Il Consensus Report dell’Accademia Tecnologie Avanzate nelle Scienze di Igiene Orale (ATASIO) ha fornito raccomandazioni sull’efficacia per il controllo del biofilm batterico nello spazio sovracrestale con approccio personalizzato degli strumenti dedicati, fili e/o scovolini, in base alle differenti situazioni anatomiche e cliniche. Per il mantenimento della salute del cavo orale è necessario preparare protocolli operativi personalizzati seguendo un approccio di concordance con la persona assistita ed ottenere la compliance su corretti ed efficaci stili di vita di igiene orale domiciliare.
L’approccio operativo Tailored Brushing Method comprende lo spazzolamento delle superfici di tutto il cavo orale, nel rispetto del differente fenotipo tissutale della gengiva e il controllo del biofilm batterico dello spazio interprossimale, considerando le differenti altezze sovracrestali, con conseguente scelta di filo o scovolini idonei in base alla situazione morfologica presente. Altro livello di attenzione deve essere riservato alla destrezza nell’eseguire le operatività di igiene domiciliare. Il filo interdentale infatti, pur essendo un presidio efficace se usato con poca destrezza, in presenza di fenotipo gengivale sottile, può creare lesioni traumatiche irreversibili e inoltre la difficoltà d'uso risulta essere maggiore nel caso di pazienti che presentino mani troppo grandi che non permettano un ingresso agevole nel cavo orale.
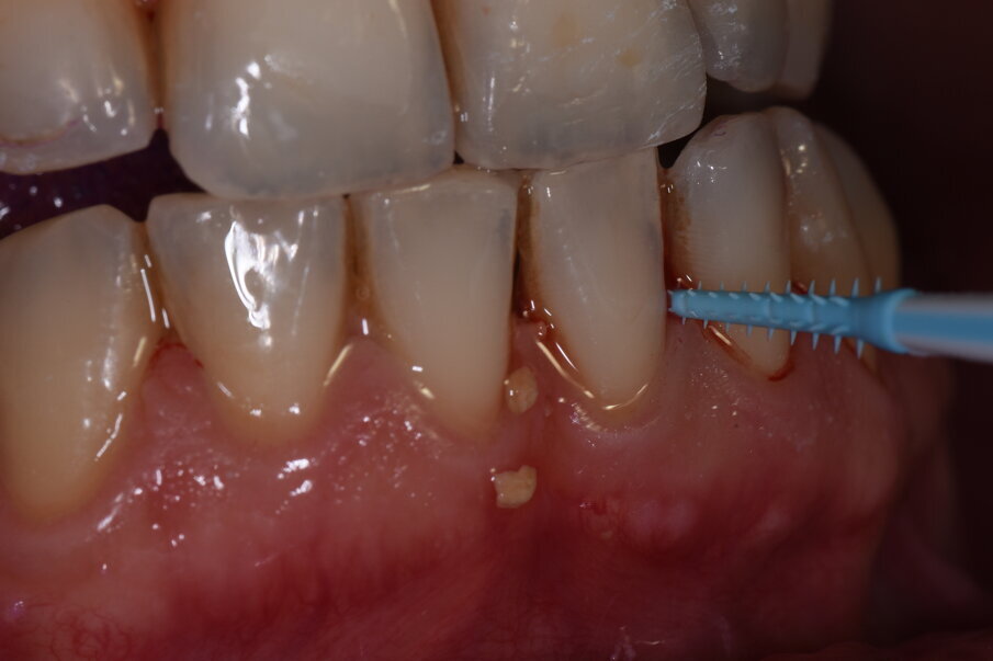
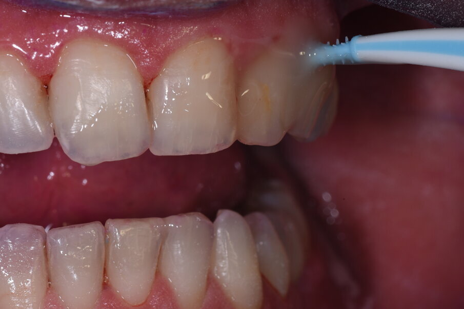
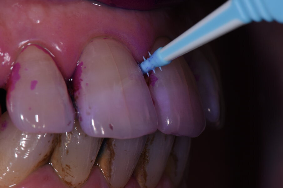
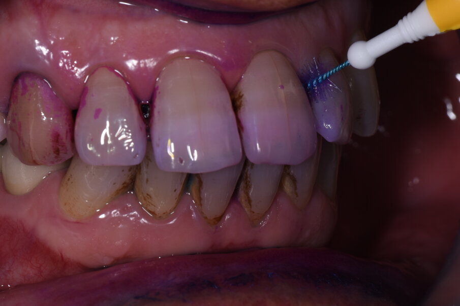
Come nella maggior parte degli strumenti manuali, anche per gli scovolini le caratteristiche del manico del gambo e della parte lavorante vanno attenzionate per prevedere la scelta giusta che agevoli la persona assistita nell’esecuzione delle pratiche di igiene orale domiciliare. Il manico ergonomico, antiscivolo, flessibile, bidirezionale fa la differenza per l’utilizzo nelle zone retro-molari. Non esiste evidenza scientifica sull’efficacia differente in base alla tipologia di setole, ma l’esperienza clinica di igienisti dentali esperti indica le setole triangolari più efficaci rispetto alle setole di forma circolari. Scovolini in gomma sono indicati in tutte le situazioni cliniche che richiedano atraumaticità con il grande vantaggio di permettere un lieve massaggio sui tessuti gengivali infiammati, nei pazienti sottoposti a terapia implantare. Il filo interdentale è efficace solo nei pazienti che riescono a utilizzarlo in modo preciso e costante.
