La ricostruzione estetica del sorriso rappresenta oggi un argomento di studio molto di tendenza. Le difficoltà che il clinico deve affrontare, sono fondamentalmente legate alla necessità di pre-visualizzare il risultato finale non solo dal punto di vista estetico ma anche da un punto di vista funzionale. L’odontotecnico è spesso abbandonato in questo processo e la quantità di dati a disposizione rende il suo lavoro estremamente complicato.
Il progetto protesico, oltre che tener conto delle proporzioni, dell’armonia, e della morfologia dei denti frontali, deve tenere in considerazione aspetti quali la dimensione verticale, le guide canina ed incisale e la funzione condilare. La complessità di questi casi seguendo un protocollo di lavoro tradizionale è associata all’impossibilità di poter valutare in fase di pianificazione l’estetica e la funzione dinamica dei restauri protesici virtuali in simulazioni scientificamente credibili.
Obiettivo di questo lavoro è proporre un nuovo protocollo operativo analogico digitale che soddisfi essenzialmente tre obiettivi: performance, semplicità, integrazione. Le informazioni ottenute con indagini strumentali digitali: Scanner, Software e rx 3D permettano al clinico e all’odontotecnico di pianificare, interagire sulla pianificazione, simulare e progettare restauri performanti non solo dal punto di vista estetico ma anche da un punto di vista funzionale avendo la possibilità di testare anticipatamente il risultato finale virtuale e trasformare le informazioni in manufatti di elevatissimo requisito estetico grazie ai materiali fresabili di ultima generazione.
Il protocollo
Materiali e metodi
Vengono eseguiti una serie di esami strumentali:
- Impronte studio;
- Scansione ottica intra-orale pre-operatoria;
- Set fotografico del viso e intra-orale;
- Volume 3D CBCT;
- Rilievo dei movimenti mandibolari con arco facciale digitale in protrusiva, lateralità, fonazione (lettera S M F);
- Analisi dei dati ottenuti con un software di progettazione protesica “Prosthetic SW”, e radiologica “DICOM SW”.
Al fine di pre-visualizzare il risultato finale abbiamo disegnato il nuovo sorriso della paziente, seguendo nuovi concetti di “Anterior Design” e utilizzando un software “Prosthetic SW”, abbiamo realizzato un mock-up in resina che verrà posizionato direttamente in bocca al paziente.
Questa è la fase dove è possibile pianificare l’eventuale trattamento ortodontico, processando il file protesico con un software di allineamento dentale “Aligning SW”. Seguendo il protocollo in una fase successiva è stata eseguita una scansione intraorale con il mock-up in posizione.
Successivamente la scansione degli elementi dentali preparati integrata con la copiatura del mock-up eseguita in precedenza, assume la funzione di supporto alla progettazione protesica. La perfetta interazione e integrazione dei modelli digitali permette sia al clinico che all’odontotecnico non solo di pianificare correttamente, ma anche di monitorarli oggettivamente.
Prosthetic SW
La scansione delle arcate diretta (telecamera intraorale) o indiretta (scansione del modello in gesso in laboratorio) consente di ottenere un modello master virtuale delle arcate dentali, utile alla realizzazione di un wax-up digitale dove la ricostruzione morfologica dei denti è simulata. In questa prima fase viene scelta non solo la forma dei restauri protesici, ma anche valutata se la posizione dei denti del paziente sia ideale per il raggiungimento del risultato proposto.
Dicom SW
Il “mock-up digitale” ottenuto dal “Prosthetic SW” integrato nel volume radiologico 3D del paziente, offre al clinico la possibilità di valutare le relazioni tra i restauri protesici digitali con le strutture anatomiche che partecipano al movimento. Le valutazioni scheletriche sono utili per un’analisi accurata dei processi alveolari e tessuti molli, l’orientamento 3D dei mascellari e i piani ortodontici digitali.
Aligning SW
L’uso degli allineatori consente modifiche della posizione o dell’inclinazione dei denti utile a un approccio protesico conservativo. Questo formidabile strumento diventa fondamentale quando è integrato e integrabile con i “Prosthetic SW”.
