Le agenesie sono anomalie dentali di numero caratterizzate dal mancato sviluppo di uno o più elementi dentari della serie decidua e/o della serie permanente. L’agenesia di un elemento deciduo determinerà sempre l’agenesia del corrispettivo permanente considerato che il secondo si sviluppa dalla lamina dentale del primo.
Le agenesie rappresentano le anomalie dentali più frequenti e si stima che in Italia colpiscano il 7,7% della popolazione. In ordine di frequenza, escludendo i terzi molari, gli incisivi laterali superiori permanenti sono i secondi a essere più colpiti con una prevalenza media del 30,5% (al primo posto ritroviamo i secondi premolari inferiori). Quadri agenesici multipli possono essere associati a condizioni sistemiche come la displasia ectodermica o a sindromi ereditarie1. La diagnosi delle agenesie può essere ottenuta come segue:
- Indagine anamnestica (individuando eventuali ritardi nell’eruzione, familiarità, condizioni sistemiche associate, possibili avulsioni traumatiche);
- Esame obiettivo intra-orale (ricerca di diastemi, spazi edentuli o permanenza del deciduo oltre i fisiologici termini di permuta) che avvalorano il sospetto diagnostico;
- Studio di esami radiologici (radiografie endorali, se necessario, realizzate con differenti proiezioni, ortopantomografia delle arcate dentarie, CBCT a bassi dosaggi nei casi in cui le precedenti indagini risultino poco sensibili ed esplicative).
Il trattamento delle agenesie dentarie deve prevedere una stretta collaborazione tra l’ortodontista, il chirurgo orale e il protesista al fine di garantire estetica e funzione durante e dopo la crescita. Il forte disagio e l’impatto psicologico riscontrabile soprattutto in giovani pazienti affetti da agenesia dei laterali superiori hanno portato a sviluppare differenti strategie di trattamento:
- Mantenimento o riapertura ortodontica dello spazio agenesico durante la crescita; conclusa la fase di spostamento ortodontico degli elementi dentari interessati e ottenuti gli spazi corretti per il ripristino di una corona protesica del laterale da ripristinare, la gestione dell’estetica avviene per mezzo di dispositivi protesici provvisori (ponti adesivi o protesi parziali rimovibili) in attesa della riabilitazione definitiva2. La terapia di prima scelta in questi casi è, frequentemente, la riabilitazione implanto-protesica eseguita a fine crescita;
- Chiusura ortodontica dello spazio protesico: si tratta di una strategia atta a sopperire alla mancanza del laterale superiore mediante lo “spostamento” mesiale degli elementari dentari dell’intera arcata dentaria posizionata distalmente all’edentulia. È una terapia più frequentemente accettata dai giovani pazienti perché caratterizzata dalla riduzione dei tempi terapeutici e del possibile disagio provocato dalla presenza di soluzioni protesiche provvisorie nella zona agenesica in attesa del successivo trattamento definitivo implanto-protesico. Questa soluzione terapeutica presenta tuttavia dei limiti estetici e funzionali. A causa del posizionamento del canino nella regione del laterale superiore non è semplice ottenere delle guide di svincolo canine e incisive fisiologiche ed è spesso riscontrabile un’alterazione dei rapporti intermascellari. Il limite estetico che caratterizza questa scelta terapeutica è dettato dalla presenza di un profilo di emergenza del canino anatomicamente differente rispetto a quello del laterale che sta rimpiazzando; questo inconveniente può essere parzialmente superato in fase di rifinitura grazie all’esecuzione di coronoplastica3;
- Spostamento del sito di agenesia per mezzo di una terapia ortodontica. Questo piano terapeutico permette di non alterare i rapporti interarcata spostando il sito di agenesia solitamente in posizione del primo premolare superiore; a fine crescita il piano di trattamento viene perfezionato mediante riabilitazioni protesiche fisse (terapia implanto-protesica o ponti su denti naturali)1; questa terapia presenta limiti estetici già descritti in precedenza per il trattamento di chiusura degli spazi protesici, limiti imputabili alla differente anatomia del canino che viene posizionato al posto del laterale agenetico;
- Mantenimento del deciduo; è un approccio conservativo attuabile nel caso in cui l’agenesia abbia colpito soltanto l’elemento dentario permanente e lo stato di salute del dente deciduo ancora in posizione garantisca una sopravvivenza dello stesso nel lungo periodo. Gli accorgimenti da adottare di fronte a questa situazione clinica sono volti ad evitare lo splintaggio dell’elemento deciduo al fine di non far progredire un’eventuale rizolisi1 e, qualora le esigenze estetiche lo richiedano, ad eseguire una odontoplastica additiva per una maggiore integrazione estetica;
- Nessun trattamento, quando, in assenza dell’incisivo laterale superiore il canino erompa nel sito agenesico; In questo caso, l’unica terapia consigliata è una coronoplastica del canino al fine di garantire una migliore integrazione estetica dello stesso nel sorriso del paziente4.
