesso si ritrova a prendere in considerazione di correggere dopo aver messo sotto controllo sia il biofilm batterico attraverso le manovre di terapia non chirurgica (debridment radicolare) sia i fattori di rischio sistemici e locali del Paziente.
Siamo nell’ambito delle cosiddette azioni o terapie correttive che fanno parte del piano di trattamento definitivo, rivolto a correggere appunto i difetti parodontali più profondi a livello dei quali la terapia di disinfezione non chirurgia non è stata in grado di portare alla chiusura della tasca, cioè al miglioramento del sondaggio fino ad un valore considerato mantenibile di 4 mm1.
Il momento della rivalutazione normalmente avviene in un periodo compreso tra i due e i tre mesi dopo la strumentazione: in questa fase il clinico valuta la prognosi dente a dente, cioè si chiede se una terapia chirurgica parodontale sia in grado di migliorare la prognosi di uno o più denti a livello dei quali permanga profondità di sondaggio alterata.
Laddove infatti in presenza di un difetto intraosseo il sondaggio superi i 5 mm o quando vi sia un interessamento della biforcazione di II grado la chirurgia rigenerativa può essere in grado di condurre alla chiusura della tasca, quindi al netto miglioramento della prognosi del dente2, 3.
Queste situazioni non trattate costituiscono un rischio per la progressione della malattia parodontale: per esempio la terapia di supporto parodontale condotta a intervalli regolari conduce comunque molto spesso all’aumento della probabilità di perdita del dente4.
In queste condizioni non si rivelano risolutivi né trattamenti di terapia non chirurgica ripetuti né l’abbinamento dei medesimi a terapie aggiuntive quali l’utilizzo di antibiotici locali, né l’utilizzo di terapia fotodinamica o laser5.
Le tecniche chirurgiche da prendere in considerazione per la correzione dei difetti residui si dividono in tecniche resettive o in tecniche rigenerative.
Le terapie chirurgiche resettive hanno lo scopo di ridare un’anatomia positiva al difetto presente annullando crateri nei difetti intraossei ed eliminando radici coinvolte nella patologia della forcazione6.
Le terapie rigenerative invece hanno l’ambizioso obiettivo di ottenere nuovo attacco, nuovo legamento, nuovo cemento e nuovo osso laddove questo sia andato perduto (AAP 1992). Recenti Consensus Conference attestano che gli obiettivi suddetti possono essere ottenuti attenendosi a rigidi protocolli chirurgici in pazienti non fumatori e con alti livelli di compliance7, 8.
Decidendo di attenersi a uno dei protocolli operativi volti a risolvere questi difetti possiamo prendere in considerazione queste opzioni:
- Eseguire un lembo conservativo cosiddetto open flap senza aggiungere alcun biomateriale;
- Utilizzare una tecnica di rigenerazione indotta con o senza aggiunta di biomateriale riempitivo;
- Utilizzare materiale riempitivo in abbinamento ad una membrana collagenata;
- Utilizzare una membrana a lento riassorbimento con collarino (Guidor Matrix Barrier).
Questa scelta avviene sulla base delle caratteristiche del difetto e solo dopo aver considerato nell’albero decisionale noto. Queste chirurgie devono essere eseguite da operatore esperto e con utilizzo di ottiche ingrandenti: in questi due casi è stato utilizzato un ingrandimento 4.5X9.
Nei due casi che qui presentiamo è stata fatta la selezione del Paziente come da protocollo e giunti alla decisione sulla tecnica di rigenerazione è stato deciso di procedere con l’utilizzo di membrana GUIDOR matrix barrier10.
Questa membrana di recente tornata a essere disponibile sul mercato e utilizzabile sia in chirurgia rigenerativa parodontale (GTR) che in chirurgia rigenerativa impiantare (GBR) è commercializzata in diversi formati, rettangolari per le necessità implantari e disegnata nelle configurazioni specifiche alla risoluzione dei differenti difetti parodontali per l’utilizzo in GTR.