Function SW
L’uso degli archi facciali digitali permette al clinico di valutare il progetto protesico da un punto di vista gnatologico, facendo compiere al paziente tutti i movimenti e tutte le prove fonetiche.
Le informazioni ottenute sono automaticamente esportabili e quindi immediatamente acquisibili come parametri di settaggio dai “Prosthetic SW”.
Milling SW
I software di laboratorio consentono all’odontotecnico di definire i percorsi di fresaggio e il metodo: a secco, umido, lubrificato, milling, grinding, con percorso a 4-5 assi. Queste variabili sono importanti, e ci consentono di selezionare il materiale più performante per soddisfare i requisiti pianificati durante la stesura del piano di trattamento, sfruttando al massimo le proprietà meccaniche e tecnologiche del materiale scelto (Figg. 1a, 1b).
Presentazione del caso
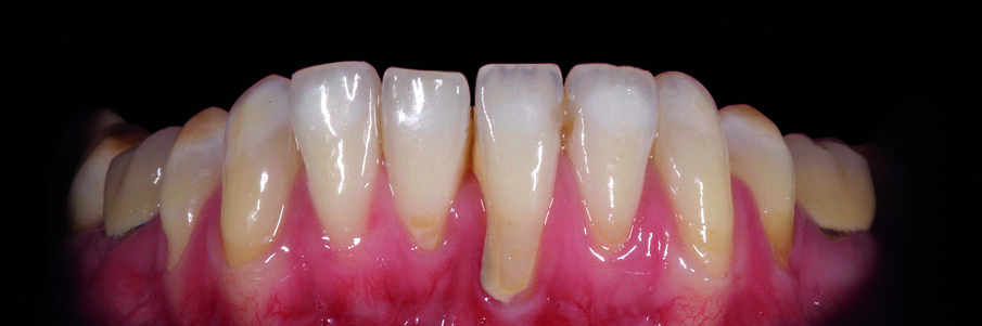
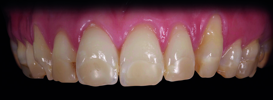
Una Paziente di 30 anni in buono stato di salute si presenta alla nostra osservazione lamentando una inadeguata estetica del suo sorriso e una ipersensibilità al freddo a carico dei settori latero-posteriori sia superiori che inferiori (Fig. 2).
Diagnosi
Semeiotica Strumentale
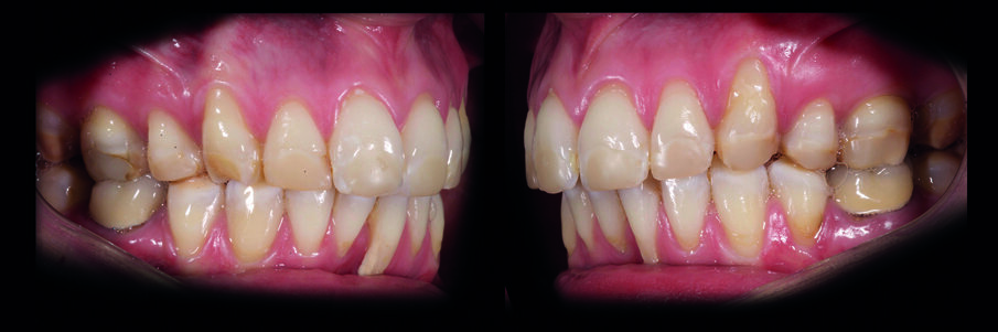
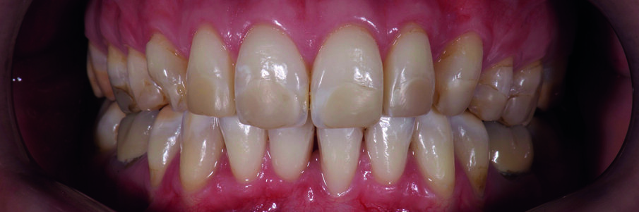
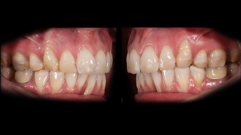
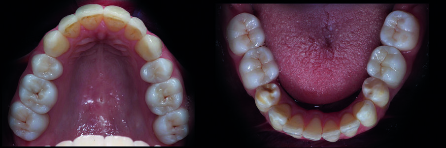
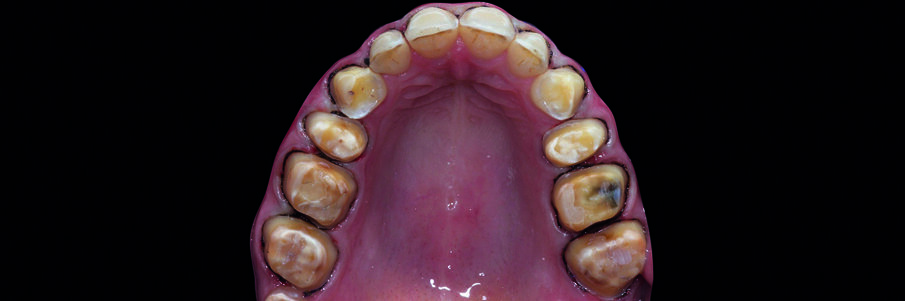
- Fotografia del volto all’esame clinico, in prospettiva frontale, la paziente presentava ampie recessioni gengivali a carico dei denti frontali da premolare a premolare del lato opposto in entrambe le arcate. In prospettiva laterale in corrispondenza dell’arcata superiore, presenti restauri in composito sia sui denti frontali che sulle superfici vestibolari dei denti latero-posteriori che conferivano alla paziente un aspetto inadeguato dal punto di vista estetico. Entrambe le arcate dentali viste in prospettiva occlusale presentavano un’Amelogenesi imperfecta che coinvolgeva tutti i denti posteriori e laterali, tranne i due primi molari inferiori per i quali erano state fatte due corone in ceramica (Figg. 3a-3d).
