Il laser è uno strumento che non si sostituisce alle metodiche tradizionali, ma può offrire benefici aggiuntivi e significativi se utilizzato secondo protocolli e parametri adeguati, e soprattutto se associato a una strumentazione parodontale non chirurgica, manuale e a ultrasuoni, sempre sito-specifica.
Il DVD descrive, in maniera particolareggiata, strumenti, tecniche step by step, protocolli clinici e gestione del paziente parodontale, relativamente al trattamento laser assistito, al fine di ottenere la stabilità clinica dei casi trattati. In uno dei tre casi clinici, risolti con trattamento parodontale non chirurgico, dettagliatamente illustrati nel DVD sull’aspetto mesiale dell’incisivo centrale di destra, è presente una recessione di circa 2 mm, valori di sondaggio nella norma, in assenza di sanguinamento (Fig. 1), documentato anche con un video di follow-up, dopo 1 anno. Lo stesso paziente, lo stesso sito, 6 mesi prima rispetto alle immagini precedenti. Si riscontra un sondaggio di 8 mm sulla superficie mesiale dell’incisivo centrale di destra, associato a una recessione di circa 2 mm, per una perdita complessiva di attacco clinico di circa 10 mm (Fig. 2).
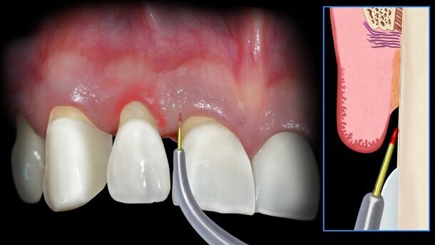
Dopo aver selezionato la modalità “Parodontologia” oppure un’impostazione equivalente a tali parametri, si utilizza il laser in modalità pulsata, con un T on uguale a un T off, a una potenza di circa 1 Watt, per un tempo massimo di 30 secondi per ogni sito, ripetibile dopo un lasso di tempo di 10 secondi. La lunghezza della fibra di vetro di 320 nanometri deve risultare pari alla profondità di sondaggio rilevata (Fig. 3), oppure in caso di fibra spellabile, si seleziona un inserto monouso, da 5 millimetri o 10 millimetri. Da notare come, grazie alla luce laser, si vedano in trasparenza i capillari della copiosa irrorazione sanguigna propria della mucosa alveolare (Fig. 3 - qui rappresentato attraverso dei disegni, ma nel DVD, con video clinici). La fibra è inserita all’interno della tasca, fino a raggiungerne l’estensione più apicale e si mantiene la fibra sempre in movimento, per un’azione tipo “scanner”. La funzione del laser è principalmente battericida, si eliminano anche i batteri dalla parete interna della tasca, dove si localizzano quelli più patogeni, per rimuovere i quali, con la sola strumentazione tradizionale, sarebbe necessario ricorrere a un curettage che spesso si associa a una recessione gengivale. Il laser, inoltre, indebolisce l’adesione del tartaro al dente, per effetto della sua azione termica; di conseguenza, la successiva strumentazione parodontale risulta facilitata, ma sempre necessaria. Si utilizzano poi strumenti a ultrasuoni e manuali, in modo complementare. Si usa un inserto di forma triangolare con movimenti oscillatori, veloci, ma quasi sul posto, e soprattutto alternati a frequenti momenti di pausa, sempre nel rispetto del pieno comfort del paziente (Fig. 4). Si noti come lo strumento manuale è utilizzato rigorosamente di punta, secondo una metodica modificata dall’autore e ampiamente descritta nel DVD (Fig. 5). Si raccomanda, inoltre, l’uso di un apparecchio aria-polvere, associato a sostanze come eritritolo, un dolcificante non cariogeno (Fig. 6).
embedImagecenter("Imagecenter_2_1086",1086,"small");
Si osserva come, dopo 1 anno di follow-up, si sia ricreato un adeguato sigillo mucoso attorno agli elementi dentali, che riduce la penetrazione batterica (Fig. 1). La profondità di sondaggio si è ridotta, dagli 8 mm iniziali (Fig. 2) agli attuali 2 mm, in assenza di sanguinamento, e soprattutto in presenza di una recessione rimasta stabile a 2 mm (Fig. 1). L’utilizzo addizionale del diodo sembra dunque associarsi a un “minor prezzo biologico” post-trattamento non chirurgico. L’uso del laser, in questa fase di follow-up, è giustificato, per rendere durevoli i risultati clinici ottenuti in un soggetto che presenta suscettibilità pregressa alla malattia parodontale (Fig. 7). Sull’aspetto centro-vestibolare dell’incisivo laterale, mascellare di destra si nota una lieve infiammazione (Fig. 7). L’autore raccomanda l’uso dello scaler a falcetto con un movimento orizzontale, qui in direzione mesio-distale, sempre con un controllo molto rigoroso dello strumento, per evitare di traumatizzare le mucose (Fig. 8). Al termine della strumentazione, si raccomanda di eseguire la biostimolazione del sito (Fig. 9). Si utilizza un manipolo di 600 nanometri, caratterizzato da un raggio defocalizzato, per 60 secondi a una potenza di 0,5 Watt, in modalità pulsata. Si raccomanda di tenere il manipolo perpendicolare al tessuto mucoso e in lento movimento, a circa 1 cm dai tessuti, disegnando dei piccoli cerchi. Il laser utilizzato in tutti i video di questo DVD, è un diodo la cui fonte di radiazione luminosa è l’arsenuro di gallio, ha dimensioni poco ingombranti che lo rendono versatile, maneggevole e portatile, in caso di necessità.
