Abstract
Il rialzo di seno per via transcrestale rappresenta una procedura minimamente invasiva per aumentare il volume osseo nella regione posteriore del mascellare superiore, consentendo il posizionamento di impianti in pazienti con altezza ossea ridotta.
Il presente case report descrive l’utilizzo di un biomateriale collagenico in pasta, OsteoBiol Putty (Tecnoss) in un rialzo di seno transcrestale e contestuale inserimento implantare. OsteoBiol Putty, grazie alla sua consistenza omogenea, granulometria fine e componente collagenica facilita l’inserimento atraumatico e il sollevamento uniforme della membrana sinusale, riducendo il rischio di perforazioni. Il follow-up radiografico a 3 e 6 mesi ha mostrato un completo rimaneggiamento del biomateriale e una neoformazione ossea stabile, dimostrando la biocompatibilità e l’efficacia rigenerativa del materiale. La riabilitazione è stata completata con una corona in disilicato di litio cementata su una cappa in titanio con connessione conometrica.
Introduzione
Il rialzo di seno transcrestale rappresenta una soluzione minimamente invasiva per aumentare il volume osseo nella regione posteriore del mascellare superiore, consentendo il posizionamento di impianti in pazienti con altezza ossea ridotta1-5. Tra i fattori che influenzano il successo della procedura, la scelta del biomateriale svolge un ruolo di cruciale importanza6-9. OsteoBiol Putty è un biomateriale collagenico in pasta a base di osso eterologo, costituito da un mix di osso cortico-spongioso di origine suina e gel collagene. Esso si distingue per la sua consistenza omogenea e la facilità di utilizzo che lo rende particolarmente adatto per spazi ridotti e accessi transcrestali. Le caratteristiche biologiche e fisiche di OsteoBiol Putty gli conferiscono proprietà osteoconduttive che favoriscono il rimodellamento osseo e l’integrazione con i tessuti ospiti. Questo case report descrive l’utilizzo di OsteoBiol Putty nel rialzo di seno per via transcrestale, sottolineando i vantaggi clinici, biologici ed ergonomici di questo biomateriale innovativo.
Caratteristiche del Biomateriale OsteoBiol Putty
OsteoBiol Putty è una pasta ossea con almeno l’80% di osso eterologo (granulometria ≤ 300 µm) e preidratata con gel di collagene. È realizzato mediante un processo esclusivo che evita la ceramizzazione dei granuli, e preserva il collagene all’interno dei granuli d’osso permettendo un progressivo riassorbimento del biomateriale, un’adeguata percentuale di neoformazione ossea e, allo stesso tempo, assicura al prodotto un’eccezionale malleabilità e plasticità. Inoltre, grazie al suo contenuto di collagene, il biomateriale facilita la formazione del coagulo ematico e la successiva invasione delle cellule riparative e rigenerative, dimostrandosi osteoconduttivo10.
Realizzato con granuli di osso eterologo finemente macinati e arricchiti con collagene, presenta i seguenti vantaggi, dal punto di vista clinico:
- consistenza uniforme: facilita l’inserzione in siti di piccolo diametro, riducendo il rischio di perforazione della membrana11, 12;
- applicatore dedicato: consente un dosaggio controllato e una pressione idraulica uniforme, promuovendo un sollevamento atraumatico della membrana sinusale;
- biocompatibilità elevata: favorisce la trasformazione in osso maturo entro 6 mesi.
