L’inserimento immediato degli impianti negli alveoli postestrattivi è una procedura complessa. Il requisito principale è costituito dall’integrità e spessore dell’osso buccale che dovrà almeno avere uno spessore pari o superiore a 1mm1 e la presenza di un gap fra l’impianto e la parete alveolare di 2 mm circa.
Una estrazione atraumatica e l’utilizzo di biomateriali nel void compreso fra l’impianto e l’osso alveolare costituiscono dei fattori chiave per il mantenimento dei volumi alveolari. Tuttavia nelle zone estetiche del mascellare l’inserimento degli impianti post-estrattivi può indurre una disarmonia estetica dovuta ad una recessione vestibolare del volume tessutale perimplantare2-4.
Per ridurre la perdita volumetrica dei tessuti perimplantari, alcuni studi clinici5-7 hanno riportato l’utilizzo delle cappette di guarigione customizzate avvitate sugli impianti immediatamente inseriti negli alveoli post-estrattivi. In questo case report viene descritta l’applicazione delle cappette di guarigione customizzate seguendo la procedure Cad-Cam in un flusso di lavoro digitale. Prima di eseguire l’estrazione si procede con il rilevamento dell’impronta digitale per copiare l’anatomia del profilo d’emergenza del dente. A questo punto si estrae in modo molto conservativo il dente. Si posiziona l’impianto dentale senza inserimento dei biomateriali nel void creato fra la superficie dell’impianto e la parete dell’alveolo. Si avvita una cappetta eseguita con la procedura Cad-Cam copiando l’anatomia del dente estratto (Figg. 1a, 2).
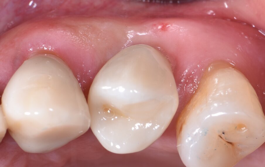
Tre mesi dopo, l’inserimento dell’impianto i volumi anatomici dei tessuti perimplantari presentano la stessa forma e dimensione di quella precedente dell’estrazione del dente (Fig. 3). Dopo il rilevamento dell’impronta digitale si disegnano i margini gengivali del manufatto protesico, prestando attenzione al profilo d’emergenza (Figg. 4a, 4b). La corona in disilicato di litio viene cementata rispettando i profili anatomici conservati dalla cappetta castomizzata (Fig. 5). A distanza di due anni si possono notare il mantenimento volumetrico delle strutture tessutali attorno al restauro implant-protesico.
La cone beam rivela il mantenimento volumetrico del tessuto osseo periimplantare (Figg. 6a-6c). Questo case report evidenzia l’importanza della customizzazione delle cappette di guarigione per il mantenimento dei volumi dei tessuti perimplantari. La forma delle cappette di guarigione simili alle radici dei denti estratti avvitate sugli impianti post-estrattivi evitano il collasso volumetrico dei tessuti, guidando la guarigione dei tessuti perimplantari con il mantenenimento volumetrico dell’alveolo. Con questa metodica si riduce il numero delle procedure tradizionali eseguite per il trattamento implanto protesico negli impianti post-estrattivi. Si evita la riapertura del lembo gengivale, le varie fasi della ribasatura del provvisorio per il condizionamento gengivale, riducendo i tempi e i costi. Con questa procedura si lavora in modo conservativo, si velocizzano i tempi di esecuzione del flusso di lavoro mantenendo inalterati i parametri morfologici e volumetrici dei tessuti periimplantari. E tutto questo flusso di lavoro è possibile effettuarlo direttamente alla poltrona diminuendo i costi e il tempo per il paziente.
Fig. 1b - La sezione alla Cone beam.
Fig. 2 - Coppetta di guarigione castomizzata avvitata sull’impianto appena inserito nell’alveolo post-estrattivo.
Fig. 3 - Si può notare il trofismo e il volume dei tessuti periimplantari 3 mesi dopo l’inserimento dell’impianto.
Figg. 4a, 4b - Inserimento del moncone e presa dell’impronta digitale.
Figg. 4a, 4b - Inserimento del moncone e presa dell’impronta digitale.
Fig. 5 - I volumi dei tessuti perimplantari sono sovrapponibili a quelli registrati prima dell’estrazione dentale.
Fig. 6a - Caso clinico a due anni dalla finalizzazione implanto-protesica.
Fig. 6b, 6c - Le sezioni alla Cone beam mostrano il mantenimento volumetrico dell’osso alveolare.