In un altro caso, sull’aspetto mesiale dell’incisivo centrale laterale di destra si rileva un sondaggio di circa 7 mm, associato a sanguinamento. Il tessuto mucoso è infiammato e facilmente retraibile (Fig. 10). La sonda è mantenuta parallela all’asse verticale del dente, per misurare la profondità di sondaggio, ma anche inclinata, per accentuare la sensibilità tattile, nel rilevare i depositi sottogengivali. Si raccomanda di usare il laser prima della strumentazione parodontale non chirurgica, proprio per la sua azione antalgica, conseguente all’inversione della pompa sodio-potassio di tutte le membrane cellulari, che crea analgesia della polpa, per circa 20 minuti, a vantaggio del comfort del paziente. Oltre a ciò, iniziare il trattamento con una procedura indolore serve a tranquillizzare il paziente, e l’impiego di tecnologie di ultima generazione genera un impatto positivo. Il laser a diodo è particolarmente indicato nella terapia parodontale non chirurgica, perché interagisce in modo selettivo con il tessuto infiammato, ricco di cromofori endogeni, come l’ossiemoglobina e la melanina, determinando innumerevoli effetti biologici.
Aspetto clinico dello stesso caso a 1 anno di distanza, dal trattamento di terapia causale (Fig. 11): si apprezza una stabilità del sigillo mucoso, valori di sondaggio nella norma in assenza di sanguinamento. L’obiettivo della strumentazione parodontale non chirurgica laser assistita è quello di rimuovere tutto ciò che è estraneo al dente, rispettando sostanza biologica. Per cui, il rilevamento del tartaro deve essere particolarmente meticoloso, eseguito sia con la sonda (Fig. 12) sia con la punta del laser spento, proprio per raccogliere il maggior numero di informazioni circa la distribuzione e l’entità dei depositi presenti (Fig. 13). All’utilizzo del laser a diodo segue sempre la strumentazione parodontale non chirurgica, per rimuovere i depositi rilevati, eseguita, secondo le preferenze del clinico, con strumenti manuali oppure con strumenti a ultrasuoni (Fig. 14). Il laser a diodi presenta anche indicazioni in caso di mucosite e di perimplantite. Le immagini cliniche (Figg. 15, 16) si riferiscono a uno dei due casi, illustrati dettagliatamente nel DVD.
In Fig. 15 si nota un sondaggio di circa 9 mm, registrato in occasione di un appuntamento di richiamo al 13º anno di follow-up. In Fig. 16 si osserva un valore di sondaggio nella norma, documentato in un successivo appuntamento di richiamo, dopo 23 anni di follow-up.
Nel DVD si illustrano molte delle strategie di trattamento, con video di follow-up, da 1 a 8 anni. Si descrive inoltre l’utilizzo del laser a diodo in caso di afta ulcerosa e di herpes labialis. Infine, si presenta lo sbiancamento dei denti vitali mediante laser a diodo. Numerosi disegni e animazioni arricchiscono il DVD, con precise finalità didattiche.
L'articolo è stato pubblicato sul numero 1 di Laser Tribune Italy 2014
Il laser è uno strumento che non si sostituisce alle metodiche tradizionali, ma può offrire benefici aggiuntivi e significativi se utilizzato ...
Un titolo volutamente provocatorio, ma che esprime una valutazione di assoluto compendio sull’utilizzo del laser a diodo come monoterapia, vale a dire...
Un titolo volutamente provocatorio, ma che esprime una valutazione di assoluto compendio sull’utilizzo del laser a diodo come monoterapia, vale a dire...
HAIPHONG, Vietnam: un nuovo case report mostra i risultati ottenibili con un approccio protesico conservativo in un paziente con un quadro anteriore ...
La considerazione che molti disturbi del distretto cranio-cervicale possano dipendere dagli atteggiamenti posturali conseguenti a una occlusione non ...
La considerazione che molti disturbi del distretto cranio-cervicale possano dipendere dagli atteggiamenti posturali conseguenti a una occlusione non ...
La Paziente di anni 47, forte fumatrice, si presenta presso il nostro studio chiedendoci una riabilitazione protesica fissa.
All’esame obiettivo e ...
La Paziente di anni 47, forte fumatrice, si presenta presso il nostro studio chiedendoci una riabilitazione protesica fissa.
All’esame obiettivo e ...
Il laser ha ormai un ruolo consolidato di primaria importanza in tutte le discipline odontoiatriche costituendo, dati alla mano, uno strumento ...
Il rimodellamento delle parabole gengivali è una terapia chirurgica molto spesso necessaria per ottimizzare al meglio le linea del sorriso dei pazienti, al...
Live webinar
gio. 7 maggio 2026
2:00 (CET) Rome
Ms. Ellen Karlin, Dr. Sara Karlin
Live webinar
gio. 7 maggio 2026
17:00 (CET) Rome
Live webinar
gio. 7 maggio 2026
18:00 (CET) Rome
Live webinar
gio. 7 maggio 2026
18:00 (CET) Rome
Dra. Maria Carolina Erhardt, Dra. Thais Tomé Feldens
Live webinar
gio. 7 maggio 2026
20:30 (CET) Rome
Live webinar
lun. 11 maggio 2026
18:00 (CET) Rome
Live webinar
lun. 11 maggio 2026
19:00 (CET) Rome
To post a reply please login or register