L’iperplasia condilare è (CH) una malformazione mandibolare che comporta un cambiamento nelle dimensioni e nella morfologia del collo e del condilo, una anomala crescita unilaterale della testa e/o del collo del condilo con conseguente ipersviluppo verticale della lunghezza del ramo mandibolare1. Questa anomalia di crescita è di solito unilaterale e generalmente osservata in pazienti tra i 10 ei 30 anni di età2. La CH può verificarsi prima o durante lo scatto di crescita adolescenziale, ma di solito diventa evidente solo dopo di esso, quando un lato della mandibola continua a crescere dopo che l’altro si è concluso completamente3.
La CH con conseguente asimmetria facciale non è solo un problema estetico, ma presenta delle problematiche disfunzionali a carico delle articolazioni tempo-mandibolari (ATM) e una alterazione dell’occlusione. La sua eziopatogenesi non è ancora chiara. Molti Autori ritengono che diversi fattori siano in grado di modificare il pattern di crescita coordinata della mandibola causando l’ipercrescita di una o più parti, tra cui fattori infiammatori, ormonali, traumatici, neoplastici (osteomi, condromi)2-4.
La diagnosi di CH è essenzialmente clinica; senza dubbio, la tomografia computerizzata contribuisce a stabilire la patologia e la morfologia condilare ma gli esami di scintigrafia ossea evidenziano la crescita attiva del condilo5. L’intervento chirurgico è fortemente indicato5-8. Istopatologicamente è evidente un allargamento della fibrocartilagine che ricopre il condilo, un’ampia zona di proliferazione riccamente vascolarizzata e arricchita da grandi cellule vicino al loro aspetto osseo e osteoclasti nelle lacune tra nuove trabecole formate da osteoclasti circostanti7.
_Descrizione
Gli autori vogliono presentare un caso clinico, affetto da questa anomalia. La paziente di 40 anni, con assenza di eventi traumatici, di malattie sistemiche, di infezioni, si è presentata per una visita specialistica di chirurgia maxillo-facciale. La motivazione della visita è dovuta al fatto che negli ultimi anni la paziente denotava un progressivo peggioramento dell’asimmetria del suo viso, in particolare della mandibola che slittava sempre più verso il suo lato sinistro, con una lieve algia nella regione dell’articolazione temporo-mandibolare destra (ATM) in apertura, negli ultimi 3 mesi. La sua storia medica includeva un precedente intervento chirurgico maxillo-facciale all’età di 25 anni. Un esame del volto ha rivelato una deviazione significativa del mento verso il lato sinistro e una leggera inclinazione verso il basso e a destra della linea delle labbra (Fig. 1).
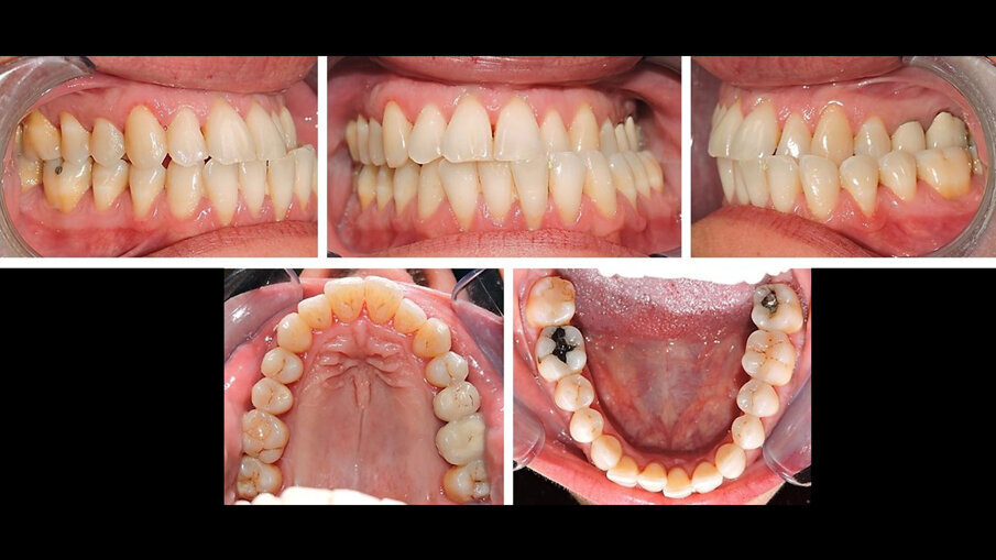
Dall’esame intraorale era evidente un importante spostamento della linea mediana mandibolare verso il lato sinistro. L’arcata superiore sul lato sinistro presentava un cross dentale completo rispetto all’arcata inferiore e il rapporto di classe dentale a destra è di Classe III, a sinistra di Classe I. Nella zona anteriore, l’incisivo laterale sinistro e il canino superiore sinistro sono in cross rispetto agli elementi dell’arcata inferiore (Fig. 2). Dalle immagini radiografiche estrapolate dalla CBCT era evidente un significativo ampliamento uniforme della testa del condilo e un allungamento e ispessimento del collo del condilo nella parte destra, ed un condilo sinistro relativamente normale (Fig. 3).