Materiali e metodi
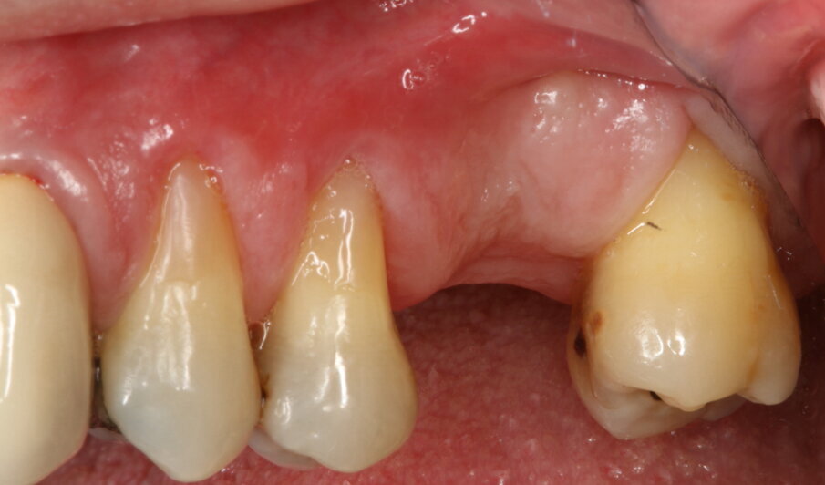
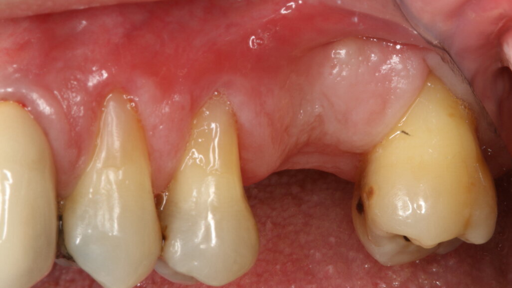
Un paziente con altezza ossea residua di 6 mm nella regione mascellare posteriore è stato sottoposto a un intervento di rialzo di seno per via transcrestale (Figg. 1, 2).
Preparazione chirurgica
Un lembo a spessore totale è stato eseguito per accedere alla cresta alveolare13. Utilizzando un protocollo di fresaggio progressivo (da 2 mm fino a 3,2 mm) con frese osseodensificanti Versah, la corticale interna è stata delicatamente consumata nell’ultimo millimetro senza perforazione membranosa (test di Valsalva negativo)14-19.
Inserimento del biomateriale
OsteoBiol Putty è stato introdotto con un applicatore dedicato e dosaggio di 0,25 cc, ottenendo un sollevamento uniforme della membrana (Fig. 3).
Posizionamento implantare
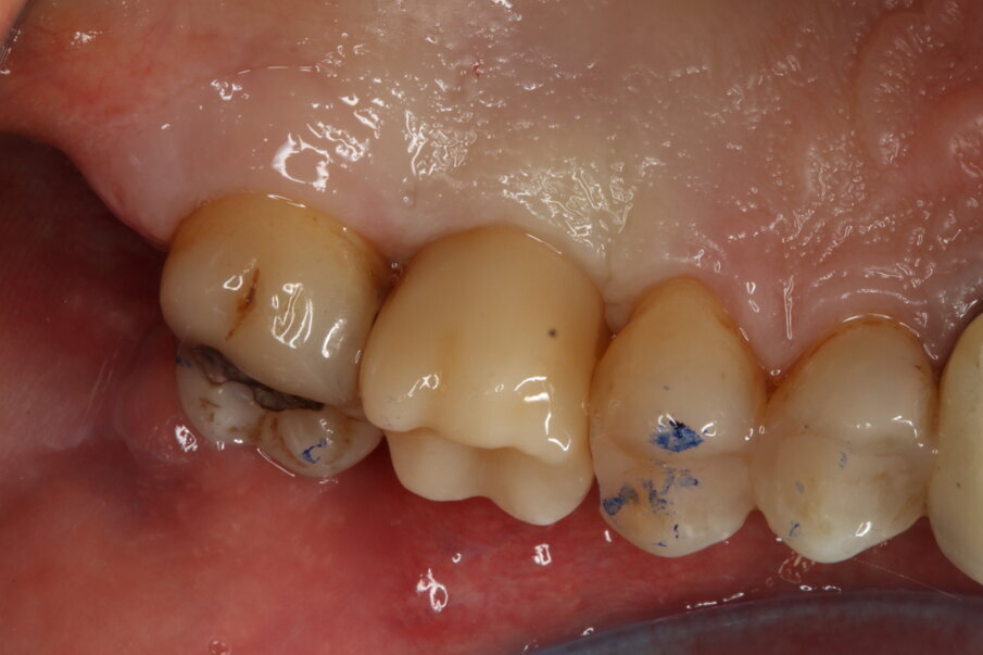
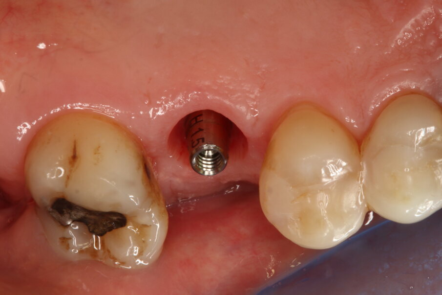
È stato inserito un impianto tronco-conico di 10 mm di lunghezza e 4,2 mm di diametro (AoN SLC con connessione Revcon) con torque di inserzione di 35 N e valori di ISQ pari a 66 in direzione vestibolo-linguale e 68 in direzione mesio-distale20. È stato applicato un moncone conometrico dritto e avvitato a 35 N con relativa cappa di guarigione in peek21 (Figg. 4, 5).
