I dilemmi che accompagnano gli impianti post-estrattivi immediati spesso implicano la decisione se sarebbe meglio mantenere o meno con chirurgie o manovre aggiuntive l’anatomia della bozza radicolare.
Abstract
L’articolo presenta un caso di inserimento implantare post-estrattivo immediato con provvisorio immediato nell’incisivo centrale superiore di destra in contemporanea con procedure rigenerative per colmare il gap tra l’impianto e l’osso circostante e con la gestione della qualità dei tessuti molli per mezzo di una matrice dermica. La scelta terapeutica adottata consente una gestione e un mantenimento ideale dell’anatomia originaria, in contrapposizione alla tipica contrazione ossea e conseguente perdita del piatto osseo vestibolare conseguente all’estrazione dell’elemento dentario. Sarebbe interessante indagare se questa procedura sia necessaria solo per ragioni estetiche o se possa facilitare la manutenzione quotidiana, migliorando la durata dell’impianto e della riabilitazione protesica.
Introduzione
Da molti anni l’inserimento di impianti post-estrattivi immediati è stato riconosciuto e accettato dalla comunità scientifica come una procedura routinaria, sicura e predicibile, logicamente, ogni qualvolta sia possibile raggiungere un’adeguata stabilità primaria dell’impianto appena inserito1, 2.
Secondo il classico protocollo di Branemark di posizionamento degli impianti, l’inserimento di un impianto dopo l’estrazione di un elemento dentario necessita di un periodo di attesa di 3-6 mesi, definito come processo di guarigione, prima di poter eseguire la chirurgia, seguito da altri 3-6 mesi di tempo di osteointegrazione dell’impianto3, aumentando così il tempo dei trattamenti sia per i clinici che per i pazienti. Grazie alle attuali conoscenze ed esperienze, e alle nuove tecnologie applicate alla fabbricazione degli impianti, è ora possibile ottenere nuovi prodotti con macro e microstrutture particolari che consentono un inserimento immediato dell’impianto negli alveoli post-estrattivi immediati con un tasso di sopravvivenza dal 95% al 100% e con una percentuale di successo che varia dall’89% al 98% da 5 a 10 anni4.
Gli impianti post-estrattivi, inoltre, possono presentare molteplici vantaggi tra cui un minor tempo di terapia, perché la guarigione dell’alveolo e l’osteointegrazione dell’impianto avvengono contemporaneamente, un minor stress psicofisico per il paziente, un inserimento protesico ideale dell’impianto grazie alla preservazione del sito anatomico che permette un corretto inserimento della fixture e soprattutto, se abbinati all’uso di un biomateriale e a un innesto di tessuto connettivo, il mantenimento almeno parziale del piatto osseo buccale, che solitamente si riassorbe in seguito all’estrazione, necessario per l’ottenimento di un risultato estetico ideale e per il mantenimento della bozza vestibolare, fattore imprescindibile per un aspetto naturale dei restauri implanto-protesici (RBP: Root Bump Preservation)5-7. Particolare attenzione, infatti, deve essere posta al processo di guarigione dell’alveolo estrattivo, che gioca un ruolo importante sia per l’estetica che per la funzione dell’impianto.
Diversi studi hanno dimostrato che dopo un’estrazione è solitamente presente una contrazione di circa il 50% del piatto osseo buccale originale e che il rimodellamento più importante si ha nei primi 3 mesi dopo la perdita del dente, con una maggiore contrazione nella zona molare rispetto ad altri siti del cavo orale, che se non controllato e intercettato in tempo potrebbe creare un difetto anatomico vestibolare dove, una volta inserita la corona definitiva, il cibo rimarrà intrappolato determinando un problema di mantenimento dell’igiene con un maggior rischio di infiammazione dei tessuti perimplantari. Inoltre, si verrebbe a creare un’immagine sottrattiva con un’ombra scura intorno al profilo d’emergenza della corona, che in presenza di una linea del sorriso ampia potrebbe essere visibile e non piacevole anche nelle zone meno estetiche8-10.
L’inserimento di un impianto in un alveolo post-estrattivo unitamente alle procedure rigenerative (utilizzo di un sostituto osseo per colmare il gap tra osso alveolare e impianto), può aiutare a modificare il processo di guarigione spontaneo dell’alveolo, riducendo la dimensione della cavità che deve essere riempito da nuovo osso, diminuendo di conseguenza la contrazione dei tessuti intorno all’impianto e preservando il più possibile la naturale prominenza radicolare8.
