Nella valutazione di elementi dentali irreparabilmente compromessi ci troviamo a dover effettuare delle scelte sul piano di trattamento post-estrattivo1, 2. Stante la volontà di voler sostituire l’elemento perso con un impianto endosseo, se scegliamo di volerlo eseguire simultaneamente all’estrazione è necessario fare una valutazione dei vari fattori di rischio in tal modo saremo in grado di gestire con semplicità anche i casi più complessi. La scelta di un impianto in zirconia potrebbe inizialmente avere delle ulteriori limitazioni, ma nella fase protesica assume sicuri vantaggi.
Introduzione
La perdita dell’elemento dentale può avvenire per infezioni, parodontali e/o endodontiche, e/o da traumi che portano quasi sempre ad una frattura radicare irreparabile. Laddove l’infezione o il trauma non ha modificato significativamente la struttura anatomica limitrofa è auspicabile poter intervenire sostituendo la radice con un’impianto endosseo3, sul quale sarà possibile poter confezionare un elemento provvisorio a fini estetici. Soprattutto nelle zone ad alta valenza estetica tale procedura consente di limitare il disagio iniziale del paziente preservando la componente ossea dal riassorbimento e nel contempo, il mantenimento dei tessuti molli e dell’arco della parabola gengivale4, 5. L’uso di impianti in zirconia costituisce un valore aggiunto per una serie di fattori legati alla struttura della fixture e all’interazione che la stessa ha nei confronti dei tessuti molli sin dai primi momenti di guarigione, evitando la formazione di ossidi, propria dei metalli e ottimizzando l’estetica anche nei casi in cui il fenotipo sia sfavorevole o di tipo sottile6.
Materiali e metodi
In paziente di sesso femminile ASA1, non fumatrice con ricostruzione endo-protesica su 1.1 e 2.1 si evidenzia un’irrimediabile frattura verticale di 2.1 con perdita di una estesa porzione coronale (Fig. 1), confermata dalla radiografia endorale eseguita con centratore (Fig. 2). Al sondaggio non si percepisce perdita ossea a livello circonferenziale. Nella stessa seduta si procede ad avulsione radicolare cercando di non lesionare la struttura ossea e conservando anche le limitrofe papille. Data la richiesta di estetica manifestata dalla paziente e il miglioramento di entrambe le corone cliniche si procede con l’inserimento di un’impianto endosseo secondo la tecnica postestrattiva immediata e contestuale posizionamento di provvisorio con l’unione di entrambe le corone protesiche.
Fasi operative
L’utilizzo di un impianto in ceramica prevede le stesse procedure chirurgiche usate per gli impianti convenzionali in titanio, nello specifico impiego di impianti Monotype, cioè a corpo unico col moncone, esistono degli analoghi chirurgici che determinano l’altezza del moncone che si vuole adottare. Nel caso specifico la procedura chirurgica si è basa sulla diagnosi radiografica endorale e sulla visione clinica dell’alveolo successiva all’estrazione, cercando di posizionare l’impianto nella parte mesio-palatale dell’alveolo e cerando di impattare l’apice dell’impianto nella porzione ossea sovrastante l’apice radicolare. Ovviamente la posizione deve anche tener conto di un’adeguata inclinazione rispetto alla futura corona protesica, alla distanza inter-arcata con la porzione apicale del moncone e al rispetto delle papille limitrofe (Fig. 4). A preparazione impostata andiamo a scegliere tra 2 diverse altezze di moncone (4 mm o 5.5 mm) (Fig. 5). L’impianto è custodito in un’apposito sostegno sagomato in cui si trova anche il mounter utilizzabile per un’inserimento manuale o a manipolo (Fig. 6). Sul mounter è disegnata una linea con 3 punti verticali che identificano ciascuna delle 4 facce piane del moncone implantare e la distanza tra loro consente di stabilire nella fase di posizionamento la profondità a cui si pone l’impianto (Fig. 7). Nel posizionare l’impianto si devono compiere 2 scelte coincidenti, la prima dove collocarsi con la porzione del collocare dell’impianto e conseguentemente quanto approfondire la connessione protesica, mentre la seconda è legata all’altezza del moncone. Nello specifico abbiamo voluto dare una maggior estetica approfondendo una parte del collarino, pur utilizzando un moncone di 5.5 mm che ci garantirà un’ottima stabilità protesica. La rx endorale a fine intervento stabilisce il corretto posizionamento, prima di proseguire con la realizzazione della corona provvisoria.