Fig. 3_Inserimento del biomateriale OsteoBiol Putty.
Fig. 4_Inserimento dell’impianto (AoN SLC con connessione Revcon).
Fig. 5_Applicazione del moncone conometrico dritto.
Risultati
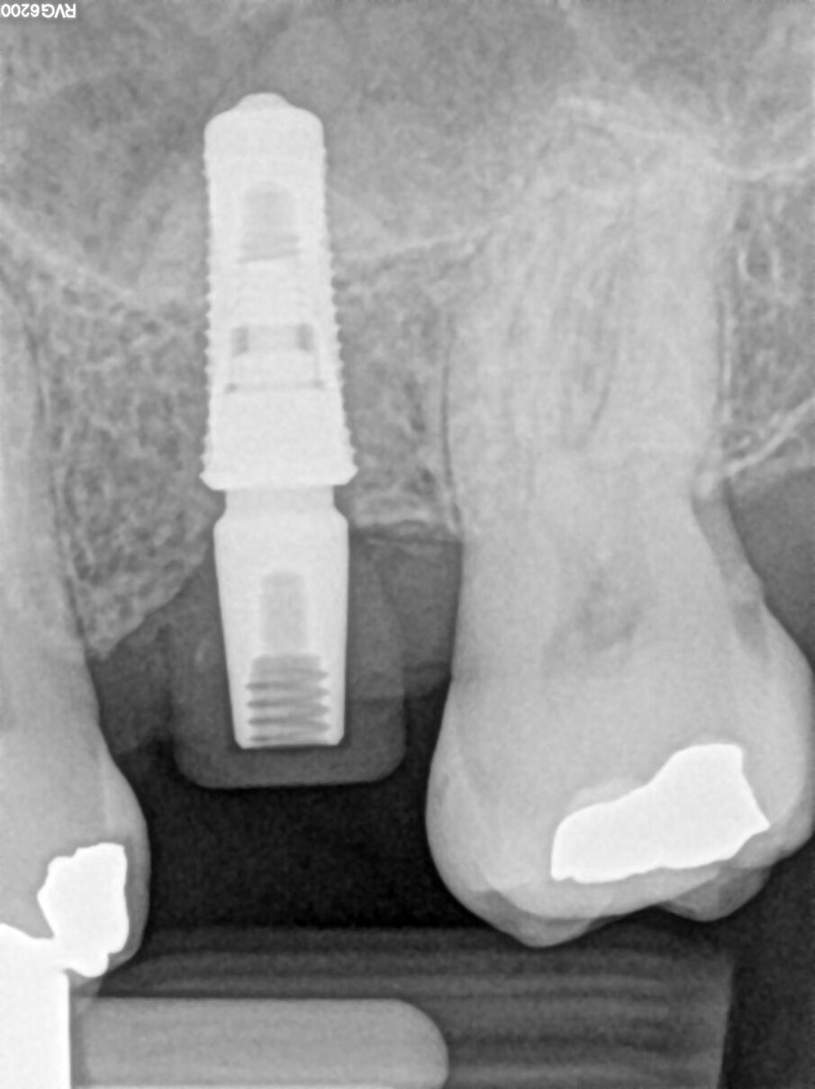
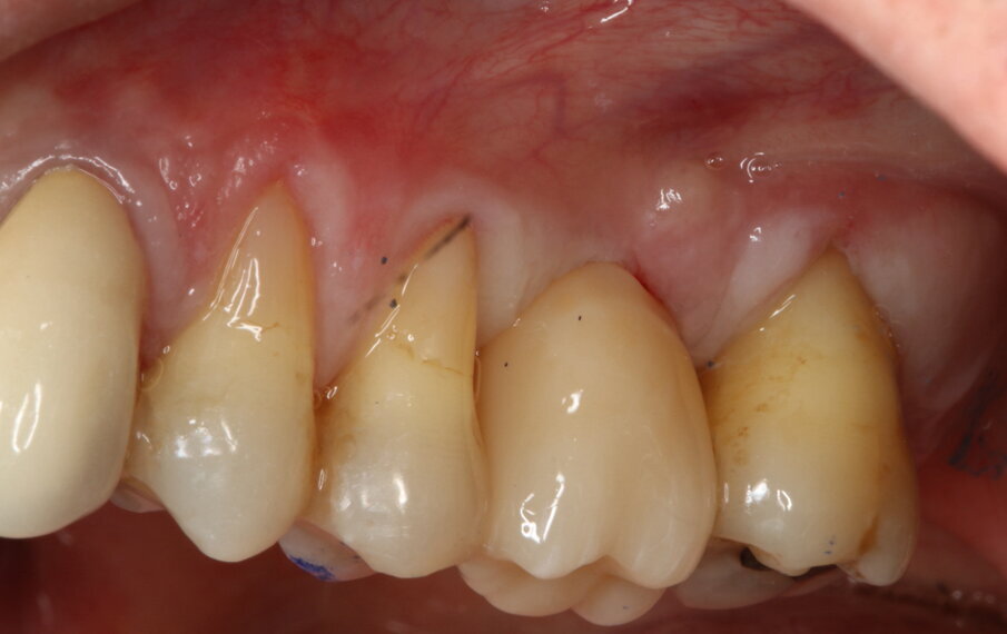
Le radiografie a tre mesi hanno evidenziato un buon rimaneggiamento del biomateriale e segni di neoformazione ossea dal pavimento del seno, confermando le proprietà osteogeniche di OsteoBiol Putty. A sei mesi, l’osso innestato risultava completamente rigenerato, permettendo la finalizzazione protesica con una corona in disilicato di litio cementata su cappa in titanio (Figg. 6-13).
Fig. 6_Radiografia post-operatoria.
Fig. 7_Follow-up radiografico a 3 mesi.
Fig. 8_Guarigione dopo 4 mesi.
Fig. 9_Guarigione dopo 4 mesi con focus sui tessuti molli perimplantari.
Fig. 10_Corona in disilicato di litio.
Fig. 11_Follow-up radiografico a 6 mesi.
Fig. 12_Risultato clinico finale (versante vestibolare).
Fig. 13_Risultato clinico finale (versante palatale).
Discussione
L’utilizzo di OsteoBiol Putty nel rialzo di seno transcrestale ha dimostrato numerosi vantaggi clinici, ergonomici e biologici, rendendolo una soluzione innovativa rispetto ai biomateriali tradizionali22. Uno dei principali benefici risiede nella sua consistenza in pasta omogenea che garantisce eccezionali malleabilità e plasticità e facilita l’inserimento