Fig. 1_Immagini extra-orali che mostrano asimmetria e deviazione sul lato sinistro.
Fig. 2_Immagini intraorali che mostrano una grave deviazione della linea mediana mandibolare sul lato sinistro.
Fig. 3_Vista panoramica CBCT che mostra una grande discrepanza nelle dimensioni e nella morfologia tra i condili destro e sinistro e mostra un allargamento della testa e del collo sul lato destro.
Inoltre erano presenti presidi di fissazione interossea del precedente intervento chirurgico maxillo-facciale (mandibolari e mascellari). Dalla storia risulta che all’età di 25 anni la paziente si è sottoposta a BSSO (Bilateral Sagittal Split Osteotomy) associata alla tecnica di riduzione dei condili. La chirurgia a 25 anni senza rimozione completa del condilo non ha avuto un effetto correttivo duraturo. Infatti, la paziente presentava una recidiva tale per cui era necessario un nuovo intervento chirurgico, con rimozione totale del condilo.
_Materiali e metodi
Il piano di trattamento prevedeva in prima istanza una fase chirurgica (Surgery First) con condilectomia e BSSO e successivamente una seconda fase di trattamento ortodontico. Si è deciso per una Surgery First perché sono stati rilevati tutti i requisiti per poter procedere con questa tecnica, soprattutto perché le arcate non presentavano ostacoli o interferenze dentali nel loro corretto posizionamento spaziale, nella simulazione dello spostamento chirurgico. Prima dell’intervento chirurgico è stata eseguita una scansione intraorale con scanner iTero e successivamente una programmazione di correzione ortodontica, attraverso l’utilizzo del software ClinCheck Pro. Nella simulazione digitale, allo stage 0, il morso di occlusione iniziale prevedeva che le arcate fossero con linee mediane centrate (Fig. 4).
Una volta analizzato il ClinCheck, gli spostamenti dentali programmati in esso, i protocolli in tecnica Invisalign (Align Technology), ed accettata la versione finale, sono stati mandati in produzione gli allineatori che includevano tagli per bottone per i 4 canini, 8 premolari e 4 primi molari, per procedere con l’applicazione di bottoni metallici bondati su questi elementi (Fig. 5). I bottoni metallici sono stati applicati per il bloccaggio intermascellare chirurgico temporaneo per posizionare le arcate con il corretto ingranaggio durante l’intervento chirurgico, e per la giuda elastica post chirurgica. È stata realizzato uno splint intraoperatorio per riprodurre la corretta posizione finale del mascellare e della mandibola, poiché era previsto uno spostamento di entrambe le strutture ossee (Fig. 6).
Fig. 4_Programmazione del posizionamento della base ossea in base all’occlusione, mantenendo le linee mediane centrate.