L’utilizzo di impianti osteointegrati è attualmente una terapia predicibile, ripetibile e garantibile nel lungo periodo per il trattamento di edentulie parziali e totali in ambito odontoiatrico5. L’osteointegrazione può essere considerata come uno stato di anchilosi funzionale non suscettibile alle forze ortodontiche6; di conseguenza, l’implantologia osteointegrata applicata al trattamento delle agenesie dei laterali superiori deve necessariamente essere eseguita al termine della crescita del giovane paziente che, empiricamente, è fissata dopo i 18 anni per il paziente di sesso femminile e dopo i 20 per quello maschile. Considerate tuttavia le differenze interindividuali, un valido metodo proposto da Kokich per stabilire il timing ottimale d’azione nel trattamento implantare delle agenesie è quello basato sullo studio di due teleradiografie laterolaterali rilevate a distanza 6-12 mesi ed eseguite dallo stesso apparecchio e dallo stesso operatore; in particolare, l’attenzione deve essere rivolta all’esclusione di eventuali discrepanze (soprattutto verticali) che certifichino lo stato di effettiva cessata crescita del paziente da trattare7. L’approccio diagnostico iniziale nel trattamento implanto-protesico di una agenesia dentaria del laterale superiore deve considerare che frequentemente l’assenza di un elemento dentario è associato ad atrofie ossee di differente entità a causa dell’assenza di stimoli osteogenici nella regione da trattare. Lo scopo del seguente lavoro è quello di ripercorrere le fasi diagnostico-terapeutiche del trattamento implanto-protesico di un'agenesia di un laterale in un giovane paziente analizzando step by step il protocollo chirurgico implantare e rigenerativo e descrivendo la finalizzazione protesica al fine di ottenere una integrazione estetico-funzionale della riabilitazione mantenibile nel lungo periodo.
Materiali e metodi
Con lo scopo di escludere controindicazioni assolute o relative alla terapia implantologica, lo studio del caso si basa sull’esame anamnestico. Nel caso specifico considerato di seguito, la paziente di anni 23 è classificabile nella categoria ASA I; all’esame obiettivo si evidenzia una mono-edentulia nel sito 1.2 a causa di un’agenesia trattata in passato con una terapia ortodontica di riallineamento dentario e di riapertura dello spazio protesico, spazio mantenuto con un Maryland bridge confezionato in resina acrilica. Un sondaggio parodontale della regione interessata permette di escludere lesioni parodontali ed evidenzia uno stato di buona salute dei tessuti duri e molli.