in spazi ridotti e attraverso accessi transcrestali con altezza ossea ridotta23-28. Grazie al suo applicatore dedicato, consente il preciso controllo del dosaggio, eliminando il rischio di dispersioni o sovrariempimenti e ottimizzando la procedura chirurgica. Infatti, rispetto ai materiali granulari, spesso caratterizzati da spigoli o forme irregolari, OsteoBiol Putty riduce significativamente le probabilità di perforazione della membrana sinusale, una delle complicanze più frequenti nelle procedure di rialzo del pavimento del seno mascellare.
Un ulteriore vantaggio è rappresentato dalla presenza del collagene che facilita la formazione del coagulo ematico e la successiva invasione delle cellule riparative e rigenerative, migliora la coesione del materiale e favorisce l’adesione iniziale ai tessuti ospiti. Questo aspetto, combinato con l’applicatore dedicato, consente di applicare una pressione idraulica controllata e uniforme, ottenendo un sollevamento atraumatico della membrana sinusale e una distribuzione omogenea del materiale. Inoltre, la consistenza “soft” di OsteoBiol Putty facilita anche la corretta guarigione dei tessuti molli. Dal punto di vista biologico, i risultati radiografici e clinici confermano le proprietà osteoconduttive del biomateriale che si integra efficacemente con i tessuti ospiti, promuovendo una rigenerazione ossea completa entro sei mesi29.