Fasi Protesiche
Avendo scelto inizialmente di voler sostituire anche la corona protesica dell’incisivo controlaterale, al termine del posizionamento implantare abbiamo posizionato un coping di protezione sul moncone che è stato poi utilizzato per collegarlo al provvisorio realizzato (Fig. 9). Il provvisorio è stato realizzato secondo tecnica CAD/CAM nella medesima seduta posizionandolo su entrambi gli elementi. Abbiamo preferito supportare il carico dell’impianto unendo le due corone provvisorie eseguite in telio, allo scopo di garantire maggior resistenza, estetica ma soprattutto per una miglior rifinitura dei margini cervicali. Dopo 3 mesi è stato eseguito nuovo controllo radiografico e clinico rimuovendo il provvisorio. Allo scopo di trasferire all’odontotecnico l’anatomia del tragitto transmucoso è stato aggiunto del composito flou al transfer dedicato all’impronta che nello specifico è solo disponibile nella versione di impronta a strappo (Fig. 11), contemporaneamente abbiamo rilevato anche l’impronta del dente adiacente (Fig. 12). Entrambe le corone sono state realizzate con un core in zirconia sviluppata secondo tecnica CAD/CAM e stratificate in ceramica (Fig. 13). Alla prova delle corone valutiamo gli svincoli occlusali oltre ai movimenti parafunzionali, ricordando che la frattura dell’elemento oggetto di impianto è stato causata durante una funzione masticatoria, indice di un sovraccarico funzionale.
Conclusioni
Riteniamo che questo caso clinico così trattato sia da ritenersi di alta difficoltà per soluzione protesica, data la rilevanza estetica, funzionale associata alla scarsa versatilità dell’impianto impiegato, e chirurgica data la particolarità della paziente, la scarsa indagine diagnostica, la tecnica chirurgica e l’utilizzo di un materiale così dedicato. Seppure il follow-up a 5 anni possa ritenerci completamente soddisfatti per rispetto dei tessuti molli ed integrità dei tessuti duri, riteniamo che parte del risultato sia da imputarsi ai materiali impiegati oltre che all’esperienza dell’equipe che si è trovata a risolvere tale caso in un numero di sedute estremamente limitato. Dal punto di vista estetico siamo stati limitati nel coinvolgimento estetico degl’incisivi laterali, ritenendo di aver potuto migliorare ulteriormente l’estetica globale affrontando piccole e cosmetiche addizioni che avrebbero uniformato il sorriso (Fig. 15).
Fig. 1 - Visione al momento della prima visita in cui la paziente aveva fratturato la radice in senso verticale smarrendo la corona.
Fig. 2 - Visione radiografica eseguita con un centratore in cui si riscontra l’impossibilità di recuperare la radice per una nuova ricostruzione protesica.
Fig. 3 - Estrazione della radice eseguita con particolare attenzione al ridotto traumatismo del tessuto osseo e mucoso circostante.
Fig. 4 - Subito dopo il passaggio della prima fresa pilota abbiamo inserito una sonda per valutare la profondità di sondaggio, la corretta posizione centrale e l’inclinazione vestibolo buccale.
Fig. 5 - A preparazione del sito impiantare ultimata abbiamo inserito un analogo dell’impianto per stabilire l’altezza del moncone da utilizzare.
Fig. 6 - L’impianto si presenta confezionato con un involucro privo di metallo e un posizionatore monouso, che permette di stabilire la profondità di posizionamento e la faccetta piana del moncone.
Fig. 7 - Impianto posizionato, visione del moncone e sua corretta posizione.
Fig. 8 - Visione radiografica seguente all’inserimento dell’impianto.
Fig. 9 - Posizionamento di una coppetta in resina come base d’appoggio per la ribasatura del provvisorio.
Fig. 10 - I due incisivi centrali sono stati uniti in un unico provvisorio, così da ripartire l’impatto occlusale sull’impianto.
Fig. 11 - Alla presa di impronta analogica si provvede a inserire del composito flou nell’intercapedine tra il transfer e il tragitto transmucoso così da trasportare il volume condizionato dal provvisorio.
Fig. 12 - Visione dell’impronta eseguita in silicone.
