Le mucose orali possono essere facilmente soggette a traumi, acuti o cronici, di varia natura. Elementi dentari (malposizionati o con superfici taglienti/ruvide a causa di carie o fratture), dentiere incongrue, abitudini viziate (morsicamento delle mucose orali) possono contribuire alla comparsa di lesioni all’interno della cavità orale di aspetto anche molto differente (neoformazioni, afte, ulcerazioni, macchie bianche).
Anche i trattamenti ortodontici possono determinare la formazione di ulcere e lesioni della bocca1. Nei pazienti sottoposti a cure ortodontiche la maggior parte delle lesioni delle mucose sono legate a traumi causate da tali apparecchi. Le lesioni più frequenti sono le ulcerazioni della mucosa seguite dalle erosioni dentali. Secondo uno studio condotto da Kvam et al. il 75,8% dei pazienti sottoposti a ortodonzia durante il trattamento va incontro a piccole ferite, mentre il 2,5% a gravi ulcerazioni2.
Tra le malattie ulcerative più comuni associate principalmente alla mucosa orale ci sono le afte. La parola “afta” ha origine dal greco “aphtha”, il cui significato è ulcera3. La eziopatogenesi della malattia non è totalmente sconosciuta. Si citano fattori genetici, infezioni, deficienze di oligominerali o vitamine, allergie alimentari, farmaci o traumi locali. Le afte possono associarsi ad altri fattori neuroendocrini come lo stress, il ciclo mestruale e ad alcuni fattori immunologici. È stata confermata la presenza di disregolazioni locali o generalizzate di alcuni elementi cellulari o molecolari che conformano il sistema immune come i linfociti T CD4+, immunoglobuline, immunocomplessi circolanti, citochine e molecole di adesione4. Inoltre, possono essere associate a patologie sistemiche come il morbo di Crohn, la celiachia, la malattia di Bechet, colite ulcerosa idiopatica, malattia di Reiter5. Esiste una classificazione sulla base dell’aspetto clinico delle ulcerazioni, che le suddivide in afta minor, afta major e variante erpetiforme.
- Afta minor, la forma clinicamente più frequente (>80 % dei casi): con lesioni del diametro di 3-5 mm circa, in genere in numero da 1 a 10 e guarigione in 10 gg senza esiti cicatriziali6.
- Afta major, rappresenta il quadro più grave. Clinicamente si manifestano anche iperproduzione salivare (scialorrea), difficoltà di alimentazione (disfagia), alito pesante (alitosi), ingrossamento dei linfonodi del collo (reazione linfoghiandolare satellite) e talora compromissione dello stato generale (malessere, talora febbricola) 7.
- Afta erpetiforme è caratterizzata da lesioni multiple, talvolta decine o centinaia. Costituiscono il tipo meno comune. Le lesioni sono rappresentate da numerosi piccoli elementi di pochi mm di diametro, più spesso raggruppati (talvolta confluenti), tale da far assomigliare l’afta ad una infezione herpetica.
Questa varietà clinica embra prediligere il sesso femminile (5:1) e compare dopo i trent’anni8. Sebbene i pazienti abbiano una guarigione spontanea nel giro di due settimane, le afte e le lesioni orali di origine traumatica, causano dolore e, come suddetto, difficoltà nel mangiare, bere e mantenere l’igiene orale9. Un’ampia varietà di terapie è stata documentata in letteratura per ridurre il tempo della guarigione:
- evitare alcuni alimenti;
- trattamento con anestetici locali (gel di lidocaina, benzidamina);
- terapia laser, bioadesivi protettivi (cianoacrilato);
- antisettici;
- terapie antinfiammatorie (clorexidina gluconato, triclosan, amlexanox);
- antibiotici locali (tetraciclina, clorotetraciclina);
- steroidi topici (acetonide triamcinolone);
- agenti sistemici (colchicina, pentossifillina, corticosteroidi, dapsone, talidomide, ciclosporina, e inf liximab) andando sempre a valutare il rapporto costi-benefici10,11.
Una delle terapie più moderne per curare le afte e le lesioni orali di origine traumatica è l’utilizzo di ungenti contenenti ozono. L’ozonoterapia topica è una tecnica poco invasiva, utilizzata per queste condizioni senza effetti collaterali. Grazie alle sue benefiche proprietà biologiche (antimicrobiche nonché effetti immunostimolanti) l’ozonoterapia ha aperto nuove prospettive nelle modalità di trattamento delle patologie dentali per i pazienti di ogni età12.