- La scansione intra-orale Full-arch eseguita con Omnicam Dentsply Sirona GmbH e Software Ortho 1.1: arcata superiore e inferiore con la finalità di documentare le alterazioni dell’architettura gengivale, misurare l’overjet e l’overbite e analizzare la DVA e la DVP (Fig. 4).
- L’analisi con l’arco facciale digitale Sicat JMT+ rileva riduzione della dimensione verticale posteriore e conseguente posizione condilare bilaterale retrusa. Lateralità dx guidata dal canino usurata. Era, inoltre deficitaria la guida in lateralità e protrusiva dovuta all’erosione completa delle cuspidi di 1.3 e 2.3 e delle cuspidi lavoranti dei premolari e molari superiori e inferiori (Fig. 5).
- Esame CBCT 3D eseguito con volume 11x10 ORTHOPHOS SL 3D. non evidenza lesioni ossee, presenza di lieve-moderato riassorbimento osseo diffuso all’arcata superiore (Fig. 6).
- Rx endorali: erano presenti carie interprossimali nelle zone latero-posteriori e le due corone in metallo-ceramica a carico dei 4.6 e 3.6 mostravano evidenti segni d’imprecisione (Fig. 7).
- Anterior Design e Simulazione del risultato finale: il progetto del nuovo sorriso della paziente va disegnato tenendo in considerazione non solo aspetti anatomici, ma anche il suo carattere e la sua personalità. Al termine di questa fase progettuale sarà possibile testare il risultato finale direttamente sui denti del paziente valutando l’impatto su tutto quanto il suo viso (Fig. 8).
- Il mock-up realizzato sulla ceratura diagnostica: la complessità del caso ha indotto la scelta di realizzare una ceratura diagnostica su modello in gesso. Abbiamo realizzato uno stampo in silicone dei modelli ottenuti così da poter procedere alla stampa in bocca del progetto estetico simulato. È stata eseguita una scansione intraorale del mock-up stampato facendo diventare il file determinante per offrire al tecnico la libreria di copiatura sui modelli master definitivi (Figg. 9, 10).
