In prevenzione terziaria, la terapia odontoiatrica più legata alla bellezza di un sorriso è la terapia ortodontica.
La terapia ortodontica corregge i rapporti delle strutture odonto-facciali e scheletriche in fase di crescita e in fase adulta tramite dispositivi medici personalizzati, che esercitano forze fisiologicamente accettabili nell’ambito del complesso oro-facciale.
Per preservare la bellezza del sorriso, prima di sottoporre il paziente al trattamento ortodontico è necessario un protocollo operativo personalizzato di igiene orale domiciliare e professionale per salvaguardare la salute e la bellezza dello smalto dentale. È opportuno applicare brackets con l’utilizzo di cementi vetroionomerici in grado di liberare fluoro e programmare un follow-up frequente per controllare l’efficacia del controllo batterico domiciliare. È purtroppo frequente l’osservazione di casi clinici che presentano un sorriso inficiato da lesioni procurate da un management poco attento di questi pazienti, soprattutto a fine terapia, nella fase operativa del debonding.
_Case report
_Materiali e metodi
Si presenta alla nostra attenzione un paziente di sesso maschile, di anni 22, non fumatore, in apparente buona salute sistemica, per sottoporsi ad una seduta di igiene orale professionale e migliorare l’estetica del sorriso.
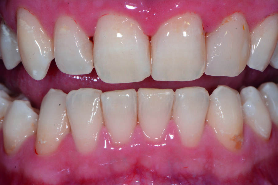
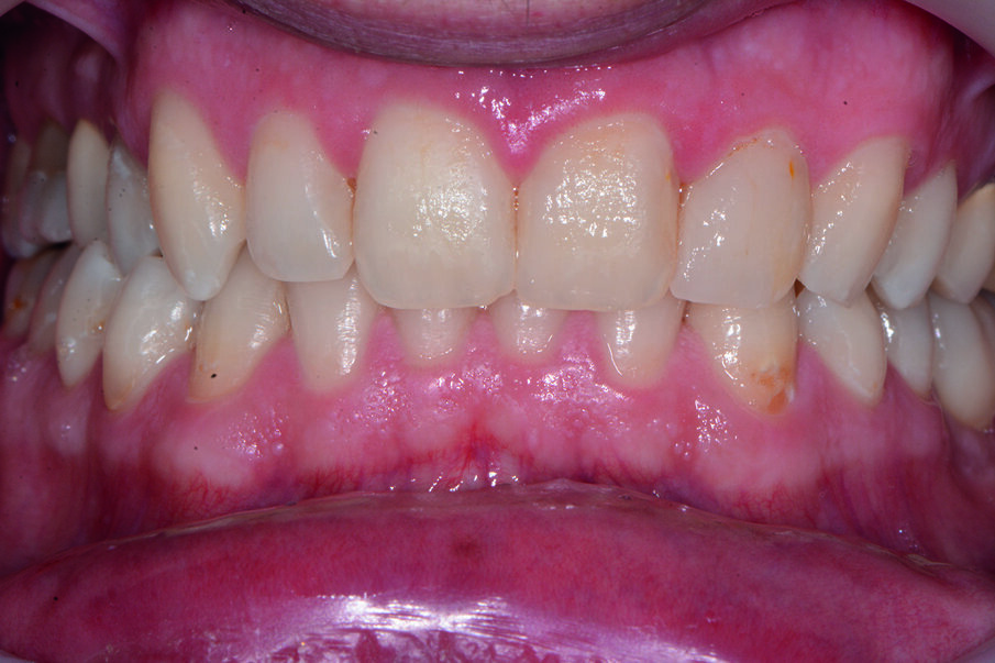
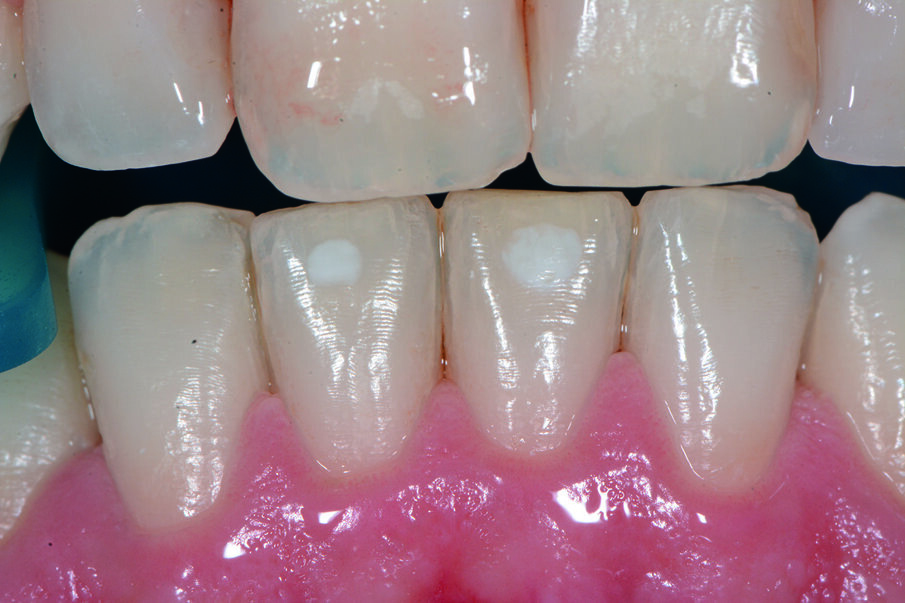
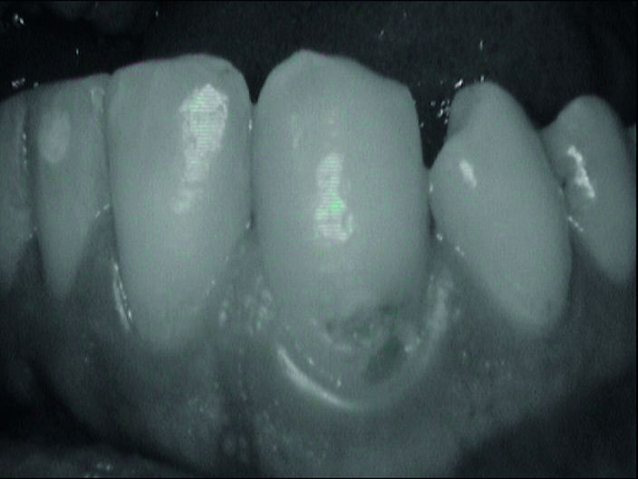
Durante l’esame obiettivo (Figg. 1a, 1b) rileviamo il danno iatrogeno da terapia ortodontica precedente alla visita e riscontriamo la presenza di processo carioso ICDAS 3 in zona 33 e in zona 47, white spots in zona 31 e 41. Durante l’esame obiettivo, l’ausilio della videocamera intraorale Sopro-Care (Acteon) permette, tramite filtri appositi, di evidenziare in modo rapido e accurato le zone di demineralizzazione e le aree infiammate e di mostrarle al paziente in real time, rendendolo attivamente partecipe e consapevole della situazione clinica (Figg. 2a-2f). I ricercatori del Baylor College of Dentistry hanno dimostrato che il 23,4% dei pazienti ha sviluppato almeno una white spot lesion durante il trattamento ortodontico.
