I piani di trattamenti clinici che prevedono il carico immediato o il posizionamento post-estrattivo immediato dell’impianto, rappresentano una procedura che segue una tecnica chirurgica consolidata anche per il congruo supporto scientifico a disposizione[1].
Tali metodiche tendono a voler ottimizzare i tempi di riabilitazione dell’elemento perduto, la sovrapposizione delle due metodiche porta a incrementare il rischio di fallimento specie nei settori posteriori dei diatorici, dove la conformazione radicolare e la pluri-radicolarità espongono l’inserimento implantare a un minor contatto osso-impianto, rappresentando talvolta una controindicazione al trattamento stesso. Molto dipende anche dalla macrostruttura di superficie dell’impianto utilizzato che aumenta la stabilità immediata, ottimizzando anche il profilo d’emergenza originale dei tessuti molli.
Gran parte del risultato finale è inoltre imputato alla conformazione del provvisorio che garantisce una sorta di sigillo sul quale si adagia il tessuto gengivale creando nuova e futura conformazione anatomica ideale per l’alloggiamento della porzione cervicale del restauro definitivo, colmando l’inevitabile discrepanza esistente tra la conformazione radicolare e la geometria implantare.
Qualora il gap osseo sia compreso o superiore ai 2 mm è indicata l’integrazione di biomateriali osteoconduttivi a lento riassorbimento in grado di poter ristabilire il profilo osseo originale. La stabilità della connessione meccanica tra impianto e moncone rappresentano un aspetto critico per la solidarizzazione protesica, la vite a cui è spesso affidata la stabilità può rompersi o svitarsi specie se si scende nei diametri e se i carichi occlusali sono elevati e superano nel tempo il limite di stress meccanico. Il torque di avvitamento stabilizza la vite impedendone lo svitamento spontaneo ed evitando quei micromovimenti che determinano nel tempo uno stimolo negativo nei confronti del livello osseo crestale con inevitabili riassorbimenti crestali. Specie nelle corone singole la percentuale di svitamenti e fratture a 5 anni è influente e rappresenta un indice di fallimento significativo2.
Altri sistemi prevedono un accoppiamento conico che generando un sistema autobloccante di frizione a freddo, tra le superfici sulla base dei gradi di inclinazione inferiore ai 5, produce il conosciuto sistema Cono Morse. Un ulteriore fattore da considerare è associato a eventuali microgap che favoriscono la colonizzazione batterica nell’interfaccia strutturale tra l’impianto e il moncone con rilascio di endotossine che vengono veicolate nel perimetro dei tessuti perimplnatari duri e molli.
La stabilità dei tessuti perimplantari rappresenta una condizione fondamentale per garantire il successo a lungo termine nel mantenimento dell’osteointegrazione, pertanto la scelta dei materiali di restauro sono oggetto di disamina valutativa non solo estetica ma anche biologicamente funzionale. A lungo l’associazione metallo-ceramica è stata ritenuta il gold standard per le componenti protesiche su impianto, tale visione è oggi mutata ritenendo la ceramica integrale una valida alternativa3.
La zirconia rappresenta sempre più un ottimo materiale d’impiego per i monconi e per le sovrastrutture protesiche. Lo sviluppo dei materiali e la ricerca tecnologica ha portato all’utilizzo della zirconia monolitica in sostituzione della metallo-ceramica per l’alto modulo di resistenza registrato e conseguentemente per il minor rischio di chipping coronale4. Inoltre la valenza sul piano estetico della zirconia, rispetto al titanio, beneficia di un risultato soddisfacente anche nella trasparenza transmucosa perimplantare specie se con fenotipo sottile, diversamente di difficile realizzo con strutture metalliche, favorendo inoltre la stabilità dei tessuti data dalla mancanza di ossidi metallici presenti5. Una possibile alternativa a quanto sopra esposto è data da sistemi implantari monotype in zirconia in cui il moncone è solidarizzato all’impianto in un corpo unico dettando geometrie e volumi prestabiliti e non modificabili a cui adeguiamo la componente protesica.
Seppur molto vantaggiosi per le loro peculiarità, tali sistemi purtroppo presentano dei limiti nel posizionamento implantare e nel tipo di restauro, non essendo modificabile l’inclinazione del moncone o la sua geometria e dovendo necessariamente prevedere solo una cementazione del restauro protesico.
È pertanto utile avere una visione chiara del quadro clinico per determinare selettivamente il loro impiego al fine di poter sfruttare lo loro caratteristiche a proprio vantaggio.
