Lo scopo di questo articolo è illustrare i vantaggi di un flusso digitale per la registrazione dei rapporti dei tessuti molli con le protesi provvisorie e definitive.
Sia che si tratti di impianti che di denti naturali, al fine di raggiungere un risultato estetico ottimale, occorre utilizzare i provvisori per condizionare e plasmare gradualmente gengive e mucose. Con le impronte tradizionali, queste informazioni non riescono ad essere registrate in maniera accurata a causa dell’istantanea tendenza dei tessuti a perdere la modellazione impartita dai provvisori, a meno che non si ricorra a soluzioni spesso complicate e dispendiose in termini di tempo. L’impronta ottica intraorale apre nuove possibilità per la registrazione precisa ed efficiente dei profili ottimizzati dal clinico e la loro replicazione da parte dell’odontotecnico nel manufatto definitivo. Questo articolo ne illustra i passaggi e le scansioni.
_Descrizione
In passato, le richieste estetiche dei pazienti erano meno elevate di quanto lo siano oggigiorno. Per soddisfarle, era sufficiente che l’odontoiatra e l’odontotecnico concentrassero i loro sforzi sul confezionamento di protesi che si integrassero nel cavo orale rispettando la biologia e dessero al paziente il ripristino della funzione masticatoria. Testimonianza di questo è il fatto che i pazienti accettavano l’utilizzo di oro e metallo anche nel settore estetico, allora limitato al gruppo anteriore da canino a canino. Oggi la cura e l’attenzione per l’estetica sta prendendo il sopravvento1, diventando talvolta l’unica ragione per sottoporsi ad un trattamento. Il paziente ha cambiato il modo di approcciarsi all’odontoiatra: la richiesta di ottenimento di un risultato altamente estetico sovrasta spesso qualunque altro aspetto. Lo sviluppo di nuovi materiali privi di metallo è andato di pari passo con questa tendenza e, allo stesso tempo, ha elevato le aspettative di un’integrazione estetica dei manufatti da parte sia dei professionisti che dei pazienti.
Attualmente, parlare di estetica implica dedicarsi non solo all’estetica bianca, ma anche all’estetica rosa. In un’epoca in cui la ridotta disponibilità economica per affrontare un trattamento limita le terapie ed il raggio di azione, l’efficienza in termini operativi permette al clinico di ridurre i costi (oggi costa più il tempo che i materiali in sé). Il digitale può essere di aiuto in questo, poiché permette di standardizzare i processi e acquisire facilmente tutti i dettagli testati nelle varie fasi cliniche.
In questo articolo, gli autori si concentrano sull’aiuto che la tecnologia digitale può dare nel catturare gli aspetti morfologici dei tessuti molli. Per fare questo, come ci hanno insegnato i nostri Maestri, bisogna considerare la provvisorizzazione come una delle fasi più importanti del trattamento protesico2, 3. Il provvisorio non deve essere considerato un “dispositivo temporaneo” che traghetta il paziente fino all’applicazione del manufatto definitivo, ma un “prototipo” messo a punto grazie ad un’accurata progettazione e sperimentazione sul campo. Deve essere il punto di partenza della produzione del dispositivo definitivo, che diventa realmente il suo duplicato in tutto e per tutto, ma con materiali più durevoli. Dal provvisorio è possibile ricavare informazioni sia sulla morfologia occlusale funzionalizzata che sulla forma dei tessuti molli circostanti. In questo sede, ci concentreremo sulla parte tissutale, rimandando l’aspetto anatomico-funzionale ad un approfondimento successivo.
Si devono analizzare due possibili scenari: protesi su impianti e protesi su denti naturali.
_Condizionamento tissutale con impianti
Una delle funzioni di un provvisorio su impianti è di modellare i tessuti perimplantari generando un profilo di emergenza che mimi la sagoma dei denti naturali. Spesso, il raggiungimento di questo obiettivo richiede un notevole dispendio di tempo da parte del clinico il quale deve attendere la risposta dei tessuti al cambiamento della sagoma di ciò che viene inserito all’interno del tunnel mucoso. È importante che questi profili vengano trasferiti all’odontotecnico per essere riprodotti nella protesi definitiva (Fig. 1). Quando si percorre un percorso analogico in cui viene rilevata un’impronta di precisione tradizionale, bisogna far sì che i tessuti non collassino dopo la rimozione del provvisorio. Per questo motivo, è pratica comune costruire dei pick-up personalizzati4, 5 che riproducono la forma della porzione intra-mucosa del provvisorio.
