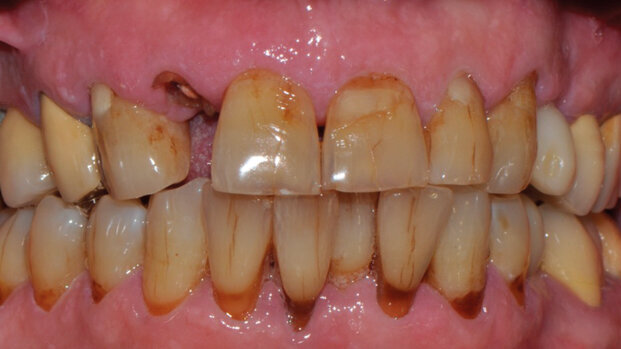
Il posizionamento di un impianto post-estrattivo immediato in zona estetica è una procedura consolidata e ben documentata3,11,12. Il suo successo dipende tuttavia da una selezione attenta del paziente; se questa non è eseguita secondo un preciso albero decisionale, il rischio di fallimento implantare ed estetico è elevato6. In seguito all’estrazione, il processo alveolare subisce una sequenza di eventi ben nota che può condurre ad un certo grado di riassorbimento osseo1,18,24.
L’inserimento di un impianto non permette di prevenire questi cambiamenti tridimensionali dell’osso alveolare; anzi, il posizionamento errato di un impianto immediato può favorire il riassorbimento osseo e accelerare la migrazione in senso apicale dei tessuti molli, specialmente a carico del versante vestibolare10,13. Queste conseguenze possono essere evitate solo attraverso un’attenta diagnosi preoperatoria, che preveda la pianificazione dell’inserimento implantare solo in funzione di una precisa valutazione delle caratteristiche dell’osso alveolare4,8.
Alcuni autori suggeriscono, per evitare il riassorbimento del processo alveolare, di eseguire sempre contestualmente delle procedure mirate alla conservazione del processo alveolare5,16. Altri suggeriscono addirittura di astenersi dal posizionare impianti post-estrattivi immediati in zona estetica (tra cui Quirynen e collaboratori, i quali dichiarano: «Quando i clinici operano nella zona estetica può essere ragionevole attendere la guarigione dei tessuti molli e duri per permettere di compensare il riassorbimento al versante vestibolare»)17.
Tuttavia, sia il biotipo parodontale14,15 sia lo spessore osseo iniziale8,20 possono influenzare in modo significativo il riassorbimento dell’osso vestibolare che segue l’estrazione. Infatti, pazienti che presentano un biotipo gengivale spesso e una parete ossea vestibolare, a livello coronale, densa e più spessa di 2 mm, mostrano, a seguito di un’estrazione atraumatica, una scarsa tendenza al riassorbimento del processo alveolare. Inoltre l’esame CBCT è in grado di mostrare l’eventuale evoluzione verso una possibile anchilosi della radice del dente. Questo consente di valutare il rischio di perdita della parete ossea vestibolare durante l’estrazione. Nella pianificazione di un inserimento implantare post-estrattivo immediato finalizzato al carico immediato è quindi fondamentale essere in grado di ottenere informazioni precise e affidabili in merito al biotipo gengivale, allo spessore della corticale vestibolare e allo spessore del legamento parodontale. In questo contesto, oltre all’esecuzione di un attento esame clinico risulta cruciale, per valutare correttamente lo spessore della corticale vestibolare e del legamento parodontale, la qualità della scansioni CBCT. Il chirurgo orale dovrebbe infatti avvalersi solo di dispositivi CBCT in grado di produrre scansioni di alta qualità e ad alta risoluzione e che, possibilmente, misurino la densità ossea in termini di unità Hounsfield (HU) assolute19 o per i quali esistano parametri di conversione noti e certificati tra le unità HU ed i voxel values (VV) misurati. Data la ridotta dose di radiazioni cui è esposto il paziente che si sottopone a una CBCT, questa può essere eseguita in relativa sicurezza anche per pianificare l’estrazione e la riabilitazione di un elemento singolo9,23,25. Il caso che segue illustra questo tipo di approccio.
Leggi l'articolo completo nella sezione CLINICAL > IMPLANTOLOGY
L’inserimento di impianti postestrattivi immediati comporta vantaggi e svantaggi, ma in generale è considerata una terapia chirurgica ...
Nelle aree esteticamente critiche, la scelta del momento del posizionamento dell'impianto immediato, precoce o tardivo, può influenzare il risultato. Nel ...
Nella valutazione di elementi dentali irreparabilmente compromessi ci troviamo a dover effettuare delle scelte sul piano di trattamento post-estrattivo1, 2....
Esiti di malattia parodontale, riassorbimenti interni ed esterni, lesioni cariose non sanabili e fratture sono ancora oggi causa di estrazione di molti ...
I piani di trattamenti clinici che prevedono il carico immediato o il posizionamento post-estrattivo immediato dell’impianto, rappresentano una procedura ...
È sempre più attuale e dibattuta dalla comunità scientifica la sostituzione di elementi in zona estetica con impianti ...
È sempre più attuale e dibattuta dalla comunità scientifica la sostituzione di elementi in zona estetica con impianti ...
La difficile scelta clinica nel mantenimento di elementi compromessi e la loro eventuale sostituzione con impianti dentali, porta all’individuazione dei ...
Se si dà uno sguardo al domani, specie per quanto riguarda l’implantologia, si può affermare con tranquillità che gli impianti ...
La progettazione protesica ha grande importanza, in modo particolare quando il diario clinico prevede una riabilitazione su impianti. Il case report ...
Live webinar
mer. 15 aprile 2026
20:00 (CET) Rome
Live webinar
gio. 16 aprile 2026
2:00 (CET) Rome
Linda Hecker MS, BSDH, RDH
Live webinar
gio. 16 aprile 2026
18:00 (CET) Rome
Dr. Pär-Olov Östman, Dr. Robert Gottlander DDS
Live webinar
ven. 17 aprile 2026
18:00 (CET) Rome
Live webinar
ven. 17 aprile 2026
19:00 (CET) Rome
Dr. Stuart Yeaton BDentSc, MOrth
Live webinar
lun. 20 aprile 2026
19:00 (CET) Rome
Dr. Alberto Monje DDS, MS, PhD
Live webinar
mer. 22 aprile 2026
17:00 (CET) Rome
MDT Andreas Chatzimpatzakis
To post a reply please login or register