Si vogliono presentare due procedure di sbiancamento: solo professionale, con perossido d’idrogeno al 25% e professionale, con perossido di idrogeno al 6%, più domiciliare notturno a base di perossido di carbammide al 16%.
Materiali e Metodi
Per entrambi i casi sono stati utilizzati sistemi sbiancanti Phillips® (Philips Zoom 25% e Philips Zoom 6%®). Prima dello sbiancamento è stata eseguita l’igiene professionale utilizzando l’Airflow® Prophylaxis Master (EMS®). Sono state raccolte fotografie per osservare l’evoluzione del colore e i due diversi sistemi.
Risultati e conclusioni
I risultati ottenuti in questi due casi sono soddisfacenti sia per l’operatore che per il paziente che ha immediatamente approvato il cambiamento. Lo sbiancamento Philips Zoom® ha mostrato in entrambi i casi ottimi risultati confermando l’efficacia del prodotto e del protocollo.
Introduzione
La consapevolezza del valore sociale del sorriso ha portato, negli ultimi anni, ad un aumento progressivo delle richieste di trattamenti estetici. Spesso i pazienti non si sottopongono ad una visita odontoiatrica per prevenzione primaria ma per l’estetica del sorriso1.
Nel 1989, Haywood and Heymann introdussero la tecnica di sbiancamento domiciliare con mascherina notturna; negli anni la tecnica venne ulteriormente raffinata fino ad arrivare al metodo attualmente in uso2.
Negli ultimi due decenni, lo sbiancamento è diventato uno dei trattamenti odontoiatrici estetici più richiesti. Chiamato nella terminologia internazionale bleaching o tooth whitening, è un trattamento riconducibile all’odontoiatria cosmetica o cosmetic dentistry, il cui obiettivo è lo schiarimento del colore dei denti.
Per poter valutare e descrivere in termini oggettivi i colori che l’occhio umano riesce a distinguere sono state identificate, attraverso il sistema tridimensionale di Munsell del 1898, tre caratteristiche fondamentali:
- Tinta o tonalità: è il colore base del dente, che deriva dalla dentina e varia dal marrone al giallo.
- Croma: è la saturazione, cioè l’intensità della tinta; variazioni della croma sono in rapporto al volume della polpa, alla posizione del dente, alle abrasioni, allo spessore di smalto e dentina o alla loro densità.
- Valore: indica la quantità di grigio presente, indipendentemente dalla tinta. Il valore è una qualità propria dello smalto, il tessuto del dente che gli conferisce brillantezza3.
Lo smalto dei denti può andare incontro a due tipi di colorazioni: estrinseca quando la colorazione è dovuta alla deposizione di molecole sullo smalto o sul biofilm posto sul dente stesso, intrinseca quando il materiale cromogeno è posto non solo nello smalto ma anche nella dentina. Le colorazioni intrinseche possono avvenire prima dell’eruzione (tetracicline, fluorosi, malformazioni tissutali) o dopo l’eruzione (traumi, invecchiamento, rilascio di metalli). Lo sbiancamento viene messo in atto per modificare le pigmentazioni intrinseche. Purtroppo non sempre lo sbiancamento ha effetto: il 5% dei pazienti non sono rispondenti al trattamento.
Il successo di uno sbiancamento dipende:
- Dal paziente: dalle sue abitudini di vita quali fumo, assunzione di sostante pigmentanti quali caffè e the e dalla sua complicance nel caso di un trattamento domiciliare;
- Dall’età: più aumenta l’età, più lo smalto è sottile, più lascia trasparire la dentina sottostante;
- Dalla discromia dello smalto del dente: le discromie gialle (A e B) danno maggior risultati rispetto alle discromie tendenti al grigio (C e D);
- Dall’ipersensibilità all’agente sbiancante.
Il parametro più importante è il tempo di contatto del gel sullo smalto: è sempre preferibile una bassa concentrazione di gel applicato però per lungo tempo.
Perossido di Idrogeno (H2O2)
Il perossido diffonde, grazie al suo basso peso molecolare, attraverso la matrice organica di smalto e dentina e agisce mediante reazioni di ossido-riduzione. Stimolato poi da luce e calore (o corporeo o proveniente da una fonte esterna) forma dei radicali liberi dell’Ossigeno (O+) che possiedono elettroni instabili e spaiati. Questi ultimi legandosi alle molecole organiche cromogene le disgregano in composti incolori più piccoli e solubili (sostituendo i doppi legami carbonio-carbonio con legami singoli); le molecole così scomposte riflettono la luce in diverso modo e fanno apparire il dente più luminoso.