_Caso clinico
Paziente di sesso femminile di 32 anni, si presenta alla nostra osservazione con la frattura coronale in senso verticale del 2.5 non trattabile con altre terapie (Fig. 1). L’elemento precedentemente recuperato mediante terapia endodontica e successiva ricostruzione diretta in resina composita ha subito un trauma involontario che ne ha causato la frattura verticale sino al terzo radicolare, come evidenzia il radiogramma endorale (Fig. 2) rendendo superflua una ulteriore indagine 3D.
La radiografia mostra inoltre una buona struttura radicolare con una porzione ossea residua apicale e un’assenza di infezioni. La frattura radicolare non ha prodotto riassorbimenti ossei pertanto la diagnosi infausta per il dente è puramente clinica. L’unica richiesta da parte della paziente è quella di non rimanere con la mancanza dell’elemento avendo un sorriso con una estesa esposizione dentale che turberebbe l’estetica recando conseguente disagio.
La valutazione pre-implantare si completa con la valutazione della dimensione verticale coronale e radicolare per la scelta della lunghezza implantare associata alla dimensione del moncone. La preparazione pre-chirurgica ha previsto una profilassi antibiotica pre-chirurgica con amoxicillina cp da 1 g (2 cp 1ora prima dell’estrazione e 1 cp 6 ore dopo la prima somministrazione), sciacqui con clorexidina 0,12% (2 al dì per 10 gg) dal giorno prima dell’intervento. L’estrazione viene eseguita in maniera atraumatica grazie all’ausilio del piezo-surgery che ha permesso di rimuovere il residuo radicolare senza la necessità di sollevare un lembo e mantenendo la porzione ossea vestibolare intatta. L’alveolo integro facilita il suo rimodellamento relativamente alla realizzazione del foro implantare. L’impianto scelto nello specifico è uno Straumann monotype da
12 mm con moncone da 4 mm.
Questa fixture rappresenta una tipologia di impianto Tissue Level, pertanto possiamo decidere di posizionare il collarino alla profondità opportuna relativamente alle condizioni biologiche presenti. La massima attenzione nell’estrazione e nella realizzazione del sito implantare ne magnificano la stabilità primaria consentendogli di avere le condizioni ottimali che permetteranno di assecondare le richieste della paziente. La preparazione del sito implantare si avvale inizialmente dell’ausilio del piezo-surgery con una punta a pallina diamantata che consente di alloggiarsi sulla porzione inclinata della corticale alveolare nella porzione palatina prevenendo l’eventuale riassorbimento fisiologico vestibolare post-estrattivo.
Dopo aver realizzato un adeguato alloggio stabile alla fresa, successiva si prosegue con l’uso convenzionale delle frese sino al raggiungimento del diametro voluto che nello specifico era di
3.8 mm per un impianto di 4.1 mm. La qualità dell’osso non richiedeva maschiatura e dovendo aumentare la stabilità primaria, al fine di determinarne il pieno successo, abbiamo inserito l’impianto in successione a fine preparazione. Al termine dell’inserimento si rileva un’impronta secondo tecnica digitale con uno scanner intraorale e previa modellazione Cad/Cam si esegue una corona in Telio in modalità Chairside (Fig. 3), replicando il contorno originario dell’alveolo post-estrattivo e consentendo di creare un sigillo al fine di favorire la stabilizzazione del coagulo ematico con un supporto meccanico immediato ai tessuti molli circostanti6. Il ruolo svolto dal provvisorio soddisfa la componente estetica, con il condizionamento dei tessetti molli e l’eventuale mantenimento di biomateriali inseriti tra l’alveolo e l’impianto (Fig. 4).