Si tratta di un prodotto studiato a livello ingegneristico per la macro e micro struttura di superficie11; caratterizzano questa barriera infatti la presenza di un collarino a sigillo della parte coronale del difetto (Figg. 1, 2) da cui si dipartono le suture che daranno stabilizzazione chiudendosi ad anello attorno al dente al di sotto della giunzione smalto cemento e due superfici diversamente conformate, quella interna che verrà posizionata a contatto con il difetto e la radice del dente sulla quale si evidenziano dei piccoli spessori a effetto spacemaking e la superficie esterna che verrà posizionata a contatto con il lembo studiata con una specifica geometria in grado di garantirci una perfetta integrazione biologica con i tessuti molli (su tale superficie presente timbro S= soft tissue) (Figg. 3, 4).
Caso 1
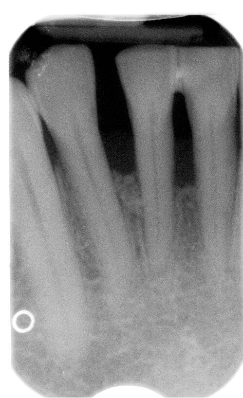
La Paziente è stata intercettata dall’Igienista per un sondaggio anomalo in sede 26 contestualmente alla diagnosi di ascesso parodontale presente in sede vestibolare all’elemento. Rilevata la radiografia periapicale, l’episodio ascessuale è stato trattato con terapia antibiotica sistemica (Amoxicillina e Acido Clavulanico 1x2x6). Successivamente alla risoluzione dell’episodio acuto la Paziente è stata rivalutata e sono stati compilati i dati parodontali del Baseline. La Paziente risultava sotto controllo per gli altri distretti in quanto già in terapia di supporto parodontale semestrale successivamente alla strumentazione non chirurgica. Il sito con sondaggio aumentato veniva sottoposto a debridment e si attendevano 6 settimane di guarigione dopo le quali è stata eseguita la rivalutazione del sito: permanendo una perdita di attacco rilevante a carico della zona di biforcazione vestibolare del 2.6 (Figg. 5a, 5b) si decideva per un intervento di chirurgia rigenerativa con Guidor Matrix Barrier.
Il difetto di biforcazione vestibolare è stato classificato di II grado per la componente orizzontale e di subclasse B per il grado di compromissione verticale (Fig. 5c)12.
La Paziente veniva premedicata con Zitromax 500 mg e Ibuprofene 400 mg. Eseguita anestesia loco regionale con articaina 1:100.000 con adrenalina, veniva sollevato un lembo muco periosteo a spessore totale con tecnica di preservazione di papilla e incisione intrasulculare (Fig. 5d). Il difetto in sede forcale è stato degranulato con ultrasuoni e curette manuali. Raggiunta la perfetta decontaminazione del sito è stata preparata la barriera GUIDOR matrix barrier partendo dalla configurazione specifica per forcazioni (MSL - Molar Straight Large) in modo da rendere corretta la dimensione mesio distale e apico coronale della membrana (Fig. 5e). Quando questo è necessario è opportuno rifilare con molta attenzione il collarino in modo da non rovinare l’inserimento della sutura: questa procedura va condotta con molta attenzione, dotati di ingrandimenti e strumenti da microchirurgia per evitare appunto di tagliare il limite della sutura. La barriera così adattata e conformata è stata suturata attorno al dente facendo in modo di inserirla da vestibolare a palatale a livello del punto di contatto e in sede intrasulculare. Il nodino di chiusura della sutura è stato nascosto in sede sottogengivale mesio vestibolare.
Il lembo è stato mobilizzato a spessore parziale nella sua componente apicale in modo da raggiungere senza tensioni la completa copertura sia del difetto che della membrana. Non si è reso necessario procedere alla disepitelizzazione delle papille lasciate in sede per ottenere ulteriore coronalizzazione del lembo. Il lembo stesso è stato suturato con due punti singoli in Prolene 7.0 a livello delle due papille distale e mesiale (Fig. 5f).
Il protocollo post operatorio farmacologico ha previsto la continuazione della somministrazione dell’antibioticoterapia con Zitromax 500 mg (1x1x3) e dell’ibuprofene 400 mg (1x3) al bisogno. Il protocollo comportamentale ha previsto astensione dallo spazzolamento vestibolare e palatale per 4 settimane, astensione dallo spazzolamento interprossimale per 6 settimane, controllo chimico della placca con collutorio a base di clorexidina 0,12% (GUM Paroex) per 6 settimane, dieta semiliquida e atraumatica per la prima settimana dopo la chirurgia e fino a controllo della completa chiusura del lembo per prima intenzione.