Materiali e metodi
Caso clinico I
Un paziente di 27 anni sottoposto a una visita di controllo, presenta nel cavo orale a livello della mucosa buccale destra un’afta minor sintomatica, soprattutto quando viene a contatto con il cibo o sostanze liquide. Il paziente ci riferisce che qualche giorno prima di venire alla visita di controllo aveva contratto una sindrome influenzale (Fig. 1). Si prescrive collutorio a base di olio di oliva ozonizzato (Ialozon, Gemavip, Cagliari, Italy) da utilizzare puro come sciacquo orale per 1 minuto ogni 8 ore per 5 giorni e GEL con olio di oliva ozonizzato arricchito con aloe e acido ialuronico (Ialozon gel orale, Gemavip, Cagliari, Italy) 3 volte al giorno per 5 giorni. Dopo 5 giorni la lesione aftosa era completamente regredita (Fig. 2).
Caso clinico II
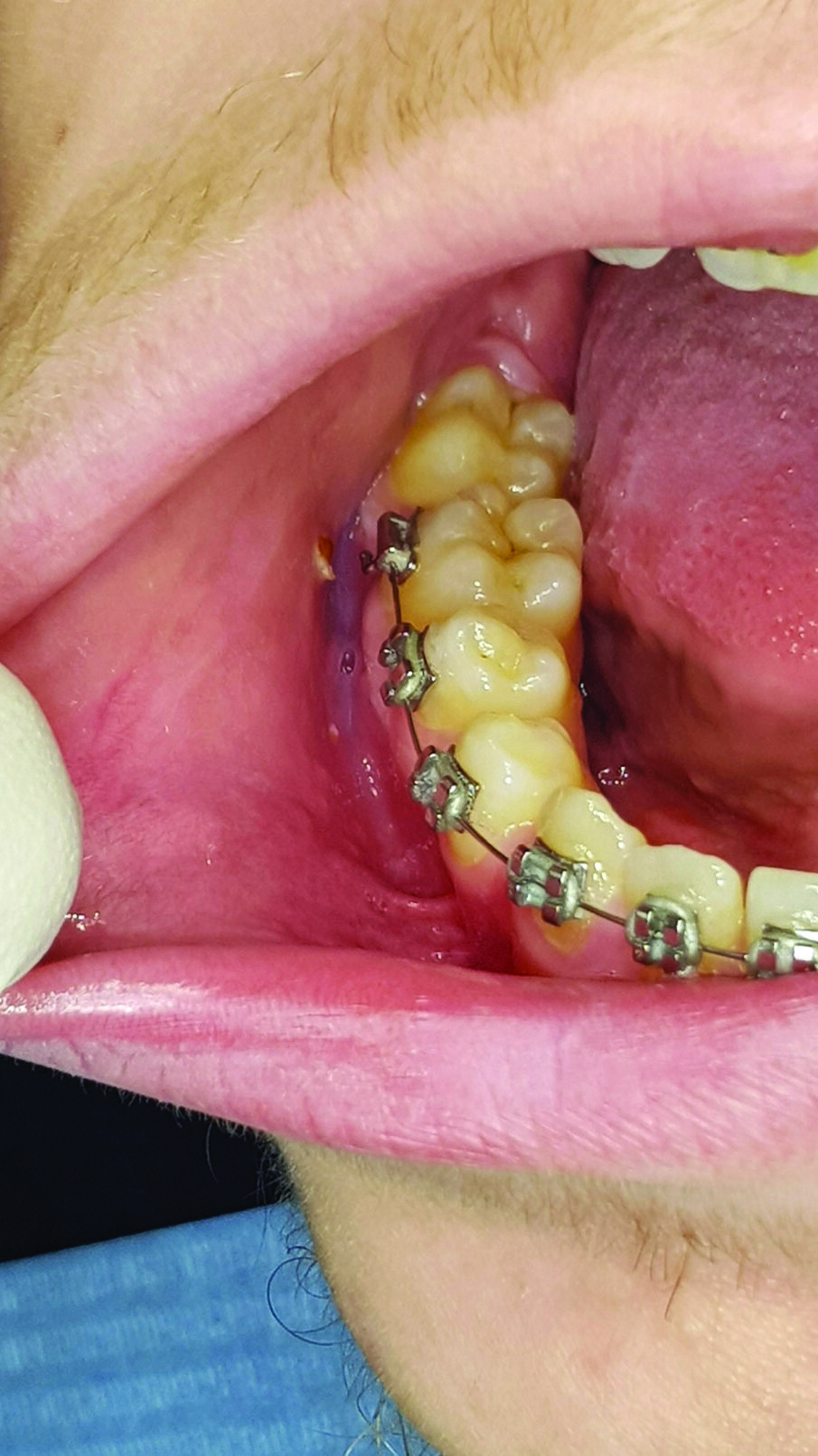
Un paziente maschio di 17 anni, in perfetto stato di salute generale, durante un controllo ortodontico presenta una lesione ulcerativa provocata dallo strofinamento della mucosa buccale con i bracket in corrispondenza del dente n 43-44-45 . Anche in questo caso si prescrive lo stesso collutorio puro per 1 minuto ogni 8 ore per 7 giorni e lo stesso gel orale, descritto precedentemente ogni 8 ore per 7 giorni. Dopo 5 giorni la lesione ulcerativa da strofinamento della mucosa buccale è completamente regredita (Figg. 3, 4).
