La difficile scelta clinica nel mantenimento di elementi compromessi e la loro eventuale sostituzione con impianti dentali, porta all’individuazione dei diversi momenti biologici in cui inserire l’impianto.
Sappiamo dall’analisi della letteratura1 che la perdita della radice porta a una variazione dell’ecosistema osseo con una graduale e progressiva perdita volumetrica esprimendo un deficit strutturale ed estetico. Pertanto l’inserimento dell’impianto e spesso associato a procedure di aumento osseo e connettivali, volte al miglioramento della predicibilità della stabilità del risultato funzionale ed estetico. Essendo l’inserimento dell’impianto post-estrattivo immediato un trattamento difficile, associato ad una maggior percentuale di complicanze e di insuccessi, si ritiene debba essere svolto con la massima attenzione, approfondendo la fase diagnostica nella scelta dell’impianto adeguato, per forma e superficie e valutando il giusto tempo di carico, che solo in un ristretto e mirato numero di casi possa avere anche la possibilità di una funzionalizzazione immediata2. L’associazione tra la presenza di elementi residui naturali adiacenti alla sede estrattiva e il biotipo tissutale sono in grado di influire sul risultato finale. Anche la letteratura è concorde nella stima di ulteriori fattori che possono influire negativamente come la presenza di un’adeguata parete ossea vestibolare, un maggior potenziale infettivo alveolare e una ridotta stabilità primaria al momento dell’inserimento implantare3. Talvolta la carenza ossea residua induce il chirurgo a seguire maggiormente l’anatomia alveolare con conseguente inclinazione implantare, creando spesso delle difficoltà in termini protesici finali. È di notevole importanza protesica poter inserire la piattaforma di connessione nella corretta posizione tridimensionale per non incorrere nelle difficoltà riabilitative che possono inficiare il risultato estetico a lungo termine. Altro fattore non meno importante da considerare è dettato dall’ampia gamma della componentistica protesica che le sistematiche implantari sono in grado di offrire.
Caso clinico
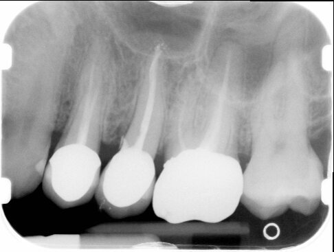
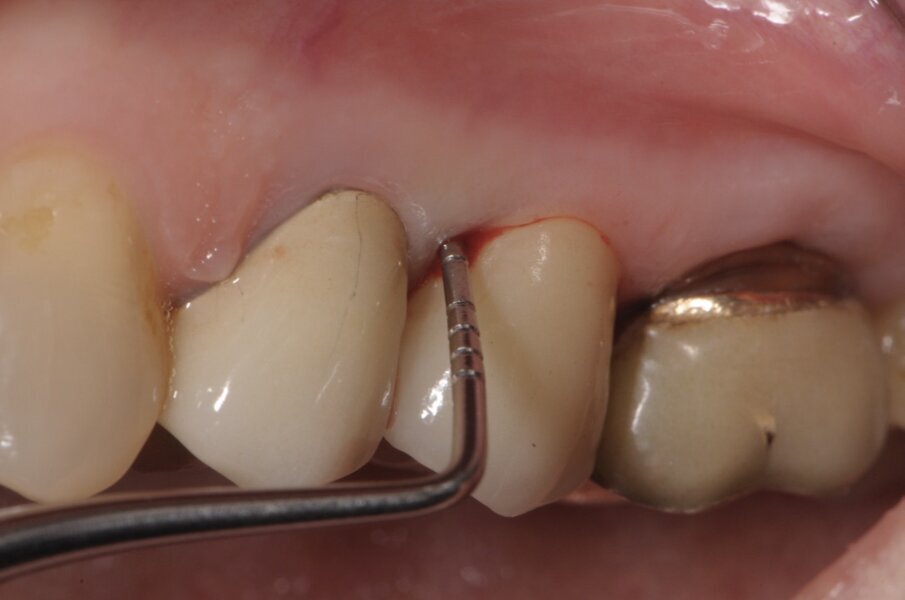
La paziente di 55 anni, non fumatrice, non affetta da alcuna patologia sistemica, da noi trattata con una procedura implantare sostitutiva dell’elemento naturale si era presentata alla nostra osservazione al fine di poter valutare un dolore riferito in sede 2.5 di tipo continuativo tollerabile ma con scarse variazioni di picco algico. L’elemento era stato curato endodonticamente e protesicamente da meno di 1 anno. All’esame obiettivo si presentava una neo protesizzazione individuale su 2.4 e 2.5, mentre su 2.6 si presentava una pregressa protesizzazione in oro-resina con vistosa retrazione gengivale che scopriva un margine corono-protesico impreciso. Il dolore riferito si estendeva tra i 2 premolari in oggetto. Al sondaggio si evidenziava un tragitto patologico di 9 mm in sede mesio-vestibolare della corona in 2.5 (Fig. 1) mentre il sondaggio degli altri elementi si configurava come fisiologico, privo di sanguinamento. L’esame radiografico endorale, mirato al sito ed eseguito con un centratore evidenziava un baffo medicamentale posto mesialmente e associato ad una lacuna ossea adiacente (Fig. 2). La diagnosi di frattura verticale non consentiva alcun recupero