Fig. 6b, 6c - Le sezioni alla Cone beam mostrano il mantenimento volumetrico dell’osso alveolare.
Bibliografia
- Morton D, Chen ST, Martin WC, et al. Consensus statements and recommended clinical procedures regarding optimizing esthetic outcomes in implant dentistry. Int J Oral Maxillofac Implants 2014;29(Suppl):216–220. DOI:10.11607/jomi.2013.g3.
- Evans CD, Chen ST. Esthetic outcomes of immediate implant placements. Clin Oral Implants Res 2008;19(1):73–80. DOI: 10.1111/j.1600-0501.2007.01413.x.
- Hämmerle CH, Araújo MG, Simion M, et al. Evidence-based knowledge on the biology and treatment of extraction sockets. Clin Oral Implants Res 2012;23(Suppl 5):80–82. DOI: 10.1111/j.1600-0501.2011.02370.x.
- Benic GI, Mokti M, Chen CJ, et al. Dimensions of buccal bone and mucosa at immediately placed implants after 7 years: a clinical and cone beam computed tomography study. Clin Oral Implants Res 2012;23(5):560–566. DOI:10.1111/j.1600-0501.2011.02253.x.
- Menchini-Fabris Giovanni-Battista, Covani Ugo, Toti Paolo, Crespi Giovanni, Rubino Luigi, Crespi Roberto. Customized vs Conventional Abutments in Healing Fresh Extraction Dental Sockets on Maxillary Anterior Teeth. International Journal of Prosthodontics and Restorative Dentistry (2019): 10.5005/jp-journals-10019-1239.
- Finelle G, Lee SJ. Guided immediate implant placement with wound closure by computer-aided design/computer-assisted manufacture sealing socket abutment: case report. Int J Oral Maxillofac Implants 2017;32(2):e63–e67. DOI: 10.11607/jomi.4770.
- Richard Akin. A new concept in maintaining the emergence profile in immediate posterior implant placement: the anatomic harmony abutment. J Oral Maxillofac Surg 2016;74(12):2385–2392. DOI: 10.1016/j.joms.2016.06.184
L'articolo è stato pubblicato su Implant Tribune Italian Edition 1/20.
L’inserimento di impianti postestrattivi immediati comporta vantaggi e svantaggi, ma in generale è considerata una terapia chirurgica ...
Nelle aree esteticamente critiche, la scelta del momento del posizionamento dell'impianto immediato, precoce o tardivo, può influenzare il risultato. Nel ...
TOMSK, Russia: una delle ragioni alla base del fallimento degli impianti è il rigetto del corpo che reagisce con una risposta immunitaria. Le ...
Nella valutazione di elementi dentali irreparabilmente compromessi ci troviamo a dover effettuare delle scelte sul piano di trattamento post-estrattivo1, 2....
Abacus Sistemi CAD-CAM da oltre 20 anni opera nella distribuzione e assistenza di prodotti per la scansione 3D, il disegno 2D e il disegno 3D e la fresatura...
Soluzioni di fresaggio per il laboratorio odontotecnico
VANCOUVER, Canada: Secondo un rapporto pubblicato di recente da iData Research, società internazionale di ricerche di mercato, sulla diffusione delle...
SAWANGI, India: Una cosa è certa… la tecnologia cambia in continuazione. Essere un dentista esperto della tecnologia CAD/CAM o un principiante ...
La guarigione dell’alveolo post-estrattivo è un processo biologico di riparazione complesso che coinvolge più tessuti. Si tratta di una ...
Encode System è una soluzione digitale completa e unica nel suo genere che fornisce a clinici e odontotecnici un processo più produttivo e affidabile che ...
Live webinar
gio. 7 maggio 2026
17:00 (CET) Rome
Live webinar
gio. 7 maggio 2026
18:00 (CET) Rome
Live webinar
gio. 7 maggio 2026
18:00 (CET) Rome
Dra. Maria Carolina Erhardt, Dra. Thais Tomé Feldens
Live webinar
gio. 7 maggio 2026
20:30 (CET) Rome
Live webinar
lun. 11 maggio 2026
18:00 (CET) Rome
Live webinar
lun. 11 maggio 2026
19:00 (CET) Rome
Live webinar
mar. 12 maggio 2026
19:00 (CET) Rome
To post a reply please login or register