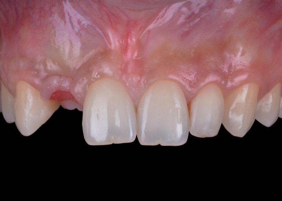
Gli esami radiografici completano l’approccio diagnostico iniziale e lo studio delle radiografie endorali del gruppo frontale, di un’ortopantomografia delle arcate dentarie e di una CBCT permettono di evidenziare un corretto allineamento radicolare degli elementi dentari contigui all’edentulia da trattare e una moderata atrofia orizzontale della cresta alveolare edentula (Fig. 1). Trattandosi di una riabilitazione del settore frontale è opportuno realizzare una dettagliata analisi estetica supportata da un esame fotografico corredato di fotografie extraorali (del volto e del sorriso), fotografie intraorali e da una ceratura diagnostica. L’attenzione iniziale è rivolta principalmente all’analisi dei tessuti molli e degli elementi dentari; in particolare, nel caso descritto, la paziente non presenta fattori estetici sfavorevoli dal momento che si riscontra la presenza di una linea del sorriso media, elementi dentari in area estetica sani e non discromici, fenotipo gengivale spesso, simmetria della festonatura gengivale e buona rappresentazione delle papille interdentali. Osservando in visione frontale la situazione clinica iniziale si evidenzia una lieve recidiva ortodontica dell’elemento 1.1 che si presenta leggermente mesializzato e vestibolarizzato rispetto alla sua posizione ideale (Fig. 2).
Le visioni laterale e occlusale permettono di evidenziare la presenza di un minus vestibolare in regione 1.2 da intendere come conferma clinica della moderata atrofia orizzontale del processo alveolare già in precedenza intercettata durante lo studio della CBCT (Figg. 3, 4). La richiesta della paziente è quella di giungere ad una riabilitazione protesica fissa che ponga fine all’attuale condizione di disagio vissuta nel condurre una vita di relazione caratterizzata da ripetuti distacchi del manufatto protesico provvisorio e che la soddisfi dal punto di vista estetico. Un colloquio preliminare con la paziente nel quale sono state contemplate differenti alternative terapeutiche ci permette di identificare come soluzione terapeutica una riabilitazione implanto-protesica in sede 1.2 ed il contestuale trattamento dell’atrofia ossea orizzontale con un apporto osseo mediante utilizzo di tecnica GBR; lo scopo di questo trattamento rigenerativo è di garantire la presenza di spessori ossei perimplantari adeguati ed il corretto ripristino dell’architettura convessa vestibolare per ottenere un soddisfacente mimetismo radicolare.
Fig. 1 - CBCT della situazione clinica iniziale.
Fig. 2 - Situazione clinica iniziale (visione frontale).
Fig. 3 - Situazione clinica iniziale (visione laterale).
Fig. 4 - Situazione clinica iniziale (visione occlusale).
La fase di preparazione della paziente all’intervento non può prescindere dall’esecuzione di una seduta di igiene professionale 7 giorni prima della chirurgia di inserimento dell’impianto e dall’utilizzo di un collutorio a base di clorexidina 0,2% da 2 giorni prima; queste manovre terapeutiche hanno lo scopo di abbassare la carica batterica prima della seduta chirurgica e di ottenere tessuti molli intraorali trofici e in salute. Il giorno dell’intervento viene somministrata alla paziente una profilassi antibiotica a base di Amoxicillina + Acido Clavulanico da assumere in quantità di 2 grammi 1 ora prima dell’intervento e da continuare per 6 giorni dopo con la posologia di 1 grammo ogni 12h. Dopo l’allestimento di un campo operatorio sterile si procede con anestesia loco-regionale mediante l’infiltrazione di anestetico con vaso costrittore (1/100.000). Il lembo mucoperiosteo di accesso è disegnato per mezzo di una lama 15c; il lembo prevede un’incisione che origina dalla line angle mesiovestibolare dell’elemento dentario 1.1, prosegue distalmente intrasulculare all’elemento stesso e continua attraversando la cresta edentula dirigendosi fino alla line angle disto-vestibolare dell’elemento 1.3. Ai capi dell’incisione primaria appena descritta vengono disegnate due incisioni di rilascio verticali bisellate a mazza da hockey che, nel rispetto della vascolarizzazione delle papille interdentali contigue alla regione edentula, si approfondano nel contesto della mucosa vestibolare.