radicolare, mentre le radici adiacenti pur avendo delle diafanie periapicali non presentavano sintomi, al fine di un recupero protesico dell’emiarcata si è preferito eseguire una nuova terapia radicolare endodontica (Fig. 3). Fatta la diagnosi si apre un’attenta valutazione sulla tecnica chirurgica, alcune considerazioni vanno fatte sul tipo di estrazione per riuscire ad essere quanto più conservativi, per il mantenimento della cresta ossea vestibolare e per l’architettura gengivale. In tal caso le tecniche atraumatiche prevedono l’utilizzo di strumenti volti alla percussione estrattiva della radice, o al sezionamento obliquo o all’uso di strumenti ultrasonici che lesionano l’attacco dei legamenti parodontali senza intaccare la struttura ossea. Su quest’ultima è ricaduta la nostra tecnica consentendoci di ottenere un sito pulito da frammenti sia ossei che radicolari e riducendo al minimo le lesioni vascolari, senza lembi d’accesso e con un alveolo esangue.
All’ispezione l’alveolo si presentava integro e ben conservato nel perimetro adiacente ai denti limitrofi, la scelta verso l’impianto immediato, nonostante l’evidente mancanza ossea residua oltre apice, che ci avrebbe permesso di ottenere una stabilità primaria apicale è stata comunque svolta grazie a un insieme di fattori concomitanti presenti come: l’uso di un impianto con forma similradicolare con il conseguimento di una stabilità primaria laterale oltre che apicale, pertanto procediamo con il sondaggio di una fresa a diametro crescente sino alla misura voluta che in tal caso era 4.3 mm (Fig. 4). Il taglio verticale delle frese hanno consentito di ottenere un recupero osseo utile per il riempimento di spazi residui. Prima di inserire l’impianto scelto (Conelog 4.3x13 mm-Camlog) procediamo ad ulteriore sondaggio con prova di Valsalva per escludere qualsiasi comunicazione col limitrofo seno mascellare. A procedura ultimata e a impianto inserito, la possibilità è duplice: o chiudere la ferita con un patch mucoso prelevato dal palato4 o posizionare una vite di guarigione sagomata, come nel caso in questione approfittando dello spessore palatino connettivale, prelevare un piccolo patch inserendolo vestibolarmente così da ridurre la morbilità per il paziente stesso e aumentando lo spessore connettivale ai fini estetici (Fig. 5)5.
La terapia endodontica estesa agli elementi adiacenti ha consentito di eseguire un provvisorio che ha permesso alla paziente di non subire il disagio estetico e funzionale del mancato carico dell’impianto. Dopo due mesi si è provveduto a rilevare le impronte per la riabilitazione finale. Abbiamo utilizzato un sistema digitale (Trios-Trishape) che seguendo la procedura di lettura rileva le varie impronte dal provvisorio, al tragitto transmucoso, in tal caso è necessario provvedere a posizionare i fili retrattori che siamo soliti utilizzare nella lettura del finish line e solo al momento della lettura andiamo a rimuovere il 2° filo e a svitare la vite di guarigione o il moncone provvisorio così da non determinare il collasso dei tessuti del tragitto transmucoso implantare (Fig. 6). Dopo l’impronta dei tessuti e dei monconi degli elementi naturali si procede a segnalare gli elementi da protesizzare (Fig. 7) e successivamente si posiziona il transfer dell’impianto che nel sistema digitale è rappresentato dallo scan body o corpo di scansione (Fig. 8).