Soprattutto nelle aree estetiche e nell’area molare, i clinici devono fare i conti con la stabilità dell’impianto nei siti estrattivi freschi11, che è il fattore chiave di questa tecnica. Inoltre, vi sono altri elementi che possono aumentare la difficoltà dell’intervento come la presenza di pareti ossee particolarmente inclinate che rendono difficile mantenere in posizione la prima fresa o l’osso interradicolare compromesso dalla malattia parodontale o da tecniche estrattive iatrogene, la posizione problematica del seno mascellare e del nervo alveolare inferiore, o il posizionamento dell’impianto in un alveolo radicolare particolare, specialmente negli elementi pluriradicolari, che possono causare un errato profilo di emergenza della corona o problemi di cantilever con il restauro finale12, 13.
In questo lavoro sarà descritto un caso clinico per mostrare come con questo metodo sia davvero facile ottenere un buon risultato estetico insieme a un mantenimento funzionale dell’anatomia della bozza radicolare (RBP – Root Bump Preservation), necessaria per evitare l’intrappolamento di cibo e per evitare l’immagine sottrattiva di ombra scura responsabile del danno estetico.
Caso clinico
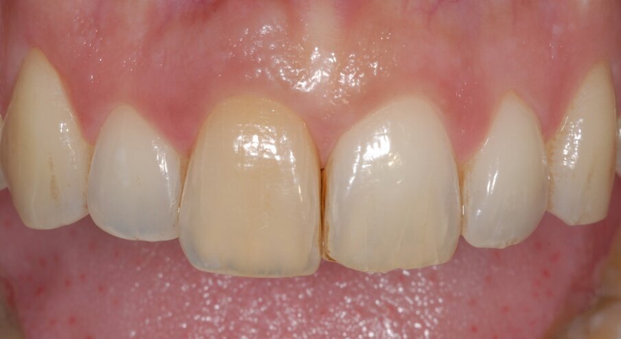
Una paziente di 34 anni di età si è presentata alla nostra osservazione lamentando la mobilità e il colore giallognolo dell’incisivo centrale superiore di destra. Effettivamente, all’esame radiografico era evidente anche un accentuato riassorbimento della radice e si decise così di programmare un impianto post-estrattivo immediato con contestuale inserimento della corona provvisoria e gestione del gap tra le pareti ossee e l’impianto con del biomateriale e dei tessuti molli per mezzo di una membrana a matrice dermica (Figg. 1, 2).
Procedure pre-chirurgiche
Considerando che il profilo dei tessuti molli era ideale, si decise di far preparare un provvisorio per il giorno dell’intervento che ripetesse esattamente il profilo di emergenza dell’elemento da estrarre, così da sostenere correttamente i tessuti molli e non creare nessun cambiamento di forma durante le fasi di guarigione.
Procedure chirurgiche
Prima dell’intervento è stato programmato un appuntamento per la profilassi professionale. La paziente è stata premedicata 1 ora prima dell’intervento chirurgico con 1 g di penicillina e acido clavulanico (Augmentin 1 g, GlaxoSmithKline, Verona, Italia) per continuare con 2 g/die per 6 giorni.
Il primo passo prevedeva l’estrazione dell’incisivo dapprima mediante l’uso di un sindesmotomo e poi per mezzo di una pinza facendo attenzione a preservare il più possibile il sito anatomico e non rompere le pareti alveolari. Dopo l’estrazione, l’osso alveolare è stato esplorato con una sonda parodontale, per valutarne l’integrità e per determinare quale diametro di impianto utilizzare.
L’impianto è stato inserito 3 mm apicalmente al margine gengivale libero (Nobel Active, Nobel Biocare), al centro dell’alveolo, leggermente posizionato verso il lato linguale con un corretto posizionamento 3D14. Sembra logico inserire un impianto di lunghezza e diametro sufficiente per un ancoraggio ottimale.
