La perdita dei denti innesca un processo di riassorbimento al livello della cresta alveolare che è diverso da individuo a individuo.
Il riassorbimento dell’osso alveolare e progressivamente anche dell’osso basale, è influenzato dalla somma di diversi fattori, sia locali, quali la malattia parodontale, i traumi e gli interventi chirurgici, sia sistemici. Pertanto, la riabilitazione implantoprotesica rappresenta spesso una sfida che implica una preparazione accurata del sito implantare al fine di ottenere risultati estetici e funzionali ottimali. Per ottenere questo la ricerca ha messo a punto diversi protocolli che utilizzano materiali autologhi, eterologhi o misti.
Il chirurgo orale deve tenere conto che la formazione di tessuto osseo richiede tre ingredienti principali:
- 1. il segnale osteoinduttivo;
- 2. un substrato che funga “scaffold” e da sistema per la liberazione del segnale;
- 3. un pool di cellule mesenchimali indifferenziate in grado di ricevere questo segnale e di seguito differenziarsi in cellule osteoblastiche.
Questo tipo di ingegneria tissutale, inizia con la trasduzione del segnale cellulare, completa questa triade ed evolve in una rigenerazione della cresta alveolare dopo circa 9 mesi fino a 1 anno a seconda dell’età del paziente. Tuttavia solo una certa percentuale dell’innesto rappresenta un osso vitale, il volume residuo è costituito da un materiale non vitale dell’innesto. È stato mostrato che l’aggiunta di alcuni fattori di crescita come rhPDGF o plasma ricco di piastrine (PRP) dentro l’alveolo avrà un ruolo sulla modulazione del segnale. L’aggiunta di questi elementi è in grado di
- 1. Aumentare la concentrazione locale dei fattori di crescita, la quale può ridurre il tempo necessario alla completa rigenerazione ossea;
- 2. Produrre un osso più denso.
Il plasma ricco di piastrine autologo rappresenta un valido ausilio per l’accelerazione dei processi riparativi e rigenerazione dei tessuti duri e molli da usarsi nell’ambito della chirurgia orale minor. I vantaggi del PRP in chirurgia sono diversi:
- accelerazione del processo di rigenerazione ossea di 1,5-2 volte rispetto ai controlli;
- aumento della densità dell’osso rigenerato del 25% rispetto ai controlli a 4 mesi;
- l’accelerazione dei processi di guarigione dei tessuti molli;
- la diminuzione degli effetti collaterali conseguenti a chirurgia dei tessuti molli, quali edema e dolore.
Tutto questo processo avviene senza rischi di trasmissione di malattie e/o della comparsa di reazioni immunogeniche.
Il punto di forza di questo preparato è la presenza abbondante di growth factors che si trovano all’interno dei granuli alfa endopiastrinici. I fattori di crescita a loro volta agiscono come richiami sulle cellule staminali. La ricerca di prodotti simili al PRP che contengano un maggior numero di fattori di crescita è in continua evoluzione.
In un processo di guarigione normale l’attivazione/aggregazione delle piastrine innesca il processo di liberazione dei granuli in essi contenuti. I fattori di crescita ora liberi nell’ambiente esercitano un effetto:
- Paracrino: caratterizzato dalla stimolazione delle cellule ossee vicine a proliferare e sintetizzare le proteine della matrice ossea;
- Autocrino: caratterizzato dalla sintesi da parte degli stessi osteoblasti dei fattori di crescita che li autostimolano ad aumentare l’attività metabolica;
È da ricordare come la rigenerazione dei tessuti ossei avviene attraverso due meccanismi:
- 1. crescita di osteoblasti all’interno di un minus o lungo una superficie inerte di un materiale con successiva deposizione di tessuto mineralizzato;
- 2. reclutamento di cellule mesenchimali totipotenti indotte a differenziarsi verso la linea osteoblastica.
Le fasi di guarigione iniziali sono cruciali per questa osteogenesi, infatti la cascata di eventi che avviene determina la differenziazione verso una linea cellulare o l’altra.
Immediatamente all’attivazione delle piastrine del trombo bianco si liberano nel sito PDGF e TGFbeta che stimolano la maturazione delle cellule osteoprogenitrici verso la linea osteoblastica.
Nelle 48 ore successive alla formazione del coagulo, gli osteoblasti endostali liberano BMP (proteine osse morfogenetiche) le quali inducono le cellule mesenchimali a differenziarsi verso la linea osteoblastica.
