Sempre più frequentemente le richieste dei nostri pazienti mirano ad ottenere delle riabilitazioni che soddisfino parimenti l’aspetto funzionale e quello estetico. Quando poi le ragioni che determinano la necessità di un intervento da parte del clinico, sono da attribuirsi a diverse cause, è chiaro che per poter assolvere appieno al nostro compito, risulta indispensabile un approccio interdisciplinare.
È fondamentale, ripristinare un corretto rapporto tra i tessuti parodontali di supporto e le sostanze dure del dente da trattare, tutte le volte in cui viene violata l’ampiezza biologica. Comparto biologico questo molto raffinato, che presenta delle caratteristiche estremamente particolari: è sempre presente, ha dimensioni variabili, non può esser violato e tende a ripristinarsi autonomamente anche quando la sua integrità viene minata da eventi traumatici, carie o più semplicemente per problematiche iatrogene. Le modalità con cui possiamo risolvere tale condizione patologica sono diverse, si passa da un approccio puramente chirurgico previo lembo spostato apicalmente, a strategie che prevedono l’estrusione ortodontica o altre che invece riguardano entrambe.
Case report
Descrizione
Una giovane paziente di 31 anni, si presenta al mio studio per risolvere l’inestetismo provocato dalla presenza di carie al colletto dell’11, e asimmerie delle parabole. Gli elementi frontali dal 12 al 22 presentavano inoltre diverse carie della corona clinica e contestualmente delle radici trattate in modo incongruo, tanto da provocare delle lesioni endodontiche molto ampie.
Materiali e metodi
Il piano di trattamento preliminare stilato con gli specialisti del mio studio, Dott. Aniello Mollo e Marino Musilli, prevedeva in primis il ritrattamento endodontico per via ortograda, e l’eventuale apicectomia con sigillo retrogrado solo se non si fosse ottenuta la completa “resitutio ad integrum” della lesione successivamente, a guarigione avvenuta, si sarebbe effettuata l’estrusione ortodontica per limitare l’asimmetria delle parabole dell’11, ed effettuare solo a questo punto l’allungamento di corona clinica solo dell’11, per poi effettuare la parte protesica che consisteva nella realizzazione di due faccette in ceramica del 12 e del 22 e due corone monolitiche del 11 e del 21.
La paziente però alla presentazione del progetto, ha sollevato dei problemi in merito al trattamento ortodontico, per cui per poter esporre il tessuto sano dell’11 ed ottenere un’estetica soddisfacente, ci ha costretto ad eseguire un intervento di chirurgia più esteso da 13 a 23, pre finalizzazione protesica.
L'articolo è stato pubblicato su Dental Tribune italian edition, n. 3 2019.
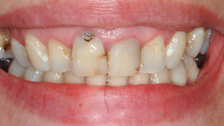
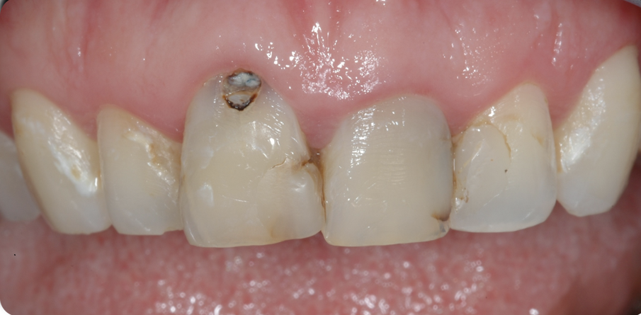
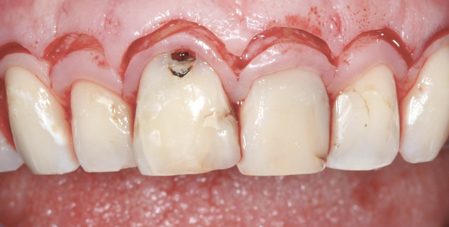
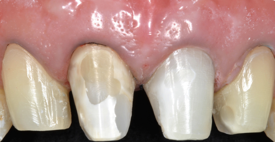
Figg. 1, 2 - Situazione iniziale.
Figg. 1, 2 - Situazione iniziale.
Fig. 3 - Lo stato endodontico iniziale.
Fig. 4 - Il disegno del lembo chirurgico, sollevato solo sull’aspetto buccale.
Fig. 5 - Il rapporto tra lesione cariosa e tessuto osseo di sostegno appena sollevato il lembo.
Fig. 6 - La distanza ottenuta tra lesione cariosa e tessuto osseo di circa 3 mm al termine dell’osteo-plastica e ostectomia in prossimità dell’11, con una leggera riduzione in senso buccale della sporgenza della radice.