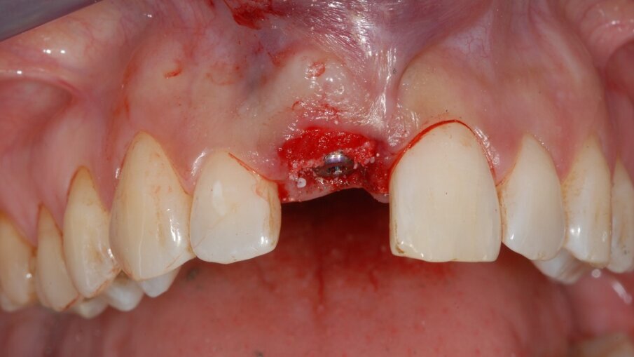
Immediatamente dopo aver ribasato una corona provvisoria, lo spazio tra l’impianto e le pareti ossee è stato riempito con del sostitutivo osseo equino (Calcitos, Bioactiva, Ita) per prevenire un possibile riassorbimento con conseguente danno estetico. Il biomateriale è stato inserito fino al livello del margine gengivale libero, per riempire senza eccessiva pressione tutto lo spazio tra la corona, l’impianto e l’osso alveolare15.
Infine, visto che la forma, lo spessore e la quota di gengiva cheratinizzata erano ideali, i tessuti sono stati elevati a tunnel attraverso la parabola senza nessuna incisione di rilascio ed è stata inserita una matrice dermica (Creos Mucogain, Nobel Biocare, Swiss) per migliorare e mantenere il tono dei tessuti stessi al posto di un più classico innesto di tessuto autologo connettivale (Fig. 3).
Fig. 1 - L’incisivo centrale di destra appare di colore più scuro e mobile.
Fig. 2 - Alla rx si evidenzia un severo riassorbimento della sua radice
Fig. 3 - Appena inserito l’impianto il gap tra impianto e osso alveolare è stato zeppato con del biomateriale e tra i tessuti molli e il piatto osseo buccale è stata inserita una matrice dermica.
Procedure protesiche
Inizialmente, il margine della corona provvisoria in resina è stato colorato con una matita rossa per facilitarne l’individuazione, quindi la corona provvisoria è stata ribasata con resina acrilica (Yates & Bird / Motloid) su di un moncone provvisorio in titanio. Dopo la polimerizzazione della resina, la corona è stata svitata ed è stata aggiunta della resina per riempire lo spazio tra la corona e il moncone. Il provvisorio è stato poi rifinito dandogli una forma concava nella sua porzione transmucosa, con l’inizio della concavità in corrispondenza della linea rossa precedentemente tracciata. Il provvisorio è stato avvitato a mano, mantenendone la stabilità con due dita in modo da trasmettere la minor forza possibile all’impianto.
Infine, il foro di accesso della vite è stato riempito con del teflon e ricoperto con materiale da riempimento temporaneo (Telio inlay, Ivoclar, Italia). È stata, quindi, controllata l’occlusione e sono stati rimossi i contatti sia in occlusione statica che dinamica (Fig. 4).
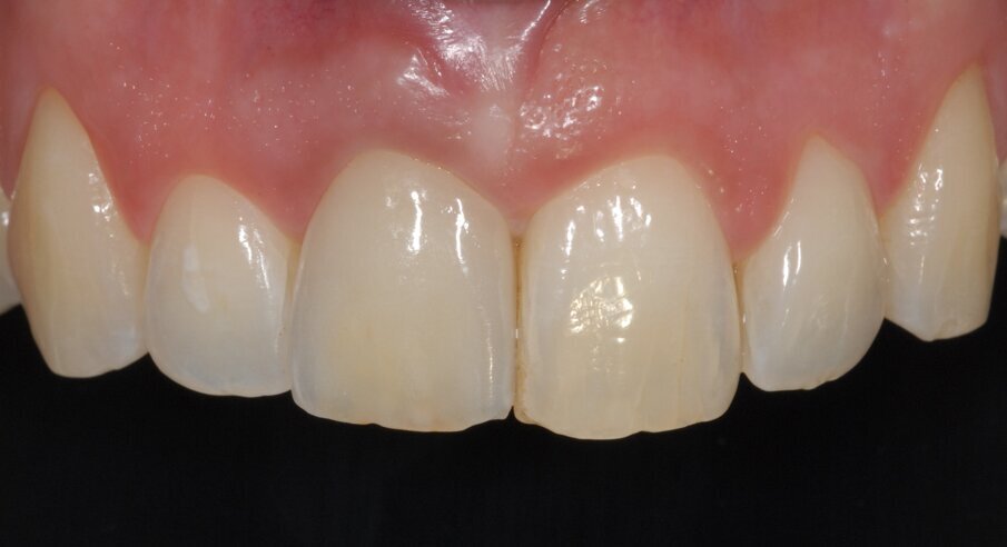
Alla paziente è stato chiesto di evitare di masticare sull’area trattata per 3 mesi e di evitare di lavarsi i denti per le prime 2 settimane. È stato prescritto un risciacquo con clorexidina allo 0,12% (Eburos, Dentsply) per 2 settimane. Successivamente, sono stati consentiti lo spazzolino convenzionale e il filo interdentale. La paziente ha mantenuto il provvisorio per 12 mesi, quindi è stata presa un’impronta, secondo la metodica di Hinds16 (Fig. 5). È stata, quindi, realizzata e avvitata sull’impianto una corona in zirconia-ceramica con moncone individualizzato (Figg. 6, 7).