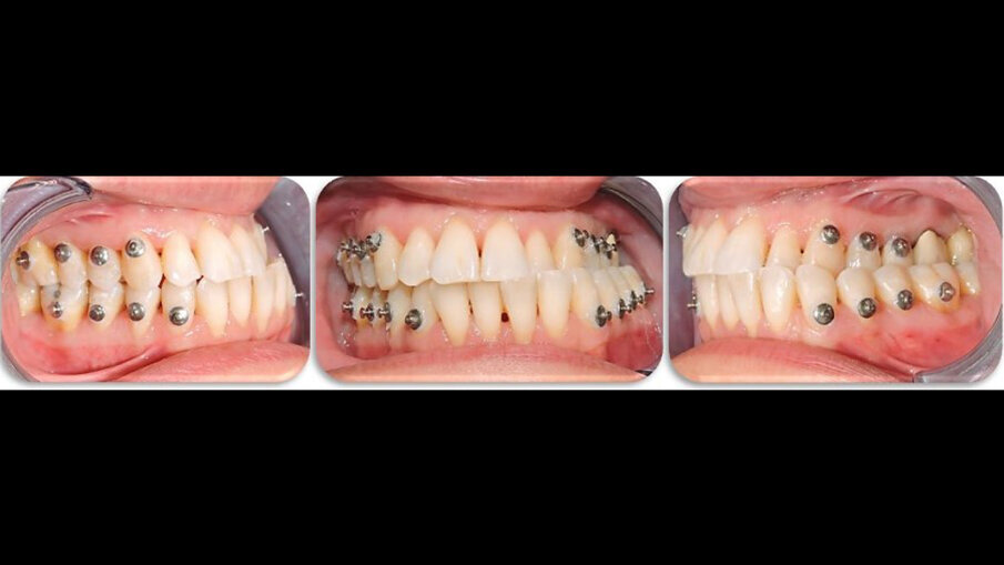
Fig. 5_Bottoni metallici bondati su canini, premolari e primi molari poco prima dell’intervento di chirurgia.
Fig.6_Test di adattamento dello splint intraoperatorio sull’arcata superiore e inferiore.
L’intervento chirurgico è stato eseguito secondo il protocollo di Walford et al.10, con un’incisione esterna seguita dalla resezione della parte superiore del condilo, come descritto da Olate e De Moraes11. Inoltre, è stato eseguito BSSO. Il taglio osseo è stato realizzato appena sotto la massa iperplastica del condilo. L’intera massa è stata accuratamente rimossa in toto. La porzione grezza del collo del condilo è stata arrotondata per imitare la testa condilare. Lo scopo di questo intervento chirurgico è quello di fermare la crescita eccessiva e sproporzionata della mandibola eliminando il sito principale della crescita mandibolare.
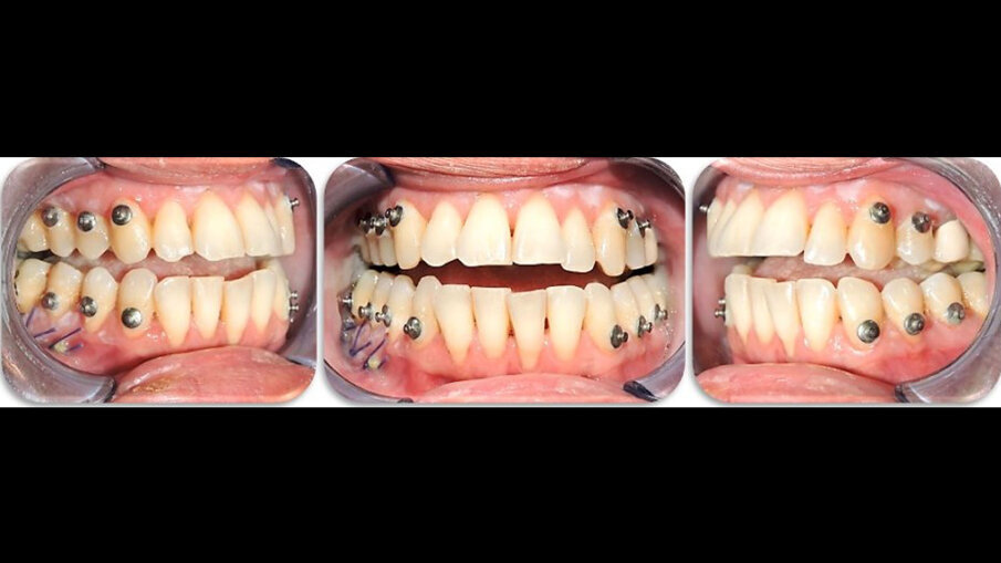
La paziente ha indossato la prima coppia di allineatori una settimana prima dell’intervento in modo che potesse familiarizzare con la gestione quotidiana degli allineatori, come nella loro rimozione o nella loro applicazione nel cavo orale, nell’igiene quotidiana. Subito dopo l’intervento, esattamente 3 giorni dopo, la paziente ha indossato il secondo paio di allineatori e, 7 giorni dopo l’intervento, sono state rilevate fotografie extra-orali e intra-orali (Figg. 7, 8). Oltre agli allineatori la paziente ha portato gli elastici intermascellari per guidare il corretto riposizionamento delle arcate (elastici con forza media 128 gr, circa 4,5 once) con configurazione triangolare per circa un mese (Fig. 9). Gli allineatori sono stati indossati per 22 ore al giorno, con cambi settimanali.
Fig. 7_Immagini extra-orali 7 giorni dopo l’intervento chirurgico.
Fig. 8_Immagini intraorali 7 giorni dopo l’intervento, con un morso aperto tra le arcate, un evento comune in questi tipi di chirurgia.
