L’integrazione delle protesi supportate da impianti con i tessuti duri e molli ne misura il successo in termini di funzione, salute ed estetica1.
Infatti, l’integrazione estetica di una corona su un impianto dipende da molte variabili cliniche e negli anni, numerosi studi hanno fornito strumenti di valutazione oggettivi per misurare l’integrazione di tali restauri con i tessuti molli circostanti2-4.Gli impianti osteintegrati normalmente presentano geometrie diverse e diametri inferiori rispetto alle radici del dente e questo potrebbe rappresentare un problema estetico funzionale nella costruzione e posizionamento di corone in zona frontale. Negli ultimi anni macrodesign implantari che permettono di avere una platform shifting ed un posizionamento sottocrestale, con la crescita di osso sulla platform ed il mantenimento dello stesso, oltre ad avere un notevole beneficio biomeccanico consentono una migliore integrazione estetica.
Caso clinico
Paziente di sesso maschile di 60 anni di età giunto alla nostra osservazione per una edentulia parziale dovuta all’assenza dell’elemento 1,1. La situazione clinica è resa esteticamente e funzionalmente complicata dalla assenza dell’elemento 2,2 che considerato lo spostamento dei denti contigui comporta un aumentato spazio per la sostituzione protesica dell’elemento 1.1. Si effettua dopo rx di controllo il posizionamento di un impianto osteintegrato GTB diametro 3,6 x 9 mm ,con posizionamento, come da protocollo, 1,5 mm sottocrestale ed inserzione immediata di moncone easy abutment slim 3,4 x 7 mm altezza gengivale 3,5 mm. angolato a 10 gradi (Easy Abutment Slim – GTB Plan1Health Amaro, UD, Italy). Con l’ausilio di una cappetta easy si costruisce e si cementa, con tecnica extraorale, una corona provvisoria in resina acrilica con forma a pontic su elemento 1.1 in modo da eseguire un carico immediato e fornire al paziente una estetica immediata (Figg. 1-3). Dopo 12 settimane ad avvenuta osteointegrazione si provvede all’impronta definitiva eseguita a livello abutment con elastomero di precisione Aquasyl Monophase (Dentsply) e con idonea cappetta easy (GTB Plan1Health Amaro, UD, Italy). La stessa cappetta easy viene utilizzata dal laboratorio odontotecnico come cappetta da sovrafusione garantendo standard di precisione stabiliti industrialmente (Figg. 4-8). La corona costruita in lega preziosa e porcellana viene cementata dopo una settimana, fatte le prove estetiche e occlusali necessarie sul paziente. I controlli a distanza di 4 anni, sia radiografici che clinici, confermano la stabilità dell’osso intorno all’impianto e la mancanza di perdita di tessuto gengivale attorno allo stesso (Figg. 9-11).
Discussione
Negli ultimi anni numerosi studi hanno evidenziato come impianti dotati di platform swithching, posizionati subcrestalmente con osso che si accresce sulla platform, presentino da un punto di vista biomeccanico un comportamento migliore in termini sia di trasmissione del carico che di conservazione dell’osso crestale e non5-11 (Figg. 12, 13). Questo comporta da un punto di vista della costruzione delle corone un aumento del sovracontorno in senso mesio distale e vestibolo linguale al fine di avere delle corone protesiche di forma e dimensione corretta. Inoltre, l’impiego di impianti di diametro ridotto con sistematiche protesiche con monconi anch’essi ridotti, il posizionamento subcrestale con platform switching e il profilo concavo degli abutment permettono di avere degli impianti con una maggiore quantità di bone to implant contact e una maggiore quantità di tessuti molli intorno all’emergenza implantare con conseguente maggiore capacità del sistema di resistere agli insulti microbiologici e meccanici (Figg. 14, 15). Dal punto di vista estetico, al fine di sopperire alla mancanza di volume dell’abutment può essere utilizzata la tecnica pontic crown che permette da un lato di mantenere la connessione corona abutment in zona di pulizia, dall’altro lato di mantenere un’ampia quantità di tessuto molle cheratinizzato a protezione dell’emergenza implantare e nello stesso tempo di avere una facile costruzione della corona come nel caso di un pontic tradizionale a carico di un ponte protesico (Fig. 16).
Fig. 2_Rx immediatamente dopo il posizionamento dell’impianto GTB e del Moncone Easy Slim. Notare la perfetta congruenza tra l’impianto e lo spazio di preparazione.
Fig. 3_Situazione clinica con corona provvisoria a 9 giorni.
Fig. 4_Situazione clinica con corona provvisoria a 3 mesi.
Fig. 5_Moncone Easy slim angolato, notare la quantità di tessuto cheratinizzato dopo condizionamento funzionale con corona provvisoria a pontic.
