Esiti di malattia parodontale, riassorbimenti interni ed esterni, lesioni cariose non sanabili e fratture sono ancora oggi causa di estrazione di molti elementi dentali1. La loro sostituzione tramite l’uso di impianti osteointegrati è attualmente il protocollo di prima scelta nella riabilitazione delle lacune intercalate singole, per l’alta predicibilità di trattamento, il mantenimento dell’integrità dei denti frontiera e la possibilità di ottenere una restitutio ad integrum completa2.
Nei settori posteriori, dove il ripristino della funzione costituisce l’obiettivo primario e i tempi di osteointegrazione possono essere rispettati senza la necessità di riabilitazioni provvisorie rimovibili, si propende verso protocolli classici di guarigione sommersa o semisommersa per la semplicità di esecuzione e l’ottima prognosi.
Nei settori anteriori, al contrario, al ripristino funzionale si associa un’aspettativa estetica elevata da parte del paziente. Le riabilitazioni di tali settori rappresentano una sfida sia per l’odontoiatra che per l’odontotecnico: da quando i primi casi di posizionamento di impianti in alveoli post-estrattivi freschi sono stati riportati in letteratura3, l’interesse della comunità scientifica e clinica per i protocolli di posizionamento implantare immediato è stato crescente, per la riduzione delle sedute chirurgiche e dei tempi di trattamento.
L’evoluzione della macrogeometria implantare, con impianti conici dotati di spire aggressive in grado di compattare il comparto midollare osseo durante le procedure di inserimento, e della microgeometria superficiale, con trattamenti di superficie in grado di velocizzare e migliorare l’apposizione ossea sull’interfaccia osso-impianto4, hanno permesso di associare al posizionamento post-estrattivo dell’impianto una simultanea protesizzazione immediata. Diverse variabili vanno considerate sia nella fase chirurgica che protesica per ottenere un risultato piacevole e stabile nel medio e lungo termine5, 6. Se i fattori di rischio sono ben valutati ed i protocolli chirurgici e protesici applicati correttamente, il posizionamento post-estrattivo con protesizzazione immediata consente un perfetto mantenimento dell’architettura gengivale ed ossea, permettendo, pur a fronte di difficoltà tecniche che necessitano esperienza e capacità maggiori da parte dell’operatore, risultati esteticamente e funzionalmente eccellenti7, 8.
Obiettivo di questo case report è illustrare il protocollo chirurgico e protesico utilizzato per riabilitare tramite un impianto post-estrattivo a protesizzazione immediata un incisivo centrale mascellare.
Descrizione
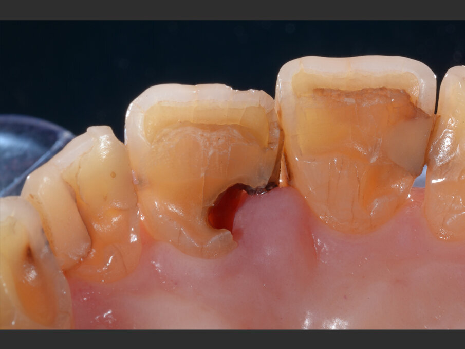
La paziente, donna di 60 anni, non fumatrice ed in buone condizioni di salute generale, si presenta in studio con sintomi di pulpite irreversibile a carico dell’elemento 1.1. L’esame clinico (Figg. 1a, 1b) e radiografico (Fig. 2a) confermano la presenza di una lesione cariosa radicolare che ha colpito il versante mesiale.
Data la profondità della lesione, le opzioni terapeutiche che consentono il mantenimento dell’elemento devono prevedere necessariamente il ripristino dell’ampiezza biologica tramite chirurgia ossea resettiva o trazionamento rapido dell’elemento. La prima ipotesi viene scartata per l’inevitabile slivellamento delle parabole e perdita delle papille interdentali che ne sarebbero derivate; la seconda per il rifiuto della paziente di sottoporsi al trattamento ortodontico, pur se per un periodo di tempo limitato. Si procede quindi con un’indagine radiografica tridimensionale con tecnica Cone Beam (MYRAY Hyperion X9 Pro), per valutare la possibilità di sostituire l’elemento con una corona a supporto implantare. I tagli in sezione sagittale (Fig. 2b) mostrano la presenza di una corticale ossea vestibolare integra e la presenza di una quantità di osso apico-palatale sufficiente per poter ottenere una buona stabilità implantare (classe I secondo la classificazione di Cardaropoli9).
Il piano terapeutico stilato prevede l’estrazione dell’elemento compromesso e la sua sostituzione con un impianto post-estrattivo immediato a protesizzazione immediata. Ottenuto il consenso informato, la paziente viene sottoposta ad una seduta di igiene professionale e motivazione alle manovre di igiene domiciliare e viene eseguita un’impronta in alginato per poter realizzare una mascherina chirurgica termostampata, così da verificare l’asse d’inserimento implantare, ed un provvisorio in resina munito di alette di posizionamento.