La fase chirurgica successiva consiste nella scheletrizzazione del sito da trattare così da rendere visivamente evidente quanto già evinto dallo studio preliminare, ovvero una moderata carenza ossea della regione vestibolare del processo alveolare (Fig. 5). La scelta della sistematica implantare da utilizzare ricade sull’impianto endo-osseo “Nobel Biocare Replace Conical Connection”. La strumentazione osteotomica iniziale viene eseguita sotto abbondante irrigazione di acqua fisiologica sterile refrigerata e, dopo una accurata preparazione con una fresa inziale lanceolata, una fresa del diametro di 2,0 mm e un’ultima del diametro di 3,5 mm si procede con l’inserimento di un impianto del diametro di 3,5 mm per 11,5 di lunghezza. Con l’avvitamento dell’impianto all’interno del tunnel osteotomico precedentemente ottenuto si raggiunge un torque di inserzione di circa 30 N/cm2, valore in grado di garantire una fisiologica guarigione del sito trattato.
Ad inserimento della fixture avvenuto si rileva la presenza di una piccola fenestrazione vestibolare classificabile come un’atrofia vestibolare di Classe II secondo la classificazione di Chiapasco e Casentini dei difetti ossei perimplantari del 20188 (Fig. 6). La tecnica chirurgica scelta per la gestione del difetto osseo è la GBR. Il primo step contempla di eseguire dei fori di osteopromozione sulla corticale vestibolare attraverso uno strumento rotante a basso numero di giri e senza ausilio di irrigazione con acqua fisiologica così da ottenere un maggior apporto ematico endostale nella regione da trattare e la successiva aggiunta di particolato di osso autologo che conferisca osteoinduttività e osteogeneticità all’innesto (Fig. 7). Il difetto viene gestito impiegando scaffold inorganici, ovvero dei biomateriali che fungono da riempitivi inerti con proprietà osteoconduttive (in grado di guidare la rigenerazione ossea facilitando la stratificazione e l’organizzazione del coagulo su di essi) e di space making (capaci di mantenere lo spazio necessario alla rigenerazione impedendo il collasso parziale o totale dei tessuti molli sovrastanti)9. Nel caso specifico, il biomateriale eterologo innestato è di origine bovina (Nobel Biocare Xenogain 0,2-1 mm); dopo l’accurato posizionamento del biomateriale nella regione da trattare si procede alla protezione dello stesso con una membrana riassorbibile in pericardio bovino con matrice tridimensionale (Ubgen, Shelter/sistema Pericross) stabilizzata per mezzo di pins di fissazione sia palatalmente che vestibolarmente (Fig. 8). L’esecuzione di un’incisione di rilascio periostale del lembo vestibolare permette di ottenere una chiusura per prima intenzione della ferita caratterizzata da una competente interfaccia dei due lembi e da una passivazione degli stessi (Fig. 9). La dimissione della paziente avviene solo dopo aver applicato con cementazione adesiva il Maryland bridge provvisorio prestando particolarmente attenzione a evitare compressioni sui tessuti molli appena trattati chirurgicamente. Durante il periodo di guarigione la paziente viene rivalutata con cadenza mensile per controllare il procedere del fisiologico decorso post-operatorio. A 6 mesi dall’inserimento dell’impianto, dopo opportuni controlli radiografici, si procede con la programmazione della riapertura.