Fig. 1 - L’afta minor nella mucosa buccale destra.
Fig. 2 - L’immagine mostra come la lesione sia totalmente regredita dopo 5 giorni di trattamento.
Fig. 3 - Lesioni ulcerative provocate dallo strofinamento della mucosa buccale con i bracket in corrispondenza dei denti 43-44-45.
Fig. 4 - La lesione provocata dallo strofinamento della mucosa buccale con i bracket in corrispondenza degli elementi 43-44-45 è completamente regredita dopo 5 giorni di trattamento.
Discussione
In tutti i casi di afte e lesioni orali traumatiche, la gestione è legata ai sintomi e mira a ridurre l’infiammazione con conseguente riduzione del dolore. Le lesioni orali causate da trattamenti ortodontici possono derivare da interazioni tra le leghe metalliche dei brackets e i tessuti orali. Queste lesioni possono essere causate dalla frizione, dai batteri che si annidano fra i brackets o dall’effetto allergenico dei metalli. Inoltre, durante il trattamento ortodontico con apparecchi fissi, è più difficile mantenere un’ eccellente controllo della placca e quindi mantenere un’ottima igiene orale . Secondo l’OMS la mucosa buccale e quella vestibolare sono maggiormente esposte a lesioni traumatiche ulcerative nei pazienti ortodontici.
Secondo Travess et al., le ulcerazioni, sono il risultato di irritazione causata dal filo ortodontico o dal contatto fra il metallo e la mucosa. Per evitare le lesioni orali da trattamento ortodontico si consiglia al paziente l’uso di cera ortodontica (che funge da barriera fra il metallo e le labbra, le guance, la lingua e le gengive) sulle parti lesionate dalle apparecchiature aiutando a prevenire il traumatismo e quindi riducendo il disagio. Il dentista mentre esegue le varie manovre ortodontiche (cambio filo, riposizionamenti di brackets, etc) deve cercare di non lesionare la mucosa con fili acuminati o brackets troppo sporgenti13. Prima del trattamento delle afte, è necessario verificare che non siano il sintomo di una malattia più grave, tra cui Sindrome di Behçet o morbo celiaco. Segue l’analisi di possibili fattori scatenanti: deficit di sangue per integrarli (ferro, acido folico, vitamina B12, B1, B6, zinco), controllo della dieta sullo sviluppo delle afte, eliminazione di possibili allergeni (uova, noci, fragole, pomodori)14.
Fra i trattamenti locali maggiormente utilizzati per contrastare le afte e le lesioni orali traumatiche ci sono i corticosteroidi topici e le soluzioni antisettiche e antiinfiammatorie. Gli studi sull’utilizzo dei corticosteroidi topici hanno dimostrato che riducono il dolore e accelerano la guarigione. I più utilizzati sono triamcinolone acetonide 0,1 %, fluocinolone acetonide 0,05% e 17-clobetasol propionato 0,05% per 3 volte al giorno. Possiamo amministrarli sotto forma di unguento o sotto forma di soluzione acquosa per quando ci sono lesioni più diffuse, da accompagnare a antifungini topici per evitare sovrainfezioni micotiche.
Altri presidi topici sono: agenti antinfiammatori, anestetici topici (lidocaina), aloe vera, soprattutto per diminuire la sintomatologia algica15. Quando le terapie locali non sono sufficientemente efficaci si utilizzano trattamenti sistemici.