I materiali per sbiancamento professionale contengono concentrazioni elevate di perossido di idrogeno (in genere 15-38%), mentre il contenuto di perossido di idrogeno nei prodotti per sbiancamento a domicilio di solito varia dal 3% al 10%. La sostanza chimica è potenzialmente corrosiva per le mucose o la pelle e può causare una sensazione di bruciore e danni ai tessuti è quindi indispensabile utilizzare i corretti protocolli con relative protezioni individuali sia per l’operatore sia per il paziente.
Perossido di Carbamide (CO(NH2)H2O2)
A contatto con gli enzimi salivari si scinde in Perossido di Idrogeno (30%) e Urea (70%) che si degrada a sua volta in Anidride Carbonica ed Ammoniaca. Il perossido di carbamide si decompone per liberare il perossido di idrogeno in un mezzo acquoso: il 10% di perossido di carbamide fornisce circa il 3,5% di perossido di idrogeno4.
Nel marzo 2005, il Comitato scientifico europeo sui prodotti di consumo (SCCP) ha concluso che l’uso corretto di prodotti sbiancanti contenenti da 0,1 a 6,0% di perossido di idrogeno (o equivalenti per le sostanze che rilasciano perossido di idrogeno) è considerato sicuro dopo aver consultato e avuto l’approvazione del medico odontoiatria, invece prodotti con più alte concentrazioni possono essere somministrati solo dai dentisti, una volta che è garantita l’assenza di fattori di rischio. È consentito l’utilizzo solo per coloro che hanno più di 18 anni e non a donne in stato di gravidanza5.
La scelta tra i metodi e i tipi di prodotti si riferisce a molti fattori, tra cui lo stile di vita del paziente, la storia parodontale o cariogena del paziente, la sensibilità dei denti e il tipo di colore di partenza6.
Lo sbiancamento dentale professionale che sia esso fatto in studio o domiciliare deve essere preceduto da una diagnosi adeguata e completa della condizione orale del paziente7.
Nonostante questo, i possibili effetti collaterali che si possono presentare sono:
- Ipersensibilità dentale che è una condizione reversibile nel giro di poche ore o di qualche giorno. Può essere attenuata con l’applicazione topica di fluoro, di mouse o dentifrici desensibilizzanti.
- Infiammazione delle gengive dovuta al contatto con l’agente sbiancante. Si ha la sensazione di un bruciore e le zone interessate possono apparire bianche. Il problema si risolverà spontaneamente in poche ore.
Nei due casi presentati in questo lavoro si vogliono illustrare due procedure differenti di sbiancamento, quella professionale con perossido d’idrogeno al 25% e la combinazione di professionale con perossido di idrogeno al 6% con domiciliare notturno a base di perossido di carbammide al 16%. Entrambe le procedure precedute dalla rimozione di biofilm e macchie estrinseche attraverso l’uso di Aiflow e polvere di eritritolo che consentono una rimozione delicata senza traumatismi dei tessuti molli che impedirebbero l’esecuzione dello sbancamento nella stessa seduta.
Materiali e metodi
Lo studio è stato realizzato in accordo con gli standard etici stabiliti nella Dichiarazione di Helsinki del 1964. Il consenso informato è stato ottenuto da tutti i partecipanti prima del loro arruolamento nello studio.
- Materiali utilizzati per la rimozione di macchie estrinseche, biofilm e tartaro:
Airflow Prophylaxis Master EMS CH
Polvere PLUS®
Punta PS EMS®
- Materiali utilizzati per sbancamento caso 1:
Philips Zoom 25%®
ACP Philips®
Lampada Zoom WhiteSpeed®
- Materiali utilizzati per caso 2:
Philips Zoom 6%®
Lampada Zoom WhiteSpeed®
NightWite 16% Philips®
Mascherine in PVC (Cloruro di Polivinile)
- Lampada Zoom WhiteSpeed®
- L’ effetto sbiancante del gel Zoom in associazione alla lampada Zoom WhiteSpeed® è il risultato della reazione photo-Fenton di perossido e ferro. Il gel Zoom contiene gluconato ferroso al quale si lega il perossido di idrogeno producendo radicali liberi idrossili. La luce emessa dalla lampada Zoom WhiteSpeed permette di rinnovare il ferro ciclicamente continuando quindi a produrre radicali idrossili, migliorando notevolmente lo sbiancamento.