Fig. 9_Un’applicazione di elastici triangolari simmetrici insieme ad allineatori.
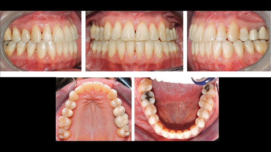
È stata pianificata una prima fase con 38 allineatori per una durata di circa 9 mesi; a seguire una fase di finitura di 19 allineatori con una durata di circa altri 4 mesi, con un totale di 14 mesi di terapia attiva. Il trattamento chirurgico/ortodontico presentava alla conclusione buoni risultati sia dal punto di vista della simmetria facciale in vista frontale, sia dal punto di vista occlusale (Figg. 10, 11). È stata raggiunta la simmetria del volto e un ottimo ingranaggio tra le due arcate, con correzione di tutti i cross dentali, con raggiungimento della Classe I, canina e molare, destra e sinistra, con la perfetta coincidenza delle linee mediane. È stata richiesta una seconda CBCT, alla conclusione del percorso terapeutico, e confrontando la proiezione della vista panoramica iniziale con la proiezione della vista panoramica dopo l’intervento, è evidente la riduzione dimensionale del condilo anomalo del lato destro, in seguito alla sua resezione chirurgica (Fig. 12). Dall’analisi delle fotografie del volto della paziente a distanza di due anni, non si evidenziavano segni di asimmetria, ed era presente una buona simmetria tra le due parti del viso in vista frontale. Dall’analisi delle immagini intraorali si poteva constatare un’eccellente stabilità con contatti ottimali e linee mediane centrate (Figg. 13, 14).
Fig. 10_Immagini extraorali che mostrano la simmetria delle strutture facciali.
Fig. 11_Immagini intraorali che mostrano la simmetria delle arcate.
Fig. 12_Le due viste panoramiche CBCT prima e dopo il percorso terapeutico a confronto, con evidente riduzione della testa del condilo destro.
Fig. 13_Immagini extraorali con mantenimento della simmetria scheletrica del viso, dopo 2,5 anni dalla conclusione della terapia.
Fig. 14_Immagini intraorali con mantenimento della simmetria occlusale, dopo 2,5 anni dalla conclusione della terapia.