Dopo 10-12 giorni i fattori di crescita quali TGF beta, FGF, IGF, VEGF iniziano a essere sintetizzati dagli osteoblasti al fine di mantenere un livello di cellule capaci di produrre matrice nel tessuto di riparazione, mentre l’IGF stimola la formazione di collagene di tipo 1 e il VEGF stimola la neoangiogenesi.
Il concentrato piastrinico, origine ed evoluzione dei nuovi derivati
Nel corso degli anni sono stati proposti numerosi protocolli realizzativi per il PRP. Le ricerche condotte a metà degli anni ̓90 da Robert E. Marx prevedevano un’applicazione esclusivamente ospedaliera con una quantità di sangue prelevata compresa tra i 400 e 500 ml. Quindi la separazione veniva eseguita durante l’intervento di chirurgia con un procedimento di plasmaferesi per ottenere un prodotto ricco di fibrina seguito dalla re infusione di altri componenti del sangue.
Anche Lowery e coll. nel 1999 proponevano con 150 ml di sangue una doppia centrifugazione e ultrafiltrazione di concentrato piastrinico in modo da ottenere un’ulteriore riduzione del volume del 60% dovuta all’eliminazione di acqua e sali con preservazione delle molecole a più alto peso molecolare (proteine, fattori di crescita e fibrinogeno). In questo modo era possibile ottenere una concentrazione di piastrine e fibrina da 6 a 10 volte maggiore rispetto ai livelli basali del paziente.
Via via negli anni sono state messe a punto tecniche meno complesse che permettessero un uso anche per la chirurgia ambulatoriale e con prelievi di sangue contenuti. Le varie tecniche di prelievo si differenziano per:
a. tipo di anticoagulante;
b. parametri di centrifugazione;
c. metodo di attivazione.
a) Tipo di anticoagulante: in laboratorio analisi si usano delle sostanze miscelate con il sangue per impedirne la coagulazione in modo reversibile così da consentirne la separazione delle fasi. La sostanza maggiormente impiegata è il sodio citrato. Il composto chela, il calcio blocca la coagulazione in maniera analoga all’acido etilendiamminotetra-acetico (EDTA). L’uso di questo anticoagulante è invece controindicato in quanto danneggia la membrana piastrinica impedendo il normale processo di esocitosi dei granuli. Una volta preparato il PRP sarà sufficiente nuovamente aggiungere a esso il Calcio in concentrazione ottimale al fine di consentire il ripristino della coagulazione.
b) Parametri di centrifugazione: la centrifugazione è una procedura finalizzata alla rapida separazione del sangue previamente trattato con sostanze anticoagulanti. La separazione dei costituenti del sangue è dovuta alla diversa forza centrifuga a cui essi sono sottoposti, la quale è direttamente proporzionale alla massa del corpo in rotazione. Al termine della centrifugazione nella colonna di sangue saranno evidenti tre strati: il piu profondo di colore rosso costituito dalle emazie che forma il 45% del totale. Uno strato intermedio formato da cellule della serie bianca detto buffy coat, che forma l’1% del totale. Lo strato superficiale o supernatante di colore giallastro ed è costituito dal plasma formando il 54% del totale. In quest’ultimo strato ci sono le piastrine la cui concentrazione e volume seguono un volume crescente dalla superficie del liquido fino al buffy coat.
c) Accelerazione centrifuga: considerando che l’accelerazione è data da a=v2/r dove V è il modulo della velocita tangenziale ed r la distanza dal centro di rotazione si ottiene un valore di accelerazione espresso in m/s2. Sebbene in letteratura sia spesso riportata la velocita di rotazione senza considerare il raggio dell’apparecchio, il parametro di velocità è variabile tra i 200 rpm e i 5600rpm.
d) Tempo di centrifuga: questo parametro dipende dal valore dell’accelerazione della centrifuga adottato per la centrifugazione e dalla massa di sangue da centrifugare. A parità di massa e lunghezza della provetta l’accelerazione è direttamente proporzionale all’inverso del quadrato del tempo.
e) Numero di centrifugazioni: tra i vari protocolli molto interessante è quello proposto da Pagni e Vannucci nel 2001 che consente di ottenere con volumi di sangue contenuti in soli 20 minuti dal prelievo una concentrazione piastrinica pari al 300% rispetto a quella basale. Nel 1999 Anitua ha proposto la monocentrifugazione a bassa velocità 1400 rpm per 7 minuti a 280 g dimostrando che con questa metodica è possibile ottenere, con prelievi di volume ridotto, dei concentrati piastrinici adeguati. L’autore suddivide il sovranatante in tre frazioni che chiama:
- PPGF: plasma poor in growth factors;
- PGF: plasma with growth factors;
- PRGF: plasma rich in growth factors;
Ad oggi la tecnologia ha consentito, seguendo quelli che sono i principi del PRP, di ottenere alcune evoluzioni del prodotto quali il CGF (concentrated growth factors).