- La potenza della luce emessa dalla lampada Zoom WhiteSpeed® può essere regolata all’inizio o durante il trattamento tramite la funzione “Intensity”, per migliorare le esigenze del paziente.
Caso 1
Pamela, 40 anni, si presenta in studio chiedendo la possibilità di schiarire il colore dei suoi denti in occasione della cresima del figlio che si sarebbe tenuta 15 giorni dopo.
Si procede quindi alla pianificazione di un appuntamento singolo della durata di 2 ore per effettuare:
- La seduta di igiene professionale attraverso la metodica GBT (Guided Biofilm Therapy) che ci permette di eliminare biofilm, tartaro e macchie estrinseche in modo non invasivo e veloce grazie all’utilizzo di polvere di eritritolo (PLUS EMS CH) e punta Perio Slim (PS EMS CH), guidati dall’applicazione del rilevatore di placca.
- La seduta di sbiancamento professionale con Perossido d’idrogeno al 25% (Philips Zoom 25%®).
Di seguito la sequenza operativa Zoom In-office kit con concentrazione di perossido di idrogeno al 25%:
- Applicazione dell’olio alla vitamina E sulle labbra;
- Posizionamento del retrattore labiale IsoPrep®;
- Esecuzione di una fotografia pretrattamento con colore iniziale (scala Vita);
- Posizionamento di rulli di cotone per proteggere il vestibolo superiore e inferiore e garze per proteggere le guance interne; posizionamento del foglio di vinile esterno al fine di proteggere il viso del paziente da eventuale fuoriuscita di materiale sbiancante;
- Protezione degli occhi del paziente con occhiali protettivi Zoom;
- Isolamento del campo operatorio: applicare la diga liquida su tutta la gengiva e polimerizzare;
- Applicazione del gel Zoom su tutto lo smalto;
- Attivazione della lampada Zoom;
- Al termine di ogni ciclo da 15 minuti, rimozione del gel con aspiratore e applicazione di nuovo gel Zoom.
- Alla fine del 4° ciclo, rimozione del gel, rimozione della diga liquida, delle garze, dei rulli di cotone e dell’apribocca;
- Esecuzione di una fotografia post-operatoria con colore iniziale e colore ottenuto con lo sbiancamento;
- Applicazione dell’ACP (Amorphous Calcium phosphate) sullo smalto;
- Consegna della restante siringa di ACP al paziente da utilizzare a case nelle apposite mascherine.
Fig. 1 - Fotografia frontale scattata prima della seduta di igiene professionale (Guided Biofilm Therapy) rilevazione del colore a tempo zero, utilizzando la scala colore “Vita”.
Fig. 2 - Distribuzione omogenea del gel con pennello.
Fig. 3 - Attivazione del gel sbiancante attraverso lampada attivatrice (Phillips®).
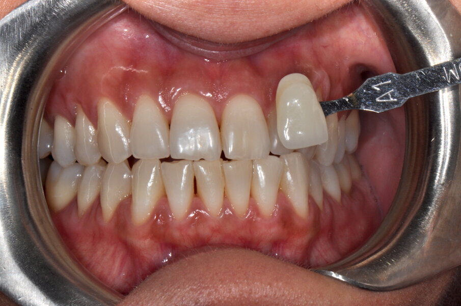
Fig. 4 - Posizionamento del colore rilevato a tempo zero in modo da verificare il risultato.
Fig. 5 - Stabilizzazione del colore ad una settimana.
Caso 2
GianPietro, 50 anni, si presenta per la seduta di igiene professionale dopo un anno dall’ultimo richiamo. Si presenta con depositi di placca e tartaro diffusi e lieve gengivite generalizzata da placca. Già dopo la seduta di GBT la differenza di colore è evidente, ma il paziente chiede se si può fare di più. Si propone perciò lo sbiancamento professionale con perossido d’idrogeno al 6% seguito da domiciliare con mascherina e perossido di carbammide al 17% per ottenere il massimo del risultato nel tempo e verificare la compliance domiciliare del paziente.