Per quanto riguarda il trattamento ortodontico, gli autori hanno scelto deliberatamente un tipo di apparecchio ortodontico in grado di essere minimamente invasivo. Se utilizzati correttamente, gli allineatori trasparenti hanno la proprietà unica di consentire i movimenti dei singoli denti, il che aiuta a pianificare i tempi migliori per le procedure chirurgiche. La tempistica di procedure specifiche può essere gestita con precisione se l’ortodontista pianifica correttamente i singoli movimenti su singoli denti o gruppi di denti, utilizzando un software di progettazione tridimensionale. Nel caso CH sottoposto a chirurgia ortognatica, sono stati utilizzati allineatori trasparenti per prevenire gli effetti collaterali parodontali dello scompenso dentale, proprio grazie all’applicazione di forze leggere.
_Conclusioni
Il vantaggio di utilizzare una tecnica ortodontica con il sistema Invisalign è legato all’attenta pianificazione dei movimenti dentali, alla creazione di apparecchi completamente personalizzati, al comfort, alla manutenzione igienica e all’estetica dei dispositivi12-18. Utilizzando procedure digitali, i risultati clinici portano alla seguente considerazione: grazie all’estrema precisione dei movimenti ortodontici programmati con ClinCheck è possibile avere tempi di trattamento ortodontici brevi. La programmazione completamente digitale è vincente in una collaborazione tra il chirurgo maxillo-facciale e l’ortodontista che utilizza la tecnica Invisalign, poiché i risultati ortodontici e scheletrici possono essere programmati entrambi con estrema precisione.
_Bibliografia
- Nwville BW, Damm DD, Allen CM. Philadelphia: Saunders; 1995. Oral and Maxillofacial Pathology; pp. 15–6.
- Matteson SR, Proffit WR, Terry BC, Staab EV, Burkes EJ., Jr Bone scanning with 99mtechnetium phosphate to assess condylar hyperplasia. Report of two cases. Oral Surg Oral Med Oral Pathol. 1985;60:356–67.
- Slootweg PJ, Müller H. Condylar hyperplasia. A clinico-pathological analysis of 22 cases. J Maxillofac Surg. 1986;14:209–14.
- Obwegeser HL, Makek MS. Hemimandibular hyperplasia– Hemimandibular elongation. J Maxillofac Surg. 1986;14:183–208.
- Saridin CP, Raijmakers P, Becking AG. Quantitative analysis of planar bone scintigraphy in patients with unilateral condylar hyperplasia. Oral Surg Oral Med Oral Pathol Oral Radiol Endod. 2007;104:259–63.
- Meikle MC. The role of the condyle in the postnatal growth of the mandible. Am J Orthod. 1973;64:50–62.
- McCarthy JG, Kawamoto H. Philadelphia, PA: Saunders; 1990. Condylar hyperplasia and unilateral mandibular macrognathia; pp. 1294–300.
- Iannetti G, Cascone P, Belli E, Cordaro L. Condylar hyperplasia: Cephalometric study, treatment planning, and surgical correction (our experience) Oral Surg Oral Med Oral Pathol. 1989;68:673–81.
- Wolford LM, Mehra P, Reiche-Fischel O, Morales-Ryan CA, García-Morales P. Efficacy of high condylectomy for management of condylar hyperplasia. Am J Orthod Dentofacial Orthop 2002; 121(2): 136-151.
- Olate S, De Moraes M. Deformidad facial asimétrica. Papel de la hiperplasia condilar. Int J Odontostomat 2012; 6(3): 337-347.
- Boyd R.L.: Esthetic orthodontic treatment using the Invisalign appliance for moderate to complex malocclusions, J. Dent. Educ. 72:948-67, 2008.
- Kravitz N.D.; Kusnoto B.; BeGole E.; Obrez A.; Agran B.: How well does Invisalign work? A prospective clinical study evaluating the efficacy of tooth movement with Invisalign, Am. J. Orthod. Dentofac. Orthop. 135:27-35, 2009.
- Miller K.B.; McGorray S.P.; Womack R.; Quintero J.C.; Perelmuter M.; Gibson J.; Dolan T.A.; Wheeler T.T.: A comparison of treatment impacts between Invisalign aligner and fixed appliance therapy during the first week of treatment, Am. J. Orthod. Dentofacial Orthop. 131:302.e1-9, 2007.