Lo scan body è solitamente caratterizzato da un materiale non riflettente come il Peek e da una semplicità geometrica come un cilindro con una faccetta piatta che rappresenta la posizione spaziale dell’impianto stesso, sarà poi l’algoritmo a cui è riferito nella banca dati del software a determinare la precisione dell’impronta stessa. Bisogna rammentare che tale procedura non dipende solo dalla sistematica impiantare, ma anche dallo scanner intraorale utilizzato nella registrazione dell’impronta (IOS Intra Oral Scanner). Al termine della ripresa è possibile visualizzare sullo schermo anche questo passaggio (Fig. 9), dopodiché si passa al rilevamento della posizione di centrica (Fig. 10).
L’odontotecnico riceverà il file dell’intera impronta rilevata con l’IOS o direttamente, se collegato alla sistematica in questione o previo un formato STL che potrà essere gestito da qualsiasi sistema in uso CAD/CAM. La modellazione delle corone su denti naturali e su impianti potrà essere effettuata direttamente col software collegato andando a rilevare la linea di finitura della preparazione naturale e valutando o la realizzazione del moncone personalizzato, nel caso di una corona su impianto cementata o direttamente una corona avvitata (Fig. 11). In tal caso le ipotesi potranno essere quelle di realizzare una struttura unica che dalla connessione implantare modellerà la corona emergente o l’utilizzo di un moncone standard che verrà cementato alla corona che a sua volta potrà essere avvitata nella sua globalità all’impianto.
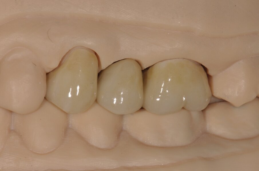
La conformazione degli elementi naturali e dell’emergenza implantare potrà essere modellata direttamente dal tunnel mucoso rilevato durante l’impronta, potendo calibrare un certo grado di pressione da esercitare nel tragitto transmucoso stesso (Fig. 12). La realizzazione del modello è un evento successivo che l’odontotecnico può realizzare direttamente o delegare a centri di fresaggio per la costruzione in un tempo successivo e per la gestione della ceramizzazione degli elementi realizzati. La casa costruttrice dell’impianto dovrà fornire l’analogo che avrà stessa connessione ma la forma esterna sarà diversa dovendosi incastonare nel tunnel realizzato dal fresatore nel modello in resina o nel materiale di realizzo. La precisione di questi modelli nella valutazione del dente naturale non è sovrapponibile a quella realizzato in gesso ma è anche una funzione diversa in cui tale margine non inficia il risultato finale di precisione e di realizzo delle corone. Le strutture potranno essere provate in fase interlocutoria per valutare l’adeguatezza e per rilevare l’esatta centrica, sarà così rinviata alla fase successiva di lavorazione per la finalizzazione del manufatto (Fig. 13). La scelta tra un manufatto avvitato ed uno cementato è puramente delegata al clinico secondo le abitudini e le necessità, oltre alla tipologia di protesi confezionata e dei materiali impiegati6. Laddove si delinea la possibilità di eseguire una costruzione protesica in cui l’estetica e la funzione non siano intaccati, l’attuale orientamento spinge favorevolmente il clinico ad una soluzione avvitata, evitando le infiltrazioni di cemento che potrebbero intaccare il mantenimento della riabilitazione implanto supportata.
Nel caso specifico pur avendo una condizione chirurgica precaria data da un sito estrattivo siamo riusciti a posizionare l’impianto in posizione ideale per gli spazi papillari adiacenti e per l’emergenza della vite di fissazione (Fig. 11), inoltre durante il posizionamento sarà versatile la possibilità di procedere alla cementazione e all’avvitamento dei vari elementi (Fig. 14). La visione delle corone iniziali (Fig. 5) ha suggerito al clinico e all’odontotecnico quali fossero le parafunzioni esistenti nel quadro masticatorio della paziente e nello specifico del quadrante in questione, infatti l’impronta digitale studio rilevata inizialmente ha aiutato la costruzione di un perimetro occlusale ripetuto sulla riabilitazione finale dando una maggior apertura al tavolato occlusale e prospettanto una maggior stabilità dinamica di funzione masticatoria (Fig. 15).