Sequenza operativa Zoom In-office kit con concentrazione di perossido di idrogeno al 6
- Applicazione dell’olio alla vitamina E sulle labbra;
- Posizionamento del retrattore labiale IsoPrep®;
- Esecuzione di una fotografia pretrattamento con colore iniziale (scala Vita);
- Posizionamento di rulli di cotone per proteggere il vestibolo superiore e inferiore e garze per proteggere le guance interne; posizionamento del foglio di vinile esterno al fine di proteggere il viso del paziente da eventuale fuoriuscita di materiale sbiancante;
- Protezione gli occhi del paziente con occhiali protettivi Zoom;
- Isolamento del campo operatorio: applicare la diga liquida su tutta la gengiva e polimerizzare;
- Applicazione del Whitening Accelerator PH Booster su tutto lo smalto;
- Applicazione del gel Zoom; senza sciacquare il Whitening Accelerator PH Booster fino a 4 cicli massimo;
- Attivazione della lampada Zoom.
- Al termine di ogni ciclo da 15 minuti, rimozione del gel con aspiratore e applicazione di nuovo Whitening Accelerator PH Booster seguito da gel Zoom.
- Alla fine del 4 ciclo, rimozione del gel, rimozione della diga liquida, delle garze, dei rulli di cotone e dell’apribocca;
- Esecuzione di una fotografia post-operatoria con colore iniziale e colore ottenuto con lo sbiancamento.
- Il trattamento può essere seguito da un trattamento domiciliare diurno (DayWhite 6%) o notturno (NiteWhite 16%)
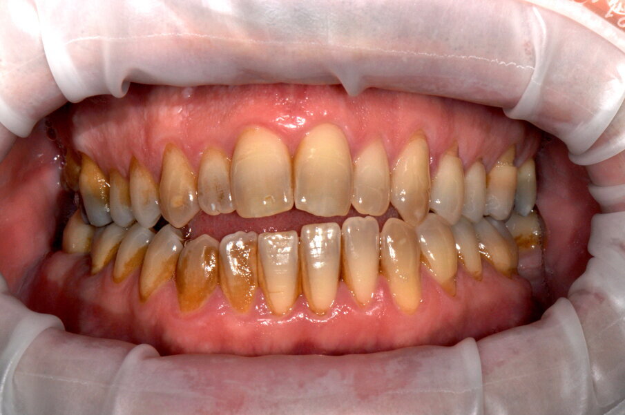
Fig. 6 - Fotografia frontale scattata prima della seduta di igiene orale professionale (Guided Biofilm Therapy).
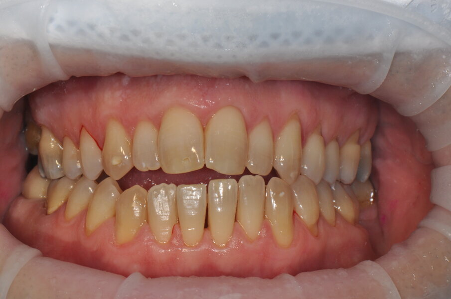
Fig. 7 - Fotografia frontale scattata dopo la seduta di igiene professionale mediante l’utilizzo del sistema Airflow® Prophylaxis Master (EMS®) con polvere a base di eritritolo® e ablatore a ultrasuoni con punta perioslim (PS, EMS®).
