I metodi digitali oggi a disposizione del clinico e dell’odontotecnico offrono già dalla prima visita informazioni utili alla pianificazione estetica e funzionale del restauro in implantoprotesi.
Impronta ottica, volume 3D a basso dosaggio e software di pianificazione protesica sono strumenti fondamentali che il team ha a disposizione per la decisione clinica. Di seguito viene presentata una proposta di protocollo clinico dove questi strumenti integrati semplificano le procedure e le rendono fruibili in tempi ristretti anche nella stessa seduta di prima visita.
Introduzione
L’implantoprotesi dell’elemento singolo e degli elementi multipli (Less Than Three Prosthetic Implantology) rappresenta oggi più del 75% dei casi di uno studio dentistico medio. Da questo dato risulta evidente che la sola questione economica non può essere la spiegazione della forte riduzione di queste procedure. Maggiore consapevolezza della salute orale, maggiore approccio mini-invasivo da parte dei dentisti nei piani di cura, overtreatment non più percepito dai pazienti come successo, sono i fattori che maggiormente spingono in questa direzione.
Oggi i pazienti percepiscono come valore la stabilità estetico-funzionale e l’approccio mini-invasivo. Pianificazione protesica, chirurgia guidata protesicamente, uso di pilastri customizzati, protesi Metal Free, sono i cardini indiscussi per il successo e la stabilità dei risultati sopracitati.
Il metodo analogico risulta spesso complicato e caratterizzato da lunghe tempistiche, mentre la tecnologia digitale ha permesso importanti miglioramenti nella gestione dei pazienti che necessitano di un intervento implantare: software specifici possono simulare l’intervento, integrando i dati ottenuti con una TAC a quelli di un’impronta digitale nella stessa seduta della prima visita.
I nuovi flussi di lavoro permettono di unire la parte diagnostica, chirurgica e protesica in modo altamente performante e in tempi ottimizzati, fornendo un’elevata precisione di posizionamento dell’impianto e offrendo risultati più prevedibili rispetto all’implantologia non guidata: è dimostrato che le guide CAD/CAM sono in grado di fornire un ottimo livello di precisione nel posizionamento dell’impianto dentale, migliore sia delle tecniche a mano libera che di quelle che si affidano alle guide derivate da modelli.
Scopo di questo lavoro è presentare una proposta di protocollo clinico dove, a partire dalla prima visita, il paziente viene coinvolto in tutti i processi decisionali. Coinvolgere il paziente nella pianificazione protesica, chirurgica ed estetica rappresenta un concetto di valore e di decisione clinica efficace.
- Il workflow digitale è caratterizzato dalle seguenti fasi:
- Scansione intraorale e ceratura diagnostica o mock-up protesico digitale;
- Posizionamento virtuale dell’impianto a guida protesica;
- Realizzazione di una dima chirurgica a guida protesica;
- Impronta post operatoria digitale;
- Realizzazione di una vite di guarigione custom e di un provvisorio avvitato immediato stampato con tecnologia TSLA DWS-DFAB.
La tecnologia TSLA
La stereolitografia Stereolithography Apparatus (SLA) è una tecnica che permette di realizzare singoli oggetti tridimensionali a partire direttamente da dati digitali elaborati da un software CAD/CAM impiegando particolari resine fotosensibili solidificate tramite una sorgente UV.
Una vasca contiene una resina liquida in grado di polimerizzare se esposta alla luce di un Laser (foto-polimerizzazione). Appena al di sotto del livello del fluido è presente una piastra forata. Un raggio laser viene proiettato da un sistema di specchi in modo da scandire la superficie del liquido e nel contempo modulato in modo da ricostruire un’immagine raster della prima sezione dell’oggetto da costruire.
Terminata la prima scansione la piastra si abbassa leggermente e una successiva scansione laser genera una seconda sezione. Il processo si ripete fino a completare l’oggetto. Al termine della creazione l’oggetto viene estratto dalla resina liquida e posto in un forno a luce ultravioletta per completare la polimerizzazione di superficie. Nelle tecnologie di stampa tradizionali il materiale è unico, di un unico colore e la vaschetta o il contenitore del materiale di stampa è posizionata in piano. Con tale materiale vengono creati il supporto, la base e il modello.
Nella Tilting Stereolithography il materiale è unico, ma confluisce in un circuito di pompaggio a flusso continuo, poiché la cartuccia è posizionata su un piano inclinato di 45°. Grazie a questo flusso è possibile usare tipologie diverse di pigmenti: un algoritmo molto sofisticato del software fa sì che si crei un gradiente verticale di colorazione, prelevando al momento giusto il pigmento riconosciuto.
