Search Dental Tribune

Articoli

Filtro

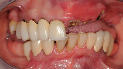
Protesi rimovibile: igiene, funzione, estetica

“Dottore vorrei di nuovo il mio sorriso”. Questa è sempre più spesso la domanda che il paziente edentulo rivolge al proprio ...

salvare

Protesi rimovibile: igiene, funzione, estetica

“Dottore vorrei di nuovo il mio sorriso”. Questa è sempre più spesso la domanda che il paziente edentulo rivolge al proprio ...

salvare

Sistema di finitura e modellazione interprossimale fitstrip

FitStrip, il sistema per la finitura interprossimale e la modellazione degli spazi interprossimali di Garrison, fornisce all’odontoiatra le strisce ...

salvare

Sistema di finitura e modellazione interprossimale fitstrip

FitStrip, il sistema per la finitura interprossimale e la modellazione degli spazi interprossimali di Garrison, fornisce all’odontoiatra le strisce ...

salvare

Il passaggio generazionale alla luce delle nuove normative

Nel 2016 ci sono stati grandi cambiamenti essendo state introdotte leggi che modificheranno la famiglia, n.76 del 20/05/2016 denominata legge ...

salvare

Il futuro lavorativo dei neolaureati? “Saranno collaboratori” dice un’indagine di CAO Roma

Dal Convegno “Emergenze mediche e gestione delle complicanze nello studio odontoiatrico” tenutosi l’8 ottobre all’Antonianum di Roma...

salvare
advertisement

L’ultimo Congresso della Sicoi a Milano tra emozioni e prospettive future

Di fronte a una platea gremita, il Presidente Jason Motta Jones ha inaugurato lo scorso 21 ottobre a Milano il Congresso internazionale della Società...

salvare

La parodontologia andrà in scena a IDS 2017

Colonia, Germania: A causa dei cambiamenti demografici e del crescente numero di pazienti anziani il ruolo della parodontologia sta diventando sempre ...

salvare

AIDI a fianco di ACFF nella battaglia per un “futuro libero dalla carie”

Malgrado la carie dentale sia una malattia prevenibile, in Italia quasi il 20 per cento dei bambini tra i 2 e i 5 anni ne ha esperienza e circa un quarto ...

salvare

Istituto Stomatologico Toscano, la passione per la conoscenza

La Fondazione Istituto Stomatologico Toscano è attiva da molti anni nella clinica, nella ricerca e nell’Alta Formazione in odontoiatria, in ...

salvare

I batteri orali, potenziali responsabili dell’emicrania

LA JOLLA, Calif., USA: il mal di testa, e l’emicrania in particolare, sono malattie ampiamente diffuse e hanno il potere di inficiare la ...

salvare

Il contenzioso odontoiatrico è in aumento? I preziosi consigli di due esperti

«Negli ultimi anni si è assistito ad un progressivo ed esponenziale aumento del contenzioso anche in campo odontoiatrico. Le branche ...

salvare
advertisement

Curare le gengive significa anche controllare il diabete

Il legame gengive - diabete. Numerose evidenze scientifiche hanno constatato la relazione bidirezionale di diabete e parodontite. Identificare i pazienti ...

salvare

Il dentifricio antiplacca può ridurre il rischio di patologie cardiache e infarti

BOCA RATON, Fla., USA: Gli esperti mondiali della salute sono concordi nel correlare le patologie infiammatorie della bocca a quelle cardiovascolari, ...

salvare

“Bugiardini” meno ermetici, più comprensibili?

In tempi di comunicazione anche i fogli illustrativi allegati ai farmaci volgarmente denominati “bugiardini” (nome che è tutto un ...

salvare

Curare le gengive significa anche controllare il diabete

Il legame gengive - diabete. Numerose evidenze scientifiche hanno constatato la relazione bidirezionale di diabete e parodontite. Identificare i pazienti ...

salvare
advertisement

Stati Uniti: il 50% dei pazienti riceve prescrizioni di antibiotici inadeguate

Il mondo del dentale, come la medicina in generale, è qualcosa di vivo, che non può prescindere dai mutamenti, rapidi e spesso imprevedibili, ...

salvare

Oltre lo Smile Design. Cefalometria 3D per la progettazione implanto-protesica

Lo studio del sorriso ideale è a oggi il trend che in odontoiatria sembra voler sbaragliare qualsiasi altra informazione diagnostica necessaria per ...

salvare

Oltre lo Smile Design. Cefalometria 3D per la progettazione implanto-protesica

Lo studio del sorriso ideale è a oggi il trend che in odontoiatria sembra voler sbaragliare qualsiasi altra informazione diagnostica necessaria per ...

salvare

Sostituti ossei eterologhi creos™, progettati dalla natura, sviluppati per i clinici

Il successo di un trattamento implantare si basa sulla disponibilità di una sufficiente quantità e qualità ossea. Ecco perché ...

salvare
advertisement

Sostituti ossei eterologhi creos™, progettati dalla natura, sviluppati per i clinici

Il successo di un trattamento implantare si basa sulla disponibilità di una sufficiente quantità e qualità ossea. Ecco perché ...

salvare

L’odontotecnica professione sanitaria? Maculan (ANTLO) commenta la posizione CAO

Il comunicato diramato al termine della recente Assemblea CAO è particolarmente duro nei confronti dei tentativi delle associazioni odontotecniche ...

salvare
advertisement

I miei denti sono importanti

“I denti sono importanti”, questa la risposta che si riceve quando si domanda alle persone dei loro denti. La maggior parte degli individui ...

salvare

Tiziano Testori al VI Simposio interdisciplinare di Odontoiatria a San Patrignano

A San Patrignano, sabato 5 novembre si tiene il VI Simposio di Odontoiatria dal titolo “Un moderno approccio interdisciplinare all’implantologia...

salvare

Odontoiatri: una “task force” per portare a casa la riforma del 348 Codice Penale e il DDL Lorenzin

C’è la titolare di un centro estetico condannata perché faceva sbiancamento dentale; c’è la catena a Torino che estrae ...

salvare

Intossicazione da amalgama con mercurio Rilevazione e rimozione sicura

L’amalgama, il materiale per otturazioni dentali che contiene mercurio, è stato usato per la prima volta nel 1830 negli Stati Uniti. In seguito...

salvare
advertisement

Dental School Torino: 8° edizione del Master in “Salute orale nelle comunità svantaggiate e nei Paesi a basso reddito”

L’ottava edizione del Master universitario di I livello in “Salute orale nelle comunità svantaggiate e nei Paesi a basso reddito” ...

salvare

L’alta qualità dei dentisti britannici

LONDRA, Gran Bretagna: Solo l’1% degli studi ispezionati dalla Care Quality Commission (CQC) tra il 2015 e il 2016 aveva bisogno di azioni correttive ...

salvare

Un centinaio di aziende accetta la sfida di esporre a Caserta al Colloquium “made in Sud”

Dal 20 al 22 ottobre, la zona industriale di Caserta ha ospitato il “Colloquium” iniziativa fieristica dentale che si svolge tradizionalmente a ...

salvare

Endodontisti e protesisti a confronto al XXIV Congresso nazionale AIE

Il Congresso Nazionale dell'Accademia Italiana di Endodonzia (AIE) giunto quest'anno alla XXIV edizione si è svolto a Pisa dal 6 all'8 Ottobre. In un...

salvare
advertisement
advertisement