Chiediamo al paziente se si fosse sottoposto a terapia ortodontica e il paziente riferisce di essersi sottoposto a terapia ortodontica in età adolescenziale per circa 2 anni e di non aver dato molta importanza alle lesioni presenti, poiché non aveva avuto grande sintomatologia riteneva che le white spots presenti non fossero un segno di demineralizzazione. Alla domanda della causa delle lesioni riferiamo che un inefficace controllo di placca domiciliare e uno stile di vita alimentare cariogeno, alzava il rischio di demineralizzazione delle lesioni che probabilmente erano state provocate dall’apposizione delle bande ortodontiche con materiale non di ultima generazione come i cementi vetroionomerici in grado di liberare fluoro. Inoltre riferiamo che durante la fase terminale del debonding, la topografia delle lesioni faceva presupporre l’uso poco attento di frese che avevano danneggiato lo smalto. Il paziente si mostra motivato e chiede una soluzione terapeutica che abbia come obiettivo la risoluzione funzionale ed estetica più veloce possibile. Viene condiviso con il paziente il piano terapeutico e proponiamo di iniziare con la terapia parodontale non chirurgica. Concordiamo con il paziente tempi, modalità di utilizzo e strumenti per migliorare il management degli stili di vita domiciliari, per il controllo chimico e meccanico del biofilm batterico (Nardi GM, Sabatini S, Guerra F, Tatullo M, Ottolenghi L. Tailored Brushing Method (TBM): an innovative simple protocol to improve the oral care. J Bio- med 2016; 1:26-31).
Eseguiamo l’approccio clinico D-BIOTECH (Dental BIOfilm Detection Topographic Technique).
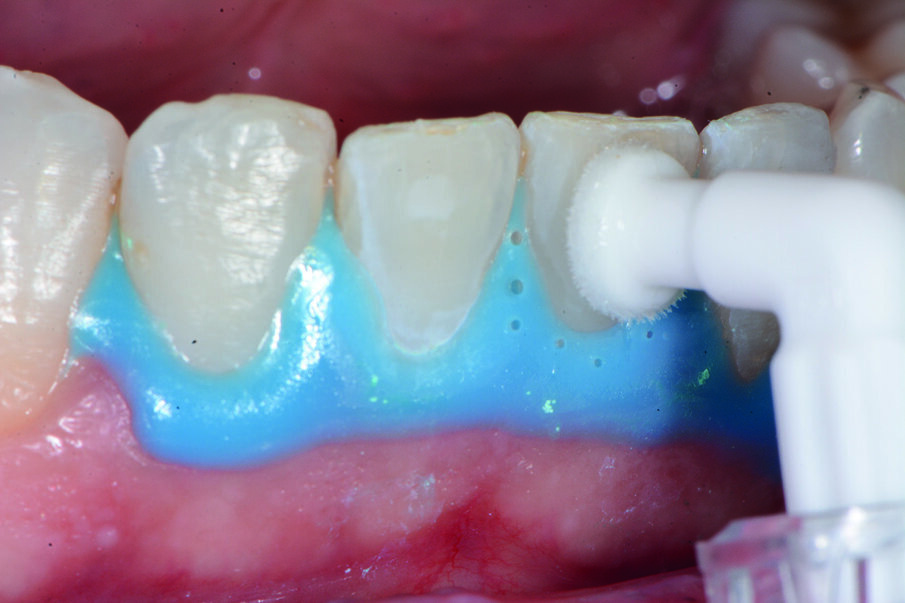
Prima del trattamento abbiamo applicato un rilevatore di placca alla fluoresceina Plac-o-Tect (Directa) per evidenziare la topografia della presenza di biofilm batterico nel cavo orale. Osserviamo la topografia del biofilm batterico presente e condividiamo con il paziente i siti più ritentivi di biofilm batterico in modo da avere una comunicazione non verbale del rivelatore, utile per il rinforzo motivazionale del paziente con l’obiettivo di migliorare l’efficacia dell’igiene orale domiciliare (Fig. 3).
Scegliamo di proporre al paziente lo spazzolino elettrico rotante oscillante Genius 9000 (Oral-B) usato in modalità delicata, che ha un numero ridotto di oscillazioni e pulsazioni con il refill Cross-Action, in modo da avere uno spazzolamento efficace, grazie ai filamenti inclinati di 16°, in numero superiore del 30% del Precision Clean (Figg. 4a-4c).
