Forse non tutti sanno che i condizionamenti (abitudini) della masticazione conseguenti ad una determinata malocclusione molto spesso si mantengono anche dopo avere ripristinato un corretto rapporto dentale1, 2.
Il cambiamento di un’abitudine muscolare richiede tempo (dai 6 ai 12 mesi) ed ecco che, nel periodo più delicato di contenzione (i primi 6-12 mesi per l’appunto), la componente di abitudine muscolare tenderà a favorire la recidiva come tentativo di recuperare il precedente equilibrio funzionale (corretto o sbagliato che fosse). La presenza di un cross-bite determina, nella maggior parte dei casi, una latero-deviazione funzionale della mandibola con alterazione del ciclo masticatorio omolaterale1, 2. La stessa situazione si presenta frequentemente ogni volta che abbiamo una latero-deviazione funzionale della mandibola per la presenza di precontatti deflettenti che attivano il riflesso di evitamento.
Caso clinico
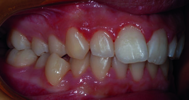
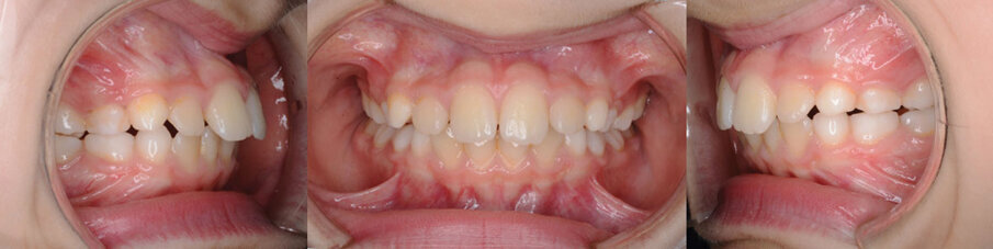
Bambino di anni 8 visto in prima visita per la presenza di uno spostamento del mento notato dalla mamma. Si rileva un palato ristretto con cross-bite laterale destro associato a scivolamento della mandibola dal lato del cross-bite (Fig. 1). La mamma riferisce la presenza di una mandibola storta durante la masticazione così come durante la fonazione. Una volta corretto il cross-bite (Fig. 2) mediante un apparecchio rimovibile notturno, la mamma continua a riferire la persistenza del mento storto durante la masticazione. Viene quindi utilizzato un dispositivo (Alifix®) per l’analisi clinica della masticazione e per valutare l’eventuale differenza del ciclo masticatorio tra destra e sinistra5.
Il dispositivo ha la particolarità di essere costituito da due elementi indipendenti (destro e sinistro) che ne permettono un utilizzo monolaterale in modo da testare singolarmente i due lati della masticazione. Ogni elemento viene inserito in bocca con l’ala orizzontale (2) posizionata tra i denti mentre la parte verticale (1) si appoggia alla guancia. La parte che si inserisce tra i denti ha una forma a cuneo (Fig. 3).
Analisi dei cicli di masticazione
La masticazione normale prevede uno spostamento principale della mandibola omolateralmente al lato di masticazione3, 4. Per verificare questa condizione, viene inserito il dispositivo Alifix® prima sul lato destro facendo attenzione a mettere la parte più spessa del cuneo verso l’avanti in modo da attivare principalmente il muscolo temporale che favorisce lo spostamento omolaterale e si chiede al paziente di masticare. La consistenza elastica del dispositivo consente una masticazione naturale e, in questo caso, viene osservato lo spostamento corretto a destra della mandibola durante la masticazione. Si toglie quindi l’elemento destro e viene posizionato l’elemento sinistro sul lato sinistro. Dopo un iniziale spostamento a sinistra si assiste ad uno spostamento della mandibola verso il lato destro durante la masticazione sinistra a testimonianza della permanenza della vecchia abitudine a spostarsi dal lato del precedente cross-bite.
Viene quindi istruita la mamma a fare utilizzare il dispositivo solo sul lato sinistro per circa 15 minuti alla sera prima di andare a letto, alternando 1 minuto di masticazione con 1 minuto di riposo per non sovraccaricare la muscolatura. In caso di affaticamento deve fermarsi e fare riposare fino alla scomparsa della stanchezza.