Il giorno dell’intervento, dopo somministrazione locale di articaina al 4% e adrenalina 1:100.000, l’elemento viene lussato delicatamente mantenendo integri i tessuti molli tramite l’uso di periotomi dedicati (Carda #2 e Carda #3 - Omnia) ed estratto. L’alveolo viene curettato e deterso con soluzione salina, e il tessuto epiteliale sulculare viene rimosso con una lama 15c, così da esporre il sottostante tessuto connettivale. Viene preparata un’osteotomia calibrata con frese dedicate, così da ingaggiare l’apice implantare (BLT Bone Level Tapered Roxolid SLActive, Straumann 4.1x14 mm) nel triangolo osseo apicale e palatale all’apice alveolare e posizionare il profilo coronale dell’impianto 1 mm al di sotto del margine della cresta vestibolare. Dopo il posizionamento implantare, con l’ausilio di un compattatore d’osso conico (Carda #4 - Omnia), il gap residuo vestibolare viene colmato con osso bovino deproteinizzato (Geistlich Bio-oss Collagen 50 mg, Geistlich) così da assicurare un perfetto riempimento tridimensionale dell’alveolo residuo. L’impianto viene infine posizionato con un torque di 50 N/cm (Figg. 3, 4a, 4b).
Fig. 1a - Valutazione pre-operatoria - visione frontale: l’elemento 1.1 è sintomatico e mostra segni e sintomi di pulpite irreversibile.
Fig. 1b - Valutazione pre-operatoria - visione palatina: è possibile apprezzare la lesione cariosa corono-radicolare.
Fig. 2a - Valutazione radiografica iniziale: radiografia intraorale.
Fig. 2b - CBCT iniziale con MyRay Hyperion X9 Pro.
Fig. 3 - Straumann BLT Roxolid SLActive RC 4.1 x 14 mm.
Fig. 4a - Impianto inserito lontano dalla corticale ossea vestibolare in modo da creare un gap superiore a 2 mm.
Fig. 4b - Il jumping space tra impianto e corticale ossee viene colmato con Geistlich BioOss Collagen.
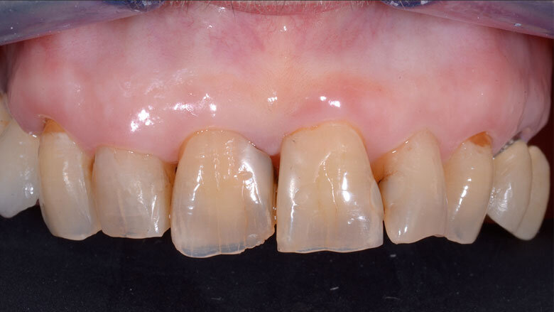
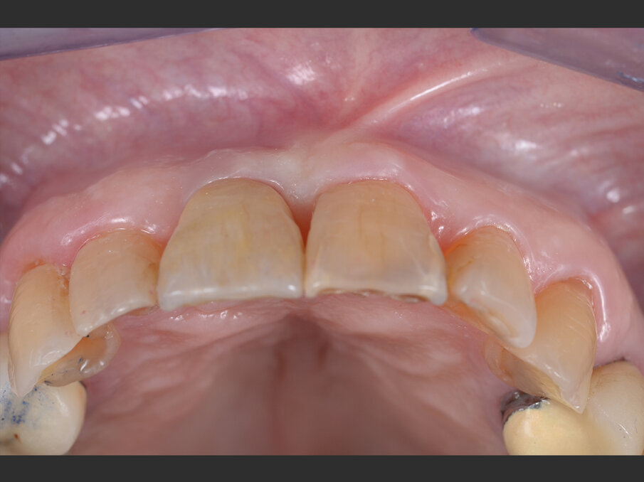
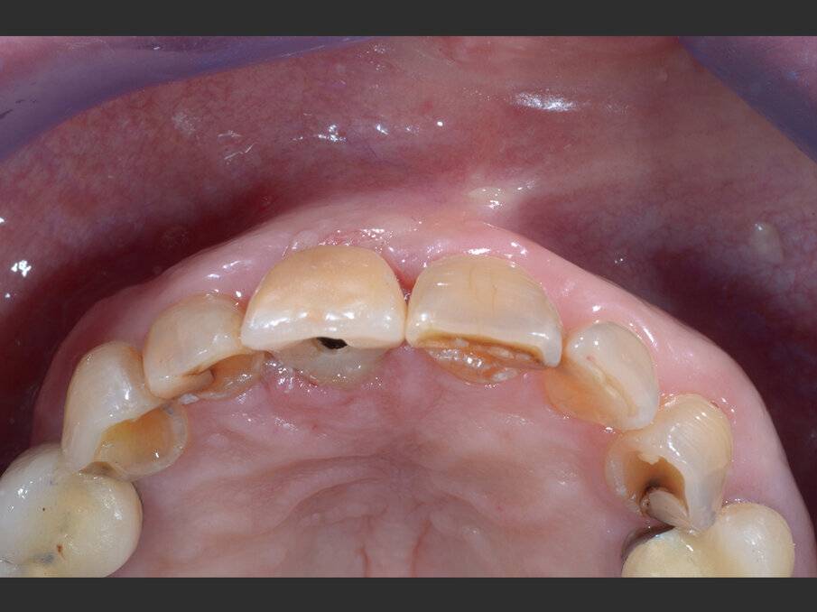
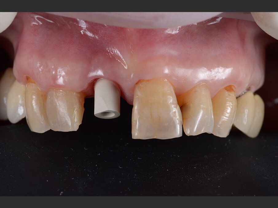
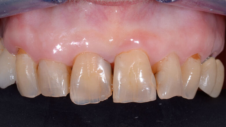
Un moncone in titanio per protesizzazione provvisoria (componente secondaria provvisoria - Straumann) viene modificato così da permettere un corretto alloggiamento della corona provvisoria e serrato manualmente. Protetto il canale della vite, il provvisorio viene forato in corrispondenza dell’accesso della vite protesica, posizionato in sede grazie alle alette e bloccato utilizzando del composito flow (G-aenial Universal flo - GC). Rimossa dal cavo orale, la corona provvisoria viene rifinita in laboratorio, completando il tragitto transmucoso in composito (Essentia Universal - GC) in modo tale da modellare un’area sotto-gengivale che sostenga i tessuti senza comprimerli. La riabilitazione provvisoria viene posizionata, avvitata e serrata a 20 N/cm. Il foro di accesso viene protetto con PTFE e sigillato con un’otturazione provvisoria (Telio CS onlay - Ivoclar), e i contatti occlusali vengono scaricati in modo tale da eliminare interferenze occlusali (Figg. 5, 6). Viene prescritta terapia farmacologica antibiotica, antidolorifica e sciacqui con collutorio a base di clorexidina digluconato. La paziente viene controllata a 7 giorni, 45 giorni e 90 giorni. A distanza di 3 mesi l’impianto viene considerato osteointegrato e i tessuti molli hanno raggiunto la loro stabilità. Il provvisorio viene quindi svitato (Fig. 7) e si procede tramite impronta ottica (Trios 3 - 3Shape) al trasferimento in laboratorio della posizione tridimensionale dell’impianto, della morfologia del tragitto transmucoso e della morfologia della componente sottogengivale della corona provvisoria (Figg. 8a, 9b). Una corona avvitata in zirconia con microstratificazione vestibolare viene confezionata come riabilitazione definitiva (Fig. 10). Superata la prova estetica, il manufatto viene consegnato e serrato a 35 N/cm. Il foro passante viene sigillato con PTFE e resina composita (G-aenial - GC) (Figg. 11, 12).
Fig. 5 - Valutazione post-operatoria con il provvisorio in situ - visione frontale.
Fig. 6 - Valutazione post-operatoria con il provvisorio in situ - visione occlusale.
Fig. 7 - Valutazione clinica a 3 mesi dal posizionamento: l’impianto è ben integrato ed i tessuti molli sono stabili.
Figg. 8a, 8b - Acquisizione intraorale: visione frontale.
Figg. 8a, 8b - Acquisizione intraorale: visione frontale.
Figg. 9a, 9b - Acquisizione intraorale: tragitto transmucoso in visione occlusale.
Figg. 9a, 9b - Acquisizione intraorale: tragitto transmucoso in visione occlusale.
Fig. 10 - Valutazione post-operatoria: confronto tra corona provvisoria in resina e corona definitiva in ceramica.
Fig. 11 - Valutazione post-operatoria: riabilitazione definitiva in situ in visione frontale.
Fig. 12 - Valutazione post-operatoria: riabilitazione definitiva in situ in visione occlusale.
Discussione
La sostituzione di un elemento non recuperabile in zona estetica tramite il posizionamento di un impianto post-estrattivo a protesizzazione immediata è un’opzione terapeutica validata dalla letteratura che permette di ridurre i tempi di riabilitazione e il numero di interventi necessari, diminuendo l’invasività delle procedure. La possibilità di posizionare al primo tempo chirurgico una corona provvisoria di morfologia ideale, offre l’opportunità di mantenere l’architettura dei tessuti di supporto migliorando l’integrazione estetica; è fondamentale però che i passaggi chirurgici e protesici siano rigidamente rispettati e che l’operatore possegga l’esperienza necessaria per intercettare i fattori di rischio estetici. È facile infatti che un caso mal gestito non esiti nella mancata osteointegrazione della fixture implantare ma in un fallimento estetico di complicata risoluzione.