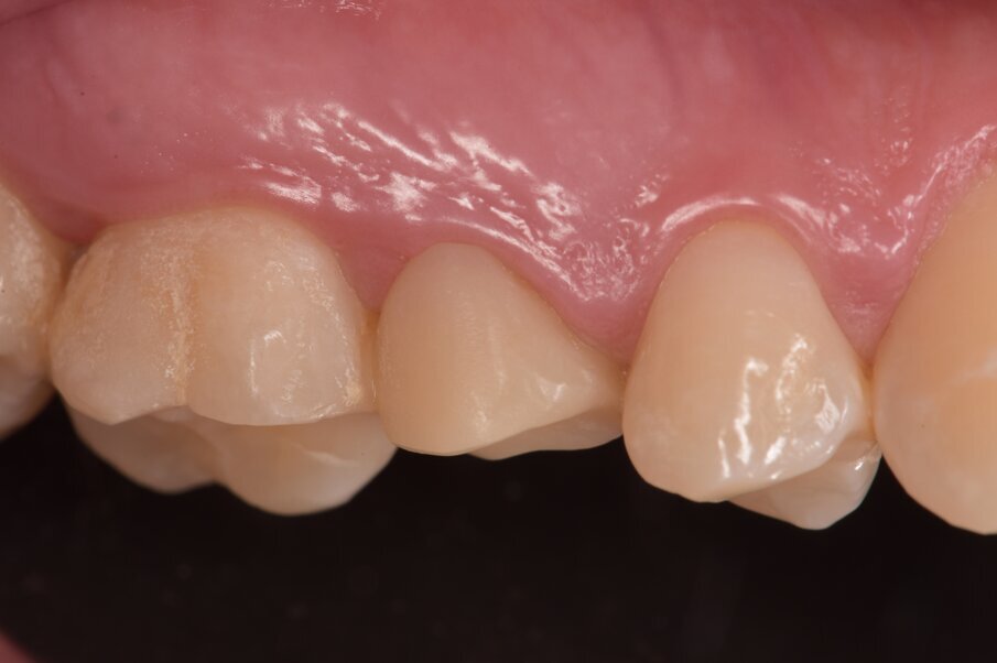
In questo caso dato il mutuo contatto tra osso e impianto non è stato necessario alcun riempimento e seppur altamente stabile, il provvisorio è stato rimosso dal contatto masticatorio e da eventuali svincoli funzionali. Al termine del posizionamento eseguiamo un controllo radiografico che stabilisce il giorno zero d’inserimento, la valutazione globale di posizione e un controllo di eventuali residui cementizi presenti (Fig. 5). Dopo un periodo di consolidamento osseo di 3 mesi si procede al processo di finalizzazione protesica. Il condizionamento dei tessuti molli ottenuto dal provvisorio favorisce la futura realizzazione protesica fornendo un aspetto naturale simile al dente naturale precedente (Fig. 6).
Fig. 1_Frattura coronale verticale di 2.5.
Fig. 2_Rx endorale eseguita con centratore, si evidenzia una buona disponibilità ossea periradicolare. Non si ascrivono alterazioni radicolari.
Fig. 3_Impronta digitale post-operatoria. Si evidenzia la realizzazione di una corona provvisoria immediata.
Fig. 4_Posizionamento di un provvisorio in Telio realizzato secondo tecnica chairside.
Fig. 5_Rx di controllo post operatoria con provvisorio in situ, serve per stabilire la posizione dell’impianto in tempo post chirurgico e per valutare se vi è del residuo cementizio al di sotto della corona provvisoria.
Fig. 6_Il bianco/nero della foto esalta le forme e la mimesi anatomica delle corone e dei tessuti.
Il flusso di lavoro digitale non prevede uno specifico scan body pertanto l’impronta si deve rilevare come per un elemento naturale. Nello specifico però la profondità del tunnel gengivale perimplantare (Fig. 7) non consente una precisa lettura dell’intero perimetro del collarino implantare pur con l’utilizzo di fili retrattori, pertanto abbiamo optato per un’impronta convenzionale con lo specifico utilizzo del transfer a strappo, il cui colore contraddistingue la lunghezza del moncone implantare (Fig. 8).
Il materiale siliconico Putty Heavy Regular specifico per la rilevazione di impronte su impianti possiede una maggior rigidità e consente un migliore controllo di posizione (Fig. 9). Esistono anche dei siliconi con all’interno una presenza di polvere di titanio che permettono di leggere direttamente l’impronta con uno scanner da laboratorio evitando lo sviluppo del modello.
In questo caso avendo la necessità di inglobare l’analogo implantare abbiamo preferito realizzare un convenzionale modello in gesso che è stato poi trasformato in digitale. Tale trasformazione ha consentito comunque di interfacciare l’alta tecnologia presente in laboratorio, relativamente al tipo di manufatto che si voleva realizzare, a un contesto clinico dove il Metal free rappresentava la linea conduttiva riabilitativa. Il software impiegato in laboratorio dall’odontotecnico si interfaccia perfettamente a quello in uso clinico e in questo caso è molto utile per la comunicazione, la convalidazione progettuale e la realizzazione della corona clinica, consentendo diverse personalizzazioni.