L’igiene interprossimale, nel paziente implantare in presenza di mucosite, svolta dagli scovolini in gomma è in grado di massaggiare e stimolare la gengiva, dando benefici al processo di guarigione e all’efficacia del mantenimento, mentre nel paziente parodontale possono essere utilizzati scovolini con setole triangolari o circolari.
Particolare attenzione va riservata al paziente con gengiviti non correlate a placca, scegliendo strumenti poco traumatici in grado di procurare sollievo durante l’esecuzione e mantenendo l’efficacia dell’operatività modificando la scelta degli scovolini in base alla presenza di fasi attive o di remissione della patologia. Scovolini poco lesivi in gomma sono da indicare alle pazienti affette da gengivite gravidica e/o nei casi di infiammazione gengivale. È opportuno l’approccio motivazionale non solo alla decontaminare degli spazi sovracrestali, ma va indicato alla donna in stato di gravidanza di massaggiare e decongestionare i tessuti gengivali.
Nella gestione del controllo del biofilm batterico nel paziente in trattamento ortodontico, deve essere considerato il tipo di terapia ortodontica e successivamente va personalizzata la scelta degli strumenti. In caso di terapia ortodontica fissa sono indicati scovolini con setole triangolari, collo flessibile, manico antiscivolo ed ergonomico da usare attorno ai bracket ortodontici per disorganizzare il biofilm batterico tra superficie dentale e arco. In caso di terapia ortodontica con allineatori invisibili il mantenimento degli spazi interprossimali è più agevole, non avendo dispositivi ortodontici che ostacolano l’utilizzo dello strumento. La scelta deve essere personalizzata e condivisa, considerando le variazioni degli spazi sovracrestali durante tutta la terapia ortodontica. In presenza di diastemi, devono essere scelti scovolini con misura (codice ISO) idonei in modo che le setole vadano a occupare tutto lo spazio interprossimale. La misura (codice ISO) verrà modificata ai follow-up della terapia ortodontica in base all’eventuale riduzione del diastema.
Grazie alle tecnologie avanzate degli spazzolini, con i loro filamenti di setole sofisticati permettono un buon controllo del biofilm batterio nello spazio sovracrestale.