Fig. 4 - Il provvisorio appena avvitato al termine della chirurgia.
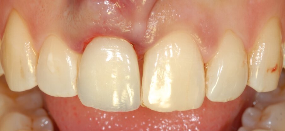
Fig. 5 - I tessuti perimplantari a un anno dall’intervento sono molto belli sia per forma che per tono e stato di salute. Le papille sono competenti e la parabola è simmetrica a quella dell’elemento adiacente. La bozza radicolare è molto ben conservata (Root Bump Preservation RBP).
Fig. 6 - Corona defi nitiva in zirconia ceramica avvitata sull’impianto. Il profi lo d’emergenza è assolutamente simile a quello dell’elemento adiacente.
Discussioni
Attualmente, un restauro supportato da impianto dovrebbe rispondere a precisi requisiti estetici e funzionali, soprattutto quando si sostituisce un singolo elemento. Il raggiungimento di risultati stabili dipende in gran parte da molti fattori, come la quantità di mucosa cheratinizzata, lo spessore e l’altezza dell’osso buccale e interprossimale, la chirurgia appropriata, il corretto inserimento dell’impianto nelle 3 dimensioni dello spazio e la forma e il materiale dei componenti protesici dell’impianto nella sua porzione transmucosa14, 17, 18.
L’obiettivo di questo case report era quello di poter estrarre l’elemento dentario preservando l’osso buccale e interprossimale e, di conseguenza, le papille e i tessuti molli. Un secondo obiettivo è stato l’utilizzo di una corona provvisoria in resina seguendo l’esatta anatomia del dente al limite del solco, e dando così la possibilità di avere una corretta posizione individuale da cui partire con la concavità. Questa corona provvisoria è in grado di supportare la gengiva marginale fornendo una piattaforma per promuovere la guarigione dei tessuti molli perimplantari e proteggere l’alveolo estrattivo durante la guarigione. Inoltre, in letteratura è dimostrato che l’epitelio e il tessuto connettivo possono aderire a una superficie pulita di corone artificiali e denti in acrilico15, 19-21. La tecnica del carico immediato ha un indiscutibile vantaggio perché le fibre interpapillari e gengivoalveolari preservano i picchi ossei interprossimali quando i tessuti interdentali perimplantari sono forniti di supporto immediato da una vite di guarigione o da un restauro provvisorio immediato22.
Inoltre, la porzione transmucosa del restauro provvisorio è stata eseguita concava perché con questo disegno si evita ogni compressione, e la stabilità tissutale è meglio preservata e mantenuta nel tempo. I tessuti molli appaiono sani, di colore rosa chiaro e talvolta con un caratteristico aspetto a buccia d’arancia simile a quello intorno ai denti naturali. Un moncone concavo, infatti, lascia più spazio al tessuto connettivo attorno al moncone, creando una sorta di O-ring che funge da barriera per l’interfaccia osso-impianto18, 23, 24. Il riempimento dello spazio tra l’impianto e l’osso, fino al margine gengivale libero, con del biomateriale associato a un provvisorio la cui concavità parte esattamente a livello del margine gengivale libero da cui la corona dovrebbe emergere aiuta a mantenere quanto più possibile l’anatomia precedente, rendendo possibile il mantenimento della bozza radicolare in maniera quasi identica a quella degli elementi dentari adiacenti. Inoltre, l’utilizzo di un restauro avvitato preserva il rischio di lasciare del cemento residuo all’interno del solco, con tutti i potenziali rischi che potrebbero verificarsi25-27.
Conclusioni
La riabilitazione estetica e funzionale comporta spesso un approccio non convenzionale. Una corretta diagnosi anatomica ed estetica, un piano di trattamento adeguato e un’attenta selezione dei materiali sono fattori critici per il successo del restauro. La possibilità di preservare un’anatomia già ideale è di sicuro un punto di partenza importante per la corretta soluzione del caso assieme alla capacità di gestire sia la parte chirurgica che la forma dei restauri protesici in modo da mantenere nel tempo un risultato sia funzionale che estetico soddisfacente.