Come si vede in figura 10 i modelli in posizione di centrica evidenziano la profondità a cui è posto il collarino implantare rispetto allo zenit gengivale da cui emerge la corona, in questo transito è possibile progettare la conformazione che in futuro darà la possibilità al paziente di mantenere una corretta igiene orale anche previo uso di scovolini. La conformazione del moncone implantare condiziona fortemente la struttura di supporto (Fig. 11), il progetto Cad/Cam consente all’odontotecnico di pre-visualizzare il progetto potendone esaminare aspetti diversi relativamente all’anatomia coronale impostata (Fig. 12), allo spessore mucogengivale e alla relazione di centrica (Fig. 13).
Fig. 7_Dopo 3 mesi siamo soliti eseguire un controllo radiografico e di conseguenza si rimuove il provvisorio e rivalutando il contorno mucogengivale perimplantare, in caso di necessita si interviene nella modifica del provvisorio.
Fig. 8_La presa d’impronta determina uno stacco dalla procedura digitale, se il tragitto transmucoso è troppo profondo è meglio passare a un’impronta analogica convenzionale adottando il transfer specifico relativo alla lunghezza del moncone e al diametro dell’impianto.
Fig. 9_Dopo aver estratto il cucchiaio d’impronta si deve valutare oltre alla qualità del dettaglio trasferito e la stabilità del transfer.
Fig. 10_In laboratorio l’odontotecnico dopo aver trasferito l’impronta provvede alla sua acquisizione tramite uno scanner, potendo così proseguire nel progetto realizzativo di una ricostruzione protesica in zirconia.
Fig. 11_L’analisi ricostruttiva prosegue con software di progettazione molto sofisticati. In questa immagine affiora il volume protesico in sezione valutando l’interfaccia coi tessuti limitrofi.
Fig. 12_È possibile estrapolare una serie di dati tecnici molto interessanti che contemplano la superficie di contatto, al fine di valutare la stabilità del manufatto e l’interazione gnatologica funzionale.
Fig. 13_Il disegno del perimetro coronale è anche possibile ruotarlo nello spazio evidenziando eventuali modifiche morfologiche da poter apportare. Condividere con l’odontotecnico tutte queste informazioni permette al clinico di raggiungere la forma voluta sulla base della conoscenza dei denti limitrofi e delle funzioni masticatorie espresse dal paziente.
Inoltre l’analisi del progetto coronale scomposto dal moncone e dagli elementi limitrofi esalta quegli aspetti anatomici personalizzabili (Figg. 14, 15). Questo tipo di procedure digitali sono in grado di ottimizzare i tempi clinici favorendo una comunicazione più efficace e fluida. La quasi totalità dei restauri singoli non prevede delle prove protesiche intermedie, pertanto nella seduta successiva all’impronta si esegue la valutazione dei valori gnatologici di centrica e di svincolo, oltre alla verifica dei parametri estetici e biomimetici (Figg. 16, 17). Si ottimizzano altresì il profilo emergente e il rispetto dell’architettura mucogengivale armonizzandola con i denti naturali limitrofi (Fig. 6). Ad un anno siamo soliti effettuare un controllo radiografico che verrà confrontata al controllo fatto in giornata per la valutazione della presenza di cemento oltre la corona (Fig. 18).
Fig. 14_Visione dell’algoritmo che costruirà la corona definitiva nella visione morfologica esterna laterale.
Fig. 15_Medesima visione algoritmica nella connessione interna determinata dalla conformazione del moncone implantare. Tale matematica è stata indicata nella libreria del software di progettazione direttamente dalla casa implantare.
Fig. 16_Prova estetica e funzionale. Si notano i punti di contato di centrica evidenziati con la cartina a minimo spessore.
Fig. 17_Visione speculare in cui si evidenzia l’anatomia vestibolare, il cromatismo e la porzione occlusale, volutamente definita con la copia biogenetica dei denti limitrofi della giovane paziente.
Fig. 18_A distanza di 1 anno dal carico si esegue un controllo radiografico endorale con centratore dedicato per valutare una sovrapposizione degli esami futuri che seguiranno nel follow-up la paziente.