Fig. 6_Rx a 3 mesi con corona provvisoria.
Fig. 7_Analogo del moncone sul modello in gesso.
Fig. 8_Corona Definitiva in LP e Ceramica sul modello.
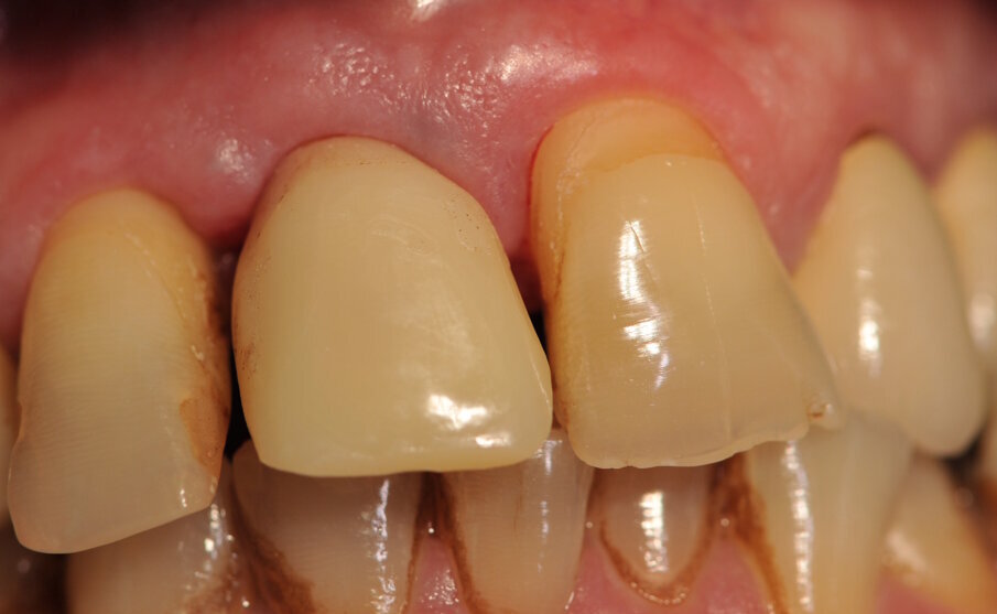
Fig. 9_Situazione clinica prima della cementazione della corona definitiva.
Fig. 10_Corona definitiva appena cementata con tecnica extraorale.
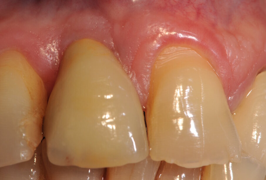
Fig. 11_Corona definitiva a 1 mese dalla cementazione.
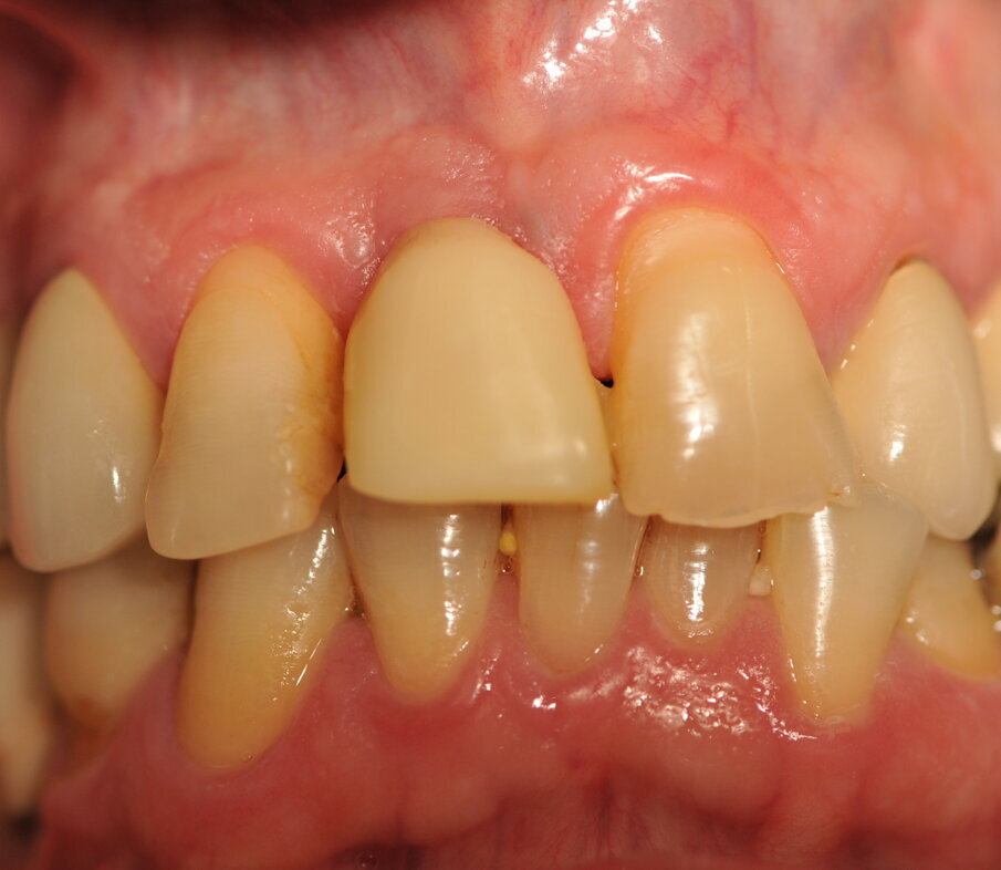
Fig. 12_Corona definitiva a 1 anno dalla cementazione. Notare la chiusura degli spazi interprossimali.
