La tecnologia CAD/CAM, che si avvale dell’utilizzo di scanner 3D intra-orali che consentono di rilevare direttamente le impronte tridimensionali delle arcate dentarie, rappresenta attualmente un valido supporto per il clinico e il suo impiego sta diventando indispensabile dal momento che permette di ottenere manufatti individualizzati di massima precisione con eccellenti risultati biologici ed estetici.
Introduzione
Le possibilità di applicazione e i margini di sviluppo nelle diverse branche dell’odontoiatria sono molteplici, dalla ortodonzia alla protesi, alla gnatologia. Grande importanza sta rivestendo il ruolo dell’impronta digitale anche in implantologia: scopo di questa pubblicazione è dimostrare come la sua applicazione nel carico immediato con un flusso di lavoro realmente “Full Digital”, e cioè presa dell’impronta diretta su impianti (scanner 3D) con successiva fase CAD con cui l’odontotecnico progetta la protesi seguita dalla fase CAM nella quale una macchina produce il manufatto da inserire poche ore dopo la chirurgia, rappresenta un processo affidabile e altamente predicibile. Flusso digitale equivale a riduzione dei tempi di lavoro non solo per l’odontoiatra ma anche per l’odontotecnico con elevato gradimento da parte del paziente rispetto alla tradizionale impronta analogica1.
Materiali e metodi
Il paziente, un uomo di 42 anni in buona salute generale e non fumatore, si presentava alla nostra osservazione presso IITS (International Implant Training School) nel febbraio 2020 lamentando difficoltà a masticare e grande mobilità in corrispondenza dei quattro incisivi inferiori (Fig. 1): l’esame TAC 3D Cone Beam evidenziava un grave riassorbimento osseo a pieno spessore da 3.2 a 4.2 con una perdita verticale di circa 14,3 mm (Fig. 2). Si decideva pertanto di procedere, una volta eseguiti tutti i trattamenti di igiene e profilassi, alla avulsione dei quattro incisivi inferiori con asportazione di ampio tessuto granulomatoso e contestuale posizionamento di un ponte provvisorio cementato tipo Maryland: un mese dopo abbiamo eseguito la rigenerazione guidata (GBR orizzontale e verticale) con innesto di materiale alloplastico di origine bovina in formato granulare (0,25-1 mm) misto a PRGF (Plasma Rich in Growth Factors), inserendo una membrana pericardica riassorbibile adeguatamente scolpita “a sella” sulla zona edentula rigenerata, riposizionando infine il lembo mucoperiosteo a ripristino della corretta anatomia del mascellare: un’ampia letteratura ha dimostrato come il plasma ricco in fattori di crescita sotto forma di concentrati piastrinici (membrane, gel e liquido) stimola e accelera la rigenerazione ossea ottenendo tempi di rigenerazione più brevi favorendo anche una guarigione più rapida dei tessuti molli2, 3 (Fig. 3).
Sei mesi dopo la GBR il controllo tomografico confermava il successo della rigenerazione (Fig. 4) per cui sono stati inseriti 3 impianti narrow Piattaforma 3.0 INTERNA BTI diametro 3.0 mm equamente distanziati tra i due canini: la connessione interna esalobulata (Fig. 5) permette il carico immediato anche con impianti di diametro così ridotto evitando i punti di affaticamento con una buona distribuzione dei carichi assiali, laterali e di torsione4; la superficie implantare UnicCa, ottenuta attraverso una modifica con ioni di calcio e tipica di tutti gli impianti BTI, è una superficie elettropositiva, pulita e super-idrofilica, stimola l’attività osteogenica e promuove la stabilità ossea peri-implantare minimizzando l’aderenza batterica e favorendo la conservazione dei tessuti marginali5-7 (Fig. 6).
Il protocollo di fresatura biologica BTI a basso numero di giri (50-80 RPM) infine permette di eseguire una chirurgia in condizioni di maggiore sicurezza ambientale per gli operatori in assenza di nebulizzazione senza rischi di surriscaldamento osseo e il particolare design elicoidale, fortemente ritentivo per le particelle ossee che vengono tagliate, consente di ottenere grandi quantità di osso autologo in granuli dalla zona di fresatura (Fig. 7). L’impronta digitale è stata rilevata a fine chirurgia con uno scanner ottico 3Shape Trios (Fig. 8) e contestualmente inviata al laboratorio odontotecnico per la progettazione di una protesi provvisoria di 4 elementi avvitata su impianti utilizzando il programma software 3Shape Dental System (Figg. 9, 10): la protesi provvisoria in PMMA è stata prodotta mediante una stampante dentale 3D ASIGA MAX UV.