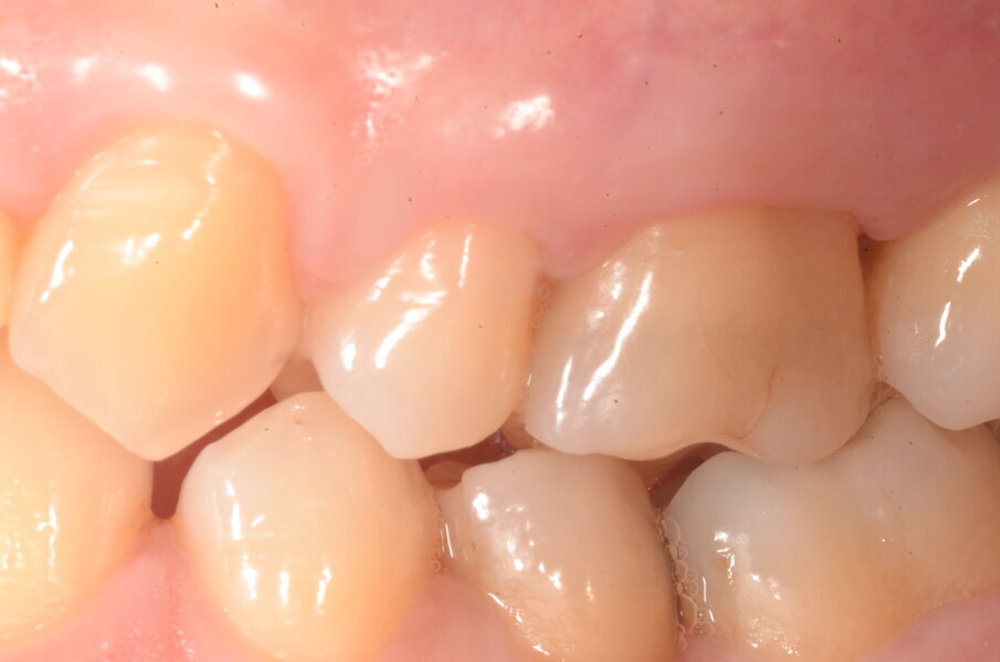
La guarigione è avvenuta senza complicanze e senza segni di deiscenza o esposizione della membrana (Fig. 5g) La membrana si è comportata con una ottima integrazione a livello dei tessuti molli: nessun segno di edema o di infiammazione è stato riscontrato nelle sedi vestibolari, palatali e interprossimali. Le suture sono state rimosse a 10 giorni e sono stati eseguiti controlli settimanali fino al raggiungimento della sesta settimana. Successivamente la Paziente è stata controllata ogni 15 giorno fino al terzo mese, quindi ogni mese fino al sesto mese. A sei mesi i nuovi valori di sondaggio, la nuova radiografia e le immagini cliniche sono state rilevate (Figg. 5h-5j). Alla Paziente sono state pianificate le sedute di terapia con scadenza quadrimestrale nel primo anno e semestrale nel secondo (Figg.5k-5n).
Sia il sondaggio che le immagini cliniche hanno già dal primo semestre rivelato la completa chiusura del difetto a livello della forcazione con una mineralizzazione del sito via via migliore con il trascorrere dei mesi e quindi dei controlli successivi. Ottima in ogni fase la stabilità del dente in arcata. Senza alcun dubbio questa terapia di rigenerazione è stata in grado di portarci ad un beneficio in termini di guarigione del difetto e quindi in termini di cambio drastico in senso positivo della prognosi di 2.6.