Uno dei metodi più rapidi per la loro realizzazione (circa 10 minuti di tempo) prevede di collegare degli analoghi da laboratorio ai provvisori (Fig. 2), inserirli in un dappen con del materiale da impronta e aspettare l’indurimento così da poterli rimuovere ed ottenere uno spazio sagomato sullo stampo dei profili di emergenza che hanno condizionato i tessuti. A questo punto, è sufficiente collegare dei pick-up, iniettare della resina autoindurente, aspettare la sua polimerizzazione e si otterranno così dei pick-up personalizzati (Fig. 3) con cui rilevare un’impronta classica. Se questo non venisse fatto, l’odontotecnico dovrà “inventare” il profilo svasando arbitrariamente il tunnel mucoso in gesso. Quando il clinico proverà la protesi in bocca, rischierà di avere una compressione eccessiva o mancante rispetto al provvisorio.
È possibile ottenere lo stesso risultato in maniera molto più rapida con l’utilizzo di uno scanner intraorale6. Infatti, il clinico, per trasferire le informazioni dei profili di emergenza, non si deve preoccupare di personalizzare gli scanbody (gli equivalenti in digitale dei pick-up da impronta). Rileverà l’impronta dell’arcata dopo aver collegato gli scanbody cosciente del fatto che i tessuti del tunnel sono collassati (Fig. 4). Successivamente, dopo aver collegato il provvisorio dell’impianto ad un analogo da laboratorio, acquisisce digitalmente il suo contorno con lo stesso scanner intraorale (Fig. 5) ottenendo un file (Fig. 6) che contiene anche le informazioni sull’anatomia occlusale funzionalizzata. Infine, si rileva una scansione dei provvisori inseriti in bocca (Fig. 7). Il tecnico, unendo tutti questi file (Fig. 8), genera un modello virtuale con molte più informazioni di quante non si evincano da un modello generato con il percorso tradizionale. Per il tecnico diventa così semplice “copiare” l’anatomia del provvisorio. Infatti, nascondendo dal progetto gli scanbody, può vedere facilmente le informazioni della morfologia (Fig. 9) e dei tessuti condizionati (Fig. 10). Inoltre, se il tecnico ha bisogno di stampare dei modelli per la ceramizzazione delle strutture protesiche, è possibile creare un modello con i tessuti dislocati. Questo è utile soprattutto nei casi estetici (Fig. 11).
Finalizzare una protesi su un modello che riproduce l’esatta forma della gengiva del paziente (Figg. 12a-c) permette di eliminare l’arbitrarietà e la soggettività dal processo di trasformazione del provvisorio in definitivo (Figg. 13, 14).
_Condizionamento tissutale con denti
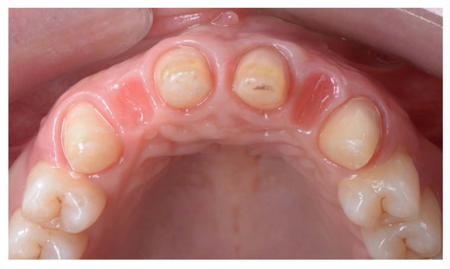
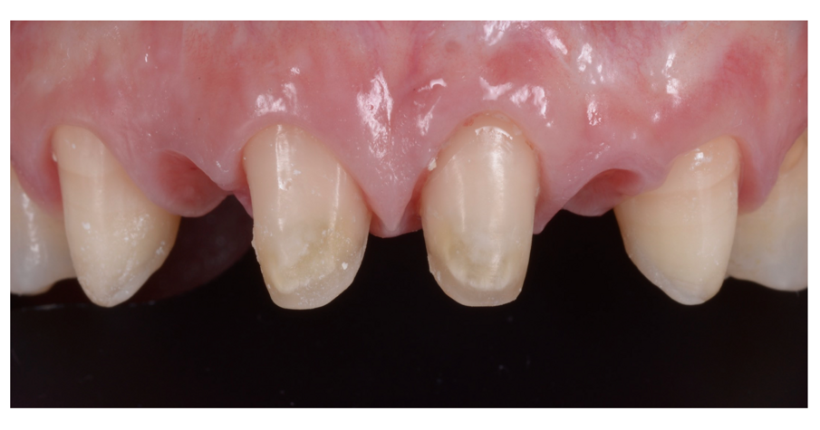
