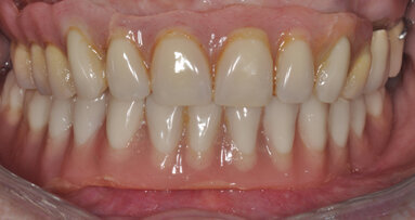
La possibilità di riabilitare una arcata totalmente edentula mediante l’inserimento di impianti osteointegrati e il posizionamento di una protesi fissa ha rappresentato il raggiungimento di un importante obiettivo in odontoiatria1. Le condizioni anatomiche possono rappresentare un limite a questa opzione terapeutica, infatti, a seguito della perdita degli elementi dentari, si assiste a un marcato rimodellamento delle creste ossee e progressiva pneumatizzazione dei seni mascellari2.
Quando il volume osseo è insufficiente per poter posizionare degli impianti è possibile ricorrere a manovre rigenerative di diversa complessità.
Per ovviare a queste manovre sono state studiate alternative terapeutiche quali: posizionamento di impianti nel tuber3,4, impianti pterigoidei5, impianti zigomatici6, impianti inclinati e impianti corti7-9. Queste alternative terapeutiche presentano una minore invasività e trovano indicazione in pazienti che non possono subire chirurgie complesse per motivi clinici o psicologici.
Lo scopo di questo articolo è presentare una alternativa terapeutica al rialzo di seno mascellare nei casi in cui si verifichi una estesa pneumatizzazione dei seni mascellari nella zona del primo premolare.
Leggi l'articolo completo nella sezione CLINICAL > IMPLANTOLOGY
La possibilità di riabilitare una arcata totalmente edentula mediante l’inserimento di impianti osteointegrati e il posizionamento di una ...
L’atrofia severa uni o bi-mascellare costituisce un importante ostacolo per la riabilitazione con protesi fissa mediante interventi di chirurgia ...
Questo caso clinico ha richiesto un inserimento ottimale di impianti sulla base di un piano di trattamento protesicamente guidato e di chirurgia guidata. ...
Gli autori affrontano la tematica dell’implantologia zigomatica proponendo una metodica completamente guidata. Con l’ausilio di placche metalliche ad ...
I mini impianti sono una valida alternativa agli impianti tradizionali per stabilizzare le riabilitazioni di arcate edentule.
L’edentulia totale è una patologia ancora molto diffusa nel mondo. Nonostante i progressi nella prevenzione delle patologie cariose e parodontali, ...
Le aspettative del paziente edentulo si sono proiettate nel passare degli anni verso riabilitazioni sempre più rapide ed efficaci. La costruzione di ...
Nelle riabilitazioni implanto-protesiche del mascellare atrofico esistono delle alternative alla chirurgia di elevazione del seno mascellare che devono ...
Nelle riabilitazioni implanto-protesiche del mascellare atrofico esistono delle alternative alla chirurgia di elevazione del seno mascellare che devono ...
Il carico immediato può essere ormai considerato una procedura terapeutica di elevata affidabilità ed efficacia, anche a distanza di tempo. Elemento ...
Live webinar
mar. 19 maggio 2026
17:00 (CET) Rome
Live webinar
mar. 19 maggio 2026
19:00 (CET) Rome
Prof. Dr. med. dent. Ivo Krejci
Live webinar
mer. 20 maggio 2026
13:00 (CET) Rome
Dr. Graham Carmichael BDSc (Hons), DClinDent (Pros), FRACDS, Dr. Robert Gottlander DDS
Live webinar
mer. 20 maggio 2026
15:00 (CET) Rome
Live webinar
mer. 20 maggio 2026
17:00 (CET) Rome
Live webinar
mer. 20 maggio 2026
19:00 (CET) Rome
Prof. Dr. med. dent. Tim Joda PhD, MSc, eMBA
Live webinar
gio. 21 maggio 2026
18:00 (CET) Rome
Dr. Leonardo Muniz DDS, MSC
To post a reply please login or register