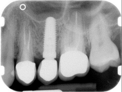
Avvenuta la fissazione degli elementi (Fig. 16), procediamo al controllo radiografico sempre con il centratore e laddove possibile si utilizza un gig in silicone che potrà riprodurre sempre la medesima sequenza proiettiva radiografica. Si possono comparare le immagini radiografiche iniziali e finali vedendo come all’apice del dente naturale sia modellato il confine con la parete del seno mascellare superiore (Fig. 2) con il rimodellamento che la stessa compie attorno all’impianto ad un anno dal carico (Fig. 17).
Fig. 1 - Sondaggio parodontale della lesione mesio-vestibolare del dente 2.5.
Fig. 2 - Radiografia endorale di controllo, eseguita con centratore.
Fig. 3 - Visione occlusale del sito estrattivo nella fase immediatamente successiva la rimozione radicolare.
Fig. 4 - Preparazione del sito implantare con la fresa del diametro dell’impianto impiegato.
Fig. 5 - Dopo l’inserimento implantare si procede ad un piccolo prelievo connettivale da posizionare in sede vestibolare, fissato con punti staccati di sutura acrilica in Nylon 5/0.
Fig. 6 - Posizionamento dei fili retrattori secondo la tecnica del doppio filo, appena prima dell’impronta si procede alla rimozione del II° filo e della vite di guarigione implantare.
Fig. 7 - La schermata dell’impronta rilevata con sistema IOS Trishape.
Fig. 8 - Posizionamento dello scan body dell’impianto Conelog utilizzato dal diametro di 4.3.
Fig. 9 - Stessa schermata con lo scan body e con la numerazione degli elementi selezionati per la realizzazione protesica definitiva.
Fig. 10 - Dopo aver rilevato le varie impronte si procede alla relazione centrica o visione vestibolare. Il grande vantaggio offerto è che basta un solo punto d’appoggio per rilevare la relazione d’occlusione centrica del paziente, per contro se la chiusura è errata si trasmette un grave errore che potrebbe compromettere l’intero progetto protesico.
Fig. 11 - Quando il file viene spedito al laboratorio odontotecnico sarà in grado di essere processato per la finalizzazione del progetto ipotizzato dal clinico. Si può vedere l’immagine delle corone sui denti naturali e dell’impianto col perno passante in giallo per identificare la possibilità di poter avvitare la corona che si andrà a realizzare.
Fig. 12 - Una diversa inclinazione della stessa immagine con la diafania per evidenziare gli spazi a disposizione oltre alle forme anatomiche impostate.
Fig. 13 - Il restauro al termine della lavorazione e dopo le varie prove interlocutorie consegnate sul modello ottenuto per fresaggio.
Fig. 14 - Clinicamente si potranno fare le varie prove singolarmente prima di definire la fissazione dei vari elementi protesizzati.
Fig. 15 - Visione del modello coi manufatti in centrica coi modelli realizzati.
Fig. 16 - L’ottimizzazione estetica e funzionale che soddisfa il clinico e il paziente.
Fig. 17 - Radiografia di controllo a 1 anno dal carico.
Conclusioni
La valutazione clinica e la scelta terapeutica è frutto di uno studio approfondito sempre più imprescindibile su un piano cognitivo globale, ciò implica che il chirurgo e il protesista abbiano le stesse conoscenze al fine di ottimizzare il risultato finale. Lo sviluppo dei materiali e delle tecnologie ha portato a un repentino costante cambiamento, che volge verso una digitalizzazione dell’intero mercato odontoiatrico. Il grande vantaggio didattico formativo consente una rapida visualizzazione del progetto clinico che potrà essere condiviso col paziente che risulta sempre l’attore protagonista dei nostri piani di trattamento. È inevitabilmente necessario che i software in uso siano conosciuti nelle loro funzione basica e che gli stessi siano costantemente aggiornati al fine di poter interagire tutti assieme con la medesima conoscenza e applicazione. Nel caso trattato siamo stati in grado di ottimizzare gli strumenti a nostra disposizione applicando il bagaglio cognitivo raggiunto nel corso degli anni di impegno clinico e formativo offrendo il meglio della terapia al momento disponibile, con somma soddisfazione della paziente per il risultato raggiunto in tempi brevi e con procedure minimamente invasive.