Fig. 13_Rx a 1 anno. Notare la quantità di tessuto osseo al di sopra della platform.
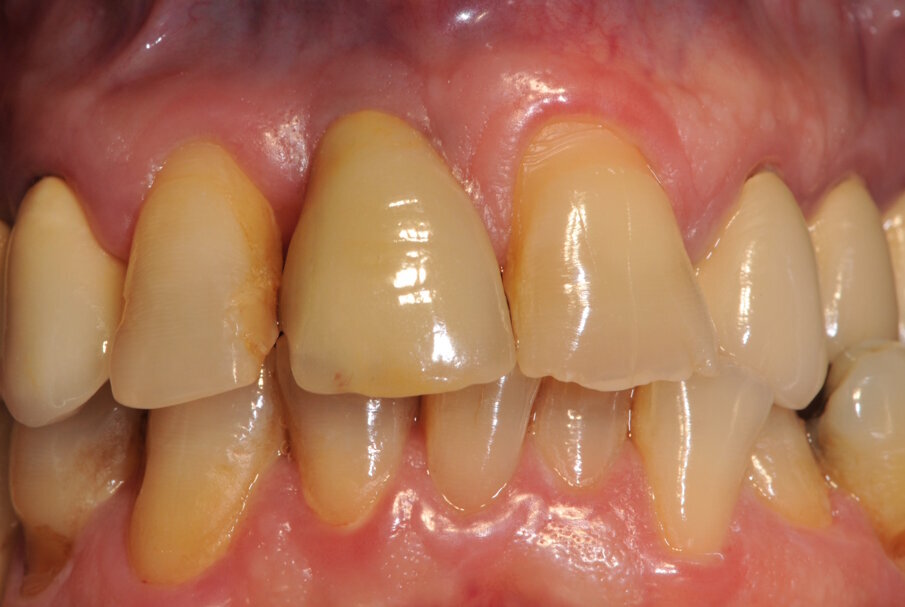
Fig. 14_ Corona definitiva a 4 anni dalla cementazione. Notare la stabilizzazione dei tessuti molli.
Fig. 15_Rx.Stabilità dei tessuti duri perimplantari dopo 4 anni.
Fig. 16_Stabilità dei tessuti molli perimplantari a 4 anni.
Conclusioni
Impianti e monconi di piccolo diametro soprattutto se dotati di platform switching e con abutment a profilo concavo garantiscono una più elevata performance biomeccanica, consentendo nello stesso tempo il mantenimento dell’osso crestale e dei tessuti gengivali intorno agli stessi. In egual misura questa tecnica permette di mantenere un ottimo livello estetico e una notevole facilità di sviluppo per l’odontotecnico con il vantaggio di avere tutte le connessioni in zona di pulizia o di controllo.
Bibliografia
- Raigrodski AJ, Schwedhelm ER, Chen YW. A simplified technique for recoding an implant-supported ovate pontic site in the esthetic zone. J Prosthet Dent 2014; 111:154-58.
- Furhauser R, Florescu D, Benesch T, et al. Evaluation of soft tissue around single-tooth implant crowns: the pink esthetic score. Clin Oral Implants Res 2005; 16:639-44.
- Meijer HJ, Stellingsma K, Meijndert L, et al. A new index for rating aesthetics of implant-supported single crowns and adjacent soft tissues – the Implant Crown Aesthetic Index. Clin Oral Implants Res 2005; 16:645-9.
- Belser UC, Grutter L, Vailati F, et al. Outcome evaluation of early placed maxillary anterior single tooth implants using objective esthetic criteria: a crosssectional, retrospective study in 45 patients with a 2- to 4 year follow-u using pink and white esthetic scores. J Periodontol 2009; 80:140-51.
- Balkaya MC. Investigation of influence of different implant size and placement on stress distribution with 3-dimensional finite element analysis. Implant Dent. 2014 Dec; 23(6):716-22.