La resina viene fatta circolare e scorrere verso basso, grazie al piano inclinato, e successivamente viene rimessa in circolo, cioè portata di nuovo verso l’alto da una pompa. Questo circolo continuo di resina permette di aggiungere del colore scuro ad ogni passaggio, ricostruendo quindi il reale colore originario. Tale procedura non è invece possibile nei metodi tradizionali, dove la resina è posizionata a livello 0 e quindi in piano.
Caso clinico, materiali e metodi
Paziente di sesso femminile di 55 anni, si presenta all’osservazione con una frattura radicolare longitudinale a carico del dente 24, non curabile. Si è quindi optato per una terapia che prevede l’estrazione dell’elemento e il posizionamento di un impianto (Figg. 1, 2).
Abbiamo eseguito una scansione intraorale delle arcate dentarie con scanner Dentsply Sirona Primescan (Fig. 3). Successivamente abbiamo pianificato una ceratura diagnostica dell’elemento 24 con software exocad Galway. Il progetto protesico ottenuto sui parametri estetici e funzionali è stato importato sul software 3Shape Implant System dove è stata programmata la posizione implantare secondo la guida ossea e protesica. Il software usato per la programmazione implantare 3Shape Implant System consente l’esportazione della dima chirurgica e del modello protesico con le geometrie della posizione dell’analogo digitale in posizione (Figg. 4-9).
Fig. 2_Elemento 24 deve essere sostituito con impianto.
Fig. 3_Impronta ottica intraorale, il dente viene rimosso virtualmente.
Fig. 4_La sella edentula.
Fig. 5_La proposta protesica digital wax-up.
Fig. 6_L’allineamento tra impronta intraorale e Dicom a basso dosaggio.
Fig. 7_Il progetto protesico integrato nel volume radiologico.
Fig. 8_Il posizionamento implantare nel software 3Shape Implant Studio.
Fig. 9_La dima chirurgica progettata.
I file STL ottenuti sono stati stampati utilizzando una tecnologia TSLA propria della stampante DFAB di DWS. Il file STL per la dima chirurgica è stato importato su NautaPlus, software utilizzato per la preparazione di modelli per stampa 3D. Abbiamo aggiunto dei punti di supporto esclusivamente per le superfici occlusali, in modo da ottenere una perfetta calzata della dima chirurgica. La stampa è stata eseguita utilizzando la resina DS3000 per DFAB di DWS System. I punti di supporto sono stati esaminati attentamente e rimossi manualmente dalle superfici della dima per agevolare la post-elaborazione. Dopo la stampa, la dima è stata rimossa dalla piattaforma di costruzione e sciacquata con una miscela idroalcolica con gradazione pari a 80% vol. ed infine sterilizzata preparandola per la procedura chirurgica. Il tempo massimo della stampa è di 45 minuti (Figg. 10a-10d).
Successivamente, l’atto chirurgico ha consentito il posizionamento guidato dell’impianto. Abbiamo posizionato uno scan-body, acquisito l’impronta ottica del corpo di scansione cui viene allineata la ceratura progettata inizialmente e la progettazione dell’abutment customizzato. Il motivo per il quale è importante la progettazione customizzata del tragitto transmucoso è dato dal fatto che questo è in grado di supportare i tessuti molli, aumentando così la qualità estetica dei tessuti stessi in guarigione, mantenendo le papille intatte e un profilo gengivale in armonia con le parabole dei denti adiacenti.
Gli abutment di guarigione cilindrici in titanio, pur essendo efficaci, non riescono a gestire le numerose topografie gengivali che si possono incontrare intraoralmente (Figg. 11-14). Dall’impronta ottica del corpo di scansione abbiamo stampato il modello in 3D con stampante XFAB 2500PD in resina PRECISA RD097 per consentine successivamente al laboratorio la finalizzazione del caso. Al rientro chirurgico è stata fissata una vite di guarigione customizzata sul profilo di emergenza della corona progettata.
Fig. 10a_Il modello protesico e la dima chirurgica pronti per la stampa con DFAB.
Fig. 10b_La dima prima dell’atto chirurgico.
Fig. 10c_Il sistema DFAB nella versione Desktop.
Fig. 10d_La programmazione della vite di guarigione custom deriva dalla copia della ceratura.
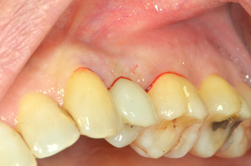
Fig. 12a_La vite custom serrata post operatoria.
Fig. 12b_Il profilo di emergenza del profilo di emergenza rilocato.