Fig. 1 - Incisivi inferiori in visione occlusale.
Fig. 2 - Immagine 3D della mandibola a un mese dalle avulsioni dentarie.
Fig. 3 - GBR orizzontale e verticale con materiale alloplastico e PRGF.
Fig. 4 - Immagine 3D della mandibola post-GBR.
Fig. 5 - Impianti BTI Narrow 3.0 a connessione interna esalobulata.
Fig. 6 - Superficie UnicCa BTI.
Fig. 7 - Osso granulare autologo recuperato dalla Bio-Fresatura della mandibola.
Fig. 8 - Scan body per impronta ottica.
Fig. 9 - Fase CAD 3Shape Dental Designer (scan body).
Protocollo chirurgic
Sollevato un lembo a spessore totale vestibolo-linguale con incisione crestale sono state utilizzate frese di diametro progressivo a basso numero di giri con protocollo di fresatura biologica senza irrigazione esterna a eccezione della prima lanceolata: 1.8 e 1.8/2.5 mm di diametro (75 RPM) al fine di ottenere la stabilità primaria necessaria a eseguire il carico immediato. Tre impianti narrow 3.0 x 13 mm INTERNA sono stati inseriti equidistanti con un torque di 50 Ncm con posizionamento della piattaforma protesica, come da protocollo Dr. E. Anitua, a livello iuxtacrestale (Fig. 5).
Protocollo protesico
Conclusa la chirurgia sono stati avvitati 3 abutment Transepiteliali MULTI-IM di 1,0 mm di spalla con piattaforma protesica allargata di 4,1 mm (torque 35 Ncm) il cui scopo è quello di garantire una chiusura completamente ermetica e biologica tra impianto e elemento protesico (Bioblock Concept sviluppato da BTI Biotechnology Institute)8, 9 (Fig. 11).
Impronta digitale e flusso CAD/ CAM
Completata la sutura, avvitati 3 Scan Body sui Multi-Im in pochi minuti abbiamo eseguito la scansione digitale intra-orale 3Shape inviandola con un clic al laboratorio odontotecnico il quale ha elaborato, progettato e stampato in 3D la protesi provvisoria in PMMA avvitata con interfaccia estetica su impianti (Fig. 12) da consegnare al paziente tre ore dopo la chirurgia (Fig. 13).
Follow up
Dopo l’intervento è stata eseguita una ortopantomografia (OPT) di controllo (Fig. 14) e dimesso il paziente con un protocollo farmacologico di 2 grammi di Amossicillina più Acido Clavulanico per 6 giorni e un mantenimento igienico con clorexidina 0.2% per 10 giorni. Il controllo radiografico endorale a 4 mesi dalla chirurgia rivela un perfetto mantenimento dei livelli di osso periimplantare (Fig. 15). Avvenuta la completa osteo-integrazione degli impianti il flusso digitale sarà ultimato con una protesi in zirconio con interfaccia estetica avvitata su impianti.
Fig. 10 - Fase CAD 3Shape Dental Designer (provvisori).
Fig. 11 - Abutments Transepiteliali MULTI-IM (visione occlusale).
Fig. 12 - Protesi provvisoria 3D in PMMA avvitata.
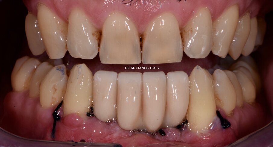
Fig. 13 - Ponte provvisorio avvitato per il carico immediato.
Fig. 14 - Ortopantomografia post-chirurgica.
Fig. 15 - RX a 4 mesi dalla chirurgia.
Conclusioni
Possiamo affermare che l’utilizzo di un flusso digitale completo nell’implantologia a carico immediato, dall’impronta alla progettazione e produzione CAD/CAM, associati all’utilizzo di superfici implantari e componentistica protesica d’avanguardia rende i flussi di lavoro molto più semplici, biologici, efficaci e soprattutto predicibili con piena soddisfazione da parte dei pazienti.