L’utilizzo di un restauro avvitato con la parte transmucosa in grado di replicare fedelmente il percorso transmucoso creato dal corretto contorno del provvisorio è un prerequisito per ottenere risultati ottimali. Inoltre, un restauro avvitato permette di evitare di cementare una corona definitiva su un moncone definitivo, aggirando il problema della rimozione del cemento, in considerazione del fatto che tale eccesso è stato associato a segni di malattia perimplantare nella maggioranza (81%) dei casi27.
Un approccio di squadra che includa i clinici, il tecnico di laboratorio e il paziente è altrettanto essenziale per ottenere il risultato desiderato.
Acknowledgments
Gli autori desiderano ringraziare il Sig. Giancarlo Cozzolino, CDT, per il suo supporto nella realizzazione del restauro. Gli autori non hanno riportato conflitti di interesse relativi a questo studio.
Bibliografia
- Smith R.B., Tarnow D.P. Classification of molar extraction sites for immediate dental implant placement: technical note. Int J Oral Maxillofac Implants. 2013 May-Jun;28(3):911-6.
- Schwartz-Arad D., Chaushu G. The ways and wherefores of immediate placement of implants into fresh extraction sites: A literature review. J Periodontol 1997;68:915–932.
- Brånemark P.I., Hansson B.O., Adell R., Breine U., Lindstrom J., Hallen O., Ohman A. Osseointegrated implants in the treatment of the edentulous jaw. Experience from a 10-year period. Scand J Plast Reconstr Surg Suppl 1977;16:1–132.
- Moy P.K., Nishimura G.H., Pozzi A., Danda A.K. Single implants in dorsal areas – A systematic review. Eur J Oral Implantol. 2016;9 Suppl 1:S163-72.
- Lazzara R.J. Immediate implant placement into extraction sites: surgical and restorative advantages. Int J Periodontics Restorative Dent. 1989;9(5):332-43.
- Becker W., Becker B.E. Guided tissue regeneration for implants placed into extraction sockets and for implant dehiscences: surgical techniques and case report. Int J Periodontics Restorative Dent. 1990;10(5):376-91.
- Shanaman R.H. The use of guided tissue regeneration to facilitate ideal prosthetic placement of implants. Int J Periodontics Restorative Dent. 1992;12(4):256-65.
- Araújo M.G., Silva C.O., Misawa M., Sukekava F. Alveolar socket healing: what can we learn? Periodontol 2000, 68:122–134.
- Schropp L., Wenzel A., Kostopoulos L., Karring T. Bone healing and soft tissue contour changes following single-tooth extraction: a clinical and radiographic 12-month prospective study. Int J Periodontics Restorative Dent 2003:23: 313– 323.
- Pietrokovski J., Massler M. Alveolar ridge resorption following tooth extraction. J Prosthet Dent 1967:17: 21–27.
- Polizzi G., Grunder U., Goene R., Hatano N., Henry P., Jackson W.J., et al. Immediate and delayed implant placement into extraction sockets: a 5-year report. Clin Implant Dent Relat Res. 2000;2(2):93–9.
- Acocella A., Bertolai R., Sacco R. Modified insertion technique for immediate implant placement into fresh extraction socket in the first maxillary molar sites: a 3-year prospective study. Implant Dent. 2010;19(3):220–8.
- Penarrocha-Oltra D., Demarchi C.L., Maestre-Ferrin L., Penarrocha-Diago M., Penarrocha-Diago M. Comparison of immediate and delayed implants in the maxillary molar region: a retrospective study of 123 implants. Int J Oral Maxillofac Implants. 2012;27(3):604–10.
- Grunder U., Gracis S., Capelli M. Influence of the 3-D bone-to-implant relationship on esthetics. Int J Periodontics Restorative Dent 2005;25:113-119.
- Saito H., Chu S., Reynolds M., Tarnow D. Provisional Restorations Used in Immediate Implant Placement Provide a Platform to Promote Peri-implant Soft Tissue Healing: A Pilot Study. Int J Period Rest Dent 2016;36:47-52.
- Hinds K.F. Custom impression coping for an exact registration of the healed tissue in the esthetic implant restoration. Int J Period Rest Dent 1997;17:584-591.