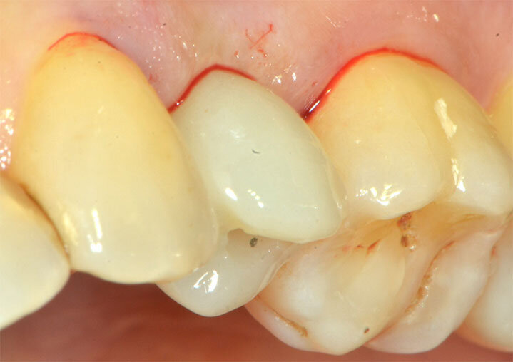
Fig. 13_Il corpo di scansione serrato nella seconda fase protesica.
Fig. 14_L’impronta intraoperatoria con scanner intraorale Dentsply Sirona Primescan.
La vite di guarigione custom può essere a disposizione del clinico anche in fase post-operatoria. La scelta del chirurgo è decidere se usare la tecnica sommersa, inserire la vite di guarigione custom o addirittura fare un carico immediato con la corona definitiva. Il laboratorio può realizzare in tutta serenità successivamente un restauro definitivo iper-estetico senza passare da un modello in gesso, con un modello master ad alta definizione stampato in 3D (Figg. 15-19).
Fig. 15_Il modello master prototipato stampato XFAB 2500PD e analogo digitale in posizione.
Fig. 16_Il provvisorio avvitato stampato con tecnica DFAB TSLA in materiale Irix MAx Plus.
Fig. 17_Il modello prototipato: dettagli della posizione certa dell’analogo digitale.
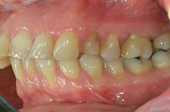
Fig. 18_Il provvisorio serrato in bocca.
Fig. 19_Dettaglio del progetto protesico in DWS Irix Plus.
Conclusioni
L’impianto singolo o multiplo rappresenta una sfida quotidiana per il clinico e per il laboratorio. Quando gli obiettivi estetico-funzionali diventano prioritari, è importante che il paziente colga il valore di taluni passaggi che in passato sono stati trascurati a scapito della predicibilità dei risultati. Ceratura diagnostica, realizzazione di una dima a guida protesica, impronta postoperatoria, realizzazione di una vite di guarigione customizzata e di un provvisorio avvitato, sono i cardini del successo della terapia. Tutti questi passaggi sono oggi possibili grazie ad uno scanner di ultima generazione con software che integra protesi, chirurgia e programmazione di stampa e della tecnologia TSLA ad alta velocità di DFAB in grado di realizzare dima chirurgica, vite di guarigione custom e provvisorio avvitato in meno di 30 minuti.
L'articolo è stato pubblicato su Cad Cam Italian Edition n. 3/21
Tag:
La gestione del caso implantare in area estetica rappresenta una sfida per l’odontoiatria moderna. I pazienti sono sempre meno disposti ad accettare i...
CHARLOTTE, USA – CEREC su DS Core semplifica i flussi di lavoro chairside per i team che iniziano a introdurre l’odontoiatria digitale. La soluzione ...
Le agenesie sono anomalie dentali di numero caratterizzate dal mancato sviluppo di uno o più elementi dentari della serie decidua e/o della serie ...
L’incessante aumento della domanda di trattamenti cosmetici del sorriso ha imposto a molti operatori del settore odontoiatrico una presa di posizione ...
Da un punto di vista estetico, un impianto malposizionato specialmente nella regione anteriore, porta inevitabilmente alla realizzazione di un lavoro ...
Sempre più frequentemente le richieste dei nostri pazienti mirano ad ottenere delle riabilitazioni che soddisfino parimenti l’aspetto funzionale e quello...
La considerazione che molti disturbi del distretto cranio-cervicale possano dipendere dagli atteggiamenti posturali conseguenti a una occlusione non ...
La considerazione che molti disturbi del distretto cranio-cervicale possano dipendere dagli atteggiamenti posturali conseguenti a una occlusione non ...
La ridefinizione dell’armonia ideale del viso è un obiettivo che implica la ricerca del giusto equilibrio tra denti, tessuti molli, labbra, ...
Il tema della medicina estetica all’interno degli studi dentistici continua ad essere tra i più dibattuti in ambito odontoiatrico. In KEY-STONE, abbiamo ...
Ms. Ellen Karlin, Dr. Sara Karlin
Live webinar
gio. 7 maggio 2026
17:00 (CET) Rome
Live webinar
gio. 7 maggio 2026
18:00 (CET) Rome
Live webinar
gio. 7 maggio 2026
18:00 (CET) Rome
Dra. Maria Carolina Erhardt, Dra. Thais Tomé Feldens
Live webinar
gio. 7 maggio 2026
20:30 (CET) Rome
Live webinar
lun. 11 maggio 2026
18:00 (CET) Rome
Live webinar
lun. 11 maggio 2026
19:00 (CET) Rome
To post a reply please login or register