Caso 2
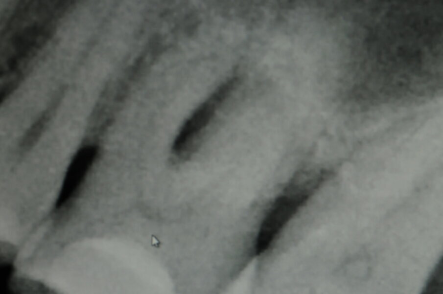
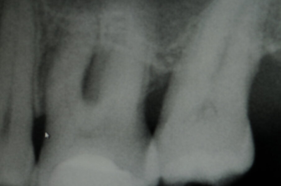
Il Paziente è stato intercettato in visita con diagnosi di parodontite cronica generalizzata da moderata a severa a seconda dei siti. È stata eseguita la terapia non chirurgica in regime di Full mouth disinfection in unica seduta seguita da controlli settimanali fino al raggiungimento della guarigione a 2 mesi dalla strumentazione. In tale fase sulla base della valutazione dei siti con PD>5 mm e dell’anatomia dei difetti infra-ossei o sovra ossei presenti viene normalmente discussa con il paziente la fase di chirurgia correttiva, se necessaria. Nel Paziente in questo caso residuava a livello di 41 un difetto infra-osseo (Figg. 6a-6c).
In queste situazioni risulta indicata una chirurgia di tipo rigenerativo in grado di modificare l’anatomia profonda del difetto, condurre a formazione di nuovo cemento, legamento, attacco e osso e quindi migliorando la prognosi dell’elemento dentario con risultati poi mantenibili, in presenza di buona compliance, nel 90% dei casi a 10 anni13.
È stato seguito l’albero decisionale di Cortellini e Tonetti:
- Paziente senza patologia sistemica;
- Paziente non fumatore14, 15;
- Dente vitale senza BoP16;
- Dente non Mobile e non in TdO;
- Distanza tra le radici > 2 mm: preservazione papilla MPPT;
- Numero di pareti interessate dal difetto: 2/3. Difetto non contenitivo;
- Scelta biomateriale: membrana GUIDOR matrix barrier;
- Tecnica di sutura.
Il Paziente veniva premedicato con Zitromax 500 mg e Ibuprofene 400 mg. Eseguita anestesia loco regionale con articaina 1:100.000 con adrenalina veniva sollevato un lembo muco periosteo a spessore totale con tecnica di preservazione di papilla MPPT (Cortellin i 1995) e incisione intrasulculare (Figg 6d, 6e). Il difetto in sede interprossimale e vestibolare è stato degranulato con ultrasuoni e curette manuale. Raggiunta la perfetta decontaminazione del sito è stata preparata la barriera GUIDOR matrix barrier partendo dalla configurazione specifica per difetti interprossimali (DC double curved) in modo da renderne corretta la dimensione mesio distale e apico coronale (Fig. 6f) .
Il lembo stesso è stato suturato con un punto a materassaio verticale in e-PTFE e con punti singoli in Prolene 7.0 a livello delle due papille distale e mesiale (Fig. 6g).
Il protocollo post operatorio è stato il medesimo del caso n.1.
La guarigione è avvenuta senza complicanze e senza segni di deiscenza o esposizione della membrana (Figg. 6h-l). Anche in questo secondo caso le caratteristiche di ottima integrazione della membrana si sono rese evidenti. Il caso è presentato con follow up a 6 mesi (Figg. 6m-6p), a breve avremo i valori e gli indici ad un anno.
Sia il sondaggio che le immagini cliniche hanno già dal primo semestre rivelato la completa chiusura del difetto a livello della zona interprossimale con una mineralizzazione del sito e il suo riempimento.
Discussione
La Rigenerazione parodontale è stata definita nel 1992 dalla AAP come la procedura atta a riprodurre e ricostituire una parte di parodonto andata perduta per funzione e architettura: ricostruire epitelio dentogengivale, tessuto connettivo, legamento e osso è un progetto ambizioso per un parodontologo ma rappresenta una freccia preziosa all’arco quando si voglia cambiare la prognosi di un elemento dentario con l’obiettivo di mantenerlo in arcata e in funzione, nel medio e lungo termine17, 18.
Fig. 1 - Packaging della membrana Guidor.
Fig. 2 - “S” presente sulla superficie esterna della membrana Guidor.
Fig. 3 - Micro struttura della superficie della membrana Guidor.
Fig.4 - Struttura a effetto space making della membrana.
Fig. 5a - Sondaggio iniziale biforcazione vestibolare di 2.6.
Fig. 5b - Radiografia iniziale 2.6.
