Search Dental Tribune

Articoli

Filtro

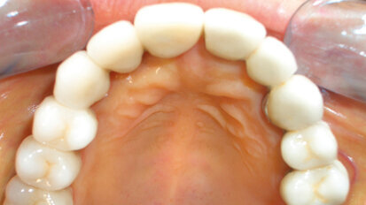
Attualità clinica della semeiotica occluso-posturale: protocollo diagnostico e caso clinico

La considerazione che molti disturbi del distretto cranio-cervicale possano dipendere dagli atteggiamenti posturali conseguenti a una occlusione non ...

salvare

L’UNIDI presenta il nuovo Expodental Meeting di Rimini

Milano & Rimini – Dopo l'interruzione di quest'anno, l’Expodental, il più importante Salone internazionale del dentale in Italia, si ...

salvare

A Norimberga una conferenza internazionale per presentare nuovi materiali del dentale

Norimberga, Germania – Gli ospedali universitari di Erlangen e di Ratisbona hanno annunciato che ospiteranno la 23a European Dental Materials ...

salvare

Attualità clinica della semeiotica occluso-posturale: protocollo diagnostico e caso clinico

La considerazione che molti disturbi del distretto cranio-cervicale possano dipendere dagli atteggiamenti posturali conseguenti a una occlusione non ...

salvare

Iniziative in tutto il mondo per la Giornata Mondiale della Salute Orale (WOHD) dedicata ad “Un sorriso per la vita” (Smile for life)

GINEVRA – Con l’approssimarsi della Giornata Mondiale della Salute Orale (WOHD), paesi di tutto il mondo si stanno preparando a modo loro a ...

salvare

Chirurgia estetica, oltre un milione gli interventi eseguiti in Italia nel 2014

Presentati al congresso Aicpe a Firenze i risultati dell’indagine eseguita tra i chirurghi plastici estetici su chirurgia e medicina estetica. ...

salvare
advertisement

Dentista accusato per la morte di un paziente dopo aver cercato di estrarre 20 denti

HARTFORD (Usa) – Un dentista di 45 anni del Connecticut è stato accusato del reato di omicidio colposo e di inquinamento delle prove per la ...

salvare

Ricerca: scoperto un legame fra problemi di capelli e carie dentali

Un comunicato dell’ADN Kronos riferisce che in occasione del 93esimo Meeting dell'International Association for Dental Research svoltosi a Boston ...

salvare

FDI presenta l’app WOHD poster per campagne personalizzate

Ginevra: Mancano ormai pochi giorni alla Giornata mondiale della salute orale (WOHD) di quest'anno e l’FDI mira a renderla più grande che mai. ...

salvare

Protagonista assoluto del Congresso SIdP? La parodontite, flagello che affligge 750 milioni di pazienti

La prima e, naturalmente, assai importante ottica in cui il XVII Congresso della SIdP – svoltosi al Palacongressi di Rimini dal 5 al 7 marzo – ...

salvare

Impianti dentali privi di impurità sono essenziali per il successo clinico

Colonia: Le superfici degli impianti dentali sono sottoposti a miglioramenti continui per una miglior e più rapida integrazione con l’osso. Tuttavia,...

salvare

Definito e polivalente il programma degli Amici di Brugg, 58a edizione

In un comunicato gli Amici di Brugg hanno messo a punto il programma della prossima edizione, la 58a che si terrà a Rimini dal 21 al 23 maggio. Dopo ...

salvare
advertisement

Per conseguire un “sorriso per la vita” l’FDI esorta alla prevenzione

Ginevra, Svizzera: Governi, Associazioni odontoiatriche nazionali, scuole, comunità e famiglie giocano un ruolo importante nell’attuare ...

salvare

All’ANDI di Catanzaro una giornata dell’“Odontoiatria in rosa per il sociale”

ANDI Catanzaro ha organizzato il 7 marzo il corso di aggiornamento “Odontoiatria in rosa per il sociale”, giornata che ha riassunto due temi ...

salvare

Operatività odontoiatrica o di chirurgia maxillo-facciale nel paziente epatopatico

Con il termine di epatopatia si intendono, in senso lato, una serie di condizioni patologiche riconducibili al danno, primariamente epatocitario e/o delle ...

salvare

Operatività odontoiatrica o di chirurgia maxillo-facciale nel paziente epatopatico

Con il termine di epatopatia si intendono, in senso lato, una serie di condizioni patologiche riconducibili al danno, primariamente epatocitario e/o delle ...

salvare
advertisement

Progetto Sironapoint

Le attuali condizioni di mercato impongo scelte strategiche per affrontare il futuro con maggiori e più efficaci prospettive. In particolare il ...

salvare

Progetto Sironapoint

Le attuali condizioni di mercato impongo scelte strategiche per affrontare il futuro con maggiori e più efficaci prospettive. In particolare il ...

salvare

TePe – 50 anni di pulizia interprossimale

1965 – TePe è un’azienda svedese che è stata fondata nel 1965 quando l’intagliatore Henning Eklund sviluppò un ...

salvare

Chirurgia orale e maxillo-facciale: Rivoluzionata dai modelli 3D stampati

Magonza, Germania: I dentisti dell‘University Medical Center presso l'Università Johannes Gutenberg utilizzano la nuova tecnologia di stampa ...

salvare
advertisement

TePe – 50 anni di pulizia interprossimale

1965 – TePe è un’azienda svedese che è stata fondata nel 1965 quando l’intagliatore Henning Eklund sviluppò un ...

salvare

Influenza del genere (maschio o femmina) e dell’obesità sulla masticazione e sul comportamento quando si mangia

In un interessante articolo pubblicato sul numero di Gennaio di Physiology and Behaviour, (Differences in eating behaviors and masticatory performances by ...

salvare
advertisement

Ceramill Sintron diventa grande

Sono trascorsi quasi esattamente due anni da quando Amann Girrbach ha presentato, all'IDS di Colonia, il metallo sinterizzato "Ceramill Sintron", ...

salvare

Ceramill Sintron diventa grande

Sono trascorsi quasi esattamente due anni da quando Amann Girrbach ha presentato, all'IDS di Colonia, il metallo sinterizzato "Ceramill Sintron", ...

salvare

Inaugurato a Milano lo Spring Meeting SIDO 2015, festeggiando i 4000 iscritti

Il Presidente della Società Italiana Di Ortodonzia G. Farronato apre, oggi venerdì 6 marzo, i lavori del tradizionale Spring Meeting dal ...

salvare

Tre quarti dei genitori non portano i bambini dal dentista al compimento del loro primo anno di vita

POMONA (Usa): Molti bambini Usa non sono stati sottoposti a loro primo controllo di salute orale all'età consigliata di dodici mesi. Lo afferma un ...

salvare
advertisement

Protesi dentale premium non metallica: Juvora approvata per corone e ponti dentali

Strutture realizzate in polimero ad elevate prestazioni PEEK ottengono l’approvazione CE estesa.

salvare

Protesi dentale premium non metallica: Juvora approvata per corone e ponti dentali

Strutture realizzate in polimero ad elevate prestazioni PEEK ottengono l’approvazione CE estesa.

salvare

Donne inclini a fratture ossee corrono un maggior rischio di malattia parodontale

CLEVELAND (Usa): Una nuova ricerca ha scoperto che le donne post-menopausa più esposte alle fratture, possono anche essere sottoposte ad un rischio ...

salvare

Henry Schein si è classificata nuovamente prima nel settore secondo l’elenco delle “aziende più stimate al mondo” stilato da fortune

Per il 14° anno è stata candidata come una delle aziende più stimate da FORTUNE.

salvare
advertisement
advertisement