La metodica D-BIOTECH è applicabile nella terapia parodontale non chirurgica, come approccio clinico meccanico o manuale nel deplaquing e nel debridment. Tale approccio permette di eseguire un lavoro minimamente invasivo poiché l’operatore può strumentare con polishing selettivo, airpolishing, ablatori o strumentazione manuale seguendo esclusivamente la topografia del biofilm batterico, poiché intercetta visivamente i siti più a rischio di infiammazione attraverso la colorazione del rivelatore.
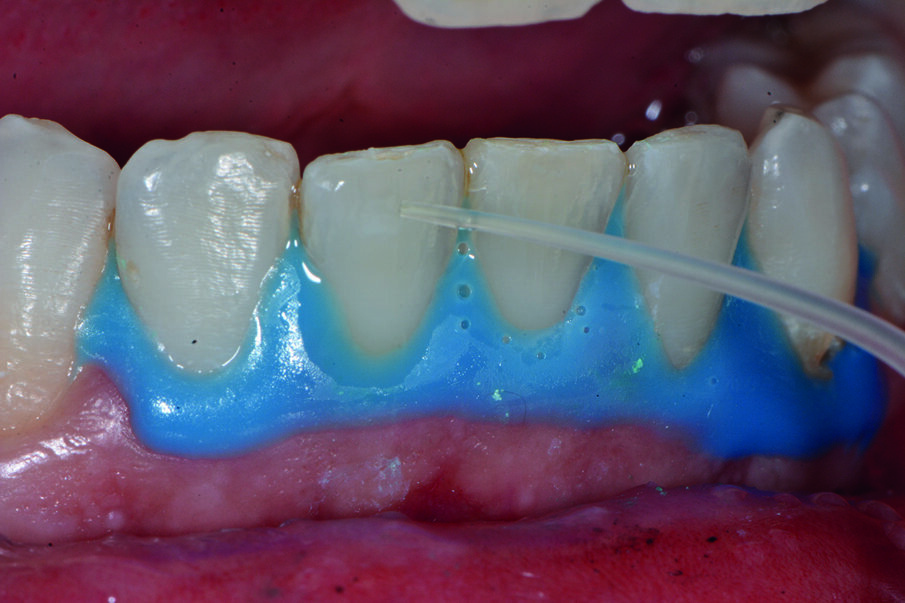
La comunicazione non verbale visiva di questo approccio clinico nuovo permette un lavoro sicuramente più ergonomico per l’operatore, che sceglierà lo strumento o la tecnica operativa più performante per strumentare unicamente dove sono presenti biofilm batterico e discromie acquisite (Fig. 5).
Dopo aver osservato la topografia del biofilm batterico attraverso l’uso del rilevatore alla fluorescina illuminato dalla lampada fotopolimerizzante è stato eseguito il deplaquing e il debridment usando l’apparecchio Comby touch (Mectron), una tecnologia che riunisce in un unico apparecchio un ablatore multifunzionale piezoelettrico e un pulitore a getto d’acqua, aria e polveri di bicarbonato di sodio e glicina, destinato a un trattamento di profilassi completo, sopra e sottogengivale. Viene usato il manipolo per air-polishing con polvere di glicina, formata da particelle più piccole (<63 μm). L’opportunità di poter usare i manipoli orientati a 90° o 120° permette di poter essere efficaci nel rispetto della delicatezza dei tessuti e del manufatto implantare, erogando il getto in maniera personalizzata e mirata, con un’operatività clinica minimamente invasiva (Fig. 6).
Usando la polvere “perio” non si corrono rischi di danneggiare lo smalto già inficiato dalle lesioni con la velocità di esecuzione, potendo tranquillamente dirigere il getto senza limitazione di inclinazione del fascio erogato e senza rischio alcuno per le lesioni. Il paziente viene sottoposto ad uno sbiancamento con pasta sbiancante professionale White Smile Professional (Dental Moro), a base di carbonato di calcio, carbone attivo (principi attivi sbiancanti), aloe vera succo biologico (azione lenitiva) e sodio floruro (azione desensibilizzante).