Le valutazioni preliminari evidenziano che in visione occlusale si è ottenuta una restitutio del profilo vestibolare dei tessuti molli e l’architettura della linea muco-gengivale è stata mantenuta tanto da rilevare un’elevata quota di banda cheratinizzata nella regione crestale del processo alveolare (Fig. 10); se non avessimo trovato una situazione clinica come quella descritta, si sarebbe configurata l’indicazione per l’esecuzione di un incremento a fini cosmetici della convessità buccale solitamente gestita con innesti gengivali autologhi o eterologhi. Si procede dunque con la riapertura disegnando un lembo mininvasivo crestale a spessore totale che, in prossimità della vite di copertura, consenta l’accesso per il recupero della stessa e la sua sostituzione con un healing abutment (avvitato a un torque di circa 15 N/cm). I tessuti cheratinizzati (ben rappresentati nell’aerea cervicale perimplantare) vengono stabilizzati grazie a due punti di sutura singoli staccati nella regione mesiale e distale all’impianto stesso. La necessità della paziente di risolvere precocemente i problemi causati da un Maryland bridge poco stabile ed esteticamente non soddisfacente a causa delle modifiche eseguite per salvaguardare le mucose in via di guarigione, rivestono un’indicazione per confezionare una corona in resina acrilica avvitata che viene posizionata il giorno stesso sull’impianto osteointegrato di 12 (Figg. 11, 12).
Fig. 5 - Scollamento del lembo a spessore totale.
Fig. 6 - Impianto endo-osseo in situ e dettaglio della fenestrazione vestibolare.
Fig. 7 - Osso autologo particolato ottenuto durante l’esecuzione di fori di osteopromozione.
Fig. 8 - Stabilizzazione del complesso innesto-membrana.
Fig. 9 - Chiusura della ferita per prima intenzione.
Fig. 10 - Situazione clinica a 6 mesi dell’inserimento dell’impianto.
Fig. 11 - Transfert da impronta in posizione.
Fig. 12 - Corona provvisoria avvitata in situ.
Le successive fasi protesiche provvisorie consistono nel modellare la regione cervicale della corona al fine di ottenere un condizionamento dei tessuti molli che ottengano, durante la maturazione, una festonatura simile a quella dell’elemento omologo controlaterale e un buon mimetismo radicolare in visione laterale. Giunti a questo punto della terapia, la paziente richiede anche la correzione della recidiva ortodontica che caratterizza gli incisivi centrali superiori, valutando il riallineamento dell’elemento dentario 1.1 che risulta mesioverso e lievemente sovrastante il versante mesiale dell’elemento 2.1. Dopo uno studio ortodontico del caso, si propone una terapia ortodontica con degli allineatori trasparenti che, in pochi mesi, corregge il mal posizionamento dentario soddisfacendo le richieste estetiche della paziente. Valutata clinicamente e radiograficamente la salute e la stabilità dei tessuti duri e molli fino a questo punto trattati (Fig. 13), si procede con le fasi di protesizzazione definitiva. L’impronta definitiva è rilevata seguendo il protocollo digitale e utilizzando lo scanner intraorale Trios 3Shape (Figg. 14, 15).
Fig. 13 - Maturazione dei tessuti molli dopo il condizionamento per mezzo di un provvisorio avvitato.
Fig. 14 - Rx endorale dello scan body in posizione.
Fig. 15 - Impronta digitale superiore ed inferiore.
La tecnologia digitale permette di diminuire il disagio intraoperatorio, di accorciare i tempi operatori e di aiutarci nella rilevazione del colore degli elementi dentari contigui all’elemento da ripristinare, dettaglio di primaria importanza durante il trattamento di un caso ad alta valenza estetica come quello descritto. La prova estetica e il controllo radiografico sono fasi protesiche inevitabili perché ci permettono di indagare la corretta interfaccia tra l’impianto e la corona e di garantire che le aspettative estetiche della paziente vengano soddisfatte. La consegna della corona definitiva eseguita in metallo ceramica avviene serrando la vite protesica con un torque control dinamometrico tarato ad un valore di 35 N/cm2; il controllo in posizione di relazione centrica, del tragitto percorso durante i movimenti protrusivi e di lateralità permette di escludere la presenza di precontratti che potrebbero rivelarsi deleteri per la sopravvivenza nel lungo periodo del manufatto protesico.