Per il controllo del biofilm batterico dei pazienti con disabilità va personalizzata la scelta in base alla disabilità. I pazienti special needs, collaboranti, non collaboranti e sensoriali hanno bisogno di una attenta valutazione del professionista in base alle difficoltà oggettive e sicuramente le sue competenze devono essere tradotte nella scelta opportuna in base alle criticità del cavo orale e del tipo di disabilità.
Le persone assistite hanno bisogno di scovolini che rispondano a caratteristiche ideali di ergonomia e mininvasività per i tessuti dento-parodontali, in modo da assicurare corretti stili di vita di igiene orale domiciliare e un controllo efficace degli spazi sovracrestali, scelti in base al fenotipo parodontale e al migliore adattamento considerando le differenti misure disponibili.
Nel caso si utilizzino scovolini con setole è raccomandato l’utilizzo di strumenti con manico ergonomico, direzionabile, per facilitare l’utilizzo anche nelle zone dei retromolari.
Bibliografia
- Antonioni M., Castaldi M., Fabiani I., Politangeli R., Chiavistelli L., Colavito A., Nardi G.M. Tailored brushing method con strumenti interprossimali per il controllo del biofilm batterico. Rivista Italiana Igiene Dentale 2022;18(3):123-130.
- Slot DE, Valkenburg C, Van der Weijden GAF. Mechanical plaque removal of periodontal maintenance patients: A systematic review and network meta-analysis. J Clin Periodontol. 2020.
- Trevor M. Johnson, Helen V. Worthington, Jan E. Clarkson, Tina Poklepovic Pericic, Dario Sambunjak, Pauline Imai. Mechanical interdental cleaning for preventing. Cochrane Database of Systematic Reviews. 2015, 23(12).
- Helen V Worthington 1, Laura MacDonald, Tina Poklepovic Pericic, Dario Sambunjak, Trevor M Johnson, Pauline Imai, Janet E Clarkson. Home use of interdental cleaning devices, in addition to toothbrushing, for preventing and controlling periodontal diseases and dental caries. Cochrane Database Syst Rev 2019. 10 4(4).
- Nardi GM, Sabatini S, Guerra F, Tatullo M, Ottolenghi L. - Tailored brushing method (TBM): an innovative simple protocol to improve the oral care. J Biomed 2016; 1:26-31
- Comparison of interdental brush to dental floss for reduction of clinical parameters of periodontal disease: a systematic review. PH Imai, X Yu, and D MacDonald. Centre for Reviews and Dissemination;4-2012.
- NL Hennequin-Hoenderdos, E van der Sluijs, GA van der Weijden, DE Slot, Efficacy of a rubber bristles interdental cleaner compared to an interdental brush on dental plaque, gingival bleeding and gingival abrasion: A randomized clinical trial. Int. J. Dent. Hyg. 2017.
- Mariano Sanz, David Herrera, Moritz Kebschull, Iain Chapple, Søren Jepsen, Tord Beglundh, Anton Sculean, Maurizio S Tonetti. Treatment of stage I–III periodontitis—The EFP S3 level clinical practice guideline. J Clin Periodontol., J Clin Periodontol. 2020 Jul;47 Suppl 22(Suppl 22):4-6.
- Pauline H. Imai, MSc, and Penny C. Hatzimanolakis. Interdental brush in Type I embrasures: Examiner blinded randomized clinical trial of bleeding and plaque efficacy. Can J Dent Hyg 2011 45;1-25,32.
- Fridus van der Weijden, Dagmar Else Slot, Eveline van der Sluijs, Nienke Lisette Hennequin-Hoenderdos. The efficacy of a rubber bristles interdental cleaner on parameters of oral soft tissue health-a systematic review. Int J Dent Hyg 2021 Feb 25.
- Ethan Ng, and Lum Peng Lim. An Overview of Different Interdental Cleaning Aids and Their Effectiveness. Dent J (Basel). 2019 Jun; 7(2): 56.
- Hennequin-Hoenderdos, A. Hage, S. Kusumawidjaja, E. Van Der Sluijs, D.E. Slot, F. Van Der Weijden The efficacy of rubber bristle interdental cleaners compared to interdental brushes on parameters of gingival health 2018.