- Rompen E., Domken O., Degidi M., Farias Pontes A.E., Piattelli A. The effect of material characteristics, of surface topography and of implant components and connections on soft tissue integration: A literature review. Clin Oral Implants Res 2006;17 suppl 2:55-67.
- Redemagni M., Cremonesi S., Garlini G., Maiorana C. Soft Tissue Stability with Immediate Implants and Concave Abutments. Eur J Esthet Dent 2009;4:226-235.
- Waerhaug J. Tissue reaction around artificial crowns. J Periodontol 1953;24: 172–185.
- Waerhaug J. Tissue reaction around acrylic root tips. J Dent Res 1957;36:27-38.
- Waerhaug J., Zander H.A. Reaction of gingival tissues to selfcuring acrylic res- torations. J Am Dent Assoc 1957;54: 760–768.
- Mankoo T. Contemporary implant concepts in aesthetic dentistry – part 3: adjacent immediate implants in the aesthetic zone. Pract Proced Aesthet Dent 2004;May,Vol.41:327-334.
- Touati B., Rompen E., Van Dooren E. A new concept for optimizing soft tissue integration. Pract Proced Aesthet Dent 2005;17:711-715.
- Mankoo T. Contemporary implant concepts in aesthetic dentistry-Part 2: immediate single tooth implants. Pract Proced Aesthet Dent 2004;16:61-68.
- Linkevycius T., Vindasiute E., Puisys A., Linkeviciene L., Maslova N., Puriene A. The influence of the cementation margin position on the amount of undetected cement. A prospective clinical study. Clin Oral Implants Res. 2013 Jan;24(1):71-6.
- Shapoff C.A., Lahey B.J. Crestal bone loss and the consequences of retained excess cement around dental implants. Compend Contin Educ Dent. 2012 Feb;33(2):94-6, 98-101.
- Thomas G., Wilson J.R. The Positive Relationship Between Excess Cement and Peri-Implant Disease: A Prospective Clinical Endoscopic Study. Journal of Periodontology 2009,80;9:1388-1392.
Tag:
La corretta gestione dei tessuti duri e molli per raggiungere l’estetica ideale.
L’implantologia osseointegrata ha raggiunto livelli di affidabilità molto elevati, qualora siano rispettati criteri di pianificazione e di esecuzione ...
L’inserimento di impianti postestrattivi immediati comporta vantaggi e svantaggi, ma in generale è considerata una terapia chirurgica ...
Nella valutazione di elementi dentali irreparabilmente compromessi ci troviamo a dover effettuare delle scelte sul piano di trattamento post-estrattivo1, 2....
I piani di trattamenti clinici che prevedono il carico immediato o il posizionamento post-estrattivo immediato dell’impianto, rappresentano una procedura ...
Il successo clinico in implantologia non può prescindere da un corretto ripristino dell’estetica e dell’anatomia dei tessuti di sostegno ...
Il successo clinico in implantologia non può prescindere da un corretto ripristino dell’estetica e dell’anatomia dei tessuti di sostegno ...
La difficile scelta clinica nel mantenimento di elementi compromessi e la loro eventuale sostituzione con impianti dentali, porta all’individuazione dei ...
Esiti di malattia parodontale, riassorbimenti interni ed esterni, lesioni cariose non sanabili e fratture sono ancora oggi causa di estrazione di molti ...
Se si dà uno sguardo al domani, specie per quanto riguarda l’implantologia, si può affermare con tranquillità che gli impianti ...
Live webinar
mar. 17 marzo 2026
18:00 (CET) Rome
Prof. Dr. Nadine Schlüter
Live webinar
mar. 17 marzo 2026
18:00 (CET) Rome
Dr. Giuseppe Luongo MD, DDS, Dr. Fabrizia Luongo DMD, MS, Dr. Robert Gottlander DDS
Live webinar
gio. 19 marzo 2026
0:00 (CET) Rome
Live webinar
gio. 19 marzo 2026
18:00 (CET) Rome
Live webinar
ven. 20 marzo 2026
10:00 (CET) Rome
Mr. Andrew Terry Cert.DT. GradDipDH. Med, Cat Edney
Live webinar
lun. 23 marzo 2026
14:30 (CET) Rome
Prof. Gianluca Gambarini MD, DDS
Live webinar
mar. 24 marzo 2026
18:00 (CET) Rome
To post a reply please login or register