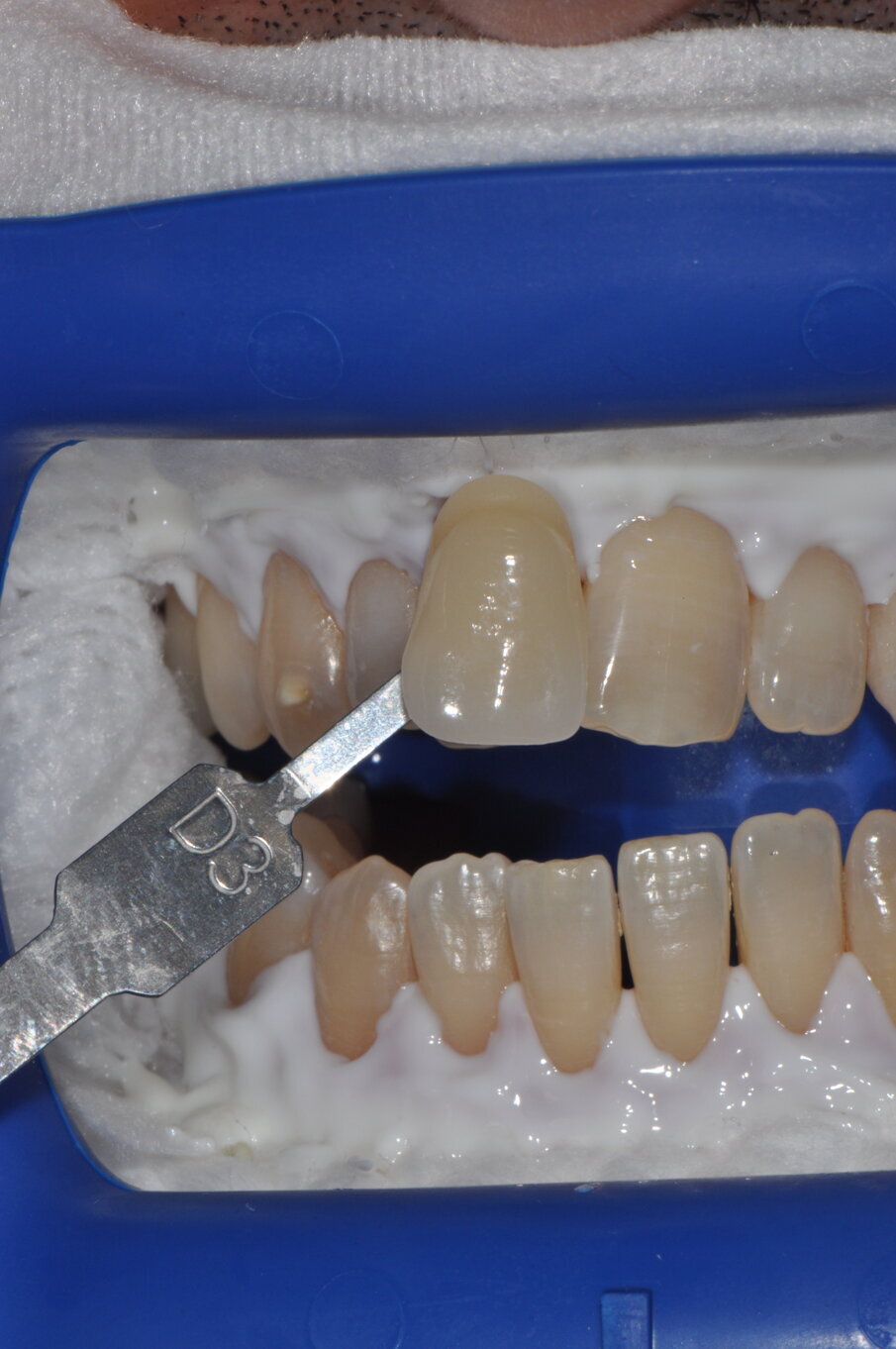
Fig. 8 - Rilevamento del colore a tempo zero utilizzando la scala “Vita” D3.
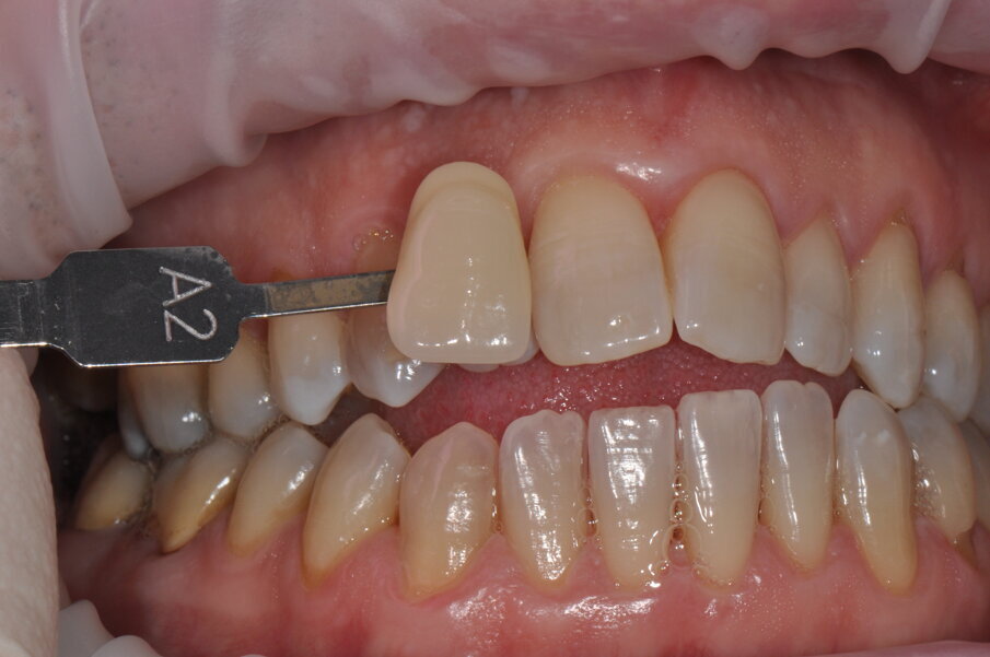
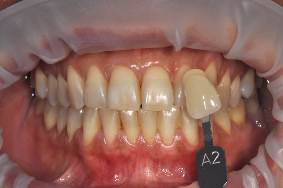
Fig. 9 - Colore post sbiancamento professionale utilizzando la scala “Vita” A2.