Fig. 5c - Suddivisione grado interessamento verticale della biforcazione.
Fig. 5d - Difetto biforcazione vestibolare di 2.6.
Fig. 5e - Membrana Guidor suturata in situ.
Fig. 5f - Lembo suturato a copertura della membrana.
Fig. 5i - 6 mesi: sondaggio.
Fig. 5j - Radiografia a 6 mesi.
Fig. 5l - Radiografia ad 1 anno.
Fig. 5n - Radiografia a 2 anni.
Figg. 6a, 6b - Sondaggio iniziale del difetto.
Figg. 6a, 6b - Sondaggio iniziale del difetto.
Fig. 6c - Radiografia iniziale.
Fig. 6d - Lembo sollevato con preservazione papille.
Fig. 6e - Difetto infraosseo mesiale.
Fig. 6f - Membraba Guidor in situ.
Fig. 6g - Lembo suturato.
Figg. 6h-6j - Guarigione ad 1 settimana.
Figg. 6h-6j - Guarigione ad 1 settimana.
Figg. 6h-6j - Guarigione ad 1 settimana.
Figg. 6k-6m - Guarigione ad 1 mese.
Figg. 6k-6m - Guarigione ad 1 mese.
Figg. 6k-6m - Guarigione ad 1 mese.
Figg. 6n, 6o - Guarigione a 6 mesi.
Figg. 6n, 6o - Guarigione a 6 mesi.
Fig. 6p - Radiografia a 6 mesi.
Il concetto risale alla fine degli anni 80 quando Sture Nyman19-21 spiegò e dimostrò a livello sperimentale come si potesse raggiungere la cosiddetta Guided Tissue Regeneration. Alla base tre principi22: protezione del sito, necessità di spazio e capacità di ottenere stabilità del coagulo. Nessun successo infatti o successo ridotto per guarigioni senza protezione (quando la chiusura della ferita non avviene per prima intenzione), con collasso del lembo sul difetto o senza stabilizzazione e quindi maturazione del coagulo. Dal 1986 le tecniche chirurgiche alla base della chirurgia rigenerativa hanno avuto ampia evoluzione così come i biomateriali eventualmente utilizzabili sempre che l’anatomia del difetto lo richieda. Recentemente quando vi sia appunto la necessità di avere un effetto space making possiamo utilizzare la Guidor Matrix Barrier ovviamente dopo attenta selezione del caso. Trattasi di una membrana alloplastica riassorbibile al 100% studiata fin da inizio anni 90’ e recentemente presente sul mercato con qualche lieve modifica rispetto alla originale di una ventina di anni fa: differente la sutura e minimamente anche il collarino (previene la migrazione corono apicale delle cellule epiteliali) delle configurazioni parodontali (Figg. 1-4); sempre attuale e innovativa oltre che assolutamente performante per l’integrazione a livello dei tessuti invece la conformazione microscopica a doppio strato. L’utilizzo parodontale riservato ai difetti infra ossei interprossimali o distali, ai difetti di II grado delle biforcazioni molari (inferiori vestibolari e linguali; superiori vestibolari e più difficilmente mesiali e distali) e in chirurgia muco gengivale in alcuni casi particolari per la copertura di radice (associazione con difetti profondi-tecniche a tunnel - III classi Miller).
Recentemente un pool di esperti ha costituito una task force e si è riunito per definire le linee guida rispetto all’utilizzo della Guidor membrane nell’ambito dei tre principali campi di utilizzo (intraosseo-forcazione-recessione) e a breve sarà pubblicato il documento conclusivo utilizzabile (SAC) dall’operatore che voglia utilizzare la membrana nella propria pratica clinica quotidiana ai fini di selezionare correttamente il caso e capirne a priori le criticità e il grado di complessità. Ogni tecnica e ogni materiale infatti necessitano di una curva di apprendimento oltre che di conoscenze di base sul principio che ne definisce l’applicazione.
Bibliografia
- Matuliene G. et al. J Clin Periodontol. 2008 Aug;35(8):685-95.
- Nibali L. et al. 2016 J Clin Periodontol. 2016 Feb;43(2):156-66.
- Cortellini P. et al J Clin Periodontol. 2017 Jan;44(1):58-66.