Il vantaggio di questa pasta permettere all’operatore l’utilizzo immediato alla terapia parodontale non chirurgica, senza aver bisogno di apporre diga o protettore sui tessuti gengivali (Fig. 7), lasciandola a contatto delle superfici per 10 minuti.
Al termine aspiriamo la pasta sbiancante e sciacquiamo le superfici dentali che appaiono sbiancate e pronte per sottoporre le white spots al trattamento di infiltrazione con resina infiltrante Icon (DMG). Consegniamo al paziente la pasta sbiancante, responsabilizzandolo all’uso.
_Trattamento infiltrazioni Icon
Il trattamento di infiltrazione Icon è costituito da tre semplici passaggi: mordenzare; asciugare; infiltrare. Dopo il pre-trattamento con un gel mordenzante, viene applicato sulla zona da trattare l’infiltrante, una resina estremamente fluida. Per azione capillare l’infiltrante penetra in profondità nelle porosità dello smalto che viene poi fotopolimerizzato. Abbiamo apposto una diga liquida con foto-polimerizzazione Icon (DMG) per rimuovere e mascherare le antiestetiche lesioni brown spots. La resina infiltrante ha un indice di rifrazione della luce simile a quello dello smalto sano e consente di compensare la differenza di rifrazione della luce. In questo modo l’aspetto della lesione infiltrata può essere adattato allo smalto sano circostante. Abbiamo applicato sugli elementi dentali che presentavano aree di demineralizzazione, il mordenzante a base di acido-cloridrico (HCl 15%) Icon e lo abbiamo applicato per 2 minuti (Fig. 8). Icon-Etch mordenzante prepara il dente per essere infiltrato. Il gel di acido cloridrico viene applicato sulla zona da trattare con l’aiuto di uno speciale applicatore per rimuovere lo strato pseudo-intatto della superficie. Solo dopo la sua rimozione l’infiltrante può penetrare nel sistema poroso del dente. Abbiamo lavato le superfici per 30 secondi (Fig. 9) e abbiamo asciugato i denti. Abbiamo applicato Icon-Dry (etanolo 99%) e lasciato agire per 30 secondi e fatto asciugare il prodotto.
Per procedere con il passaggio successivo è necessario ottenere un ambiente asciutto. Per questo la lesione cariosa viene asciugata con Icon-Dry (etanolo) e con un getto di aria (Fig. 10). Abbiamo applicato la resina Icon Infiltrante e la abbiamo lasciato agire per 3 minuti. Si può ripetere la mordenzatura più volte su una superficie di spessore consistente. Inoltre, se la decolorazione bianca scompare nel giro di qualche secondo dopo l’applicazione dell’etanolo (Icon Dry), la mordenzatura sarà sufficiente, altrimenti la mordenzatura dovrà essere ripetuta, fino a 3 applicazioni di acido da 2 minuti. L’infiltrante, estremamente fluido, penetra in profondità nello smalto per azione capillare e riempie la lesione (Fig. 11). Alla fine viene fotopolimerizzato.
La lesione infiltrata presenta caratteristiche meccaniche ed estetiche simili allo smalto sano del dente. Trascorsi i 3 minuti abbiamo fotopolimerizzato per 40 secondi con lampada Satelec Mini LED Super Charged con potenza superiore a 2000 mWatt/cm2 (Fig. 12). Abbiamo ripetuto quest’ultimo passaggio un’ultima volta, applicando la resina questa volta per 1 minuto (Fig. 13) e fotopolimerizzato per 40 secondi. Abbiamo rimosso la diga e lucidato le superfici utilizzando punte siliconiche per compositi (Figg. 14a, 14b).