Terapia
Dall’insieme dei dati raccolti e dopo la simulazione del risultato finale, per poter ottenere un risultato soddisfacente sia dal punto di vista estetico che funzionale, la terapia ha previsto i seguenti step (Fig. 11):
- Pianificazione Anterior Design definitivo;
- Allineamento dentale e risoluzione della protrusione dei denti frontali da canino a canino, seguendo le indicazioni suggerite dal set-up ortodontico digitale;
- Ripristino dell’armonia e della simmetria delle parabole gengivali superiori e inferiori con chirurgia mucogengivale;
- Ripristino di un corretto Overbite ed Overjet con l’intervento di allineamento e ripristino protesico di una corretta DVA e DVP;
- Finalizzazione protesica del caso.
Le Fasi di intervento
Stripping ed Aligning
Eseguite le impronte ottiche (Omnicam Dentsply Sirona) i file nativi sono stati trasformati in STL e quindi importati nel software “Aligning SW” Maestro Cad 3D (Figg. 12, 13).
Dovendo risolvere la protrusione dei denti frontali e a tal fine dovendo spostarli in direzione posteriore senza modificare la posizione dei denti latero-posteriori già in prima classe canina e molare, era necessario ridurre l’arco di cerchio frontale e con l’utilizzo di questo software è stato possibile calcolare l’entità dello stripping necessario per ricavare lo spazio sufficiente a favorire il movimento (Fig. 14). Trasferendo il dato digitale a un software “Prosthetic SW” Partial Framework Dentsply Sirona abbiamo costruito una mascherina di stripping che ci guidasse durante la rimodellazione dei denti frontali (Figg. 15, 16) e nella costruzione delle mascherine di allineamento (Fig. 17).
La chirurgia muco-gengivale
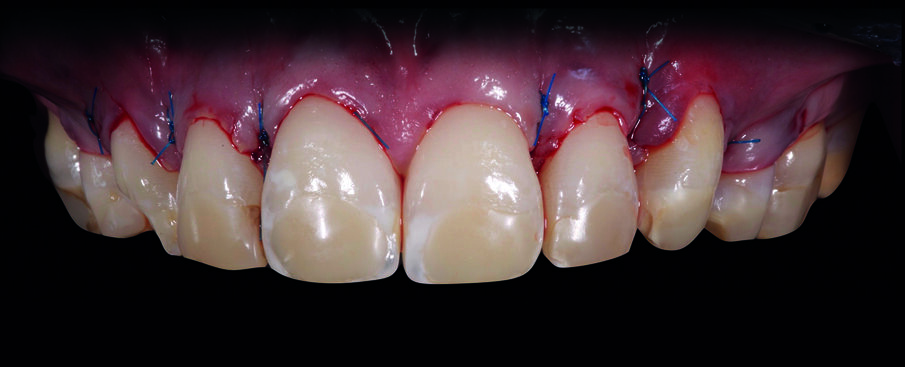
Nell’arcata superiore è stato eseguito con estensione da 14 a 24 un “Lembo spostato coronalmente per recessioni multiple”, mentre la recessione a carico del 3.1 è stata risolta eseguendo un innesto libero con tecnica bilaminare (Figg. 18, 19).
Revisione del progetto estetico finale
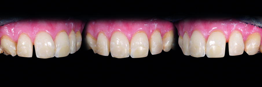
In questa fase del trattamento dopo avere posizionato correttamente i denti frontali nella posizione ideale è stata fatta una rivalutazione del progetto estetico finale e un adattamento del wax-up, che è stato testata direttamente sulla paziente mediante il mock-up (Figg. 20-23).
