Lo scanner intraorale è un dispositivo usato per la presa delle impronte dentali e implantari ed è composto da una telecamera, da un computer e da un software dedicato. La tecnica delle impronte digitali è divenuta una procedura molto diffusa e una valida alternativa alle impronte tradizionali.
L’accuratezza delle impronte digitali dipende da numerosi fattori: la profondità e l’angolazione degli impianti, l’esperienza dell’operatore e la tipologia di scanner usato. L’acquisizione delle impronte digitali è una procedura semplice da eseguire nella nostra quotidiana attività clinica. La cattura digitale della corretta posizione implantare avviene grazie all’uso di specifici transfer chiamate scan body. Nelle zone edentule tuttavia può essere difficile leggere l’area interessata per la mancanza di zone anatomiche di riferimento, pertanto è necessario iniziare la scansione individuando delle aree di riferimento quali le rughe palatine nel mascellare superiore e le zone dei trigoni nella mandibola. Nel presente articolo viene descritto un caso di riabilitazione mandibolare su 6 impianti con carico immediato utilizzando lo scanner digitale.
Case report
Paziente di sesso maschile di 73 anni, con anamnesi negativa per patologie di rilievo. All’esame clinico e radiografico si evidenzia nell’arcata inferiore la presenza di residui radicolari a supporto di un vecchio ponte, con attacchi per la stabilizzazione di una protesi scheletrata di tipo mobile. Prima di procedere alla fase chirurgica e di rimuovere lo scheletrito viene eseguita un impronta digitale con scanner (3Shape) in modo da registrare la dimensione verticale che verrà utilizzata come riferimento per la realizzazione del carico immediato. In sedazione cosciente e previa terapia antibiotica si procede alla rimozione dei residui radicolari, quindi si esegue una generosa osteotomia e si procede al posizionamento di numero 6 impianti assiali (AB Dental device) a esagono interno. Si esegue quindi la sutura dei lembi con vicryl 4/0 e si procede alla prese dell’impronta digitale utilizzando gli scan body come transfer (Figg. 1-11). I file in STL vengono inviati al laboratorio per la realizzazione della protesi provvisoria a carico immediato. Si applicano quindi le viti di guarigione. Dopo 72 ore si procede alla consegna del provvisorio che rimarrà in bocca per 4 mesi in attesa dell’osteointegrazione (Figg. 12-23).
Fig. 2 - Situazione clinica iniziale.
Fig. 3 - Visione occlusale.
Fig. 4 - Rimozione elementi dentari residui e scheletrizzazione con visione dei mentonieri.
Fig. 5 - Visione occlusale.
Fig. 6 - Ostectomia e regolarizzazione della cresta.
Fig. 7 - Preparazione siti implantari.
Fig. 8 - Inserimento 6 impianti assiali.
Fig. 9 - Scan body per impronta digitale.
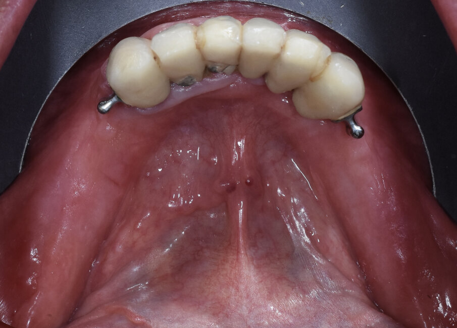
Fig. 10 - Visione occlusale.
Fig. 11 - Sutura e viti di guarigione.
Fig. 12 - Progetto digitale.
Fig. 13 - Flusso digitale.
Fig. 14 - Elaborazione digitale.
Fig. 15 - Fasi di lavoro digitale.
Fig. 16 - Modello digitale e provvisorio.