_Conclusioni
Nonostante il risultato sia del tutto soddisfacente sia verso la risoluzione del caso esposto sia per l’esperienza maturata nell’ultimo decennio con gli impianti in Zirconia e l’uso delle sistematiche digitali e del Cad/Cam nella finalizzazione protesica, si evince un limitato sviluppo merceologico della componentistica protesica e digitale. Nei follow up implantari si è riscontrata un’ottima reazione dei tessuti molli perimplantari sia per i vari aspetti biologici sia per la conseguentemente esaltazione estetica. Al momento si consiglia la piena conoscenza delle caratteristiche implantari al fine di una programmazione attenta e dedicata a clinici esperti nella pratica chirurgica con piena visione dello sviluppo protesico.
_Ringraziamenti
Si ringrazia l’Odt. Dario Viera che ha realizzato la corona protesica secondo le raffinate procedure digitali di cui si avvale con competenza e professionalità.
_bibliografia
- Chen S, Buser D Implants in post-extraction sites. A literature update. In: Buser D, Wismeijer D, Belser U, editors ITI Treatment Guide, Vol 3: Implant Placement in Post-extraction Sites. Treatment Options. Berlin Quintessenz 2008. p 9-14 (Jung et al. Clin Oral Implants Res 2008).
- Lemos CAA, Verri FR, Gomes JML, de Souza Batista VE, Cruz RS, Oliveira HFFE, Pellizzer EP. Ceramic versus metal-ceramic implant-supported prostheses: a systematic review and meta-analysis. J Prosthet Dent. 2019 Jan 17.
- Naveau A, Rignon-Bret C, Wulfman C. Zirconia abutments in the anterior region: a systematic review of mechanical and esthetic outcomes. J Prosthet Dent. 2019 Jan 4.
- Bidra AS, Rungruanganunt P. Clinical outcomes of implant abutments in the anterior region: a systematic review. J Esthet Restor Dent. 2013 Jun;25(3):159-76.
- Finelle G, Lee SJ. Guided Immediate Implant Placement with Wound Closure by Computer-Aided Design/Computer-Assisted Manufacture Sealing Socket Abutment: Case Report. Int J Oral Maxillofac Implants.2017 Mar/Apr;32(2):e63-e67.
L'articolo è stato pubblicato su CAD CAM Italian Edition n. 1/21
Tag:
Nella valutazione di elementi dentali irreparabilmente compromessi ci troviamo a dover effettuare delle scelte sul piano di trattamento post-estrattivo1, 2....
L’inserimento di impianti postestrattivi immediati comporta vantaggi e svantaggi, ma in generale è considerata una terapia chirurgica ...
Il successo clinico in implantologia non può prescindere da un corretto ripristino dell’estetica e dell’anatomia dei tessuti di sostegno ...
Il successo clinico in implantologia non può prescindere da un corretto ripristino dell’estetica e dell’anatomia dei tessuti di sostegno ...
Esiti di malattia parodontale, riassorbimenti interni ed esterni, lesioni cariose non sanabili e fratture sono ancora oggi causa di estrazione di molti ...
Scarsa igiene orale, carie destruenti, malattia parodontale rendono spesso gli elementi dentari non congrui ad alcuna riabilitazione protesica efficace1.
...
La difficile scelta clinica nel mantenimento di elementi compromessi e la loro eventuale sostituzione con impianti dentali, porta all’individuazione dei ...
La chirurgia ricostruttiva preimplantare non può essere praticata in tutti i pazienti a causa di possibili controindicazioni locali e/o sistemiche. ...
I dilemmi che accompagnano gli impianti post-estrattivi immediati spesso implicano la decisione se sarebbe meglio mantenere o meno con chirurgie o manovre ...
Se si dà uno sguardo al domani, specie per quanto riguarda l’implantologia, si può affermare con tranquillità che gli impianti ...
Dr. Bruce McFarlane Certified Specialist in Orthodontics Fellow: Royal College of Dentists of Canada Diplomate: American Board of Orthodontics
Live webinar
mer. 15 aprile 2026
20:00 (CET) Rome
Live webinar
gio. 16 aprile 2026
2:00 (CET) Rome
Linda Hecker MS, BSDH, RDH
Live webinar
gio. 16 aprile 2026
18:00 (CET) Rome
Dr. Pär-Olov Östman, Dr. Robert Gottlander DDS
Live webinar
ven. 17 aprile 2026
18:00 (CET) Rome
Live webinar
ven. 17 aprile 2026
19:00 (CET) Rome
Dr. Stuart Yeaton BDentSc, MOrth
Live webinar
lun. 20 aprile 2026
19:00 (CET) Rome
Dr. Alberto Monje DDS, MS, PhD
To post a reply please login or register