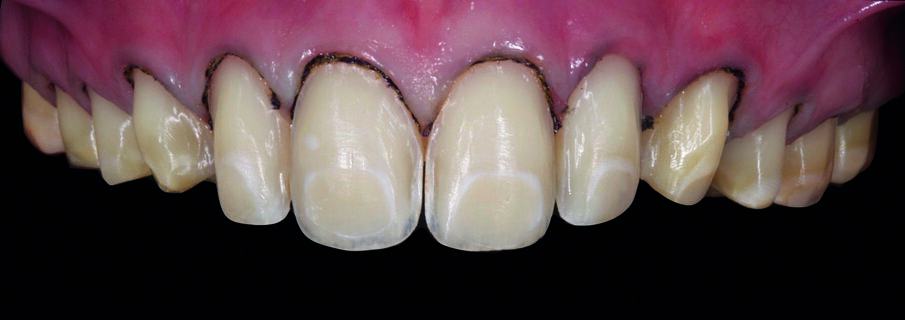
Preparazione parziale dell’arcata superiore guidata dal mock-up progettato
Il concetto di iniziare la preparazione dal mock up, ha il senso di evitare un’eccessiva preparazione dei denti. I denti coinvolti nella fase di preparazione erano tutti i denti superiori e i quattro molari inferiori. Avevamo previsto di eseguire delle corone sui denti latero-posteriori nell’arcata superiore e anche nell’arcata inferiore, e 6 faccette dell’arcata superiore da canino a canino (Figg. 24-26).
Impronta ottica intra-orale della preparazione
La scansione dei denti preparati deve essere ineccepibile al fine di condividere con il software “Prosthetic SW” tutte le informazioni relative ai denti preparati e non, con la finalità di consentire un corretto accoppiamento fra i due modelli master il primo con i denti preparati e il secondo con il mock-up posizionato in bocca al paziente (Fig. 27).
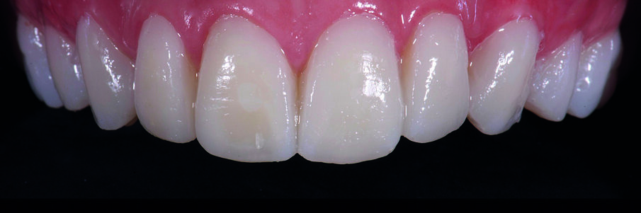
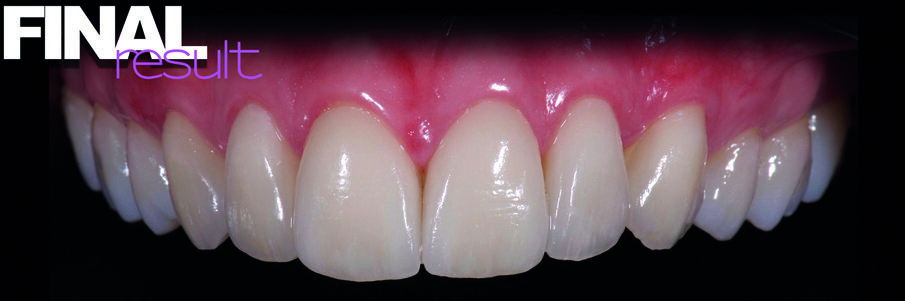
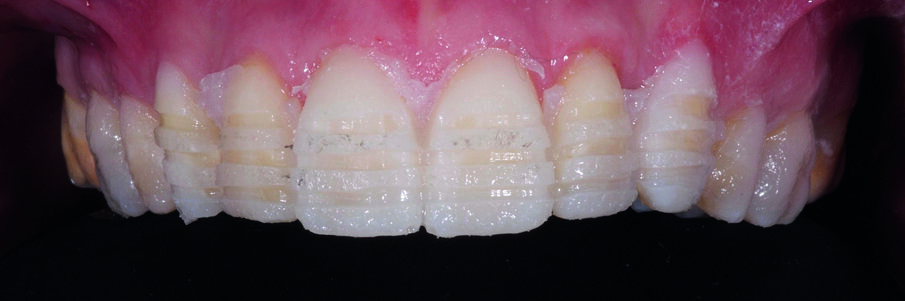
- Progettazione protesica dei restauri in zirconia infiltrata per i denti altero-posteriori e ceramica feldspatica fresata per i denti frontali superiori da canino a canino (Figg. 28, 29).