L’utilizzo di OsteoBiol Putty semplifica il protocollo chirurgico, riducendo i tempi operatori e migliorando l’esperienza del clinico. La possibilità di lavorare con un biomateriale ergonomico e predicibile rappresenta un grande vantaggio, soprattutto in condizioni in cui l’innesto autologo può risultare limitato o difficoltoso e in approcci minimamente invasivi come il rialzo di seno transcrestale. I risultati a lungo termine mostrano una ottima stabilità ossea, confermando la sicurezza e la predicibilità dell’utilizzo di tale biomateriale.
Conclusioni
OsteoBiol Putty si distingue come un biomateriale innovativo e versatile con i seguenti vantaggi dal punto di vista clinico:
- Manipolazione semplice e precisa.
- Trasformazione in osso maturo entro 6 mesi.
- Riduzione del rischio di perforazioni membranose.
- La consistenza in pasta, la granulometria fine e la presenza di una componente collagenica semplificano l’inserzione, riducono i rischi di complicanze e garantiscono una rigenerazione ossea predicibile entro sei mesi.
La combinazione di caratteristiche ergonomiche, fisiche e biologiche rende OsteoBiol Putty un’opzione eccellente per la chirurgia rigenerativa, garantendo efficienza e predicibilità e migliorando l’efficacia e la sicurezza delle procedure implantari, confermandosi una scelta ideale per l’implantologia moderna.
L'articolo è stato pubblicato su implants international magazine of oral implantology Italian Edition n. 1/25.
Nota editoriale:
Autori
Luca Comuzzi1, Giulia Marchioli2, 3, Tea Romasco2, 3, Alessandro Cipollina4, Adriano Piattelli5, 6, Natalia Di Pietro2, 3
1Libero Professionista, San Vendemiano-Conegliano Veneto, Treviso.
2Dipartimento di Scienze Mediche, Orali e Biotecnologiche, Università “G. d’Annunzio” di Chieti-Pescara.
3Centro Studi e Tecnologie Avanzate (CAST), Università “G. d’Annunzio” di Chieti-Pescara.
4Libero Professionista, Sciacca, Agrigento.
5Scuola di Odontoiatria, Università Internazionale per le Scienze Mediche Unicamillus, Roma.
6Facoltà di Medicina, UCAM Universidad Católica San Antonio de Murcia, Murcia.
Tag:
La perdita dei denti innesca un processo di riassorbimento al livello della cresta alveolare che è diverso da individuo a individuo.
Le più attuali tendenze dell’implantologia orale sono tese alla riduzione dei tempi di trattamento. Questa tendenza si scontra spesso con ...
La riabilitazione del mascellare posteriore atrofico spesso richiede l’esecuzione di un rialzo di seno mascellare. Nella sua esecuzione, l’apertura ...
La riabilitazione di pazienti parzialmente o totalmente edentuli con protesi supportate da impianti è diventata una pratica comune negli ultimi ...
L’aumento del volume osseo del seno mascellare è una tecnica di frequente utilizzata in ambito implantare. La tecnica, presentata da Tatum nel ...
La moderna odontoiatria implantare ha permesso di rivoluzionare il piano di trattamento in modo da rispondere a tutte le esigenze protesiche, dal dente ...
La moderna odontoiatria implantare ha permesso di rivoluzionare il piano di trattamento in modo da rispondere a tutte le esigenze protesiche, dal dente ...
In presenza di gravi atrofie ossee, spesso conseguenza di estrazioni effettuate in giovane età, la riabilitazione implanto-protesica può andare incontro a...
Paziente di 40 anni in buono stato di salute non fumatore si presenta alla mia attenzione con dolore alla pressione in zona 16 dove anni prima era stato ...
La tecnica di rialzo di seno mascellare è una procedura chirurgica atta a ripristinare la mancanza ossea verticale nella regione posteriore del mascellare ...
Live webinar
dom. 3 maggio 2026
18:00 (CET) Rome
Dr. Rickard Brånemark MSc, MD, PhD, Dr. Robert Gottlander DDS
Live webinar
lun. 4 maggio 2026
2:00 (CET) Rome
Live webinar
mar. 5 maggio 2026
16:00 (CET) Rome
Live webinar
mar. 5 maggio 2026
18:00 (CET) Rome
Live webinar
mar. 5 maggio 2026
19:00 (CET) Rome
Dr. Maximilian Dobbertin M.Sc
Live webinar
mar. 5 maggio 2026
21:00 (CET) Rome
Live webinar
mer. 6 maggio 2026
19:00 (CET) Rome
To post a reply please login or register