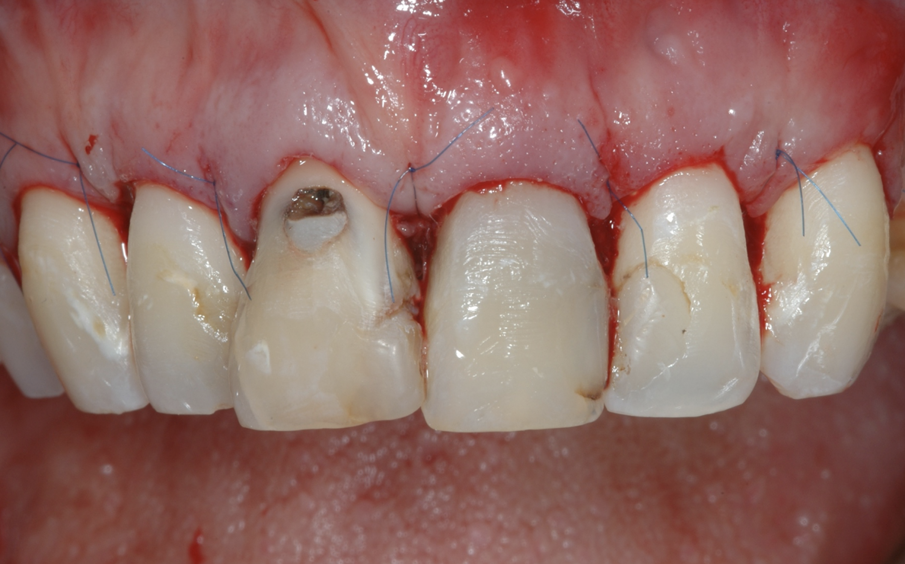
Fig. 7 - La sutura al termine dell’intervento.
Fig. 8 - La guarigione a 4 mesi dalla chirurgia.
Figg. 9-11 - Fasi dell’apicectomia eseguita in attesa della completa maturazione dei tessuti parodontali.
Figg. 9-11 - Fasi dell’apicectomia eseguita in attesa della completa maturazione dei tessuti parodontali.
Figg. 9-11 - Fasi dell’apicectomia eseguita in attesa della completa maturazione dei tessuti parodontali.
Fig. 12 - Trascorsi 7 mesi dalla chirurgia e dalla risoluzione del problema endodontico, si è proceduto con la preparazione a butt-joint del 12 e del 22 per ricevere due faccette e delle preparazioni complete a finire su 11 e 21 per le due corone monolitiche in disilicato.
Fig. 13 - Il manufatto protesico ultimato pre cementazione.
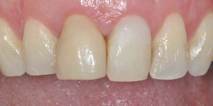
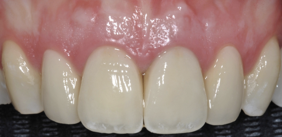
Fig. 14-16 - Il caso ultimato.
Fig. 14-16 - Il caso ultimato.
Fig. 14-16 - Il caso ultimato.
Tag:
Gli ultimi anni hanno visto l’introduzione in campo dentale di tecnologie sempre più evolute che hanno semplificato il compito del protesista ...
Gli ultimi anni hanno visto l’introduzione in campo dentale di tecnologie sempre più evolute che hanno semplificato il compito del protesista ...
Il volto umano è il distretto corporeo più rappresentativo e caratterizzante della persona e per il professionista spesso risulta difficile coniugare ...
Ritrovare un bel sorriso! Una terapia che fa recuperare la gioia di vivere a chi l’ha persa per cause diverse: dai traumi, alla carie, alla malattia ...
L’odontoiatria negli ultimi decenni è andata incontro a una profonda trasformazione che ha portato gli operatori del settore ad affrontare ...
Dental Tribune Italia raccoglie l’opinione del presidente dell’AIOP, Fabio Carboncini, sull’argomento.
La paziente è giunta alla mia osservazione per insoddisfazione funzionale della riabilitazione protesica esistente. Nell’anamnesi patologica ...
La paziente è giunta alla mia osservazione per insoddisfazione funzionale della riabilitazione protesica esistente. Nell’anamnesi patologica ...
La Rigenerazione Ossea Guidata (GBR) è una delle tecniche più utilizzate e descritte in letteratura per la ricostruzione dei difetti ossei, per ottenere ...
L’edentulia totale è una patologia ancora molto diffusa nel mondo. Nonostante i progressi nella prevenzione delle patologie cariose e parodontali, ...
Dr. Bruce McFarlane Certified Specialist in Orthodontics Fellow: Royal College of Dentists of Canada Diplomate: American Board of Orthodontics
Live webinar
mer. 15 aprile 2026
20:00 (CET) Rome
Live webinar
gio. 16 aprile 2026
2:00 (CET) Rome
Linda Hecker MS, BSDH, RDH
Live webinar
gio. 16 aprile 2026
18:00 (CET) Rome
Dr. Pär-Olov Östman, Dr. Robert Gottlander DDS
Live webinar
ven. 17 aprile 2026
18:00 (CET) Rome
Live webinar
ven. 17 aprile 2026
19:00 (CET) Rome
Dr. Stuart Yeaton BDentSc, MOrth
Live webinar
lun. 20 aprile 2026
19:00 (CET) Rome
Dr. Alberto Monje DDS, MS, PhD
To post a reply please login or register