Gli appuntamenti di controllo vengono fissati a distanza di 1 mese. Nell’arco di 3 mesi si assiste ad un miglioramento della situazione e alla marcata riduzione della latero-deviazione con miglioramento nella masticazione. Ad un appuntamento successivo, dopo ulteriori 3 mesi, la masticazione avviene regolarmente e la mamma riferisce di non vedere più la deviazione del mento. A 6 mesi di distanza dall’espansione del palato, la situazione è stabile e si è avuto un recupero funzionale completo. Nei casi in cui è presente un disequilibrio della muscolatura della masticazione, sono necessari alcuni mesi di esercizi, seguendo il protocollo di decondizionamento, per ottenere una normalizzazione della muscolatura.
Il lavoro quotidiano dell’ortodontista ha lo scopo di raggiungere un corretto rapporto dentale che sia in equilibrio con la muscolatura e confortevole per il paziente. Questo è possibile solo in presenza di una muscolatura adattata alla nuova occlusione altrimenti, durante il serramento che avviene con la deglutizione (1.500-2.000 volte al giorno) e durante la masticazione, è possibile che il paziente percepisca una situazione di disagio e inconsciamente, a seguito della presenza di una vecchia abitudine silente, possa attivare maggiormente i muscoli di un lato rispetto all’altro con ripercussioni sulla stabilità del trattamento.
La semplice analisi clinica della muscolatura al termine del trattamento di correzione del cross-bite ha permesso di individuare la persistenza di un disequilibrio muscolare e di correggerlo mediante semplici esercizi da effettuare a casa con un minimo di collaborazione. Il test è talmente evidente e chiaro che rende consapevole la mamma del problema di masticazione motivandola a far fare gli esercizi al figlio.
Tag:
Professione, formazione, ricerca clinica e sviluppo della carriera non sono mai stati tra loro più legati e interdipendenti di quanto non lo siano ...
La connettività come elemento di effettiva evoluzione tecnologica, al servizio dell’efficacia nell’intervento implantare e del comfort di medico e ...
Valutazione ragionata e utilizzo clinico di un nuovo dispositivo da masticare, per la diagnosi e la correzione dei fattori muscolari che favoriscono la ...
Valutazione ragionata e utilizzo clinico di un nuovo dispositivo da masticare, per la diagnosi e la correzione dei fattori muscolari che favoriscono la ...
Il cross-bite rappresenta un alterato rapporto sul piano verticale di uno o più elementi dentari con l’inversione dei normali rapporti cuspide-fossa.
Secondo la definizione della IASP (International Association for the Study of Pain), il dolore può essere definito come “una spiacevole esperienza ...
CHICAGO, USA: Considerata uno dei più grandi motivi d’orgoglio del presidente Donald Trump, la One Big Beautiful Bill Act (OBBB), promulgata nel luglio ...
L’iperplasia condilare è (CH) una malformazione mandibolare che comporta un cambiamento nelle dimensioni e nella morfologia del collo e del condilo, una ...
Un percorso accademico e clinico costruito all’interno dell’Università degli Studi di Milano, accanto a figure di riferimento dell’implantologia ...
Sebbene la tecnologia CAD/CAM sia stata tradizionalmente al centro dell’odontoiatria digitale, l’emergere dell’intelligenza artificiale (IA) sta ...
Live webinar
gio. 7 maggio 2026
17:00 (CET) Rome
Live webinar
gio. 7 maggio 2026
18:00 (CET) Rome
Live webinar
gio. 7 maggio 2026
18:00 (CET) Rome
Dra. Maria Carolina Erhardt, Dra. Thais Tomé Feldens
Live webinar
gio. 7 maggio 2026
20:30 (CET) Rome
Live webinar
lun. 11 maggio 2026
18:00 (CET) Rome
Live webinar
lun. 11 maggio 2026
19:00 (CET) Rome
Live webinar
mar. 12 maggio 2026
19:00 (CET) Rome
To post a reply please login or register