L'articolo è stato pubblicato su prevention Italian Edition 2/22.
Tag:
La salute del cavo orale è condizionata dall’equilibrio dinamico tra ospite e microbiota. Esso risente degli stili di vita in grado di inficiare ...
La salute del cavo orale è fortemente condizionata dalla responsabilità che percepisce il paziente nel continuare il piano terapeutico di prevenzione ...
La presenza protratta nel tempo di dispositivi ortodontici fissi è un alto rischio per la salute dei tessuti parodontali e dentali in quanto viene a ...
La presenza protratta nel tempo di dispositivi ortodontici fissi è un alto rischio per la salute dei tessuti parodontali e dentali in quanto viene a ...
L’estetica del sorriso riveste un ruolo importante nelle relazioni sociali. Le crescenti esigenze estetiche della popolazione hanno favorito lo ...
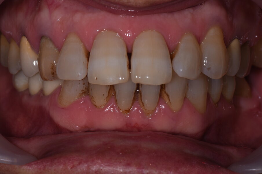
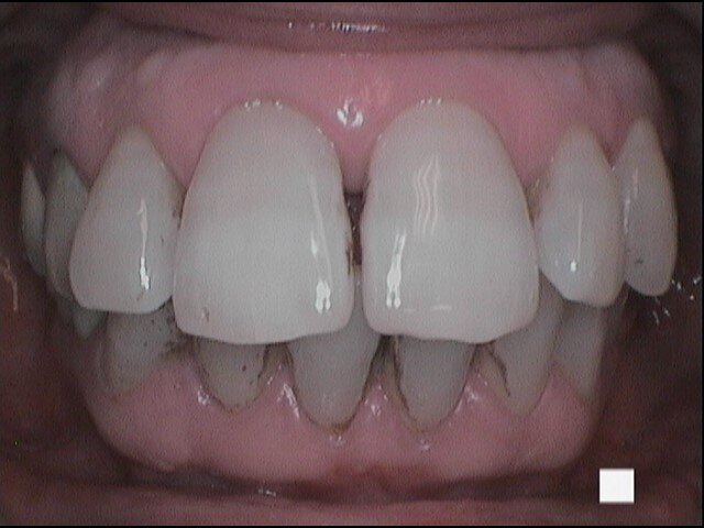
Un corretto protocollo domiciliare di gestione del biofilm orale è indispensabile per mantenere lo stato di salute del cavo orale (Fig. 1), sia esso ...
Un corretto protocollo domiciliare di gestione del biofilm orale è indispensabile per mantenere lo stato di salute del cavo orale (Fig. 1), sia esso ...
Gli impianti dentali rappresentano una alternativa scientificamente consolidata in sostituzione di uno o più denti mancanti. Il ripristino della funzione ...
Se vuole produrre salute per il paziente in prevenzione primaria, secondaria o terziaria, il professionista deve occuparsi di wellness, utilizzando quella ...
L’8 novembre si è tenuto presso la Dentsply Sirona Academy di Verona il Peers Closed Meeting riservato ai membri Peers, clinici esperti ed appassionati ...
Dr. Bruce McFarlane Certified Specialist in Orthodontics Fellow: Royal College of Dentists of Canada Diplomate: American Board of Orthodontics
Live webinar
mer. 15 aprile 2026
20:00 (CET) Rome
Live webinar
gio. 16 aprile 2026
2:00 (CET) Rome
Linda Hecker MS, BSDH, RDH
Live webinar
gio. 16 aprile 2026
18:00 (CET) Rome
Dr. Pär-Olov Östman, Dr. Robert Gottlander DDS
Live webinar
ven. 17 aprile 2026
18:00 (CET) Rome
Live webinar
ven. 17 aprile 2026
19:00 (CET) Rome
Dr. Stuart Yeaton BDentSc, MOrth
Live webinar
lun. 20 aprile 2026
19:00 (CET) Rome
Dr. Alberto Monje DDS, MS, PhD
To post a reply please login or register