Bibliografia
- Miyazaki T., Hotta Y., Kunii J., Kuniyama S., Tamaki Y.. A review of dental CAD/CAM: current status and future perspectives from 20 years of experience. Dental Materials Journal 2009;28(1):44-56.
- Anitua E. Plasma rich in growth factors: preliminary results of use in the preparation of future sites for implants. Int J Oral Maxillofac Implants 1999;14:529-535.
- Anitua E., Andia I., Ardanza B., Nurden P., Nurden AT.. Autologous platelets as a source of proteins for healing and tissue regeneration. Thromb Haemost 2004;91:4-15.
- Schiegnitz E., Al-Navas B. Narrow-diameter implants: A systematic review and meta-analysis. Clin. Oral Implant Res. 29,21-40 (2018).
- Rosa EC., Deliberador TM et al. Does the implant-abutment interface interfere on marginal loss? A systematic review and meta-analysis. Braz Oral Res 2019;33 e (68).
- Park JW., Han Sh et al. Effects of surface nanotopography and calcium chemistry of titanium bone implants on early blood platelets and macrophage cell function. BioMed Research International 2018.
- Gupta S., Reviakine I. Platelet activation profiles on TiO2: effect of Ca2+ binding to the surface. Biointerphases 2012;7:28.
- Gupta S., Sabharwal R. et al. Platform switching technique and crestal bone loss around the dental implants a systematic review. Ann Afr Med 2019;18(1): 1-6.
- Lauritano D., Moreo G. et al. The impact of implant-abutment connection on clinical outcomes and microbial colonization: a narrative review. Materials 2020;121131.
L'articolo è stato pubblicato sullo speciale regeneration presente all'interno di Implant Tribune Italian Edition n. 2/21
Tag:
Con Ceramill Direct Restoration Solution (DRS) Amann Girrbach espande il suo flusso di lavoro digitale integrato fino all’odontoiatra, colmando così ...
Implantologia protesicamente guidata e provvisorio immediato
Nei casi di carico immediato è richiesta una pianificazione accurata sia della fase ...
Quando si discute delle ultime innovazioni in implantologia dentale, uno degli argomenti più popolari è la tecnologia che supporta i flussi di lavoro ...
Lo scanner intraorale è un dispositivo usato per la presa delle impronte dentali e implantari ed è composto da una telecamera, da un computer e da un ...
Abacus Sistemi CAD-CAM da oltre 20 anni opera nella distribuzione e assistenza di prodotti per la scansione 3D, il disegno 2D e il disegno 3D e la fresatura...
L’implantologia guidata è il risultato della combinazione di dati clinici, imaging tridimensionale e progettazione CAD/CAM di guide chirurgiche. La ...
Negli ultimi vent’anni è aumentata la richiesta per procedure protesiche sempre più estetiche ma allo stesso tempo più veloci e ...
Negli ultimi vent’anni è aumentata la richiesta per procedure protesiche sempre più estetiche ma allo stesso tempo più veloci e ...
I piani di trattamenti clinici che prevedono il carico immediato o il posizionamento post-estrattivo immediato dell’impianto, rappresentano una procedura ...
L’avvento nel panorama odontotecnico e clinico di nuovi materiali e nuove tecnologie ha prodotto e indotto cambiamenti assolutamente innovativi nelle ...
Dr. Bruce McFarlane Certified Specialist in Orthodontics Fellow: Royal College of Dentists of Canada Diplomate: American Board of Orthodontics
Live webinar
mer. 15 aprile 2026
20:00 (CET) Rome
Live webinar
gio. 16 aprile 2026
2:00 (CET) Rome
Linda Hecker MS, BSDH, RDH
Live webinar
gio. 16 aprile 2026
18:00 (CET) Rome
Dr. Pär-Olov Östman, Dr. Robert Gottlander DDS
Live webinar
ven. 17 aprile 2026
18:00 (CET) Rome
Live webinar
ven. 17 aprile 2026
19:00 (CET) Rome
Dr. Stuart Yeaton BDentSc, MOrth
Live webinar
lun. 20 aprile 2026
19:00 (CET) Rome
Dr. Alberto Monje DDS, MS, PhD
To post a reply please login or register