Un altro enorme vantaggio del flusso digitale riguarda la gestione dei tessuti molli attorno ai denti naturali. Analogamente a quanto fatto con gli impianti, è utile fornire al tecnico informazioni sul rapporto della gengiva con gli elementi provvisori. In questo caso, però, il clinico, suo malgrado, crea un problema che dovrà correggere successivamente. Infatti, per rilevare l’oltre preparazione, ha la necessità di inserire dei fili retrattori che dislocano i tessuti e permettono al materiale da impronta di catturare la porzione intrasulculare del dente. Di conseguenza, un’impronta di precisione tradizionale registra una posizione della gengiva libera significativamente differente dalla realtà. L’odontotecnico, poi, nel realizzare il modello, elimina le informazioni sui tessuti per esporre il margine di preparazione e seziona il modello per avere dei monconi sfilabili. Anche il modello di seconda colatura è inadeguato per analizzare i tessuti, in quanto sono dislocati. Spesso, questo porta a dover prendere un’impronta di posizione delle strutture inserite per avere informazioni sul livello di compressione e di sostegno dei tessuti da parte dei restauri prima di finalizzare la ceramizzazione. La rilevazione di un’impronta dei provvisori in situ dà al tecnico informazioni sulla morfologia extragengivale, ma non della parte intrasulculare o sotto gli elementi intermedi di ponte. Oltretutto, il trasferimento al modello master di queste informazioni tramite mascherine non sempre è preciso e di facile esecuzione.
Quando si sottopone un paziente con evidenti asimmetrie a livello dentale e gengivale (Fig. 15) ad un intervento di chirurgia mucogengivale, bisogna porre attenzione alla gestione delle forme dei provvisori sia a livello anatomico-funzionale che di sostegno dei tessuti (Fig. 16). Dopo aver atteso i lunghi tempi di maturazione della gengiva, gestire i profili di emergenza dei provvisori in modo scorretto potrebbe rendere vano ogni sforzo effettuato. Bisogna, quindi, replicare ogni dettaglio della protesi che ha permesso di dare quella forma ai tessuti.
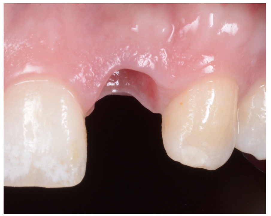
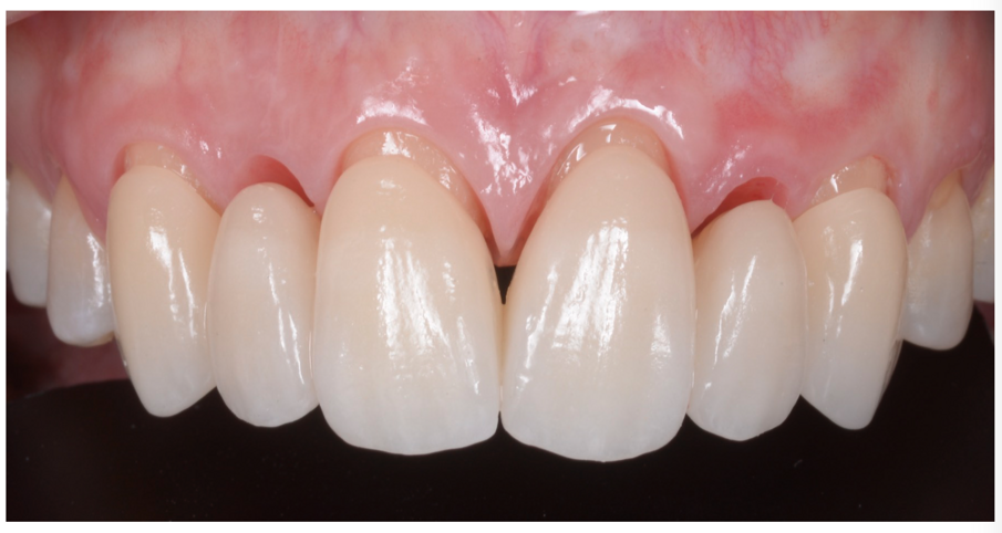
Appena si rimuove un ponte provvisorio (Fig. 17), i tessuti descrivono perfettamente l’andamento degli elementi intermedi ed il sostegno che effettuavano. Per rilevare l’impronta definitiva, si dovrà necessariamente procedere all’inserimento delle corde di retrazione (Fig. 18), obbligatorie anche per effettuare una scansione intraorale. È osservazione comune come, nel tempo trascorso per detergere i monconi ed inserire i fili di retrazione, la gengiva si collassi modificando la propria forma (Figg. 19, 20). Ma effettuando anche una scansione dei provvisori in situ (Fig. 21) e una extraorale della loro forma a 360° (Fig. 22), il tecnico può sovrapporre tutte queste informazioni in un unico file e dare vita ad un progetto per la realizzazione di una protesi definitiva in cui ha tutti gli elementi per copiare, ottimizzare e migliorare il provvisorio. Per capire l’entità delle modifiche tissutali che avvengono spontaneamente, è sufficiente riposizionare il provvisorio sui monconi e notare come non si alloggi più a fondo corsa (Fig. 23).