- Corticosteroidi: prednisone in compresse da 20 mg. 2 compresse al giorno per 5 giorni14.
- Talidomide: per la sua azione immunomodulante dei linfociti T soppressori di T helper e inibitori del fattore alfa di necrosi tumorale), la dose raccomandata è di 100 mg/giorno per 2-3 mesi.
- Altri farmaci: levamisolo, colchicina, ciclosporina, pentossifillina, ossipentossifillina16.
L’ozono (O3) è anche conosciuto come triossigeno o ossigeno triatomico, una forma energetica più elevata di ossigeno atmosferico (O2-3 atomi di ossigeno). Il suo peso molecolare è di 47, 98 g/mol17. L’ozono ha distinti meccanismi d’azione a seconda dell’ambiente in cui viene applicato ed essere soggetto a diverse classificazioni in base al loro comportamento predominante. Umidità, ossigenazione e temperatura hanno un grande effetto sull’azione dell’ozono, essendo direttamente proporzionale alla sua efficacia18. Essendo un gas non si presenta di facile utilizzo. Un’alternativa suggerita è quella di utilizzare gli oli vegetali come olio d’oliva per veicolarlo rendendo così stabile il gas. Le molecole che compongono gli oli vegetali hanno un doppio legame > C = C < nella sua struttura. Pertanto il contatto dell’ozono con queste sostanze genera nuovi composti per effetto della reazione di rottura dei doppi legami19.
L’ozono presente negli oli potrebbe avere vantaggi rispetto ai mezzi gassosi o acquosi poiché l’olio rimane a contatto con la superficie per un periodo più lungo di tempo, esercitando le sue funzioni più durature20. Si attribuiscono azioni note dell’ozono:
- antimicrobico (battericida, virucida e fungicida),
- immunostimolante,
- immunomodulante,
- antinfiammatorio,
- biosintetico (attivazione del metabolismo dei carboidrati, proteine, lipidi), bioenergetico,
- anti ipossico,
- analgesico,
- emostatico, etc.
L’uso dell’ozono è stato proposto in odontoiatria per via del suo effetto antimicrobico, disinfettante, di alta biocompatibilità e di azione rigenerante21. L’ozono è una forma inattiva, trivalente (O3) di ossigeno (O2) che si scompone in due atomi di ossigeno regolare dando su un atomo di ossigeno singolo per un periodo di 20-30 min22. È considerato uno dei più potenti ossidanti in natura, anche se il meccanismo della sua azione terapeutica non è chiaro. Alcune delle possibili spiegazioni includono la generazione di perossidi per ozonolisi con acidi grassi insaturi nelle membrane cellulari, l’attivazione o generazione di specie reattive dell’ossigeno che funzionano come stimolatori fisiologici di vari processi biologici (compreso l’aumento della produzione di adenosina trifosfato), e l’aumento dell’espressione intracellulare di enzimi con attività antiossidante.
È stato riportato che l’esposizione all’ozono comporta una variazione delle citochine. Altri studi suggeriscono un aumento della motilità e aumento dell’adesione dei polimorfonucleari dal sangue periferico alle cellule epiteliali23. L’ozono è stato applicato per il trattamento di lesioni cariose precoci, per la sterilizzazione di cavità, canali radicolari, tasche parodontali, per la desensibilizzazione di denti estremamente sensibili, per il trattamento di periimplantite e per la guarigione delle ferite come le ulcere e le lesioni erpetiche24, 25. Nagayoshi et al. hanno testato sia in cultura e sia nei biofilm l’efficacia di tre diversi concentrazioni di acqua ozonata (0,5, 2 e 4 mg/ ml in acqua distillata) sull’inattivazione dei microbi parodontopatogeni ed endodontopatogeni (Streptococco, Porfiromonasgingivalis, Actinomycesactinomycetemcomitans e Candida albicans). Hanno confermato, quindi, che l’acqua ozonizzata è altamente efficace nell’uccidere sia i micro organismi Gram positivi sia i Gramnegativi26. Huth et al. con uno studio clinico (2007) hanno stabilito che l’ozono veicolato in forma acquosa esercita effetti inibitori sul fattore nucleare - il sistema della kappa B, dimostrando che ha un’azione antinfiammatoria27.
