Occuparsi di salute orale significa rispondere ai bisogni della persona assistita e stimolare la recettività all’approccio motivazionale sui corretti stili di vita. Oltre che l’attenzione alla salute, l’approccio estetico del sorriso è tenuto molto in considerazione poiché un sorriso luminoso migliora la vita di relazione e quindi la qualità di vita.
Lo sbiancamento dentale quindi risulta essere una pratica clinica importante perché stimola la persona assistita a una più attenta gestione degli indici di rischio alle discromie e favorisce il controllo del biofilm batterico attraverso lo spazzolamento del cavo orale. La scelta di tecnologie dedicate all’igiene orale che possano facilitare le pratiche cliniche di igiene orale e che possano essere efficaci in aree del cavo orale difficili da gestire, come lo spazio sovra-crestale, è fondamentale per il mantenimento della salute del cavo orale, ed è altrettanto importante scegliere tecnologie di sbiancamento efficaci e sicure, con caratteristiche che permettano protocolli operativi che agevolino i protocolli clinici.
Case report
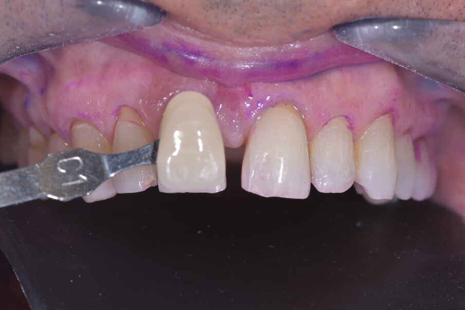
Si presenta alla nostra attenzione un paziente maschio di 70 anni, in apparente salute sistemica, non fumatore, che richiede di migliorare la luminosità del suo sorriso. Il consenso informato è il primo step. Dopo aver rilevato i suoi stili di vita e l’esame obiettivo che non presenta alcuna criticità dei tessuti dento-parodontali, si esegue la terapia parodontale non chirurgica con ablatore COMBI touch (Mectron) dispositivo ergonomico che grazie al soft-mode riduce la sensibilità dentale e permette di passare dal deplaquing al debridement in maniera ergonomica (Fig. 1). Il paziente presenta tartaro soprattutto nell’arcata inferiore e negli spazi sovracrestali (Fig. 2). Dopo aver passato il rivelatore di placca tritonale (Fig. 3), in approccio clinico di concordance si mostra il corretto utilizzo degli scovolini personalizzati in base agli spazi sovracrestali e dello spazzolino che con i suoi filamenti (Figg. 4-6), possa disorganizzare il biofilm batterico in maniera efficace. Viene rilevato il colore, con spettrofotometro (Fig. 7), e con scala-colori Vita (Fig. 8) per documentare fotograficamente e per condividere con la persona assistita le modifiche del risultato finale e stimolarlo al mantenimento dello stesso.
Il colore rilevato è C1. È stato scelto lo sbiancamento professionale BRILLIANT Lumina (Coltene), uno sbiancante senza perossido di idrogeno e perossido di carbamide. Questa tecnologia innovativa con principio attivo PAP permette di ottenere la luminosità del sorriso, senza le controindicazioni della sensibilità e con il vantaggio di essere maneggevole e sicuro. Dopo aver protetto le gengive con la diga liquida fotopolimerizzata (Figg. 9, 10), si prepara il gel sbiancante lasciando cadere nel vasetto di gel da 2 ml, 3 gocce di liquido attivatore e si mescola (Fig. 11). Il gel ottenuto ha un’ottima consistenza e risulta essere pratico nell’apposizione. Vengono eseguiti 4 step da 15 minuti. Dopo ogni step viene aspirato il gel, pulite le superfici dentali con del cotone idrofilo e si pone nuovamente il gel. Dopo i 4 step, si aspira (Fig. 12), si asciuga ed il risultato ottenuto è stato molto apprezzato dal paziente che ha valutato il miglioramento della luminosità del suo sorriso da C1 ad A1 (Fig. 13).
Alla persona assistita sono stati ricordati gli indici di rischio da tenere sotto controllo per evitare le discromie dentali e per tenere sotto controllo la salute del cavo orale. Lo sbiancamento dentale, in una situazione ambientale di una popolazione sempre più anziana, è una grande risorsa per migliorare la qualità di vita, e l’uso di tecnologie performanti come il BRILLANT Lumina, risulta essere efficace, sicura ed ergonomica (Fig. 14).
Conclusioni
La salute del cavo orale, importante per controllare anche la salute sistemica, è fortemente legata al controllo degli stili di vita della persona assistita. Le competenze dell’igienista dentale, assicurate dell’ordinamento didattico universitario seguito e dal codice deontologico, permettono di erogare prestazioni di prevenzione efficaci, personalizzate per ogni fascia d’età, in considerazione dei mutamenti bio-psico-sociali e ambientali.
Argomenti:
Tag:
L’estetica del sorriso riveste sempre più un ruolo fondamentale nell’odontoiatria moderna ed è messa quale outcome di primo piano nelle decisioni ...
L’estetica del sorriso riveste sempre più un ruolo fondamentale nell’odontoiatria moderna ed è considerata quale outcome di primo ...
In esclusiva per Dental Tribune Italia, il dott. Scaringi presenta il webinar sulle nuove possibilità aperte dall’era della tecnologia digitale e sulle ...
Dentaid presenta una guida in dieci punti con consigli pratici per aiutare gli anziani a integrare la cura della salute orale nella loro routine quotidiana....
Webinar gratuito – Martedì 6 novembre – ore 21:00-22:00.
Insieme al dottor Marco Pasini* si parlerà di ipersensibilità dentinale: dai fattori di ...
Dental Tribune International e OEMUS MEDIA lanciano un nuovo format, “Editorial team meets science”, per intensificare lo scambio tra scienza e pratica....
Il principale ostacolo alla diagnosi precoce del cancro orale è dovuto al fatto che nelle sue fasi iniziali, ossia quelle che ci interessa ...
La ricerca del sorriso estetico ha portato tutte le branche della medicina odontoiatrica a cercare delle soluzioni terapeutiche che coniughino la conoscenza...
La ricerca del sorriso estetico ha portato tutte le branche della medicina odontoiatrica a cercare delle soluzioni terapeutiche che coniughino la conoscenza...
I problemi di origine infiammatoria che attaccano gli impianti vengono distinti in letteratura come mucosite perimplantare, lesione infiammatoria ...
Dr. Bruce McFarlane Certified Specialist in Orthodontics Fellow: Royal College of Dentists of Canada Diplomate: American Board of Orthodontics
Live webinar
mer. 15 aprile 2026
20:00 (CET) Rome
Live webinar
gio. 16 aprile 2026
2:00 (CET) Rome
Linda Hecker MS, BSDH, RDH
Live webinar
gio. 16 aprile 2026
18:00 (CET) Rome
Dr. Pär-Olov Östman, Dr. Robert Gottlander DDS
Live webinar
ven. 17 aprile 2026
18:00 (CET) Rome
Live webinar
ven. 17 aprile 2026
19:00 (CET) Rome
Dr. Stuart Yeaton BDentSc, MOrth
Live webinar
lun. 20 aprile 2026
19:00 (CET) Rome
Dr. Alberto Monje DDS, MS, PhD
To post a reply please login or register