- Azaripour A.; Weusmann J.; Mahmoodi B.; Peppas D.; Gerhold-Ay A.; Van Noorden C.J.F.; Willerhausen B.: Braces versus Invisalign(R): gingival parameters and patients' satisfaction during treatment: a cross-sectional study, BMC Oral Health 15:69, 2015.
- White D.W.; Julien K.C.; Jacob H.; Campbell P.M.; Buschang P.H.: Discomfort associated with Invisalign and traditional brackets: a randomized, prospective trial. Angle Orthod. 87:801–808, 2017.
- Coutinho Cardoso P.; Gonzalez Espinosa D.; Mecenas P.; Flores-Mir C.; Normando D.: Pain level between clear aligners and fixed appliances: a systematic review, Prog. Orthod. 21: 3. Published online 2020 Jan 20, 2020.
- Li Y.; Deng S.; Mei L.; Li Z.; Zhang X.; Yang C.; Li Y.: Prevalence and severity of apical root resorption during orthodontic treatment with clear aligners and fixed appliances: a cone beam computed tomography study, Prog. Orthod. 21: 1, 2020.
- Meuli S, Amodeo G, Marrocco S, Brugnami F, Scopelliti D. Surgery First and Clear Aligners on Relapsed Condylar Hyperplasia. J Craniofac Surg., 2022 Jan-Feb;33(1):e60-e65.
Autori
S. Meuli, G. Amodeo, S. Marrocco, F. Brugnami, D. Scopelliti
L'articolo è stato pubblicato su aligners international magazine of aligner orthodontics Italian edition 1/23.
Tag:
In ortodonzia la gestione degli spazi interprossimali è fondamentale per ottenere un risultato predicibile. Questo caso presentava affollamento dentale ...
La sistematica degli allineatori, grazie al supporto delle più avanzate tecnologie digitali, rappresenta una grande risorsa nella pratica clinica ...
Cercando di colmare una lacuna nella letteratura, i ricercatori hanno analizzato la perdita di ancoraggio di premolari e canini che si verifica durante la ...
Valutazione ragionata e utilizzo clinico di un nuovo dispositivo da masticare, per la diagnosi e la correzione dei fattori muscolari che favoriscono la ...
Valutazione ragionata e utilizzo clinico di un nuovo dispositivo da masticare, per la diagnosi e la correzione dei fattori muscolari che favoriscono la ...
NEW YORK, USA: I vantaggi della terapia con allineatori per i pazienti sono chiari, ma i diversi modelli di trattamento offerti dai produttori hanno già ...
ZAGABRIA, Croazia: Con la crescente diffusione degli allineatori stampati in 3D, molti pazienti e clinici continuano a utilizzare metodi di pulizia ...
Riportiamo qui di seguito la lettera aperta che è stata inviata ai seguenti destinatari: Al Direttore Generale dell’AUSL Latina, Dott. ...
BURNABY, Canada: Il mercato globale dei degli allineatori trasparenti continua a crescere rapidamente e sembra destinato a superare gli apparecchi fissi ...
BONN, Germania: Uno studio condotto da ricercatori dell’Ospedale Universitario di Bonn ha scoperto che gli allineatori ortodontici invisibili stampati in ...
Live webinar
lun. 11 maggio 2026
18:00 (CET) Rome
Live webinar
lun. 11 maggio 2026
19:00 (CET) Rome
Live webinar
mar. 12 maggio 2026
19:00 (CET) Rome
Live webinar
gio. 14 maggio 2026
18:00 (CET) Rome
Live webinar
gio. 14 maggio 2026
20:00 (CET) Rome
Prof. Hani Ounsi DDS PhD FICD
Live webinar
mar. 19 maggio 2026
17:00 (CET) Rome
Live webinar
mar. 19 maggio 2026
19:00 (CET) Rome
Prof. Dr. med. dent. Ivo Krejci
To post a reply please login or register