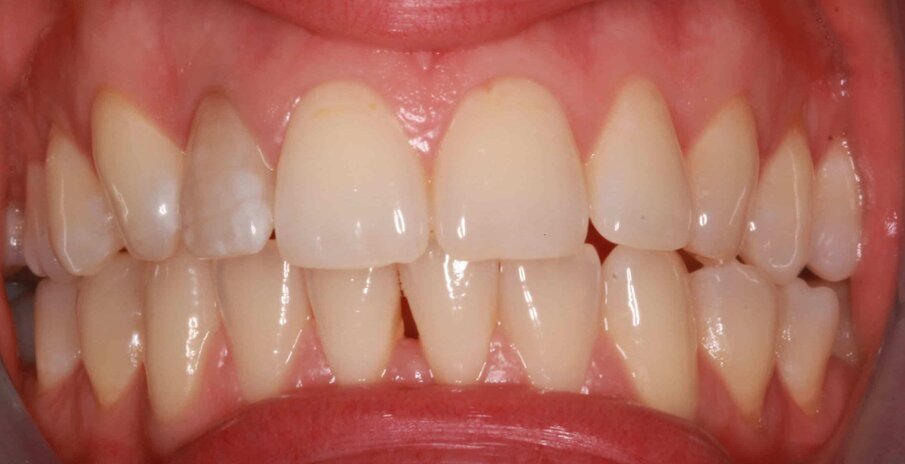
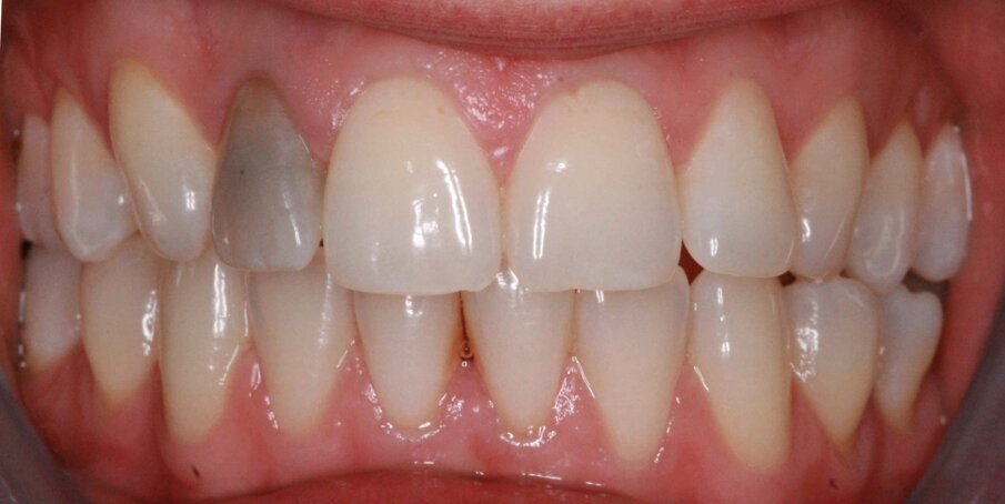
In studio si presenta una paziente di 37 anni lamentandosi dell’incisivo laterale di destra grigio. Era stata da più dentisti, i quali le avevano proposto delle faccette in ceramica per ricoprire il dente scuro. Dopo un esame dentale approfondito, si arriva alla conclusione che il dente era stato devitalizzato mentre la radiografia conferma che la cura canalare fatta una quindicina di anni prima era ancora in ottime condizioni.
Alla paziente vengono pertanto offerte alcune opzioni. La prima, lo sbiancamento interno ed esterno dell’incisivo laterale destro con un trattamento che avrebbe potuto variare dalle 2 alle 4 settimane. Quale seconda opzione, la ricopertura in composito, oppure (terza soluzione) con faccetta in ceramica.
La paziente decide di provare lo sbiancamento interno ed esterno. Si adotta pertanto la seguente procedura: impronte per creazione di formine sbiancamento esterno, isolamento dell’incisivo laterale con diga di gomma, rimozione totale dell’otturazione in composito presente, rimozione del materiale endodontico 2 mm sotto il margine gengivale, applicazione di gel ortofosforico 37% per 60 secondi.