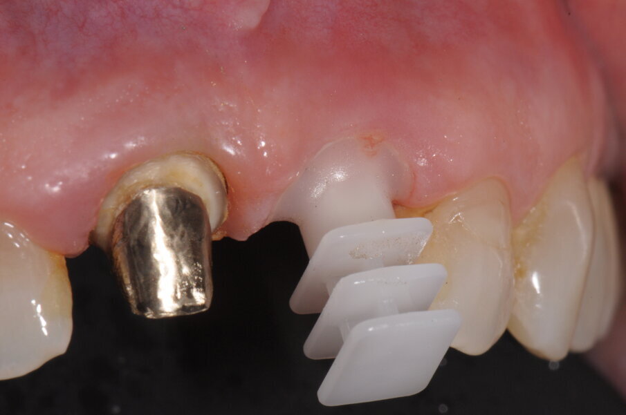
Fig. 13 - Utilizzo di un analogo dell’impianto in zirconia e visione delle due corone finalizzate.
Fig. 14 - Dopo 1 mese dal posizionamento, si valutano i contati in protrusa.
Fig. 15 - Controllo clinico a 5 anni dal posizionamento implantare.
Bibliografia
- Rivera E.M., Walton R.E.. Longitudinal tooth fractures: finding that contribute to complex endodontic diagnoses. Endod Topics 2009.
- Kawai K., Masaka N.. Vertical root fracture treated by bonding fragments and rotational replantation. Dent traumatol 2002. 18: 42-45.
- Zhao D., Wu Y., Xu C., Zhang F.. Immediate dental implant placement into infected vs. non-infected sockets: a mate-analysis. COIR 2016. 27: 1290-1296.
- Jung R.E., Ioannidis A., Hammerle C.H.F., Thoma D.S.. Alveolar ridge preservation in the esthetic zone. Periodontol 2000. 2018. 77:165-175.
- Morton D.. Chen S.T., Martin W.C.. Consensus statements and recommended clinical procedures regarding optimizing esthetic outcomes in implant dentistry. Int JOMI 2014. 29: 216-220 Suppl.
- Gahlert M., Röhling S., Wieland M., Eichhorn S., Küchenhoff H., Kniha H.. A comparison study of theosseointegration of zirconia and titanium dental implants. A biomechanical evaluation in the maxilla of pigs. Clin Implant Dent Relat Res. 2010 Dec;12(4):297-305.
L'articolo è stato pubblicato per la prima volta su managementodontoiatrico.it
Tag:
I piani di trattamenti clinici che prevedono il carico immediato o il posizionamento post-estrattivo immediato dell’impianto, rappresentano una procedura ...
L’inserimento di impianti postestrattivi immediati comporta vantaggi e svantaggi, ma in generale è considerata una terapia chirurgica ...
Il successo clinico in implantologia non può prescindere da un corretto ripristino dell’estetica e dell’anatomia dei tessuti di sostegno ...
Il successo clinico in implantologia non può prescindere da un corretto ripristino dell’estetica e dell’anatomia dei tessuti di sostegno ...
La difficile scelta clinica nel mantenimento di elementi compromessi e la loro eventuale sostituzione con impianti dentali, porta all’individuazione dei ...
Esiti di malattia parodontale, riassorbimenti interni ed esterni, lesioni cariose non sanabili e fratture sono ancora oggi causa di estrazione di molti ...
I dilemmi che accompagnano gli impianti post-estrattivi immediati spesso implicano la decisione se sarebbe meglio mantenere o meno con chirurgie o manovre ...
Se si dà uno sguardo al domani, specie per quanto riguarda l’implantologia, si può affermare con tranquillità che gli impianti ...
Questo lavoro propone una soluzione clinica alternativa nell’inclusione canina. La ricerca è stata a favore di un approccio clinico implantare ...
Questo lavoro propone una soluzione clinica alternativa nell’inclusione canina. La ricerca è stata a favore di un approccio clinico implantare ...
Dr. Bruce McFarlane Certified Specialist in Orthodontics Fellow: Royal College of Dentists of Canada Diplomate: American Board of Orthodontics
Live webinar
mer. 15 aprile 2026
20:00 (CET) Rome
Live webinar
gio. 16 aprile 2026
2:00 (CET) Rome
Linda Hecker MS, BSDH, RDH
Live webinar
gio. 16 aprile 2026
18:00 (CET) Rome
Dr. Pär-Olov Östman, Dr. Robert Gottlander DDS
Live webinar
ven. 17 aprile 2026
18:00 (CET) Rome
Live webinar
ven. 17 aprile 2026
19:00 (CET) Rome
Dr. Stuart Yeaton BDentSc, MOrth
Live webinar
lun. 20 aprile 2026
19:00 (CET) Rome
Dr. Alberto Monje DDS, MS, PhD
To post a reply please login or register