- Wu AY, Huang HL, Hsu JT, et al. Biomechanical effects of the implant material and implant-abutment interface in immediately loaded small-diameter implants. Clin Oral Investig. 2014 May; 18(4):1335-41.
- Bourauel C, Aitlahrach M, Heinemann F, et al. Biomechanical finite element analysis of small diameter and short dental implants: extensive study of commercial implants. Biomed Tech (Berl) 2012 Jan 26; 57(1):21-32.
- Ormianer Z, Ben Amar A, Duda M, et al. Stress and strain patterns of 1-piece and 2-piece implant systems in bone: a 3-dimensional finite element analysis. Implant Dent 2012 Feb; 21(1):39-45.
- Hasan I, Heinemann F, Aitlahrach M, et al. Biomechanical finite element analysis of small diameter and short dental implant. Biomed Tech (Berl) 2010 Dec; 55 (6):341-50.
- Baggi L, Di Girolamo M, Vairo G, et al. Comparative evaluation of osseointegrated dental implants based on platform-switching concept: influence of diameter, length, thread shape, and in-bone positioning depth on stressbased performance. Comput Math Methods Med 2013; 2013:250929.
- Baggi L, Pastore S, Di Girolamo M, et al. Implant-bone load transfer mechanisms in complete-arch prostheses supported by four implants: a three-dimensional finite element approach. J Prosthet Dent 2013 Jan; 109 (1):9-21.
- Di Girolamo M, Baggi L, Pirelli P, Pappalardo L, Massei G, Iaculli F, Iezzi G, Piattelli A, Calcaterra R. . 3D X-ray microscopic analysys on a prosthetically loaded implant with platform-switching and conical connection: a case report. Oral Implantol (Rome). 2017 Nov 30;10(3):241-246. doi: 10.11138/ orl/2017.10.3.241. eCollection 2017 Jul-Sep.
- Iezzi G, Iaculli F, Calcaterra R, Piattelli A, Di Girolamo M, Baggi L. Histological and Histomorphometrical Analysis on a Loaded Implant With Platform- Switching and Conical Connection: A Case Report. J Oral Implantol. 2017 Jun;43(3):180-186. doi: 10.1563/aaid-joi-D-16-00182. Epub 2017 Mar 16.
- Calcaterra R, Di Girolamo M, Mirisola C, Baggi L. Expression of Pattern Recognition Receptors in Epithelial Cells Around Clinically Healthy Implants and Healthy Teeth. Implant Dent. 2016 Jun;25(3):348-52. doi: 10.1097/ID.0000000000000379.
L'articolo è stato pubblicato su Implants Italian Edition, n. 2 2018.
Tag:
È sempre più attuale e dibattuta dalla comunità scientifica la sostituzione di elementi in zona estetica con impianti ...
È sempre più attuale e dibattuta dalla comunità scientifica la sostituzione di elementi in zona estetica con impianti ...
L’implantologia osteointegrata è diventata oggi la tecnica elettiva per la sostituzione dei denti mancanti o dei pilastri naturali non ...
L’implantologia osteointegrata è diventata oggi la tecnica elettiva per la sostituzione dei denti mancanti o dei pilastri naturali non ...
La rigenerazione parodontale (RP) costituisce per il professionista una strategia terapeutica più conservativa per il trattamento di difetti ...
Giuseppe Renzo, Presidente nazionale CAO, ha provocatoriamente alzato bandiera bianca: finché non ci saranno novità legislative contro il Far ...
Nelle aree esteticamente critiche, la scelta del momento del posizionamento dell'impianto immediato, precoce o tardivo, può influenzare il risultato. Nel ...
La paziente in questione si presenta alla nostra attenzione nell’estate 2014: donna di 47 anni con anamnesi negativa. La bocca era in buone condizioni...
La paziente in questione si presenta alla nostra attenzione nell’estate 2014: donna di 47 anni con anamnesi negativa. La bocca era in buone condizioni...
Live webinar
gio. 23 aprile 2026
17:00 (CET) Rome
Live webinar
gio. 23 aprile 2026
18:30 (CET) Rome
Live webinar
gio. 23 aprile 2026
19:00 (CET) Rome
Live webinar
gio. 30 aprile 2026
1:00 (CET) Rome
Dr. Renato Leonardo D.M.D.
Live webinar
gio. 30 aprile 2026
19:00 (CET) Rome
Live webinar
dom. 3 maggio 2026
18:00 (CET) Rome
Dr. Rickard Brånemark MSc, MD, PhD, Dr. Robert Gottlander DDS
Live webinar
lun. 4 maggio 2026
2:00 (CET) Rome
To post a reply please login or register