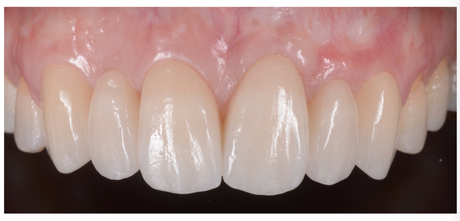
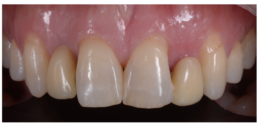
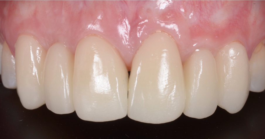
Occorre far stringere un rullo di cotone al paziente per qualche minuto ed attendere il condizionamento dei tessuti per poterlo cementare correttamente. Quando l’odontotecnico ha analizzato la sezione della sovrapposizione delle scansioni (Fig. 24) di questo caso clinico, si è reso conto che l’elemento intermedio del 2.2 crea un condizionamento di ben 1,72 mm! Analogamente a quanto visto con gli impianti, si può stampare un modello fedele all’andamento dei tessuti del paziente, anche con i monconi sfilabili (Figg. 25a, b), per la finalizzazione del lavoro (Figg. 26a, 26b). Grazie all’acquisizione di tutti questi dati, possiamo essere certi che l’adattamento dei due ponti definitivi rispetta la situazione sviluppata nella fase dei provvisori (Figg. 27-29).
Fig. 1_Tessuti condizionati dal provvisorio.
Fig. 2_Provvisorio funzionalizzato collegato agli analoghi da laboratorio.
Fig. 3_Fasi di realizzazione di cappette d’impronta (pick-up) personalizzate: a) dappen con materiale da impronta; b) inserimento del provvisorio nel dappen; c) rimozione del provvisorio dopo che il materiale si è polimerizzato; d) collegamento del pick-up; e) iniezione della resina autoindurente; f) rimozione dei pick-up personalizzati dagli analoghi.
Fig. 4_Scansione intraorale: tunnel mucoso ormai collassato.
Fig. 5_Acquisizione extraorale della forma del provvisorio collegato agli analoghi da laboratorio.
Fig. 6_File STL del provvisorio.
Fig. 7_Scansione dei provvisori in bocca.
Fig. 8_File CAD derivato dall’unione delle varie scansioni.
Fig. 9_File CAD di lavoro con in trasparenza le anatomie dei provvisori.
Fig. 10_File CAD di lavoro che replica il condizionamento tissutale creato dai provvisori.
Fig. 11_Condizionamento del tunnel mucoso in un caso estetico.
Figg. 12a-c_Corrispondenza di condizionamento tissutale tra bocca e modello stampato.
Fig. 13_Ceramizzazione finale su modello.
Fig. 14_Profilo di emergenza del provvisorio (a) replicato nel definitivo (b).
Fig. 15_Paziente da trattare con evidenti disarmonie tissutali e dentali.
Fig. 16_Provvisorio in situ dopo chirurgia mucogengivale.
Fig. 17_Ponte provvisorio appena rimosso.
Fig. 18_Dopo detersione dei monconi ed inserimento dei fili retrattori, i tessuti sono già collassati.
Fig. 19_Collasso dei tessuti nella scansione finale in visione frontale.
Fig. 20_Collasso dei tessuti nella scansione finale in visione occlusale.