Uno studio condotto da Kshitish e Laxman, ha evidenziato una percentuale maggiore di riduzione dell’indice di placca (12%), dell’indice gengivale (29%) e indice di sanguinamento (26%) utilizzando l’irrigazione con ozono rispetto a c lorexidina28. Patel et al.29 hanno mostrato che l ’uso aggiuntivo dell’olio ozonato durante lo Scaling and root planing delle radici ha portato a un miglioramento significativo di parametri clinici e microbiologici nel tempo rispetto ai gruppi di controllo. Montevecchi et al hanno scoperto che l’olio ozonizzato è un antisettico più efficace rispetto alla clorexidina gluconato e rispetto allo iodo-povidone nel combattere sia il S. aureus sia il P. gingivalis30. Gli oli ozonizzati come l’olio di girasole, l’olio d’oliva e l’olio di arachidi hanno dimostrato la loro efficacia nella sterilizzazione dei canali radicolari. I risultati ottenuti da de Ramon et al. confermano l’efficace azione dell’ozono sul sanguinamento gengivale, con una diminuzione di oltre il 50% dei principali patogeni parodontali: Aggregatibacter actinomycetencomitans, Bacteroides forsythus e Porphyromonas gingivalis31.
L’olio ozonizzato applicato sull’herpes labiale e sull’osteomielite mandibolare ha dimostrato tempi di guarigione più rapidi rispetto ai protocolli convenzionali. L’ozono, in questi casi, neutralizza i virioni dell’herpes per azione diretta, inibendo così le sovrainfezioni batteriche e stimolando la guarigione dei tessuti attraverso la stimolazione circolatoria. Inoltre, riduce il tempo di guarigione post-estrattiva formando una pseudo-membrana sopra l’invasatura, proteggendola così da qualsiasi insulto fisico e meccanico32. L’effetto antimicrobico dell’ozono (risultato della sua azione sulle cellule) danneggia la membrana citoplasmatica a causa dell’ozonolisi dei doppi legami e modifica il contenuto intracellulare a causa degli effetti ossidanti secondari33. Questa azione è selettiva sulle cellule microbiche, ma non danneggia le cellule del corpo per la loro maggiore capacità antiossidante34.
La bibliografia è disponibile presso l’editore.
L'articolo è stato pubblicato su Dental Tribune Italian Edition 2/2020.
Tag:
I soggetti fumatori hanno sicuramente maggiore probabilità di sviluppare infezioni fungine orali rispetto ai soggetti non fumatori1. La Candida è uno dei ...
Dopo oltre mezzo secolo in cui la clorexidina l’ha fatta da padrone, l’industria Oral Care ha scoperto un nuovo ingrediente: l’ozono! Chiunque faccia ...
La perimplantite è un processo infiammatorio che colpisce i tessuti che circondano un impianto dentale osteointegrato. È caratterizzata da infiammazione ...
La bocca costituisce la prima sezione dell’apparato digerente, oltre a essere coinvolta in funzioni essenziali dell’apparato respiratorio. La sua ...
Le lesioni che coinvolgono la cavità orale portano solitamente alla formazione di ulcere. L’ulcera traumatica della mucosa orale è una delle lesioni ...
Il XXXVI Congresso Internazionale dell’Accademia Italiana di Odontoiatria Protesica (AIOP) intitolato “L’educazione all’eccellenza” ha visto ...
In prevenzione terziaria, la terapia odontoiatrica più legata alla bellezza di un sorriso è la terapia ortodontica.
L’oraloma è costituito da oltre 700 specie microbiche distribuite in una matrice extracellulare formata da sostanze polimeriche, principalmente di natura...
Nella pratica odontoiatrica comune il clinico è chiamato a trattare anomalie strutturali dello smalto e dentina con esigenze estetiche importanti da parte ...
Per ricercare mezzi terapeutici adiuvanti al trattamento delle lesioni parziali del nervo alveolare inferiore in seguito ad inserzione di impianti ...
Live webinar
gio. 7 maggio 2026
17:00 (CET) Rome
Live webinar
gio. 7 maggio 2026
18:00 (CET) Rome
Live webinar
gio. 7 maggio 2026
18:00 (CET) Rome
Dra. Maria Carolina Erhardt, Dra. Thais Tomé Feldens
Live webinar
gio. 7 maggio 2026
20:30 (CET) Rome
Live webinar
lun. 11 maggio 2026
18:00 (CET) Rome
Live webinar
lun. 11 maggio 2026
19:00 (CET) Rome
Live webinar
mar. 12 maggio 2026
19:00 (CET) Rome
To post a reply please login or register