Risultati
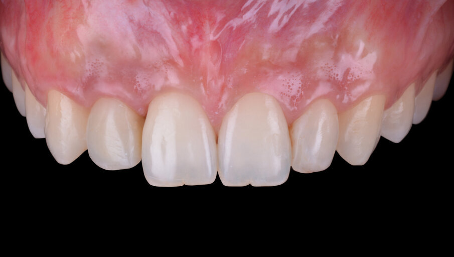
L’elemento dentario 1.2 riabilitato per mezzo di una corona avvitata su impianto dimostra una corretta e piacevole integrazione estetico-funzionale (Figg. 16, 17). I tessuti molli perimplantari sono caratterizzati da un corretto trofismo cervicale e un buon mimetismo radicolare; il fenotipo gengivale spesso ha agevolato il raggiungimento di un gradevole equilibrio estetico tra corona e tessuti molli e garantisce un sigillo transmucoso in grado di proteggere l’interfaccia abutmentimpianto e assicurare la stabilità della riabilitazione nel lungo periodo.
Discussione e conclusioni
Il caso clinico appena discusso mostra come, quando presenti le rispettive indicazioni, sia possibile riabilitare efficacemente quadri agenesici dell’incisivo laterale superiore con eccellente predicibilità del risultato e, nel rispetto dei protocolli chirurgico-protesici descritti, ottenere un successo terapeutico dal punto di vista estetico e funzionale. È chiaro come le tecniche di aumento dei tessuti molli e dei tessuti duri siano imprescindibili per traguardare un’integrazione estetica soddisfacente. A tal proposito la scelta del piano di trattamento aderente alle indicazioni, il protocollo chirurgico seguito step by step e l’utilizzo di biomateriali performanti hanno consentito lo svolgimento di una terapia ben sopportata e con un risultato ben accettato dalla giovane paziente. La letteratura ha ampiamente dimostrato come aumenti volumetrici dei tessuti duri e molli siano seguiti da una fisiologica contrazione dimensionale10-13, motivo per il quale, come si evince anche nel caso clinico presentato, è preferibile attuare un’ipercorrezione del difetto sovradimensionando gli innesti ossei durante le fasi chirurgiche di GBR14, 15.
Bibliografia
- Farronato, Ortognatodonzia. Edi. Ermes, 2013.
- Westgate, D. Waring, O. Malik, and J. Darcey, “Management of missing maxillary lateral incisors in general practice: space opening versus space closure,” British Dental Journal, vol. 226, no. 6, pp. 400–406, 2019.
- Thilander, “Orthodontic space closure versus implant placement in subjects with missing teeth,” Journal of Oral Rehabilitation, vol. 35, no. S1, pp. 64–71, Jan. 2008.
- A. Kinzer and V. O. Kokich, “Managing congenitally missing lateral incisors. Part II: Tooth-supported restorations,” Journal of Esthetic and Restorative Dentistry, vol. 17, no. 2, pp. 76–84, 2005.
- Albrektsson, G. Zarb, P. Worthington, and A. Eriksson, “The Long-Term Efficacy of Currently Used Dental Implants: A Review and Proposed Criteria of Success,” International journal of oral and maxillofacial surgery, vol. 1, no. 1, pp. 11–25, 1986.
- Wehrbein and P. Diedrich, “Endosseous titanium implants during and after orthodontic load ‐ an experimental study in the dog,” Clinical Oral Implants Research, vol. 4, no. 2, pp. 76–82, 1993.
- G. Kokich, “Maxillary lateral incisor implants: Planning with the aid of orthodontics,” Journal of Oral and Maxillofacial Surgery, vol. 62, no. SUPPL. 2, pp. 48–56, Sep. 2004.
- Chiapasco and P. Casentini, “Horizontal bone-augmentation procedures in implant dentistry: prosthetically guided regeneration,” Periodontology 2000, vol. 77, no. 1, pp. 213–240, 2018.
- B. L., “Protocolli operativi e di controllo per massimizzare il successo nelle situazioni cliniche avanzate,” Dentista Moderno, no. 9, pp. 50–80, 2012.