Fig. 21_Scansione dei provvisori in situ.
Fig. 22_Scansione extraorale dei provvisori a 360º.
Fig. 23_Dopo il collasso dei tessuti, il provvisorio non può essere alloggiato a fondo corsa.
Fig. 24_Sezione della sovrapposizione delle scansioni a livello del 2.2. Il provvisorio crea un condizionamento di 1,72 mm.
Figg. 25a, b_ Modello stampato con condizionamento tissutale e monconi sfilabili.
Fig. 26a_Finalizzazione del lavoro sul modello.
Fig. 26b_Finalizzazione del lavoro sul modello.
Fig. 27_Visione occlusale dei tessuti dopo la rimozione del provvisorio.
Fig. 28_Inserimento del lavoro definitivo.
Fig. 29_Lavoro finito con condizionamento congruente al provvisorio.
_Bibliografia
1. Alshiddi et al Patient’s perception on the aesthetic outcome of anterior fixed prosthetic treatment. J Contemp Dent Pract. 2015 Nov 1;16(11):845-9.
2. Donovan et al. Diagnostic Provisional Restorations in Restorative Dentistry: The Blueprint for Success. J Can Dent Assoc 1999; 65:272-5.
3. Federick DR. The provisional fixed partial denture. J Prosthet Dent. 1975 Nov;34(5):520-6.
4. Kenneth F. Hinds - Custom Impression Coping for an Exact Registration of the Healed Tissue in the Esthetic Implant Restoration. Int J Periadonf Rest Denf 1997; 17:585-591.
5. Papadopoulos et al. Transferring the Emergence Profile from the Provisional to the Final Restoration. J Esthet Restor Dent 26:154-161, 2014.
6. Monaco et al. A fully digital approach to replicate peri-implant soft tissue contours and emergence profile in the esthetic zone Clin. Oral Impl. Res. 27, 2016 / 1511–1514.
L'articolo è stato pubblicato su Cad Cam international magazine of digital dentistry 3/19 Italian Edition.
Tag:
Il dott. Gregorio Tortora condivide la sua esperienza clinica nella gestione delle patologie parodontali, soffermandosi in particolare sulle recessioni ...
Negli ultimi decenni gli impianti hanno conquistato una parte considerevole del mercato odontoiatrico e ci hanno permesso di poter offrire numerose ...
Gli obiettivi principali di ogni trattamento professionale sono l’arresto della malattia in corso e il mantenimento della salute orale e della sua ...
Medit introduce una rivoluzionaria soluzione per la protesi digitale “da scansione a progettazione” che consente ai dentisti di progettare corone e ...
Come costruire un Digital Team efficiente e di successo in grado di fornire soluzioni digitali estetiche e personalizzate integrando management gestionale e...
Lo scanner intraorale è un dispositivo usato per la presa delle impronte dentali e implantari ed è composto da una telecamera, da un computer e da un ...
Scopo di questo lavoro è presentare il trattamento di un caso di edentulia totale nell’arcata superiore. Il caso è stato finalizzato ...
Scopo di questo lavoro è presentare il trattamento di un caso di edentulia totale nell’arcata superiore. Il caso è stato finalizzato ...
Le malattie parodontali possono causare gravi invalidità quali la perdita o la riduzione della funzionalità dell’apparato ...
ROMA, 24 Maggio 2016 ‒ È ampiamente documentato in implantologia che l’osso crestale si riassorbe dopo l’estrazione o la perdita di un ...
Dr. Bruce McFarlane Certified Specialist in Orthodontics Fellow: Royal College of Dentists of Canada Diplomate: American Board of Orthodontics
Live webinar
mer. 15 aprile 2026
20:00 (CET) Rome
Live webinar
gio. 16 aprile 2026
2:00 (CET) Rome
Linda Hecker MS, BSDH, RDH
Live webinar
gio. 16 aprile 2026
18:00 (CET) Rome
Dr. Pär-Olov Östman, Dr. Robert Gottlander DDS
Live webinar
ven. 17 aprile 2026
18:00 (CET) Rome
Live webinar
ven. 17 aprile 2026
19:00 (CET) Rome
Dr. Stuart Yeaton BDentSc, MOrth
Live webinar
lun. 20 aprile 2026
19:00 (CET) Rome
Dr. Alberto Monje DDS, MS, PhD
To post a reply please login or register