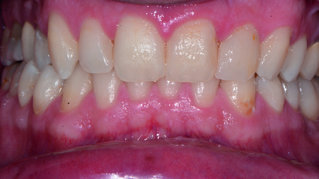
Il paziente ha espresso la sua soddisfazione alla vista dell’efficace risultato del trattamento ed ha voluto fissare l’appuntamento successivo per il controllo e per le successive terapie conservative dei processi cariosi (Fig. 15). Al paziente è stata raccomandata una particolare attenzione al controllo di biofilm batterico domiciliare e per il controllo chimico è stato suggerito l’utilizzo del dentifricio Sensodyne Repair and Protect (GSK), che grazie alla tecnologia Novamin remineralizza riformando uno strato di idrossiapatite simile in corrispondenza delle lesioni smaltee e, sensodyne collutorio a base di sali di potassio e di fluoruro di sodio.
_Conclusioni
La personalizzazione del trattamento clinico odontoiatrico è alla base della buona pratica clinica e le tecnologie avanzate devono agevolare la filosofia di approccio che definiamo “tailor-made” (Nardi et al., Minerva Stomatologica 2014, 63(1-4):557). La ricerca mette a disposizione dei professionisti nuove tecnologie minimamente invasive che coniugano prevenzione dell’aggravamento di eventuali lesioni sulle superfici dello smalto, spesso compromesse da inefficace controllo del biofilm batterico domiciliare, disatteso follow-up di controllo e pratiche di debonding poco attente e maldestre e il miglioramento dell’estetica del sorriso.
La bibliografia è disponibile presso l’Autore.
L'articolo è stato pubblicato su Cosmetic Dentistry Italian Edition, n. 2 maggio 2018.
Tag:
Il volto umano è il distretto corporeo più rappresentativo e caratterizzante della persona e per il professionista spesso risulta difficile coniugare ...
La presenza protratta nel tempo di dispositivi ortodontici fissi è un alto rischio per la salute dei tessuti parodontali e dentali in quanto viene a ...
La presenza protratta nel tempo di dispositivi ortodontici fissi è un alto rischio per la salute dei tessuti parodontali e dentali in quanto viene a ...
La Black Stain è un tipo di decolorazione estrinseca del dente che può essere diagnosticata dal clinico riscontrando linee pigmentate parallele al margine...
Fra gli eventi organizzati dal Cenacolo del Giglio, il 13 ottobre, presso il Novotel di Firenze nord, la professoressa Livia Ottolenghi ...
Si definisce “incluso” un elemento dentario che permane inglobato a livello osseo o osteomucoso oltre il normale periodo di eruzione, privo di ...
L’estetica del sorriso riveste sempre più un ruolo fondamentale nell’odontoiatria moderna ed è messa quale outcome di primo piano nelle decisioni ...
L’estetica del sorriso riveste sempre più un ruolo fondamentale nell’odontoiatria moderna ed è considerata quale outcome di primo ...
L’incessante aumento della domanda di trattamenti cosmetici del sorriso ha imposto a molti operatori del settore odontoiatrico una presa di posizione ...
Le mucose orali possono essere facilmente soggette a traumi, acuti o cronici, di varia natura. Elementi dentari (malposizionati o con superfici ...
Dr. Bruce McFarlane Certified Specialist in Orthodontics Fellow: Royal College of Dentists of Canada Diplomate: American Board of Orthodontics
Live webinar
mer. 15 aprile 2026
20:00 (CET) Rome
Live webinar
gio. 16 aprile 2026
2:00 (CET) Rome
Linda Hecker MS, BSDH, RDH
Live webinar
gio. 16 aprile 2026
18:00 (CET) Rome
Dr. Pär-Olov Östman, Dr. Robert Gottlander DDS
Live webinar
ven. 17 aprile 2026
18:00 (CET) Rome
Live webinar
ven. 17 aprile 2026
19:00 (CET) Rome
Dr. Stuart Yeaton BDentSc, MOrth
Live webinar
lun. 20 aprile 2026
19:00 (CET) Rome
Dr. Alberto Monje DDS, MS, PhD
To post a reply please login or register