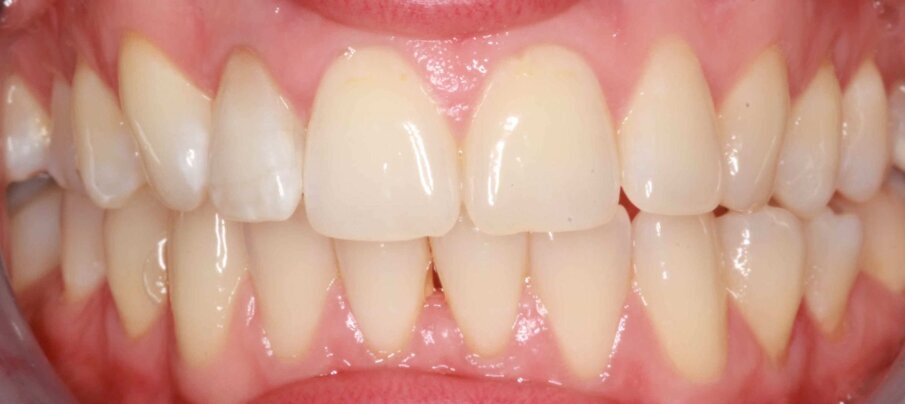
Seguono la chiusura alla base della cavità pulpare con composito flowable e polimerizzare per 25 secondi, l’applicazione di perossido di carbamide 16%, lasciando foro dell’otturazione originale aperto.
Queste le istruzioni che vengono date alla paziente: fare un’applicazione di perossido di carbamide 16% ogni sera sia all’interno del foro palatale (sbiancamento interno), sia nella formina del solo dente interessato (incisivo laterale di destra in questo caso) consigliando un controllo a 2 settimane.
Dopo tale periodo la paziente inizia lo sbiancamento esterno di tutti i denti contemporaneamente, sempre con perossido di carbamide 16%. Seguirà un controllo a 3 settimane, fino alla chiusura dell’incisivo laterale con otturazione in composito.
Tag:
L’incessante aumento della domanda di trattamenti cosmetici del sorriso ha imposto a molti operatori del settore odontoiatrico una presa di posizione ...
L’estetica del sorriso riveste sempre più un ruolo fondamentale nell’odontoiatria moderna ed è messa quale outcome di primo piano nelle decisioni ...
L’estetica del sorriso riveste sempre più un ruolo fondamentale nell’odontoiatria moderna ed è considerata quale outcome di primo ...
La considerazione che molti disturbi del distretto cranio-cervicale possano dipendere dagli atteggiamenti posturali conseguenti a una occlusione non ...
La considerazione che molti disturbi del distretto cranio-cervicale possano dipendere dagli atteggiamenti posturali conseguenti a una occlusione non ...
Il presente lavoro descrive la procedura con laser neodimio Nd:YAG 1064 nm per intervento di perimplantite.
Introduzione
Negli ultimi anni i dispositivi ortodontici funzionali non sono usati soltanto come contenzione passiva, ma anche e soprattutto come ...
La ceramica al silicato di litio rinforzata con biossido di zirconio (ZLS) è una nuova vetroceramica ad alte prestazioni con caratteristiche ...
La paziente giunge in studio riferendo di aver avuto dolore spontaneo a carico del molare inferiore di sinistra e gonfiore della gengiva e che, dopo aver ...
Il paziente di anni 46 si presenta con difficoltà alla masticazione sul lato destro. All’esame clinico si evidenzia un rigonfiamento ascessuale...
Live webinar
mer. 15 aprile 2026
20:00 (CET) Rome
Live webinar
gio. 16 aprile 2026
2:00 (CET) Rome
Linda Hecker MS, BSDH, RDH
Live webinar
gio. 16 aprile 2026
18:00 (CET) Rome
Dr. Pär-Olov Östman, Dr. Robert Gottlander DDS
Live webinar
ven. 17 aprile 2026
18:00 (CET) Rome
Live webinar
ven. 17 aprile 2026
19:00 (CET) Rome
Dr. Stuart Yeaton BDentSc, MOrth
Live webinar
lun. 20 aprile 2026
19:00 (CET) Rome
Dr. Alberto Monje DDS, MS, PhD
Live webinar
mer. 22 aprile 2026
17:00 (CET) Rome
MDT Andreas Chatzimpatzakis