Un ringraziamenti va all’odontotecnico Federico Folegatti del laboratorio Nuova Eliodent Sas.
Bibliografia
- Chen ST, Buser D. Esthetic outcomes following immediate and early implant placementin the anterior maxilla - a systematic review. Int J Oral Maxillofac Implants. 2014;29 (Suppl):186-215.
- Martin WC, Pollini A, Morton D. The influence of restorative procedures on esthetic outcomes in implant dentistry: a systematic review. Int J Oral Maxillofac Implants. 2014;29 (Suppl):142-154.
- Charcanovic BR, Martins MD, Wennerberg A. Immediate placement of implants into infected sites: a systematic review. Clin Implant dent Relat Res. 2015 Jan;17 (Suppl 1):e1-e16.
- Jung RE, Siegenthaler DW, Hammerle CH. Postextraction tissue management: a soft tissue punch tecnique. Int J Periodontics restorative Dent. 2004Dec; 24(6):545-553.
- Jensen SS, Bosshardt DD, Gruber R, Buser D. Long-term stability of contouraugmentation in the esthetic zone. Histolgicand histomorphometric evaluation of human biopsies 14 to 80 months after augmentation. J Periodontol. 2014 Nov: 85(11):1-15.
- Sailer I, Muhlemann S, Zwahlen M, Hammerle CH, Schneider D. Cemented and screwretained implant reconstrutions: a systematic review of the survival and complication rates. Clin Oral Implants Res. 2012 Oct; 23 (Suppl 6): 163-201.
Tag:
L’inserimento di impianti postestrattivi immediati comporta vantaggi e svantaggi, ma in generale è considerata una terapia chirurgica ...
Nella valutazione di elementi dentali irreparabilmente compromessi ci troviamo a dover effettuare delle scelte sul piano di trattamento post-estrattivo1, 2....
I piani di trattamenti clinici che prevedono il carico immediato o il posizionamento post-estrattivo immediato dell’impianto, rappresentano una procedura ...
La corretta gestione dei tessuti duri e molli per raggiungere l’estetica ideale.
Il successo clinico in implantologia non può prescindere da un corretto ripristino dell’estetica e dell’anatomia dei tessuti di sostegno ...
Il successo clinico in implantologia non può prescindere da un corretto ripristino dell’estetica e dell’anatomia dei tessuti di sostegno ...
I dilemmi che accompagnano gli impianti post-estrattivi immediati spesso implicano la decisione se sarebbe meglio mantenere o meno con chirurgie o manovre ...
Esiti di malattia parodontale, riassorbimenti interni ed esterni, lesioni cariose non sanabili e fratture sono ancora oggi causa di estrazione di molti ...
Questo lavoro propone una soluzione clinica alternativa nell’inclusione canina. La ricerca è stata a favore di un approccio clinico implantare ...
Questo lavoro propone una soluzione clinica alternativa nell’inclusione canina. La ricerca è stata a favore di un approccio clinico implantare ...
Dr. Bruce McFarlane Certified Specialist in Orthodontics Fellow: Royal College of Dentists of Canada Diplomate: American Board of Orthodontics
Live webinar
mer. 15 aprile 2026
20:00 (CET) Rome
Live webinar
gio. 16 aprile 2026
2:00 (CET) Rome
Linda Hecker MS, BSDH, RDH
Live webinar
gio. 16 aprile 2026
18:00 (CET) Rome
Dr. Pär-Olov Östman, Dr. Robert Gottlander DDS
Live webinar
ven. 17 aprile 2026
18:00 (CET) Rome
Live webinar
ven. 17 aprile 2026
19:00 (CET) Rome
Dr. Stuart Yeaton BDentSc, MOrth
Live webinar
lun. 20 aprile 2026
19:00 (CET) Rome
Dr. Alberto Monje DDS, MS, PhD