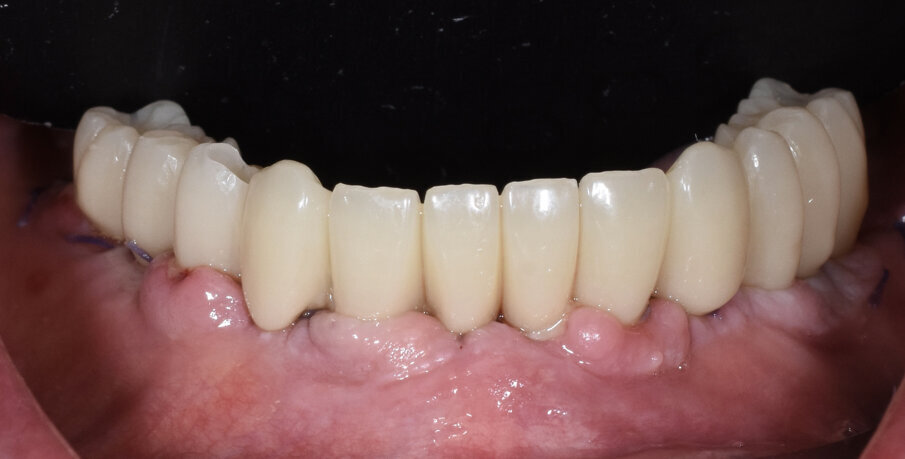
Fig. 17 - Visione occlusale del provvisorio.
Fig. 18 - Dettagli del provvisorio.
Fig. 20 - Visione occlusale provvisorio.
Fig. 21 - Carico immediato.
Fig. 22 - Visione occlusale carico immediato.
Fig. 23 - Rx con carico immediato.
Conclusioni
L’utilizzo dell’impronta digitale rappresenta sicuramente una valida alternativa all’impronta tradizionale con numerosi vantaggi in termini di velocità di esecuzione, riduzione dei tempi lavorativi, miglior comfort per il paziente. Tuttavia richiede un'adeguata curva di apprendimento e l’utilizzo di un protocollo preciso al fine di ridurre al minimo il margine di errore.
Tag:
Dental Tribune intervistaIl dott. Alberto Maria Albiero si è di recente aggiudicato il premio PEERS nella sezione Protesi conometrica, con un case ...
Negli ultimi anni sempre più autori si sono interessati all’utilizzo degli impianti corti, cioè di impianti di lunghezza pari o ...
Negli ultimi anni sempre più autori si sono interessati all’utilizzo degli impianti corti, cioè di impianti di lunghezza pari o ...
La chirurgia ricostruttiva preimplantare non può essere praticata in tutti i pazienti a causa di possibili controindicazioni locali e/o sistemiche. ...
L’osteointegrazione è un fenomeno biologico che si basa sui processi di rigenerazione e rimodellamento osseo. Il tessuto osseo risponde ai ...
L’osteointegrazione è un fenomeno biologico che si basa sui processi di rigenerazione e rimodellamento osseo. Il tessuto osseo risponde ai ...
La tecnologia CAD/CAM, che si avvale dell’utilizzo di scanner 3D intra-orali che consentono di rilevare direttamente le impronte tridimensionali delle ...
Gli autori presentano una metodologia implantoprotesica usando degli impianti a vite emergenti che vengono saldati a un ago di titanio per garantire la ...
Gli autori presentano una metodologia implantoprotesica usando degli impianti a vite emergenti che vengono saldati a un ago di titanio per garantire la ...
Implantologia protesicamente guidata e provvisorio immediato
Nei casi di carico immediato è richiesta una pianificazione accurata sia della fase ...
Live webinar
gio. 30 aprile 2026
1:00 (CET) Rome
Dr. Renato Leonardo D.M.D.
Live webinar
gio. 30 aprile 2026
19:00 (CET) Rome
Live webinar
dom. 3 maggio 2026
18:00 (CET) Rome
Dr. Rickard Brånemark MSc, MD, PhD, Dr. Robert Gottlander DDS
Live webinar
lun. 4 maggio 2026
2:00 (CET) Rome
Live webinar
mar. 5 maggio 2026
16:00 (CET) Rome
Live webinar
mar. 5 maggio 2026
18:00 (CET) Rome
Live webinar
mar. 5 maggio 2026
19:00 (CET) Rome
Dr. Maximilian Dobbertin M.Sc
To post a reply please login or register