Nelle aree esteticamente critiche, la scelta del momento del posizionamento dell'impianto immediato, precoce o tardivo, può influenzare il risultato. Nel webinar realizzato il 19 ottobre, il dottor Stephen Chen ha descritto i concetti attuali della guarigione post-estrattiva. Prima della sua presentazione online, Chen, che è presidente dell'Equipe Internazionale di Implantologia, ha dato una breve anteprima del suo argomento.
Dottor Chen, in che modo il tempo di inserimento dell'impianto influenza il risultato in aree esteticamente critiche? La sfida consiste nel gestire il riassorbimento della cresta alveolare una volta estratto un dente. Ciò si traduce in un riassorbimento del processo alveolare e in cambiamenti dei tessuti molli. Dopo l'estrazione, ogni passo temporale ha le sue specifiche sfide di trattamento che devono essere gestite nel modo corretto.
Dr Stephen Chen è professore associato presso la University of Melbourne’s dental school è titolare di uno studio odontoiatrico a Melbourne, Australia. (Image: Stephen Chen)
Quali sono alcuni fattori di rischio per lo sviluppo di complicazioni estetiche? Per gli impianti immediati, il rischio principale è la recessione dei tessuti molli causata da un osso facciale sottile o mancante o da una mal posizione dell'impianto. Per il posizionamento precoce dell'impianto, il rischio è un aumento insufficiente per la ricostruzione del contorno della cresta.
Il suo webinar si concentrerà su impianti a denti singoli e/o multipli? Il webinar si concentrerà sulla sostituzione dell'impianto del dente singolo nella mascella anteriore, dove i risultati estetici sono importanti. Il clinico deve non solo decidere il momento migliore per posizionare l'impianto dopo l'estrazione, ma deve anche occuparsi delle procedure rigenerative necessarie per i tessuti duri e molli per ottenere un buon risultato che soddisfi le aspettative del paziente.
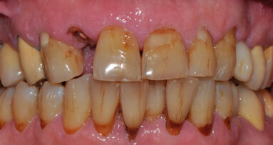
Una settimana dopo l'inserimento immediato dell'impianto e l'immediato ripristino con una protesi provvisoria.
Il posizionamento tardivo dell'impianto non è conveniente per i pazienti, a causa del tempo di guarigione di almeno quattro o sei mesi. Tuttavia, quali sarebbero le ragioni cliniche per scegliere questa opzione di trattamento? Un posizionamento tardivo può essere preso in considerazione se il paziente è indeciso se farsi collocare un impianto o se avere un'altra opzione di sostituzione dei denti. Un collocamento tardivo può anche essere considerato se il paziente è giovane e ancora in crescita o se ci sono controindicazioni mediche. Quando si sceglie un posizionamento tardivo, si raccomanda vivamente un innesto dell'invasatura per la procedura di conservazione della cresta, in modo che vi sia osso sufficiente per un impianto quando il paziente sarà in grado di procedere in un secondo momento.
Protesi definitiva dell'impianto tre anni dopo l'inserimento.
Quali sono alcune delle indicazioni tipiche per un posizionamento immediato e precoce dell'impianto? L'inserimento immediato dell'impianto può essere preso in considerazione se i tessuti molli e i fenotipi ossei sono spessi e l'alveolo facciale è intatto. Se queste condizioni sono soddisfatte, si può prendere in considerazione l'estrazione senza lembo e l'inserimento immediato dell'impianto. In queste condizioni, si può anche considerare un immediato restauro provvisorio, a condizione che l'impianto raggiunga una sufficiente stabilità iniziale.
Nota editoriale: Il webinar dell’International Team for Implantology, intitolato “Post-extraction implant placement: When immediate, when early and when late”, è stato trasmesso in diretta lunedì 19 ottobre. I professionisti che desiderano rivedere il webinar possono registrarsi gratuitamente su: https://campuslive.straumann.com
Esiti di malattia parodontale, riassorbimenti interni ed esterni, lesioni cariose non sanabili e fratture sono ancora oggi causa di estrazione di molti ...
L’inserimento immediato degli impianti negli alveoli postestrattivi è una procedura complessa. Il requisito principale è costituito dall’integrità e ...
Nella valutazione di elementi dentali irreparabilmente compromessi ci troviamo a dover effettuare delle scelte sul piano di trattamento post-estrattivo1, 2....
I dilemmi che accompagnano gli impianti post-estrattivi immediati spesso implicano la decisione se sarebbe meglio mantenere o meno con chirurgie o manovre ...
Sempre più numerosi sono gli studi clinici orientati a modificare il protocollo implantologico tradizionale proposto da Brånemark con l’obiettivo di ...
I piani di trattamenti clinici che prevedono il carico immediato o il posizionamento post-estrattivo immediato dell’impianto, rappresentano una procedura ...
Ginevra: i team odontoiatrici sono in prima linea nell’affrontare il consumo di tabacco; tuttavia, fornire ai pazienti indicazioni per smettere di fumare ...
Dalla prima fotografia integrata dell’Odontoiatria Corporativa in EMEA al caso italiano:
perché osservare oggi le DSO significa capire dove sta andando ...
L’odontoiatria richiede precisione clinica, spesso entro tempi ristretti e sotto la pressione di soddisfare le aspettative dei pazienti, ma una pratica ...
To post a reply please login or register