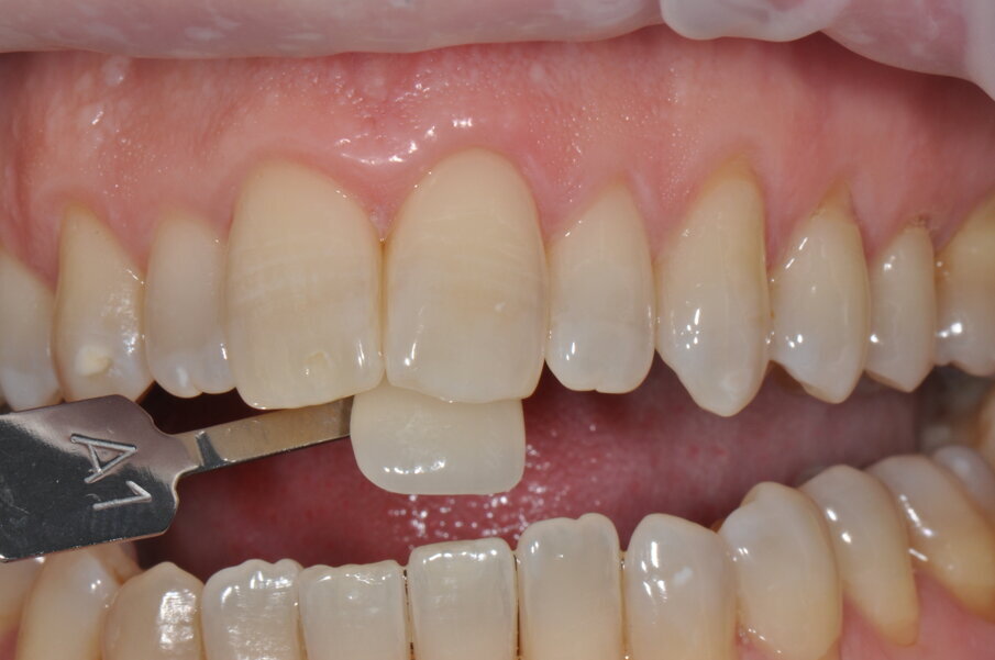
Fig. 10 - Colore finale utilizzando la scala “Vita” A1.
Risultati
I risultati ottenuti in questi due casi sono soddisfacenti sia dal punto di vista dell’operatore che, soprattutto, dal punto di vista del paziente che ha immediatamente percepito il cambiamento dichiarandosi felice e che ha suggerito a diversi amici la stessa procedura. È chiaro che risultati simili sono ottenibili su pazienti senza ricostruzioni o lavori protesici nel settore estetico e con buona compliance domiciliare sia nella rimozione della placca sopra-gengivale sia nel seguire le indicazioni post trattamento relative alle sostanze da evitare o limitare e all’eliminazione del fumo. I richiami di igiene professionale semestrali si rendono necessari per supportare il paziente, per rimuovere le macchie estrinseche e per verificare la stabilità del risultato.
Discussioni
Le procedure odontoiatriche che mirano all’estetica sono fra le più complicate per l’operatore in quanto è il paziente che chiede la prestazione e si aspetta il risultato che noi sappiamo non essere sempre raggiungibile in accordo con l’aspettativa del paziente. Lo sbiancamento perciò deve essere eseguito da personale qualificato, con prodotti garantiti, su pazienti motivati e ben selezionati. Come per tutti i trattamenti odontoiatrici la fase diagnostica e di studio del caso diventano fondamentali insieme alla motivazione ed istruzione all’igiene domiciliare e alla prevenzione secondaria da mettere in atto con programmi personalizzati di follow-up. Considerati i costi della procedura è necessario assicurarsi che tutti i fattori suddetti vengano rispettati per ottenere il risultato e mantenerlo nel tempo. Se eseguite correttamente le procedure di sbiancamento risultano essere efficaci, durature e prive di effetti collaterali irreversibili.