- Papapanou PN et al. Periodontol 2000. 2000;22:8-21.
- Eickholz P et al. J Clin Periodontol. 2016;43(10):839-4.
- Cairo F et al. J Clin Periodontol. 2015 Apr;42(4):373-9.
- Avila-Ortiz G. et al. J Periodontol. 2015;86(2 Suppl):S108-30.
- Graetz C. et al. J Clin Periodontol. 2015;42(10):943-50.
- Cortellini P. et al. J Periodontol. 2001;72(4):559-69.
- Cortellini Pet al Periodontol 2000. 2015;68(1):282-307.
- Lundgren D. et al. Int J Periodontics Restorative Dent. 1994 Oct;14(5):436-49.
- Tarnow D. et al. J Periodontol. 1984 May;55(5):283-4.
- Cortellini P. et al. J Clin Periodontol. 1994 Oct;21(9):606-10.
- Tonetti MS et al. J Clin Periodontol. 2001 Jul;28(7):672-9.
- Tonetti MS et al. J Periodontol. 2005 Mar;76(3):341-50.
- Tonetti MS et al. 1996 J Clin Periodontol. 1996 Jun;23(6):548-56.
- Tonetti MS et al. J Clin Periodontol. 2004;31(9):770.
- Cortellini P. et al. 2017 J Clin Periodontol. 2017 Nov;44(11):1140-1144.
- Nyman S. et al. J Clin Periodontol. 1982 Jul;9(4):290-6.
- Nyman S. et al. J Periodontal Res. 1986 Sep;21(5):496-5.
- Nyman S. et al. J Clin Periodontol. 1986 Jul;13(6):604-16.
- Wikesjo UM et al. J Clin Periodontol. 1991 Jan;18(1):60-4.
Tag:
Nonostante il buon esito della terapia parodontale di fase 1 e 2, al momento della rivalutazione è frequente osservare la presenza di difetti intraossei ...
Sul tema Michele M. Figliuzzi, docente di Parodontologia all’Università Magna Graecia di Catanzaro ha tenuto una relazione all’XI ...
Le tecniche di rigenerazione tissutale guidata (GTR) sono fondate sul principio dell’esclusione cellulare selettiva: mediante la copertura del difetto...
La persistenza di difetti intraossei al termine della terapia parodontale iniziale rappresenta un fattore di rischio sito-specifico per la progressione ...
Nel mese di ottobre 2022 si presenta alla nostra osservazione R.E., donna, 50 anni, fumatrice di circa 10 sigarette al giorno, in apparente stato di buona ...
Introduzione
È stato osservato che le parodontiti provocano difetti che coinvolgono sia l’osso alveolare che i tessuti molli determinando ...
Le membrane convenzionali in PTFE espanso (ePTFE) sono state ampiamente usate per la rigenerazione guidata (GBR) e sono divenute uno standard negli anni ...
Le membrane convenzionali in PTFE espanso (ePTFE) sono state ampiamente usate per la rigenerazione guidata (GBR) e sono divenute uno standard negli anni ...
La rigenerazione parodontale (RP) costituisce per il professionista una strategia terapeutica più conservativa per il trattamento di difetti ...
Nobel Biocare è lieta di annunciare il lancio di creos xeno.protect. Questa nuova membrana in collagene inaugura quella che sarà parte di una ...
Live webinar
mer. 15 aprile 2026
20:00 (CET) Rome
Live webinar
gio. 16 aprile 2026
2:00 (CET) Rome
Linda Hecker MS, BSDH, RDH
Live webinar
gio. 16 aprile 2026
18:00 (CET) Rome
Dr. Pär-Olov Östman, Dr. Robert Gottlander DDS
Live webinar
ven. 17 aprile 2026
18:00 (CET) Rome
Live webinar
ven. 17 aprile 2026
19:00 (CET) Rome
Dr. Stuart Yeaton BDentSc, MOrth
Live webinar
lun. 20 aprile 2026
19:00 (CET) Rome
Dr. Alberto Monje DDS, MS, PhD
Live webinar
mer. 22 aprile 2026
17:00 (CET) Rome
MDT Andreas Chatzimpatzakis
To post a reply please login or register