- Cementazione definitiva delle faccette in ceramica feldspatica con tecnica adesiva classica previa sabbiatura con ossido di allumina (anche della superficie preparata dei denti) sempre sotto diga di gomma.
- Cementazione delle corone in zirconia senza mordenzatura ne sabbiatura ma utilizzando solo un cemento resinoso (Figg. 30-32).
Discussione e conclusioni
L’accurata pianificazione clinica e tecnica della morfologia e della funzione attraverso l’utilizzo di hardware e software di ultima generazione garantisce diagnosi, pianificazione e realizzazione dei restauri. La predicibilità estetica e la stabilità funzionale sono obiettivi più semplici e sicuri grazie alle informazioni a disposizione del team Clinico e Tecnico.
L’odontostomatologia moderna affronta le sfide più complesse con strumenti e software che negli anni hanno semplificato “l’interfaccia” clinico strumento.
L’integrazione tra gli strumenti e i software, tra i software nelle diverse applicazioni, diventa cruciale nei protocolli clinici e di laboratorio permettendo ai due professionisti di interagire con semplicità, anche da remoto, nelle scelte operative.
I casi complessi oggi sono sempre più frequentemente la restaurativa dell’elemento singolo o di meno di 4 elementi. L’efficienza di un protocollo clinico è anche la sua applicabilità in casi “piccoli” ma con obiettivi importanti: estetica, funzione e stabilità nel tempo. Riteniamo che la caratteristica dei flussi digitali integrati sia anche l’applicabilità nei casi clinici di tutti i giorni, riducendo tempi costi ed elevando funzione diagnostica e predicibilità di risultati estetico funzionali.
Tag:
Il 29 giugno 2013 si è tenuto a Milano presso Auditorium Vodafone, il primo convegno nazionale sulle soluzioni estetiche digitali dal titolo ...
Il Board of Directors di IAID illustra la mission e la filosofia su cui si fonda l’Academy.
La bellezza del sorriso è condizionata da aspetti emozionali e strutturali. Emozionali perché mettono in evidenza uno stato d’animo, ...
Il 25 e 26 maggio Viareggio ha ospitato il X Congresso Nazionale della Società Italiana di Scienze di Igiene Orale, il primo organizzato dalla nuova ...
MANGALORE, India: Il digital smile design ha iniziato a utilizzare l’intelligenza artificiale (IA), sollevando interrogativi sulla qualità e ...
Il laser è uno strumento che non si sostituisce alle metodiche tradizionali, ma può offrire benefici aggiuntivi e significativi se utilizzato ...
Il laser è uno strumento che non si sostituisce alle metodiche tradizionali, ma può offrire benefici aggiuntivi e significativi se utilizzato ...
Nell’ambito dei lavori scientifici dell’interessante Congresso Nazionale dell’UNID, sabato 27 ottobre alle ore 12.00 si è tenuta la...
Se vuole produrre salute per il paziente in prevenzione primaria, secondaria o terziaria, il professionista deve occuparsi di wellness, utilizzando quella ...
Introduzione
Negli ultimi anni i dispositivi ortodontici funzionali non sono usati soltanto come contenzione passiva, ma anche e soprattutto come ...
Ms. Ellen Karlin, Dr. Sara Karlin
Live webinar
gio. 7 maggio 2026
17:00 (CET) Rome
Live webinar
gio. 7 maggio 2026
18:00 (CET) Rome
Live webinar
gio. 7 maggio 2026
18:00 (CET) Rome
Dra. Maria Carolina Erhardt, Dra. Thais Tomé Feldens
Live webinar
gio. 7 maggio 2026
20:30 (CET) Rome
Live webinar
lun. 11 maggio 2026
18:00 (CET) Rome
Live webinar
lun. 11 maggio 2026
19:00 (CET) Rome
To post a reply please login or register