Conclusioni
Lo sbiancamento Philips Zoom® ha mostrato in entrambi i casi descritti ottimi risultati confermando l’efficacia del prodotto e del protocollo operativo.
Conflitto di interessi e finanziamenti
Gli autori dichiarano di aver nessun confitto di interessi e nessun tipo di finanziamento o grant è stato devoluto per la realizzazione e la stesura di questa case series.
Bibliografia
- Monteiro, «Clinical Evalutation of two in-office Dental Bleaching Agents,» American Journal of Dentistry, 2018.
- H. Haywood VB, «Nightguard vital bleaching,» Quintessence, 1989.
- Lucisano, Il Corpo Umano Unità L’apparato stomatognatico, Franco Lucisano, 2010.
- S. e. a. Bruna, «Evaluation of home bleaching gel modified by different thickeners on the physical properties of enamel: An in situ study,» European Journal of Dentistry, 2018.
- Scientific Committee on Consumer. , «Opinion on hydrogen peroxide in tooth whitening products.,» in Products, Scientific Committee on Consumer, 2005.
- Affairs, Council on Scientific Committee on Consumer. , «Opinion on hydrogen peroxide in tooth whitening products.,» in Products, Scientific Committee on Consumer, 2005.Scientific, «Tooth Whitening/Bleaching: Treatment Considerations for Dentists and Their Patients,» 2010.
- Scientific Committee on Consumer, «Opinion on hydrogen peroxide, in its free form or when released, in oral hygiene products and tooth whitening products.,» in Products, Scientific Committee on Consumer, 2007.
Tag:
L’estetica del sorriso riveste sempre più un ruolo fondamentale nell’odontoiatria moderna ed è messa quale outcome di primo piano nelle decisioni ...
L’estetica del sorriso riveste sempre più un ruolo fondamentale nell’odontoiatria moderna ed è considerata quale outcome di primo ...
MUMBAI, India. Una serie di studi internazionali indica come i professionisti della salute orale possano svolgere un ruolo più efficace nel rilevare ...
La presenza sulle superfici dentali di White Spot Lesions crea disagio nel paziente poiché inficia la bellezza di un sorriso. Il termine White Spot Lesions...
I dentisti dedicano grandi sforzi per costruire studi fiorenti, adottando tecnologie avanzate e migliorando i flussi di lavoro, al fine di garantire cure di...
Philips Zoom! da anni è sinonimo di eccellenza in tutto il mondo per il trattamento sbiancante professionale sia alla poltrona che domiciliare.
...
Il dott. Gregorio Tortora condivide la sua esperienza clinica nella gestione delle patologie parodontali, soffermandosi in particolare sulle recessioni ...
Nel corso del XVIII Congresso COI AIOG del 28 marzo a Bologna, è stato annunciato che la Conferenza Stato Regioni ha approvato il Profilo ...
Con BRILLIANT Lumina, COLTENE offre una soluzione per lo sbiancamento dentale ambulatoriale, efficace e conforme alla direttiva sui cosmetici. Per la prima ...
Tecnica mininvasiva di aumento orizzontale associata a ricostruzione della cresta.
Live webinar
mer. 15 aprile 2026
20:00 (CET) Rome
Live webinar
gio. 16 aprile 2026
2:00 (CET) Rome
Linda Hecker MS, BSDH, RDH
Live webinar
gio. 16 aprile 2026
18:00 (CET) Rome
Dr. Pär-Olov Östman, Dr. Robert Gottlander DDS
Live webinar
ven. 17 aprile 2026
18:00 (CET) Rome
Live webinar
ven. 17 aprile 2026
19:00 (CET) Rome
Dr. Stuart Yeaton BDentSc, MOrth
Live webinar
lun. 20 aprile 2026
19:00 (CET) Rome
Dr. Alberto Monje DDS, MS, PhD
Live webinar
mer. 22 aprile 2026
17:00 (CET) Rome
MDT Andreas Chatzimpatzakis
To post a reply please login or register