Il CGF è stato sviluppato da Sacco et al nel 2006. È prodotto attraverso la centrifugazione del sangue con una centrifuga speciale simile a quella del “gemello” PRP, ma con alcune variazioni circa i parametri che abbiamo menzionato sopra (Medifuge, Silfradent srl, Italy). Inoltre la velocità diversa di centrifugazione consente l’isolamento di una maggiore quantità di fattori di crescita e di fibrina. Studi di Coetzee et al., 2005; Dohan Ehrenfest et al., 2009; Rutkowski et al., 2008 hanno dimostrato una maggior capacità di rigenerazione del CGF rispetto ad altri derivati piastrinici.
La presenza abbondante di fibrina consente da un lato la ritenzione di piastrine leucociti e fattori di crescita e dall’altro la presenza di uno scaffold per la migrazione cellulare. Infine l’assenza di una attivazione del prodotto ne rappresenta un punto in favore.
Principi per l’uso dei derivati piastrinici in chirurgia orale
Diversi studi hanno indicato che ogni derivato piastrinico in chirurgia orale da risultati migliori se applicato secondo alcuni principi:
a. Il prelievo del sangue del paziente deve essere eseguito immediatamente prima dell’intervento chirurgico. Le piastrine sono strutture molto delicate che risentono delle variazioni chimico fisiche dell’ambiente circostante andando incontro a degranulazione e quindi a perdita dei fattori di crescita contenuti all’interno dei granuli.
b. Il concentrato piastrinico deve essere attivato direttamente al tavolo operatorio in quanto con l’inizio del processo di gelificazioone le piastrine si aggregano e vanno incontro a de granulazione.
c. Il concentrato deve essere usato come matrice legante con osso del paziente per ottenere migliori risultati clinici.
d. Il paziente non deve assumere prima dell’intervento e nelle sei ore successive nessun antinfiammatorio non steroideo perche questo altererebbe l’agggregazione piastrinica.
Uso del CGF nel rialzo di seno
Il CGF rappresenta un valido ausilio nel velocizzare i processi di rigenerazione ossea e dei tessuti molli operati. Il suo uso è stato proposto in varie situazioni che vanno dal riempimento di alveoli postestrattivi, al riempimento di cavità dopo cistectomie, o nel rialzo di seno. Questo può essere usato da solo o assieme all’osso particolato autologo o ai biomateriali. Alcuni autori suggeriscono di bagnare la superficie degli impianti con CGF al fine di accelerarne l’osteointegrazione. In questo breve case report è stato proposto l’utilizzo del CGF in combinazione con del biomaterale nella tecnica del rialzo di seno. Alla luce delle considerazioni sopramenzionate circa l’attività dei fattori di crescita noi crediamo come una incorporazione del CGF nel materiale da innesto sia un enorme vantaggio per incrementare l’attivita osteoconduttiva dell’innesto stesso.
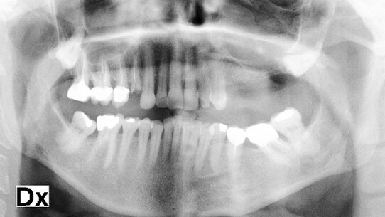
Come si evidenzia dalla Fig. 1 il paziente di sesso femminile (49 anni di età) in buone condizioni di salute generale, necessitava di una procedura di grande rialzo del seno mascellare per posizionamento di impianti nel settore diatorico sinistro. È stato utilizzato per questo caso un apparecchio di centrifuga del sangue (Medifuge, Silfradent, S. Sofia, Italia) che ha permesso di ottenere il concentrato ricco di fattori di crescita (Figg. 2, 3). La letteratura ha evidenziato come questo strumento differentemente da altri consente l’ottenimento di un CGF con una concentrazione di fattori di crescita nel buffy coat che supera del 300% i risultati ottenuti fino a oggi dalle sistematiche più evolute presenti sul mercato (Rondella et al 2010). Inoltre usando l’apparecchio Medifuge, è possibile usare tutte le fasi della separazione ematica, parti rosse comprese, che rappresenta un’innovazione rispetto alle metodiche tradizionali. L’altra caratteristica importante del nostro intervento è stato il fatto che il concentrato è stato miscelato con il biomateriale all’interno della specifica centrifuga (Silfradent, S. Sofia, Italia) in modo da ottenere un composto ben amalgamato in cui i fattori di crescita fossero equamente distribuiti con il biomateriale (Fig. 4). Ciò ha consentito di procedere al rialzo di seno ottenendo quindi risultati ottimali (Figg. 5, 6).