Bibliografia
1. Yoshino K., Ito K., Kuroda M., Sugihara N.. Prevalence of vertical root fracture as the reason for tooth extraction in dental clinics. Clin Oral Investig. 2015 Jul;19(6):1405-9.
2. Albrektsson T., Zarb GA.. Current interpretations of the osseointegrated response: clinical significance. Int J Prosthodont. Mar-Apr 1993;6(2):95-105.
3. Schwartz-Arad D., Chaushu G.. The ways and wherefores of immediate placement of implants into fresh extraction sites: A literature review. J Periodontol 1997;68:915–923.
4. Buser D., Schenk RK., Steinemann S., Fiorellini JP., Fox CH., and Stich H.. Influence of surface characteristics on bone integration of titanium implants. A histomorphometric study in miniature pigs. Journal of Biomedical Materials Research, 1991 vol. 25, no. 7, pp. 889–902.
5. Martin WC., Morton D., Buser D.. Diagnostic factors for esthetic risk assessment. In: Buser D, Belser U, Wismeijer D (eds). ITI Treatment Guide. Vol 1: Implant therapy in the esthetic zone - Single-tooth replacements. Berlin: Quintessence, 2006:11–20.
6. Belser UC., Buser D., Hess D., Schmid B., Bernard JP., Lang NP.. Aesthetic implant restorations in partially edentulous patients - A critical appraisal. Periodontol 2000 1998;17:132–150.
7. Kan JYK., Rungcharassaeng K.. Immediate placement and provisionalization of maxillary anterior single implants: a surgical and prosthodontic rationale. Pract Periodontics Aesthet Dent 2000;12(9):817–824.
8. Cardaropoli D., Tamagnone L., Roffredo A., De Maria A., Gaveglio L.. Preservation of Peri-implant Soft Tissues Following Immediate Postextraction Implant Placement. Part II: Clinical Evaluation. Int J Periodontics Restorative Dent. 2019 Nov/Dec;39(6):789-797.
9. Cardaropoli D., Nevins M., Casentini P.. A clinical classification system for the treatment of the post-extraction sites. Int J Periodontal Rest Dent, in press.
Tag:
Nella valutazione di elementi dentali irreparabilmente compromessi ci troviamo a dover effettuare delle scelte sul piano di trattamento post-estrattivo1, 2....
I piani di trattamenti clinici che prevedono il carico immediato o il posizionamento post-estrattivo immediato dell’impianto, rappresentano una procedura ...
L’inserimento di impianti postestrattivi immediati comporta vantaggi e svantaggi, ma in generale è considerata una terapia chirurgica ...
Sempre più numerosi sono gli studi clinici orientati a modificare il protocollo implantologico tradizionale proposto da Brånemark con l’obiettivo di ...
Nelle aree esteticamente critiche, la scelta del momento del posizionamento dell'impianto immediato, precoce o tardivo, può influenzare il risultato. Nel ...
Il successo clinico in implantologia non può prescindere da un corretto ripristino dell’estetica e dell’anatomia dei tessuti di sostegno ...
Il successo clinico in implantologia non può prescindere da un corretto ripristino dell’estetica e dell’anatomia dei tessuti di sostegno ...
I dilemmi che accompagnano gli impianti post-estrattivi immediati spesso implicano la decisione se sarebbe meglio mantenere o meno con chirurgie o manovre ...
La difficile scelta clinica nel mantenimento di elementi compromessi e la loro eventuale sostituzione con impianti dentali, porta all’individuazione dei ...
Paziente: donna, 31 anni, in buona salute.
Situazione clinica: primo premolare superiore sinistro non recuperabile dopo due precedenti resezioni ...
Dr. Bruce McFarlane Certified Specialist in Orthodontics Fellow: Royal College of Dentists of Canada Diplomate: American Board of Orthodontics
Live webinar
mer. 15 aprile 2026
20:00 (CET) Rome
Live webinar
gio. 16 aprile 2026
2:00 (CET) Rome
Linda Hecker MS, BSDH, RDH
Live webinar
gio. 16 aprile 2026
18:00 (CET) Rome
Dr. Pär-Olov Östman, Dr. Robert Gottlander DDS
Live webinar
ven. 17 aprile 2026
18:00 (CET) Rome
Live webinar
ven. 17 aprile 2026
19:00 (CET) Rome
Dr. Stuart Yeaton BDentSc, MOrth
Live webinar
lun. 20 aprile 2026
19:00 (CET) Rome
Dr. Alberto Monje DDS, MS, PhD
To post a reply please login or register