- Small and D. Tarnow, “Gingival recession around implants: a 1-year longitudinal prospective study.,” undefined, 2000.
- Priest, “Predictability of soft tissue form around single-tooth implant restorations.,” The International journal of periodontics & restorative dentistry, vol. 23, no. 1, pp. 19–27, Feb. 2003.
- Jemt and U. Lekholm, “Single Implants and Buccal Bone Grafts in the Anterior Maxilla: Measurements of Buccal Crestal Contours in a 6-Year Prospective Clinical Study,” Clinical Implant Dentistry and Related Research, vol. 7, no. 3, pp. 127–135, Jul. 2005.
- Schneider, U. Grunder, A. Ender, C. H. F. Hämmerle, and R. E. Jung, “Volume gain and stability of peri-implant tissue following bone and soft tissue augmentation: 1-year results from a prospective cohort study,” Clinical Oral Implants Research, vol. 22, no. 1, pp. 28–37, 2011.
- Rotundo, U. Pagliaro, E. Bendinelli, M. Esposito, and J. Buti, “Long-term outcomes of soft tissue augmentation around dental implants on soft and hard tissue stability: A systematic review,” Clinical Oral Implants Research, vol. 26, pp. 123–138, 2015.
- Elnayef, C. Porta, F. del Amo, L. Mordini, J. Gargallo-Albiol, and F. Hernández-Alfaro, “The Fate of Lateral Ridge Augmentation: A Systematic Review and Meta-Analysis,” The International Journal of Oral & Maxillofacial Implants, vol. 33, no. 3, pp. 622–635, 2018.
L'articolo è stato pubblicato su Dental Tribune Italian Edition 10/20.
Tag:
La gestione del caso implantare in area estetica rappresenta una sfida per l’odontoiatria moderna. I pazienti sono sempre meno disposti ad accettare i...
Da un punto di vista estetico, un impianto malposizionato specialmente nella regione anteriore, porta inevitabilmente alla realizzazione di un lavoro ...
La rigenerazione ossea guidata sfrutta i principi biologici della rigenerazione tissutale guidata (GTR) secondo cui la rigenerazione di un tessuto avviene ...
I metodi digitali oggi a disposizione del clinico e dell’odontotecnico offrono già dalla prima visita informazioni utili alla pianificazione estetica e ...
HAIPHONG, Vietnam: un nuovo case report mostra i risultati ottenibili con un approccio protesico conservativo in un paziente con un quadro anteriore ...
Negli ultimi anni è notevolmente aumentata la complessità del processo diagnostico e terapeutico in campo odontoiatrico. Di volta in volta, ...
Negli ultimi anni è notevolmente aumentata la complessità del processo diagnostico e terapeutico in campo odontoiatrico. Di volta in volta, ...
Gli impianti osteointegrati si associano a percentuali elevate di successo, tuttavia la loro inserzione può risultare controindicata in presenza di ...
Gli impianti osteointegrati si associano a percentuali elevate di successo, tuttavia la loro inserzione può risultare controindicata in presenza di ...
Esiste una categoria di pazienti che si presentano alla nostra attenzione dopo aver trascorso anni senza essersi sottoposti ad una visita odontoiatrica. Nel...
Live webinar
gio. 7 maggio 2026
2:00 (CET) Rome
Ms. Ellen Karlin, Dr. Sara Karlin
Live webinar
gio. 7 maggio 2026
17:00 (CET) Rome
Live webinar
gio. 7 maggio 2026
18:00 (CET) Rome
Live webinar
gio. 7 maggio 2026
18:00 (CET) Rome
Dra. Maria Carolina Erhardt, Dra. Thais Tomé Feldens
Live webinar
gio. 7 maggio 2026
20:30 (CET) Rome
Live webinar
lun. 11 maggio 2026
18:00 (CET) Rome
Live webinar
lun. 11 maggio 2026
19:00 (CET) Rome
To post a reply please login or register