Conclusioni
Sebbene la letteratura sia ancora incerta sui protocolli clinici di utilizzo del concentrato piastrinico, a oggi questo strumento sembra un valido aiuto nel processo di riparazione ossea. Considerando il grande ruolo che hanno i fattori di crescita sui processi di differenziazione cellulare l’utilizzo del concentrato diverrà sempre più rilevante rispetto ad altri preparati. In particolare a livello del tessuto osseo i fattori di crescita hanno attività mitogena sulle cellule staminali e ne possono influenzare la differenziazione verso la linea osteoblastica piuttosto che altra. In aggiunta possono indurre l’angiogenesi e la deposizione di collagene. Per questo motivo è importante controllare il rilascio di queste sostanze che sono contenute nei granuli alfa delle piastrine in modo da poter applicare in forma concentrata nel sito. Nella nostra esperienza si evidenzia l’uso del CGF rispetto agli altri preparati, dal momento questo presenta molti vantaggi:
- Maggior concentrazione dei fattori di crescita (3 volte superiore) rispetto ad altre sistematiche come il PRF;
- possibilità di usare tutte le fasi della separazione ematica, parti rosse comprese;
- assenza di attivatore;
- inoltre l’ideale è combinare questo apparecchio con l’uso di un omogeneizzatore in modo da consentire una eguale dispersione dei fattori di crescita.
L'articolo è stato pubblicato sul numero 3 di Implant Tribune Italy 2012.
embedImagecenter("Imagecenter_2_604",604,"small");
La riabilitazione del mascellare posteriore atrofico spesso richiede l’esecuzione di un rialzo di seno mascellare. Nella sua esecuzione, l’apertura ...
Nelle riabilitazioni implanto-protesiche del mascellare atrofico esistono delle alternative alla chirurgia di elevazione del seno mascellare che devono ...
Nelle riabilitazioni implanto-protesiche del mascellare atrofico esistono delle alternative alla chirurgia di elevazione del seno mascellare che devono ...
La riabilitazione di pazienti parzialmente o totalmente edentuli con protesi supportate da impianti è diventata una pratica comune negli ultimi ...
Le più attuali tendenze dell’implantologia orale sono tese alla riduzione dei tempi di trattamento. Questa tendenza si scontra spesso con ...
Paziente di 40 anni in buono stato di salute non fumatore si presenta alla mia attenzione con dolore alla pressione in zona 16 dove anni prima era stato ...
Abstract
Il rialzo di seno per via transcrestale rappresenta una procedura minimamente invasiva per aumentare il volume osseo nella regione posteriore del ...
L’aumento del volume osseo del seno mascellare è una tecnica di frequente utilizzata in ambito implantare. La tecnica, presentata da Tatum nel ...
La moderna odontoiatria implantare ha permesso di rivoluzionare il piano di trattamento in modo da rispondere a tutte le esigenze protesiche, dal dente ...
La moderna odontoiatria implantare ha permesso di rivoluzionare il piano di trattamento in modo da rispondere a tutte le esigenze protesiche, dal dente ...
Ms. Ellen Karlin, Dr. Sara Karlin
Live webinar
gio. 7 maggio 2026
17:00 (CET) Rome
Live webinar
gio. 7 maggio 2026
18:00 (CET) Rome
Live webinar
gio. 7 maggio 2026
18:00 (CET) Rome
Dra. Maria Carolina Erhardt, Dra. Thais Tomé Feldens
Live webinar
gio. 7 maggio 2026
20:30 (CET) Rome
Live webinar
lun. 11 maggio 2026
18:00 (CET) Rome
Live webinar
lun. 11 maggio 2026
19:00 (CET) Rome
To post a reply please login or register